JavaScript is disabled in your browser. Please enable JavaScript to view this website.
AB315162

Anti-RNF31/HOIP antibody [EPR27947-265]

Be the first to review this product! Submit a review

|

(0 Publication)

Anti-RNF31/HOIP antibody [EPR27947-265] (ab315162) is a rabbit monoclonal antibody detecting RNF31/HOIP in Western Blot, IP, ICC/IF. Suitable for Human, Mouse, Rat.

- Biophysical QC for unrivalled batch-batch consistency

View Alternative Names

ZIBRA, RNF31, E3 ubiquitin-protein ligase RNF31, HOIL-1-interacting protein, RING finger protein 31, RING-type E3 ubiquitin transferase RNF31, Zinc in-between-RING-finger ubiquitin-associated domain protein, HOIP

5 Images
Immunocytochemistry/ Immunofluorescence - Anti-RNF31/HOIP antibody [EPR27947-265] (AB315162)
  • ICC/IF

Supplier Data

Immunocytochemistry/ Immunofluorescence - Anti-RNF31/HOIP antibody [EPR27947-265] (AB315162)

Immunofluorescent analysis of 4% Paraformaldehyde-fixed, 100% Methanol permeabilized PC-3 (human prostate adenocarcinoma epithelial cell) cells labelling RNF31/HOIP with ab315162 at 1/50 (10.28 ug/ml) dilution, followed by ab150081 Goat Anti-Rabbit IgG H&L (Alexa Fluor® 488) preadsorbed antibody at 1/1000 (2 ug/ml) dilution (Green).

Confocal image showing cytoplasmic staining in PC-3 cell line. Image was taken with a confocal microscope(Leica-Microsystems, TCS SP8).

ab195889 Anti-alpha Tubulin mouse monoclonal antibody - Microtubule Marker (Alexa Fluor® 594) was used to counterstain tubulin at 1/200 (2.5 ug/ml) dilution (Red). The Nuclear counterstain was DAPI (Blue).

Secondary antibody only control : Secondary antibody is ab150081 Goat Anti-Rabbit IgG H&L (Alexa Fluor® 488) preadsorbed at 1/1000 (2 ug/ml) dilution.

Immunoprecipitation - Anti-RNF31/HOIP antibody [EPR27947-265] (AB315162)
  • IP

Supplier Data

Immunoprecipitation - Anti-RNF31/HOIP antibody [EPR27947-265] (AB315162)

RNF31/HOIP was immunoprecipitated from 0.35 mg PC-3 (human prostate adenocarcinoma epithelial cell) whole cell lysate with ab315162 at 1/30 dilution (2ug in 0.35mg lysates). Western blot was performed on the immunoprecipitate using ab315162 at 1/1000 dilution. VeriBlot for IP secondary antibody(HRP)(ab131366) was used at 1/5000 dilution.

Lane 1 : PC-3 (human prostate adenocarcinoma epithelial cell) whole cell lysate

Lane 2 : ab315162 IP in PC-3 (human prostate adenocarcinoma epithelial cell) whole cell lysate

Lane 3 : Rabbit monoclonal IgG (ab172730) instead of ab315162 in PC-3 whole cell lysate

Blocking and dilution buffer and concentration : 5% NFDM/TBST.

All lanes:

Immunoprecipitation - Anti-RNF31/HOIP antibody [EPR27947-265] (ab315162) at 1/30 dilution

All lanes:

PC-3 (human prostate adenocarcinoma epithelial cell) whole cell lysate

Secondary

All lanes:

Immunoprecipitation - VeriBlot for IP Detection Reagent (HRP) (<a href='/en-us/products/reagents/veriblot-for-ip-detection-reagent-hrp-ab131366'>ab131366</a>) at 1/5000 dilution

false

Exposure time: 58s

Western blot - Anti-RNF31/HOIP antibody [EPR27947-265] (AB315162)
  • WB

Supplier Data

Western blot - Anti-RNF31/HOIP antibody [EPR27947-265] (AB315162)

Blocking and diluting buffer and concentration : 5% NFDM/TBST.

