JavaScript is disabled in your browser. Please enable JavaScript to view this website.
AB191309

Anti-RNF40 antibody [EPR18511]

4

(3 Reviews)

|

(7 Publications)

Rabbit Recombinant Monoclonal RNF40 antibody. Suitable for IP, WB, IHC-P and reacts with Human, Mouse, Rat samples. Cited in 7 publications.

View Alternative Names

BRE1B, KIAA0661, RNF40, E3 ubiquitin-protein ligase BRE1B, BRE1-B, 95 kDa retinoblastoma-associated protein, RING finger protein 40, RING-type E3 ubiquitin transferase BRE1B, RBP95

7 Images
Immunohistochemistry (Formalin/PFA-fixed paraffin-embedded sections) - Anti-RNF40 antibody [EPR18511] (AB191309)
  • IHC-P

Supplier Data

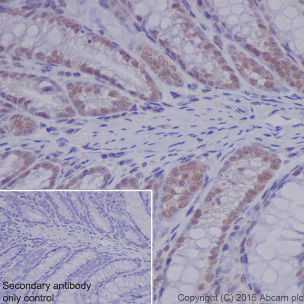
Immunohistochemistry (Formalin/PFA-fixed paraffin-embedded sections) - Anti-RNF40 antibody [EPR18511] (AB191309)

Immunohistochemical analysis of paraffin-embedded human colon tissue labeling RNF40 with ab191309 at 1/100 dilution followed by Goat Anti-Rabbit IgG H&L (HRP) (ab97051) at 1/500 dilution. Nuclear staining on epithelial cells of human colon is observed. Counter stained with Hematoxylin.

Secondary antibody only control : Used PBS instead of primary antibody followed by Goat Anti-Rabbit IgG H&L (HRP) (ab97051) secondary antibody at 1/500 dilution.

Perform heat mediated antigen retrieval with Tris/EDTA buffer pH 9.0 before commencing with IHC staining protocol.

Immunoprecipitation - Anti-RNF40 antibody [EPR18511] (AB191309)
  • IP

Supplier Data

Immunoprecipitation - Anti-RNF40 antibody [EPR18511] (AB191309)

RNF40 was immunoprecipitated from 1mg of HeLa (Human epithelial cells from cervix adenocarcinoma) whole cell lysate with ab191309 at 1/80 dilution. Western blot was performed from the immunoprecipitate using ab191309 at 1/1000 dilution. VeriBlot for IP Detection Reagent (HRP) (ab131366), was used for detection at 1/10000 dilution.

Lane 1 : HeLa whole cell lysate 10ug (Input).

Lane 2 : ab191309 IP in HeLa whole cell lysate.

Lane 3 : Rabbit monoclonal IgG (ab172730) instead of ab191309 in HeLa whole cell lysate.

Blocking and dilution buffer and concentration : 5% NFDM/TBST.
Exposure time : 3 minutes.

All lanes:

Immunoprecipitation - Anti-RNF40 antibody [EPR18511] (ab191309)

Predicted band size: 113 kDa

false

Immunohistochemistry (Formalin/PFA-fixed paraffin-embedded sections) - Anti-RNF40 antibody [EPR18511] (AB191309)
  • IHC-P

Supplier Data

Immunohistochemistry (Formalin/PFA-fixed paraffin-embedded sections) - Anti-RNF40 antibody [EPR18511] (AB191309)

Immunohistochemical analysis of paraffin-embedded rat colon tissue labeling RNF40 with ab191309 at 1/100 dilution followed by Goat Anti-Rabbit IgG H&L (HRP) (ab97051) at 1/500 dilution. Nuclear staining on epithelial cells of rat colon is observed. Counter stained with Hematoxylin.

Secondary antibody only control : Used PBS instead of primary antibody followed by Goat Anti-Rabbit IgG H&L (HRP) (ab97051) secondary antibody at 1/500 dilution.

Perform heat mediated antigen retrieval with Tris/EDTA buffer pH 9.0 before commencing with IHC staining protocol.

