JavaScript is disabled in your browser. Please enable JavaScript to view this website.
AB283507

Anti-RNF168 antibody [EPR24239-2] - BSA and Azide free

Be the first to review this product! Submit a review

|

(0 Publication)

Rabbit Recombinant Monoclonal RNF168 antibody. Carrier free. Suitable for WB and reacts with Human samples.

View Alternative Names

E3 ubiquitin-protein ligase RNF168, hRNF168, RING finger protein 168, RING-type E3 ubiquitin transferase RNF168, RNF168

4 Images
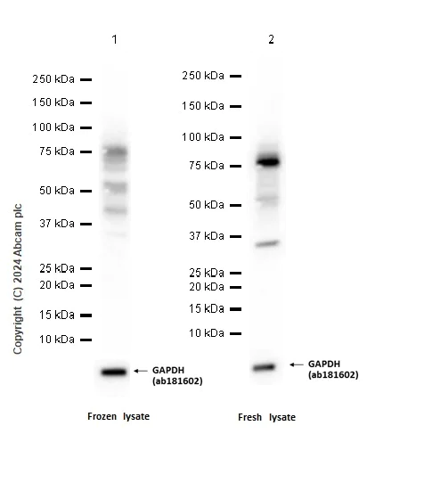
Western blot - Anti-RNF168 antibody [EPR24239-2] - BSA and Azide free (AB283507)
  • WB

Supplier Data

Western blot - Anti-RNF168 antibody [EPR24239-2] - BSA and Azide free (AB283507)

Blocking and diluting buffer and concentration : 5% NFDM/TBST.

We recommend using freshly made lysate in western blot testing.

This data was developed using ab271099, the same antibody clone in a different buffer formulation.

All lanes:

Western blot - Anti-RNF168 antibody [EPR24239-2] (<a href='/en-us/products/primary-antibodies/rnf168-antibody-epr24239-2-ab271099'>ab271099</a>) at 1/1000 dilution

Lane 1:

Frozen MCF7 (Human breast adenocarcinoma epithelial cell) whole cell lysate at 20 µg

Lane 2:

Fresh MCF7 (Human breast adenocarcinoma epithelial cell) whole cell lysate at 40 µg

Secondary

All lanes:

Western blot - Goat Anti-Rabbit IgG H&L (HRP) (<a href='/en-us/products/secondary-antibodies/goat-rabbit-igg-h-l-hrp-ab97051'>ab97051</a>) at 1/20000 dilution

Predicted band size: 65 kDa

Observed band size: 75 kDa

false

Exposure time: 20s

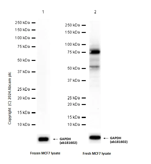
Western blot - Anti-RNF168 antibody [EPR24239-2] - BSA and Azide free (AB283507)
  • WB

Supplier Data

Western blot - Anti-RNF168 antibody [EPR24239-2] - BSA and Azide free (AB283507)

Blocking and diluting buffer and concentration : 5% NFDM/TBST.

We recommend using freshly made lysate in western blot testing.

This data was developed using ab271099, the same antibody clone in a different buffer formulation.

All lanes:

Western blot - Anti-RNF168 antibody [EPR24239-2] (<a href='/en-us/products/primary-antibodies/rnf168-antibody-epr24239-2-ab271099'>ab271099</a>) at 1/1000 dilution

Lane 1:

Frozen HeLa (Human cervix adenocarcinoma epithelial cell) whole lysate at 20 µg

Lane 2:

Fresh HeLa (Human cervix adenocarcinoma epithelial cell) whole cell lysate at 20 µg

Secondary

All lanes:

Western blot - Goat Anti-Rabbit IgG H&L (HRP) (<a href='/en-us/products/secondary-antibodies/goat-rabbit-igg-h-l-hrp-ab97051'>ab97051</a>) at 1/20000 dilution

Predicted band size: 65 kDa

Observed band size: 75 kDa

false

Exposure time: 7s

Western blot - Anti-RNF168 antibody [EPR24239-2] - BSA and Azide free (AB283507)
  • WB

Lab

Western blot - Anti-RNF168 antibody [EPR24239-2] - BSA and Azide free (AB283507)

This data was developed using ab271099, the same antibody clone in a different buffer formulation.

Blocking and diluting buffer and concentration : 5% NFDM/TBST.

This blot was developed using a higher sensitivity ECL substrate.

Exposure time : 3 minutes.

All lanes:

Western blot - Anti-RNF168 antibody [EPR24239-2] (<a href='/en-us/products/primary-antibodies/rnf168-antibody-epr24239-2-ab271099'>ab271099</a>) at 1/1000 dilution

Lane 1:

HeLa (human cervix adenocarcinoma epithelial cell) transfected with scrambled siRNA control whole cell lysate at 20 µg

Lane 2:

RNF168 knockdown HeLa whole cell lysate at 20 µg

Secondary

All lanes:

Western blot - Goat Anti-Rabbit IgG H&L (HRP) (<a href='/en-us/products/secondary-antibodies/goat-rabbit-igg-h-l-hrp-ab97051'>ab97051</a>) at 1/100000 dilution

Predicted band size: 65 kDa

Observed band size: 75 kDa

false

Western blot - Anti-RNF168 antibody [EPR24239-2] - BSA and Azide free (AB283507)
  • WB

Lab

Western blot - Anti-RNF168 antibody [EPR24239-2] - BSA and Azide free (AB283507)

This data was developed using ab271099, the same antibody clone in a different buffer formulation.