The 58, 102 and 120kDa bands are different isoforms as reported in the literature (PMID : 15093743, PMID : 14702039)

All lanes:

Western blot - Anti-RNF31/HOIP antibody [EPR27947-265] (ab315162) at 1/1000 dilution

Lane 1:

PC-3 (human prostate adenocarcinoma epithelial cell) whole cell lysate at 20 µg

Lane 2:

SW480 (human colorectal adenocarcinoma epithelial cell) whole cell lysate at 20 µg

Lane 3:

Jurkat (human T cell leukemia T lymphocyte from peripheral blood) whole cell lysate at 20 µg

Secondary

All lanes:

Western blot - Goat Anti-Rabbit IgG H&L (HRP) (<a href='/en-us/products/secondary-antibodies/goat-rabbit-igg-h-l-hrp-ab97051'>ab97051</a>) at 1/100000 dilution

Observed band size: 102 kDa,120 kDa,58 kDa

false

Exposure time: 180s

Western blot - Anti-RNF31/HOIP antibody [EPR27947-265] (AB315162)
  • WB

Supplier Data

Western blot - Anti-RNF31/HOIP antibody [EPR27947-265] (AB315162)

Blocking and diluting buffer and concentration : 5% NFDM/TBST.

The 58, 102 and 120kDa bands are different isoforms as reported in the literature (PMID : 15093743, PMID : 14702039)

In Western blot, Anti-GAPDH antibody [EPR16891] - Loading Control (ab181602) staining at 1/200000 dilution.

All lanes:

Western blot - Anti-RNF31/HOIP antibody [EPR27947-265] (ab315162) at 1/1000 dilution

Lane 1:

HCT116 (human colorectal carcinoma epithelial cell) transfected with scrambled siRNA control whole cell lysate at 20 µg

Lane 2:

HCT116 transfected with siRNA specifically targeting RNF31 whole cell lysate at 20 µg

Secondary

All lanes:

Western blot - Goat Anti-Rabbit IgG H&L (HRP) (<a href='/en-us/products/secondary-antibodies/goat-rabbit-igg-h-l-hrp-ab97051'>ab97051</a>) at 1/100000 dilution

Observed band size: 58 kDa,102 kDa,120 kDa,36 kDa

false

Exposure time: 92s

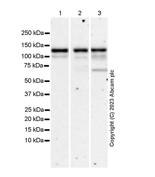
Western blot - Anti-RNF31/HOIP antibody [EPR27947-265] (AB315162)
  • WB

Supplier Data

Western blot - Anti-RNF31/HOIP antibody [EPR27947-265] (AB315162)

Blocking and diluting buffer and concentration : 5% NFDM/TBST.

The 58, 102 and 120kDa bands are different isoforms as reported in the literature (PMID : 15093743, PMID : 14702039).

All lanes:

Western blot - Anti-RNF31/HOIP antibody [EPR27947-265] (ab315162) at 1/1000 dilution

Lane 1:

Mouse breast tissue lysate at 20 µg

Lane 2:

Rat skeletal muscle tissue lysate at 20 µg

Lane 3:

Rat breast tissue lysate at 20 µg

Secondary

All lanes:

Western blot - Goat Anti-Rabbit IgG H&L (HRP) (<a href='/en-us/products/secondary-antibodies/goat-rabbit-igg-h-l-hrp-ab97051'>ab97051</a>) at 1/100000 dilution

Observed band size: 102 kDa,120 kDa,58 kDa

false

Exposure time: 180s

Key facts

Host species

Rabbit

Clonality

Monoclonal

Clone number

EPR27947-265

Isotype

IgG

Carrier free

No

Reacts with

Human, Mouse, Rat

Applications

IP, ICC/IF, WB

applications

Immunogen

The exact immunogen used to generate this antibody is proprietary information.

Specificity

Unsuitable for mouse IP.

