JavaScript is disabled in your browser. Please enable JavaScript to view this website.
AB188237

Anti-RNF169 antibody

Be the first to review this product! Submit a review

|

(1 Publication)

Rabbit Polyclonal RNF169 antibody. Suitable for WB and reacts with Human, Mouse, Rat samples. Cited in 1 publication. Immunogen corresponding to Recombinant Fragment Protein within Human RNF169 aa 1-250.

View Alternative Names

KIAA1991, RNF169, E3 ubiquitin-protein ligase RNF169, RING finger protein 169, RING-type E3 ubiquitin transferase RNF169

1 Images
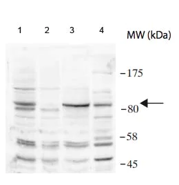
Western blot - Anti-RNF169 antibody (AB188237)
  • WB

Supplier Data

Western blot - Anti-RNF169 antibody (AB188237)

All lanes:

Western blot - Anti-RNF169 antibody (ab188237) at 1/2000 dilution

Lane 1:

U2OS cell lysate (si RNA control) at 40 µg

Lane 2:

U2OS cell lysate (si RNA RNF169 transfected) at 40 µg

Lane 3:

NIH-3T3 cell lysate at 40 µg

Lane 4:

INS-1 cell lysate at 40 µg

Predicted band size: 77 kDa

false

Key facts

Host species

Rabbit

Clonality

Polyclonal

Isotype

IgG

Carrier free

No

Reacts with

Mouse, Rat, Human

Applications

WB

applications

Immunogen

Recombinant Fragment Protein within Human RNF169 aa 1-250. The exact immunogen used to generate this antibody is proprietary information.

Q8NCN4

Reactivity data

{ "title": "Reactivity Data", "filters": { "stats": ["", "Species", "Dilution Info", "Notes"], "tabs": { "all-applications": {"fullname" : "All Applications", "shortname": "All Applications"}, "WB" : {"fullname" : "Western blot", "shortname":"WB"} }, "product-promise": { "all": "all", "testedAndGuaranteed": "tested", "guaranteed": "expected", "predicted": "predicted", "notRecommended": "not-recommended" } }, "values": { "Human": { "WB-species-checked": "testedAndGuaranteed", "WB-species-dilution-info": "1/2000", "WB-species-notes": "<p></p>" }, "Mouse": { "WB-species-checked": "testedAndGuaranteed", "WB-species-dilution-info": "1/2000", "WB-species-notes": "<p></p>" }, "Rat": { "WB-species-checked": "testedAndGuaranteed", "WB-species-dilution-info": "1/2000", "WB-species-notes": "<p></p>" } } }

Properties and storage information

Form
Liquid
Purity
Whole antiserum
Storage buffer
Preservative: 0.05% Sodium azide
Shipped at conditions
Blue Ice
Appropriate short-term storage duration
1-2 weeks
Appropriate short-term storage conditions
+4°C
Appropriate long-term storage conditions
-20°C
Aliquoting information
Upon delivery aliquot
Storage information
Avoid freeze / thaw cycle

Supplementary information

This supplementary information is collated from multiple sources and compiled automatically.

RNF169 also known as RING finger protein 169 functions structurally as an E3 ubiquitin-protein ligase and it has a molecular weight of approximately 90 kDa. The protein contains a RING finger domain important for its ligase activity. RNF169 expresses in various tissues with higher levels in the testis and certain other cell types indicating a role in diverse biological processes. Its function centers mainly around regulating protein degradation via the ubiquitin-proteasome system.
Biological function summary

The protein plays a role in DNA damage response and repair processes within the cell. RNF169 influences DNA repair by competing with other repair factors to modulate the recruitment of these factors to damaged DNA sites. It is not generally considered to be part of a larger complex but still interacts with several proteins involved in DNA repair. RNF169 promotes homologous recombination an important mechanism for repair of DNA double-strand breaks suggesting its importance in maintaining genome stability.

Pathways

DNA damage response and ubiquitin-mediated proteolysis pathways prominently feature RNF169. The protein collaborates with others in these pathways notably 53BP1 and BRCA1 which have complementary and opposing roles in DNA break repair. RNF169's ability to bind to ubiquitinated histones at DNA damage sites suggests a regulatory function modulating repair pathway choice which can affect cell cycle progression and apoptosis.

Alterations in RNF169 expression or function link to certain cancers and genomic instability disorders due to its role in DNA repair. Its relationship to proteins like BRCA1 which also participate in homologous recombination repair pathways highlights potential connection to breast and ovarian cancer. RNF169's role in regulating genome integrity means any disruptions can lead to increased susceptibility to mutagenic lesions contributing to tumorigenesis.

Product protocols

For this product, it's our understanding that no specific protocols are required. You can visit:

Target data

Probable E3 ubiquitin-protein ligase that acts as a regulator of double-strand breaks (DSBs) repair following DNA damage. Functions in a non-canonical fashion to harness RNF168-mediated protein recruitment to DSB-containing chromatin, thereby contributing to regulation of DSB repair pathway utilization (PubMed : 22492721, PubMed : 30773093). Once recruited to DSB repair sites by recognizing and binding ubiquitin catalyzed by RNF168, competes with TP53BP1 and BRCA1 for association with RNF168-modified chromatin, thereby favouring homologous recombination repair (HRR) and single-strand annealing (SSA) instead of non-homologous end joining (NHEJ) mediated by TP53BP1 (PubMed : 30104380, PubMed : 30773093). E3 ubiquitin-protein ligase activity is not required for regulation of DSBs repair.
See full target information RNF169

Publications (1)

Recent publications for all applications. Explore the full list and refine your search

Cell cycle (Georgetown, Tex.) 18:531-551 PubMed30773093

2019

DYRK1A regulates the recruitment of 53BP1 to the sites of DNA damage in part through interaction with RNF169.

Applications

WB

Species

Human

Vijay R Menon,Varsha Ananthapadmanabhan,Selene Swanson,Siddharth Saini,Fatmata Sesay,Vasily Yakovlev,Laurence Florens,James A DeCaprio,Michael P Washburn,Mikhail Dozmorov,Larisa Litovchick
View all publications

Product promise

We are committed to supporting your work with high-quality reagents, and we're here for you every step of the way. In the unlikely event that one of our products does not perform as expected, you're protected by our Product Promise.
For full details, please see our Terms & Conditions

Please note: All products are 'FOR RESEARCH USE ONLY. NOT FOR USE IN DIAGNOSTIC OR THERAPEUTIC PROCEDURES'.

For licensing inquiries, please contact partnerships@abcam.com