JavaScript is disabled in your browser. Please enable JavaScript to view this website.
AB229959

Anti-RNF135 antibody

Be the first to review this product! Submit a review

|

(2 Publications)

Rabbit Polyclonal RNF135 antibody. Suitable for WB, IHC-P and reacts with Human samples. Cited in 2 publications. Immunogen corresponding to Recombinant Fragment Protein within Human RNF135 aa 300 to C-terminus.

View Alternative Names

L13, RNF135, E3 ubiquitin-protein ligase RNF135, RIG-I E3 ubiquitin ligase, RING finger protein 135, RING finger protein leading to RIG-I activation, RING-type E3 ubiquitin transferase RNF135, REUL, Riplet

3 Images
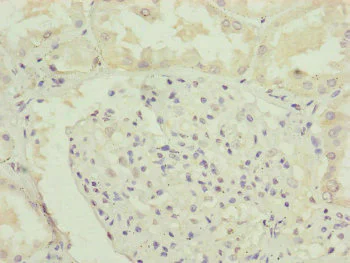
Immunohistochemistry (Formalin/PFA-fixed paraffin-embedded sections) - Anti-RNF135 antibody (AB229959)
  • IHC-P

Supplier Data

Immunohistochemistry (Formalin/PFA-fixed paraffin-embedded sections) - Anti-RNF135 antibody (AB229959)

Paraffin-embedded human kidney tissue stained for RNF135 using ab229959 at 1/100 dilution in immunohistochemical analysis.

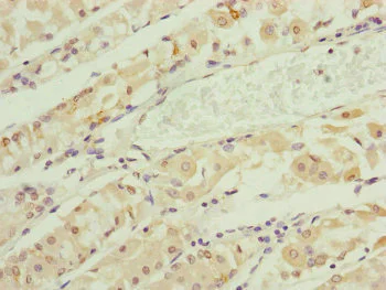
Immunohistochemistry (Formalin/PFA-fixed paraffin-embedded sections) - Anti-RNF135 antibody (AB229959)
  • IHC-P

Supplier Data

Immunohistochemistry (Formalin/PFA-fixed paraffin-embedded sections) - Anti-RNF135 antibody (AB229959)

Paraffin-embedded human gastric cancer tissue stained for RNF135 using ab229959 at 1/100 dilution in immunohistochemical analysis.

Western blot - Anti-RNF135 antibody (AB229959)
  • WB

Supplier Data

Western blot - Anti-RNF135 antibody (AB229959)

All lanes:

Western blot - Anti-RNF135 antibody (ab229959) at 1/1000 dilution

Lane 1:

HEK-293T (human epithelial cell line from embryonic kidney transformed with large T antigen) whole cell lysate

Lane 2:

Jurkat (human T cell leukemia cell line from peripheral blood) whole cell lysate

Secondary

All lanes:

Goat polyclonal to rabbit IgG at 1/10000 dilution

Predicted band size: 48 kDa

Observed band size: 48 kDa

false

Key facts

Host species

Rabbit

Clonality

Polyclonal

Isotype

IgG

Carrier free

No

Reacts with

Human

Applications

WB, IHC-P

applications

Immunogen

Recombinant Fragment Protein within Human RNF135 aa 300 to C-terminus. The exact immunogen used to generate this antibody is proprietary information.

Q8IUD6

Reactivity data

{ "title": "Reactivity Data", "filters": { "stats": ["", "Species", "Dilution Info", "Notes"], "tabs": { "all-applications": {"fullname" : "All Applications", "shortname": "All Applications"}, "WB" : {"fullname" : "Western blot", "shortname":"WB"}, "IHCP" : {"fullname" : "Immunohistochemistry (Formalin/PFA-fixed paraffin-embedded sections)", "shortname":"IHC-P"} }, "product-promise": { "all": "all", "testedAndGuaranteed": "tested", "guaranteed": "expected", "predicted": "predicted", "notRecommended": "not-recommended" } }, "values": { "Human": { "WB-species-checked": "testedAndGuaranteed", "WB-species-dilution-info": "1/1000 - 1/5000", "WB-species-notes": "<p></p>", "IHCP-species-checked": "testedAndGuaranteed", "IHCP-species-dilution-info": "1/20 - 1/200", "IHCP-species-notes": "<p></p>" } } }

Properties and storage information

Form
Liquid
Purification technique
Affinity purification Immunogen
Storage buffer
pH: 7.3 Preservative: 0.02% Sodium azide Constituents: PBS, 50% Glycerol (glycerin, glycerine)
Shipped at conditions
Blue Ice
Appropriate short-term storage duration
1-2 weeks
Appropriate short-term storage conditions
+4°C
Appropriate long-term storage conditions
-20°C
Aliquoting information
Upon delivery aliquot
Storage information
Avoid freeze / thaw cycle

Supplementary information

This supplementary information is collated from multiple sources and compiled automatically.