Reactivity data

{ "title": "Reactivity Data", "filters": { "stats": ["", "Species", "Dilution Info", "Notes"], "tabs": { "all-applications": {"fullname" : "All Applications", "shortname": "All Applications"}, "WB" : {"fullname" : "Western blot", "shortname":"WB"}, "ICCIF" : {"fullname" : "Immunocytochemistry/ Immunofluorescence", "shortname":"ICC/IF"}, "IP" : {"fullname" : "Immunoprecipitation", "shortname":"IP"}, "IHCP" : {"fullname" : "Immunohistochemistry (Formalin/PFA-fixed paraffin-embedded sections)", "shortname":"IHC-P"}, "FlowCytIntra" : {"fullname" : "Flow Cytometry (Intracellular)", "shortname":"Flow Cyt (Intra)"} }, "product-promise": { "all": "all", "testedAndGuaranteed": "tested", "guaranteed": "expected", "predicted": "predicted", "notRecommended": "not-recommended" } }, "values": { "Human": { "WB-species-checked": "testedAndGuaranteed", "WB-species-dilution-info": "1/1000", "WB-species-notes": "<p></p>", "ICCIF-species-checked": "testedAndGuaranteed", "ICCIF-species-dilution-info": "1/50", "ICCIF-species-notes": "<p></p>", "IP-species-checked": "testedAndGuaranteed", "IP-species-dilution-info": "1/30", "IP-species-notes": "<p></p>", "IHCP-species-checked": "notRecommended", "IHCP-species-dilution-info": "", "IHCP-species-notes": "<p></p>", "FlowCytIntra-species-checked": "notRecommended", "FlowCytIntra-species-dilution-info": "", "FlowCytIntra-species-notes": "<p></p>" }, "Mouse": { "WB-species-checked": "testedAndGuaranteed", "WB-species-dilution-info": "1/1000", "WB-species-notes": "<p></p>", "ICCIF-species-checked": "guaranteed", "ICCIF-species-dilution-info": "", "ICCIF-species-notes": "", "IP-species-checked": "notRecommended", "IP-species-dilution-info": "", "IP-species-notes": "<p></p>", "IHCP-species-checked": "notRecommended", "IHCP-species-dilution-info": "", "IHCP-species-notes": "<p></p>", "FlowCytIntra-species-checked": "notRecommended", "FlowCytIntra-species-dilution-info": "", "FlowCytIntra-species-notes": "" }, "Rat": { "WB-species-checked": "testedAndGuaranteed", "WB-species-dilution-info": "1/1000", "WB-species-notes": "<p></p>", "ICCIF-species-checked": "guaranteed", "ICCIF-species-dilution-info": "", "ICCIF-species-notes": "", "IP-species-checked": "guaranteed", "IP-species-dilution-info": "", "IP-species-notes": "", "IHCP-species-checked": "notRecommended", "IHCP-species-dilution-info": "", "IHCP-species-notes": "<p></p>", "FlowCytIntra-species-checked": "notRecommended", "FlowCytIntra-species-dilution-info": "", "FlowCytIntra-species-notes": "" } } }

Product details

What is this antibody validated in?
Anti-RNF31/HOIP antibody [EPR27947-265] (ab315162) is a rabbit recombinant monoclonal antibody and is validated for use in Western Blot (WB), Immunoprecipitation (IP), Immunocytochemistry/immunofluorescence (ICC/IF) in Human, Mouse, Rat samples.

What is the molecular weight of RNF31/HOIP?
Anti-RNF31/HOIP [EPR27947-265] (ab315162) specifically detects a band for RNF31/HOIP (UniProt: Q96EP0) at a molecular weight of 120kDa.

Trial sizes available!
Test your antibody or perform pre-screening before committing to a larger quantity. Sold in 10µl. Discover our selection of trial-size antibodies.

Other related products
We have a range of other formats of antibody clone [EPR27947-265] also available for your convenience: ab315162, Carrier free - ab315163

Patented technology
Our RabMAb® technology is a patented hybridoma-based technology for making rabbit monoclonal antibodies. For details on our patents, please refer to RabMAb® patents.

What are the advantages of a recombinant monoclonal antibody?
This product is a recombinant monoclonal antibody, which offers several advantages including:

  • - High batch-to-batch consistency and reproducibility
  • - Improved sensitivity and specificity
  • - Long-term security of supply
  • - Animal-free batch production

For more information, read more on recombinant antibodies.

Properties and storage information

Form
Liquid
Purification technique
Affinity purification Protein A
Storage buffer
pH: 7.2 - 7.4 Preservative: 0.01% Sodium azide Constituents: PBS, 40% Glycerol (glycerin, glycerine), 0.05% BSA
Shipped at conditions
Blue Ice
Appropriate short-term storage duration
1-2 weeks
Appropriate short-term storage conditions
+4°C
Appropriate long-term storage conditions
-20°C
Aliquoting information
Upon delivery aliquot
Storage information
Avoid freeze / thaw cycle

Supplementary information

This supplementary information is collated from multiple sources and compiled automatically.

