JavaScript is disabled in your browser. Please enable JavaScript to view this website.
AB236992

Anti-RNF220 antibody

Be the first to review this product! Submit a review

|

(0 Publication)

Rabbit Polyclonal RNF220 antibody. Suitable for IHC-P and reacts with Human samples. Immunogen corresponding to Recombinant Fragment Protein within Human RNF220 aa 350-500.

View Alternative Names

C1orf164, RNF220, E3 ubiquitin-protein ligase RNF220, RING finger protein 220, RING-type E3 ubiquitin transferase RNF220

1 Images
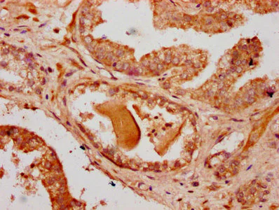
Immunohistochemistry (Formalin/PFA-fixed paraffin-embedded sections) - Anti-RNF220 antibody (AB236992)
  • IHC-P

Supplier Data

Immunohistochemistry (Formalin/PFA-fixed paraffin-embedded sections) - Anti-RNF220 antibody (AB236992)

Paraffin-embedded human prostate cancer tissue stained for RNF220 using ab236992 at 1/500 dilution in immunohistochemical analysis.

After dewaxing and hydration, antigen retrieval was mediated by high pressure in a citrate buffer (pH 6.0). Section was blocked with 10% normal goat serum for 30 minutes at RT. Then primary antibody (1% BSA) was incubated at 4° overnight. The primary is detected by a biotinylated secondary and visualized using an HRP conjugated SP system.

Key facts

Host species

Rabbit

Clonality

Polyclonal

Isotype

IgG

Carrier free

No

Reacts with

Human

Applications

IHC-P

applications

Immunogen

Recombinant Fragment Protein within Human RNF220 aa 350-500. The exact immunogen used to generate this antibody is proprietary information.

Q5VTB9

Reactivity data

{ "title": "Reactivity Data", "filters": { "stats": ["", "Species", "Dilution Info", "Notes"], "tabs": { "all-applications": {"fullname" : "All Applications", "shortname": "All Applications"}, "IHCP" : {"fullname" : "Immunohistochemistry (Formalin/PFA-fixed paraffin-embedded sections)", "shortname":"IHC-P"} }, "product-promise": { "all": "all", "testedAndGuaranteed": "tested", "guaranteed": "expected", "predicted": "predicted", "notRecommended": "not-recommended" } }, "values": { "Human": { "IHCP-species-checked": "testedAndGuaranteed", "IHCP-species-dilution-info": "1/500 - 1/1000", "IHCP-species-notes": "<p></p>" }, "Mouse": { "IHCP-species-checked": "predicted", "IHCP-species-dilution-info": "", "IHCP-species-notes": "" }, "Cow": { "IHCP-species-checked": "predicted", "IHCP-species-dilution-info": "", "IHCP-species-notes": "" }, "Cynomolgus monkey": { "IHCP-species-checked": "predicted", "IHCP-species-dilution-info": "", "IHCP-species-notes": "" } } }

Properties and storage information

Form
Liquid
Purification technique
Affinity purification Protein G
Purification notes
Purity >95%.
Storage buffer
pH: 7.4 Preservative: 0.03% Proclin 300 Constituents: PBS, 50% Glycerol (glycerin, glycerine)
Shipped at conditions
Blue Ice
Appropriate short-term storage duration
1-2 weeks
Appropriate short-term storage conditions
+4°C
Appropriate long-term storage conditions
-20°C
Aliquoting information
Upon delivery aliquot
Storage information
Avoid freeze / thaw cycle

Supplementary information

This supplementary information is collated from multiple sources and compiled automatically.

RNF220 also known as Ring Finger Protein 220 is an E3 ubiquitin-protein ligase. It has a molecular weight of approximately 45 kDa. As a member of the RING finger protein family RNF220 participates in the process of attaching ubiquitin molecules to target proteins which usually marks them for degradation by the proteasome. This protein is broadly expressed in human tissues with significant expression in the testis ovaries and brain.
Biological function summary

RNF220 plays a role in the regulation of transcription factors and is part of certain protein complexes. It interacts with the ubiquitination machinery to control the stability and activity of various transcriptional regulators influencing gene expression patterns essential for cellular differentiation and development. This protein contributes to the regulation of right/left asymmetry in embryonic development through its interaction with key developmental transcription factors.

Pathways

RNF220 plays a role in the Wnt signaling pathway and the Hedgehog signaling pathway. Through these pathways it influences cellular proliferation and differentiation. It interacts with proteins such as β-catenin in the Wnt pathway and GLI proteins in the Hedgehog pathway. These interactions regulate the transcriptional output of these signaling cascades influencing processes like embryogenesis and tissue homeostasis.

RNF220 links to developmental disorders and certain cancers. Mutations or dysregulation of RNF220 can contribute to conditions such as congenital asymmetry disorders through its interaction with transcription factors like Pitx2. Additionally its role in the Wnt and Hedgehog pathways implicates it in cancers including medulloblastoma where it interacts with proteins involved in regulating cell cycle and apoptosis.

Product protocols

For this product, it's our understanding that no specific protocols are required. You can visit:

Target data

E3 ubiquitin-protein ligase that promotes the ubiquitination and proteasomal degradation of SIN3B (By similarity). Independently of its E3 ligase activity, acts as a CTNNB1 stabilizer through USP7-mediated deubiquitination of CTNNB1 promoting Wnt signaling (PubMed : 25266658, PubMed : 33964137). Plays a critical role in the regulation of nuclear lamina (PubMed : 33964137).
See full target information RNF220

Product promise

We are committed to supporting your work with high-quality reagents, and we're here for you every step of the way. In the unlikely event that one of our products does not perform as expected, you're protected by our Product Promise.
For full details, please see our Terms & Conditions

Please note: All products are 'FOR RESEARCH USE ONLY. NOT FOR USE IN DIAGNOSTIC OR THERAPEUTIC PROCEDURES'.

For licensing inquiries, please contact partnerships@abcam.com