Immunohistochemistry (Formalin/PFA-fixed paraffin-embedded sections) - Anti-RNF40 antibody [EPR18511] (AB191309)
  • IHC-P

Supplier Data

Immunohistochemistry (Formalin/PFA-fixed paraffin-embedded sections) - Anti-RNF40 antibody [EPR18511] (AB191309)

Immunohistochemical analysis of paraffin-embedded mouse colon tissue labeling RNF40 with ab191309 at 1/100 dilution followed by Goat Anti-Rabbit IgG H&L (HRP) (ab97051) at 1/500 dilution. Nuclear staining on epithelial cells of mouse colon is observed. Counter stained with Hematoxylin.

Secondary antibody only control : Used PBS instead of primary antibody followed by Goat Anti-Rabbit IgG H&L (HRP) (ab97051) secondary antibody at 1/500 dilution.

Perform heat mediated antigen retrieval with Tris/EDTA buffer pH 9.0 before commencing with IHC staining protocol.

Western blot - Anti-RNF40 antibody [EPR18511] (AB191309)
  • WB

Supplier Data

Western blot - Anti-RNF40 antibody [EPR18511] (AB191309)

Blocking/Dilution buffer : 5% NFDM/TBST.

The molecular weight observed is consistent with the MW shown by commercial antibodies from other suppliers.

All lanes:

Western blot - Anti-RNF40 antibody [EPR18511] (ab191309) at 1/1000 dilution

Lane 1:

Human fetal liver lysate at 10 µg

Lane 2:

Human fetal heart lysate at 10 µg

Lane 3:

Human fetal kidney lysate at 10 µg

Secondary

All lanes:

Anti-Rabbit IgG (HRP), specific to the non-reduced form of IgG at 1/10000 dilution

Predicted band size: 113 kDa

Observed band size: 130 kDa

false

Exposure time: 15s

Western blot - Anti-RNF40 antibody [EPR18511] (AB191309)
  • WB

Supplier Data

Western blot - Anti-RNF40 antibody [EPR18511] (AB191309)

Blocking/Dilution buffer : 5% NFDM/TBST.

Exposure time : Lane 1, 2 and 3 : 30 seconds; Lane 4, 5 and 6 : 15 seconds.

The molecular weight observed is consistent with the MW shown by commercial antibodies from other suppliers.

All lanes:

Western blot - Anti-RNF40 antibody [EPR18511] (ab191309) at 1/1000 dilution

Lane 1:

HeLa (Human epithelial cells from cervix adenocarcinoma) whole cell lysate at 20 µg

Lane 2:

HEK-293 (Human epithelial cells from embryonic kidney) whole cell lysate at 20 µg

Lane 3:

mESC (Mouse embryonic stem cell) whole cell lysate at 20 µg

Lane 4:

MCF7 (Human breast adenocarcinoma cell line) whole cell lysate at 20 µg

Lane 5:

A-375 (Human malignant melanoma cell line) whole cell lysate at 20 µg

Lane 6:

HepG2 (Human liver hepatocellular carcinoma) whole cell lysate at 20 µg

Secondary

All lanes:

Western blot - Goat Anti-Rabbit IgG H&L (HRP) (<a href='/en-us/products/secondary-antibodies/goat-rabbit-igg-h-l-hrp-ab97051'>ab97051</a>) at 1/100000 dilution

Predicted band size: 113 kDa

Observed band size: 130 kDa

false

Western blot - Anti-RNF40 antibody [EPR18511] (AB191309)
  • WB

Supplier Data

Western blot - Anti-RNF40 antibody [EPR18511] (AB191309)

Blocking/Dilution buffer : 5% NFDM/TBST.

The molecular weight observed is consistent with the MW shown by commercial antibodies from other suppliers.