RNF31 also known as HOIP (HOIL-1 Interacting Protein) is a large protein with a molecular weight of around 119 kDa. It is a part of the ubiquitin-proteasome system and functions mechanically as a E3 ubiquitin ligase. RNF31 forms the catalytic component of the Linear Ubiquitin Chain Assembly Complex (LUBAC). Expression of RNF31 occurs in many tissues with notable levels in immune cells and the testes. The protein features a RING-in-between-RING (RBR) motif structure that is critical for its ligase activity.
Biological function summary

RNF31/HOIP plays an important role in immune response regulation. It functions as part of the LUBAC complex alongside SHARPIN and RBCK1 (also known as HOIL-1L) which together catalyze the linear ubiquitination of substrates. These modifications regulate NF-kB signaling which is an important pathway involved in immune and inflammatory responses. RNF31's ubiquitin ligase activity adds linear ubiquitin chains to target proteins influencing their stability and function therefore impacting the immune cell function and survival.

Pathways

RNF31/HOIP integrates into the NF-kB and the apoptosis pathways. In the NF-kB pathway it acts as a regulator of cytokine production and cell survival. RNF31 achieves this through modification of NEMO (NF-kB essential modulator) an important protein in this pathway. In apoptosis regulation linear ubiquitination by RNF31 modulates the activity of proteins such as caspases preventing inappropriate cell death during immune responses. This helps to maintain balance between survival and death signals in cells allowing for proper immune function.

RNF31/HOIP has implications in inflammatory diseases and certain cancers. Dysregulation of LUBAC components including HOIP has been linked with chronic inflammatory conditions like rheumatoid arthritis where inappropriate NF-kB activation occurs. Furthermore aberrations in RNF31 activity have associations with tumorigenesis where its altered signaling pathways can lead to uncontrolled cell proliferation. In these contexts proteins such as A20 may interact with RNF31 affecting the regulation of NF-kB signaling therefore influencing disease progression.

Product protocols

For this product, it's our understanding that no specific protocols are required. You can visit:

Target data

E3 ubiquitin-protein ligase component of the LUBAC complex which conjugates linear ('Met-1'-linked) polyubiquitin chains to substrates and plays a key role in NF-kappa-B activation and regulation of inflammation (PubMed : 17006537, PubMed : 19136968, PubMed : 20005846, PubMed : 21455173, PubMed : 21455180, PubMed : 21455181, PubMed : 22863777, PubMed : 28189684, PubMed : 28481331). LUBAC conjugates linear polyubiquitin to IKBKG and RIPK1 and is involved in activation of the canonical NF-kappa-B and the JNK signaling pathways (PubMed : 17006537, PubMed : 19136968, PubMed : 20005846, PubMed : 21455173, PubMed : 21455180, PubMed : 21455181, PubMed : 22863777, PubMed : 28189684). Linear ubiquitination mediated by the LUBAC complex interferes with TNF-induced cell death and thereby prevents inflammation (PubMed : 21455173, PubMed : 28189684). LUBAC is recruited to the TNF-R1 signaling complex (TNF-RSC) following polyubiquitination of TNF-RSC components by BIRC2 and/or BIRC3 and to conjugate linear polyubiquitin to IKBKG and possibly other components contributing to the stability of the complex (PubMed : 20005846, PubMed : 27458237). The LUBAC complex is also involved in innate immunity by conjugating linear polyubiquitin chains at the surface of bacteria invading the cytosol to form the ubiquitin coat surrounding bacteria (PubMed : 28481331, PubMed : 34012115). LUBAC is not able to initiate formation of the bacterial ubiquitin coat, and can only promote formation of linear polyubiquitins on pre-existing ubiquitin (PubMed : 28481331). Recruited to the surface of bacteria by RNF213, which initiates the bacterial ubiquitin coat (PubMed : 34012115). The bacterial ubiquitin coat acts as an 'eat-me' signal for xenophagy and promotes NF-kappa-B activation (PubMed : 28481331, PubMed : 34012115). Together with OTULIN, the LUBAC complex regulates the canonical Wnt signaling during angiogenesis (PubMed : 23708998). RNF31 is required for linear ubiquitination of BCL10, thereby promoting TCR-induced NF-kappa-B activation (PubMed : 27777308). Binds polyubiquitin of different linkage types (PubMed : 23708998).
See full target information RNF31

Product promise

We are committed to supporting your work with high-quality reagents, and we're here for you every step of the way. In the unlikely event that one of our products does not perform as expected, you're protected by our Product Promise.
For full details, please see our Terms & Conditions

Please note: All products are 'FOR RESEARCH USE ONLY. NOT FOR USE IN DIAGNOSTIC OR THERAPEUTIC PROCEDURES'.

For licensing inquiries, please contact partnerships@abcam.com