RNF135 also known as RING finger protein 135 is a protein with a mass of approximately 36.7 kDa. This protein is characterized by the presence of a RING-type zinc finger domain which facilitates its function as an E3 ubiquitin ligase a component important for tagging proteins with ubiquitin for degradation or regulation. RNF135 sees expression in various tissues with notably elevated levels in the brain and immune cells. Its gene location is on chromosome 17 providing additional insight into its genetic context.
Biological function summary

The RING finger protein 135 participates in pathways related to protein homeostasis and cellular response. It functions in tagging certain substrates with ubiquitin part of a ubiquitination complex for proteasomal degradation. This action regulates processes such as apoptosis cell proliferation and DNA repair mechanisms. Such roles underline RNF135's significance in maintaining cellular function and genome integrity which are critical in complex multicellular organisms.

Pathways

Research identifies RNF135 as an important player in the ubiquitin-proteasome pathway. This pathway is central to protein turnover and is regulated by other molecules like ubiquitin-conjugating enzymes and deubiquitinating enzymes. RNF135 also connects with the interferon signaling pathway linking it to immune response regulation. In both these pathways its interaction with proteins like ISG15 and TRIM25 impacts its function and regulatory effects further emphasizing its integrative role in cellular pathways.

Studies associate RNF135 with genetic disorders such as neurodevelopmental disorders and cancer. Alterations or dysregulation of its function can lead to conditions like chromosome 17q11.2 deletion syndrome impacting neural development and cognitive function. Besides RNF135 has been linked to various cancers likely due to its role in the ubiquitination of proteins controlling cell cycle and apoptosis. Proteins such as p53 a well-known tumor suppressor are connected to RNF135's regulatory network hinting at potential areas for therapeutic targeting in oncology.

Product protocols

For this product, it's our understanding that no specific protocols are required. You can visit:

Target data

E2-dependent E3 ubiquitin-protein ligase that functions as a RIGI coreceptor in the sensing of viral RNAs in cell cytoplasm and the activation of the antiviral innate immune response (PubMed : 19017631, PubMed : 19484123, PubMed : 21147464, PubMed : 23950712, PubMed : 28469175, PubMed : 31006531). Together with the UBE2D3, UBE2N and UB2V1 E2 ligases, catalyzes the 'Lys-63'-linked polyubiquitination of RIGI oligomerized on viral RNAs, an essential step in the activation of the RIG-I signaling pathway (PubMed : 19017631, PubMed : 21147464, PubMed : 28469175, PubMed : 31006531). Through a ubiquitin-independent parallel mechanism, which consists in bridging RIGI filaments forming on longer viral RNAs, further activates the RIG-I signaling pathway (PubMed : 31006531). This second mechanism that synergizes with the ubiquitin-dependent one would thereby allow an RNA length-dependent regulation of the RIG-I signaling pathway (Probable). Associated with the E2 ligase UBE2N, also constitutively synthesizes unanchored 'Lys-63'-linked polyubiquitin chains that may also activate the RIG-I signaling pathway (PubMed : 28469175, PubMed : 31006531).
See full target information RNF135

Publications (2)

Recent publications for all applications. Explore the full list and refine your search

Molecular cancer 24:29 PubMed39856701

2025

Circular RNA circBNC2 inhibits tumorigenesis by modulating ferroptosis and acts as a nanotherapeutic target in prostate cancer.

Applications

Unspecified application

Species

Unspecified reactive species

Xiang Pan,Kailai Chen,Wei Gao,Meiqi Xu,Fanlong Meng,Mengyuan Wu,Zi Qi Wang,Yun Qi Li,Wanhai Xu,Manjie Zhang,Yakun Luo

Balkan journal of medical genetics : BJMG 23:43-49 PubMed32953408

2020

β-Elemene Inhibits the Proliferation and Migration of Human Glioblastoma Cell Lines Suppressing Ring Finger Protein 135.

Applications

Unspecified application

Species

Unspecified reactive species

M Alizada,J Li,H Aslami,D Yang,T Korchuganova,Y H Xu
View all publications

Product promise

We are committed to supporting your work with high-quality reagents, and we're here for you every step of the way. In the unlikely event that one of our products does not perform as expected, you're protected by our Product Promise.
For full details, please see our Terms & Conditions

Please note: All products are 'FOR RESEARCH USE ONLY. NOT FOR USE IN DIAGNOSTIC OR THERAPEUTIC PROCEDURES'.

For licensing inquiries, please contact partnerships@abcam.com