Blocking and diluting buffer and concentration : 5% NFDM/TBST.

Exposure time : 3 minutes.

All lanes:

Western blot - Anti-RNF168 antibody [EPR24239-2] (<a href='/en-us/products/primary-antibodies/rnf168-antibody-epr24239-2-ab271099'>ab271099</a>) at 1/1000 dilution

All lanes:

293T (human embryonic kidney epithelial cell) whole cell lysate at 20 µg

Secondary

All lanes:

Western blot - Goat Anti-Rabbit IgG H&L (HRP) (<a href='/en-us/products/secondary-antibodies/goat-rabbit-igg-h-l-hrp-ab97051'>ab97051</a>) at 1/100000 dilution

Predicted band size: 65 kDa

Observed band size: 75 kDa

false

Key facts

Host species

Rabbit

Clonality

Monoclonal

Clone number

EPR24239-2

Isotype

IgG

Carrier free

Yes

Reacts with

Human

Applications

WB

applications

Immunogen

The exact immunogen used to generate this antibody is proprietary information.

Specificity

We recommend using freshly made lysate in western blot testing.

Reactivity data

{ "title": "Reactivity Data", "filters": { "stats": ["", "Species", "Dilution Info", "Notes"], "tabs": { "all-applications": {"fullname" : "All Applications", "shortname": "All Applications"}, "IP" : {"fullname" : "Immunoprecipitation", "shortname":"IP"}, "WB" : {"fullname" : "Western blot", "shortname":"WB"}, "IHCP" : {"fullname" : "Immunohistochemistry (Formalin/PFA-fixed paraffin-embedded sections)", "shortname":"IHC-P"}, "ICCIF" : {"fullname" : "Immunocytochemistry/ Immunofluorescence", "shortname":"ICC/IF"}, "FlowCytIntra" : {"fullname" : "Flow Cytometry (Intracellular)", "shortname":"Flow Cyt (Intra)"} }, "product-promise": { "all": "all", "testedAndGuaranteed": "tested", "guaranteed": "expected", "predicted": "predicted", "notRecommended": "not-recommended" } }, "values": { "Human": { "IP-species-checked": "notRecommended", "IP-species-dilution-info": "", "IP-species-notes": "<p></p>", "WB-species-checked": "testedAndGuaranteed", "WB-species-dilution-info": "", "WB-species-notes": "<p></p>", "IHCP-species-checked": "notRecommended", "IHCP-species-dilution-info": "", "IHCP-species-notes": "<p></p>", "ICCIF-species-checked": "notRecommended", "ICCIF-species-dilution-info": "", "ICCIF-species-notes": "<p></p>", "FlowCytIntra-species-checked": "notRecommended", "FlowCytIntra-species-dilution-info": "", "FlowCytIntra-species-notes": "<p></p>" }, "Mouse": { "IP-species-checked": "notRecommended", "IP-species-dilution-info": "", "IP-species-notes": "<p></p>", "WB-species-checked": "notRecommended", "WB-species-dilution-info": "", "WB-species-notes": "<p></p>", "IHCP-species-checked": "notRecommended", "IHCP-species-dilution-info": "", "IHCP-species-notes": "<p></p>", "ICCIF-species-checked": "notRecommended", "ICCIF-species-dilution-info": "", "ICCIF-species-notes": "<p></p>", "FlowCytIntra-species-checked": "notRecommended", "FlowCytIntra-species-dilution-info": "", "FlowCytIntra-species-notes": "<p></p>" }, "Rat": { "IP-species-checked": "notRecommended", "IP-species-dilution-info": "", "IP-species-notes": "", "WB-species-checked": "notRecommended", "WB-species-dilution-info": "", "WB-species-notes": "<p></p>", "IHCP-species-checked": "notRecommended", "IHCP-species-dilution-info": "", "IHCP-species-notes": "<p></p>", "ICCIF-species-checked": "notRecommended", "ICCIF-species-dilution-info": "", "ICCIF-species-notes": "<p></p>", "FlowCytIntra-species-checked": "notRecommended", "FlowCytIntra-species-dilution-info": "", "FlowCytIntra-species-notes": "" } } }

Product details

ab283507 is the carrier-free version of ab271099.

Patented technology
Our RabMAb® technology is a patented hybridoma-based technology for making rabbit monoclonal antibodies. For details on our patents, please refer to RabMAb® patents.

What are the advantages of a recombinant monoclonal antibody?
This product is a recombinant monoclonal antibody, which offers several advantages including:

  • - High batch-to-batch consistency and reproducibility
  • - Improved sensitivity and specificity
  • - Long-term security of supply
  • - Animal-free batch production

For more information, read more on recombinant antibodies.

Conjugation ready
Our carrier-free antibodies are typically supplied in a PBS-only formulation, purified and free of BSA, sodium azide and glycerol. This conjugation-ready format is designed for use with fluorochromes, metal isotopes, oligonucleotides, and enzymes, which makes them ideal for antibody labelling, functional and cell-based assays, flow-based assays (e.g. mass cytometry) and Multiplex Imaging applications.

Use our conjugation kits for antibody conjugates that are ready-to-use in as little as 20 minutes with 1 minute hands-on-time and 100% antibody recovery: available for fluorescent dyes, HRP, biotin and gold.

Compatibility
This product is compatible with the Maxpar® Antibody Labeling Kit from Fluidigm, without the need for antibody preparation. Maxpar® is a trademark of Fluidigm Canada Inc.

Properties and storage information

Form
Liquid
Purification technique
Affinity purification Protein A
Storage buffer
pH: 7.2 - 7.4 Constituents: PBS
Shipped at conditions
Blue Ice
Appropriate short-term storage conditions
+4°C
Appropriate long-term storage conditions
+4°C

Supplementary information

This supplementary information is collated from multiple sources and compiled automatically.

RNF168 also known as Ring Finger Protein 168 is an E3 ubiquitin ligase with a molecular mass of approximately 63 kDa. It functions primarily in the DNA damage response by adding ubiquitin to histones at sites of double-strand breaks. RNF168 is expressed in various tissues but is notably active in cells that experience DNA damage. This protein structure contains a RING finger domain which facilitates its role in ubiquitination.
Biological function summary

The actions of RNF168 are critical in maintaining genome stability and it serves as a part of the DNA damage signaling complex. It collaborates with other proteins in recognizing DNA damage and signaling repair processes. RNF168 amplifies the ubiquitin signal which then attracts repair proteins to the site of damage. This function places it as an important component in the cellular response to DNA breaks.

Pathways

RNF168 is an important player in the DNA damage response pathway and is particularly associated with the homologous recombination repair mechanism. It works alongside proteins such as 53BP1 and BRCA1 to initiate repair processes. RNF168’s ubiquitination activity facilitates the recruitment of these repair proteins coordinating the cellular response to DNA lesions and ensuring effective repair.

RNF168 mutations or malfunctions have been linked to conditions like RIDDLE syndrome and certain cancers. In RIDDLE syndrome deficiencies in RNF168 disrupt the normal DNA repair processes leading to immunodeficiency radiosensitivity and learning difficulties. Cancer arises when the impaired DNA damage response fails to prevent mutations. Understanding RNF168 interactions particularly with proteins like 53BP1 and BRCA1 is essential for developing therapeutic strategies for these conditions.

Product protocols

For this product, it's our understanding that no specific protocols are required. You can visit:

Target data

E3 ubiquitin-protein ligase required for accumulation of repair proteins to sites of DNA damage. Acts with UBE2N/UBC13 to amplify the RNF8-dependent histone ubiquitination. Recruited to sites of DNA damage at double-strand breaks (DSBs) by binding to ubiquitinated histone H2A and H2AX and amplifies the RNF8-dependent H2A ubiquitination, promoting the formation of 'Lys-63'-linked ubiquitin conjugates. This leads to concentrate ubiquitinated histones H2A and H2AX at DNA lesions to the threshold required for recruitment of TP53BP1 and BRCA1. Also recruited at DNA interstrand cross-links (ICLs) sites and promotes accumulation of 'Lys-63'-linked ubiquitination of histones H2A and H2AX, leading to recruitment of FAAP20/C1orf86 and Fanconi anemia (FA) complex, followed by interstrand cross-link repair. H2A ubiquitination also mediates the ATM-dependent transcriptional silencing at regions flanking DSBs in cis, a mechanism to avoid collision between transcription and repair intermediates. Also involved in class switch recombination in immune system, via its role in regulation of DSBs repair. Following DNA damage, promotes the ubiquitination and degradation of JMJD2A/KDM4A in collaboration with RNF8, leading to unmask H4K20me2 mark and promote the recruitment of TP53BP1 at DNA damage sites. Not able to initiate 'Lys-63'-linked ubiquitination in vitro; possibly due to partial occlusion of the UBE2N/UBC13-binding region. Catalyzes monoubiquitination of 'Lys-13' and 'Lys-15' of nucleosomal histone H2A (H2AK13Ub and H2AK15Ub, respectively).
See full target information RNF168

Product promise

We are committed to supporting your work with high-quality reagents, and we're here for you every step of the way. In the unlikely event that one of our products does not perform as expected, you're protected by our Product Promise.
For full details, please see our Terms & Conditions

Please note: All products are 'FOR RESEARCH USE ONLY. NOT FOR USE IN DIAGNOSTIC OR THERAPEUTIC PROCEDURES'.

For licensing inquiries, please contact partnerships@abcam.com