All lanes:

Western blot - Anti-RNF40 antibody [EPR18511] (ab191309) at 1/1000 dilution

Lane 1:

C6 (Rat glial tumor cells) whole cell lysate at 10 µg

Lane 2:

RAW 264.7 (Mouse macrophage cells transformed with Abelson murine leukemia virus) whole cell lysate at 10 µg

Lane 3:

PC-12 (Rat adrenal gland pheochromocytoma) whole cell lysate at 10 µg

Secondary

All lanes:

Western blot - Goat Anti-Rabbit IgG H&L (HRP) (<a href='/en-us/products/secondary-antibodies/goat-rabbit-igg-h-l-hrp-ab97051'>ab97051</a>) at 1/100000 dilution

Predicted band size: 113 kDa

Observed band size: 130 kDa

false

Exposure time: 15s

  • Carrier free

    Anti-RNF40 antibody [EPR18511] - BSA and Azide free

Key facts

Host species

Rabbit

Clonality

Monoclonal

Clone number

EPR18511

Isotype

IgG

Carrier free

No

Reacts with

Mouse, Rat, Human

Applications

IHC-P, IP, WB

applications

Immunogen

The exact immunogen used to generate this antibody is proprietary information.

Reactivity data

{ "title": "Reactivity Data", "filters": { "stats": ["", "Species", "Dilution Info", "Notes"], "tabs": { "all-applications": {"fullname" : "All Applications", "shortname": "All Applications"}, "IP" : {"fullname" : "Immunoprecipitation", "shortname":"IP"}, "WB" : {"fullname" : "Western blot", "shortname":"WB"}, "IHCP" : {"fullname" : "Immunohistochemistry (Formalin/PFA-fixed paraffin-embedded sections)", "shortname":"IHC-P"} }, "product-promise": { "all": "all", "testedAndGuaranteed": "tested", "guaranteed": "expected", "predicted": "predicted", "notRecommended": "not-recommended" } }, "values": { "Human": { "IP-species-checked": "testedAndGuaranteed", "IP-species-dilution-info": "1/80", "IP-species-notes": "<p></p>", "WB-species-checked": "testedAndGuaranteed", "WB-species-dilution-info": "1/1000", "WB-species-notes": "<p></p>", "IHCP-species-checked": "testedAndGuaranteed", "IHCP-species-dilution-info": "1/100", "IHCP-species-notes": "<p></p>" }, "Mouse": { "IP-species-checked": "guaranteed", "IP-species-dilution-info": "", "IP-species-notes": "", "WB-species-checked": "testedAndGuaranteed", "WB-species-dilution-info": "1/1000", "WB-species-notes": "<p></p>", "IHCP-species-checked": "testedAndGuaranteed", "IHCP-species-dilution-info": "1/100", "IHCP-species-notes": "<p></p>" }, "Rat": { "IP-species-checked": "guaranteed", "IP-species-dilution-info": "", "IP-species-notes": "", "WB-species-checked": "testedAndGuaranteed", "WB-species-dilution-info": "1/1000", "WB-species-notes": "<p></p>", "IHCP-species-checked": "testedAndGuaranteed", "IHCP-species-dilution-info": "1/100", "IHCP-species-notes": "<p></p>" } } }

Product details

Patented technology
Our RabMAb® technology is a patented hybridoma-based technology for making rabbit monoclonal antibodies. For details on our patents, please refer to RabMAb® patents.

What are the advantages of a recombinant monoclonal antibody?
This product is a recombinant monoclonal antibody, which offers several advantages including:

  • - High batch-to-batch consistency and reproducibility
  • - Improved sensitivity and specificity
  • - Long-term security of supply
  • - Animal-free batch production

For more information, read more on recombinant antibodies.

Properties and storage information

Form
Liquid
Purification technique
Affinity purification Protein A
Storage buffer
pH: 7.2 - 7.4 Preservative: 0.01% Sodium azide Constituents: PBS, 40% Glycerol (glycerin, glycerine), 0.05% BSA
Shipped at conditions
Blue Ice
Appropriate short-term storage duration
1-2 weeks
Appropriate short-term storage conditions
+4°C
Appropriate long-term storage conditions
-20°C
Aliquoting information
Upon delivery aliquot
Storage information
Avoid freeze / thaw cycle

Product protocols

For this product, it's our understanding that no specific protocols are required. You can visit:

Target data

Component of the RNF20/40 E3 ubiquitin-protein ligase complex that mediates monoubiquitination of 'Lys-120' of histone H2B (H2BK120ub1). H2BK120ub1 gives a specific tag for epigenetic transcriptional activation and is also prerequisite for histone H3 'Lys-4' and 'Lys-79' methylation (H3K4me and H3K79me, respectively). It thereby plays a central role in histone code and gene regulation. The RNF20/40 complex forms a H2B ubiquitin ligase complex in cooperation with the E2 enzyme UBE2A or UBE2B; reports about the cooperation with UBE2E1/UBCH are contradictory. Required for transcriptional activation of Hox genes.. (Microbial infection) Promotes the human herpesvirus 8 (KSHV) lytic cycle by inducing the expression of lytic viral genes including the latency switch gene RTA/ORF50.
See full target information RNF40

Publications (7)

Recent publications for all applications. Explore the full list and refine your search

Allergologia et immunopathologia 51:1-9 PubMed37422774

2023

RNF20/RNF40 ameliorates streptozotocin-induced type 1 diabetes by activating vitamin D receptors .

Applications

Unspecified application

Species

Unspecified reactive species

Junxiang Liu,Xuri Wu,Haixia Qin,Ying Hu,Zhiyun Zhang,Yanmei Wang,Jinlan Li

Molecular therapy. Nucleic acids 31:568-585 PubMed36910712

2023

BMAL1-TTK-H2Bub1 loop deficiency contributes to impaired BM-MSC-mediated bone formation in senile osteoporosis.

Applications

Unspecified application

Species

Unspecified reactive species

Li Jinteng,Xu Peitao,Yu Wenhui,Ye Guiwen,Ye Feng,Xu Xiaojun,Su Zepeng,Lin Jiajie,Che Yunshu,Zhang Zhaoqiang,Zeng Yipeng,Li Zhikun,Feng Pei,Cao Qian,Li Dateng,Xie Zhongyu,Wu Yanfeng,Shen Huiyong

Neuroscience bulletin 39:947-961 PubMed36637791

2023

CircFhit Modulates GABAergic Synaptic Transmission via Regulating the Parental Gene Fhit Expression in the Spinal Dorsal Horn in a Rat Model of Neuropathic Pain.

Applications

Unspecified application

Species

Unspecified reactive species

Ting Xu,Zhen-Yu Li,Meng Liu,Su-Bo Zhang,Huan-Huan Ding,Jia-Yan Wu,Su-Yan Lin,Jun Liu,Jia-You Wei,Xue-Qin Zhang,Wen-Jun Xin

International journal of molecular sciences 22: PubMed34445387

2021

Syndecan Family Gene and Protein Expression and Their Prognostic Values for Prostate Cancer.

Applications

Unspecified application

Species

Unspecified reactive species

Nilton José Santos,Caroline Nascimento Barquilha,Isabela Correa Barbosa,Rodrigo Tavares Macedo,Flávio Oliveira Lima,Luis Antônio Justulin,Guilherme Oliveira Barbosa,Hernandes F Carvalho,Sérgio Luis Felisbino

Nucleic acids research 48:9037-9052 PubMed32735658

2020

The chromatin-binding protein PHF6 functions as an E3 ubiquitin ligase of H2BK120 via H2BK12Ac recognition for activation of trophectodermal genes.

Applications

Unspecified application

Species

Unspecified reactive species

Sungryong Oh,Kyungjin Boo,Jaebeom Kim,Seon Ah Baek,Yoon Jeon,Junghyun You,Ho Lee,Hee-Jung Choi,Daechan Park,Ji Min Lee,Sung Hee Baek

Nucleic acids research 48:8959-8976 PubMed32672815

2020

Egr2-guided histone H2B monoubiquitination is required for peripheral nervous system myelination.

Applications

Unspecified application

Species

Unspecified reactive species

Hannah M Wüst,Amélie Wegener,Franziska Fröb,Anna C Hartwig,Florian Wegwitz,Vijayalakshmi Kari,Margit Schimmel,Ernst R Tamm,Steven A Johnsen,Michael Wegner,Elisabeth Sock

The Journal of biological chemistry 294:11728-11740 PubMed31186351

2019

LIM-domain transcription complexes interact with ring-finger ubiquitin ligases and thereby impact islet β-cell function.

Applications

Unspecified application

Species

Unspecified reactive species

Alexa K Wade,Yanping Liu,Maigen M Bethea,Eliana Toren,Hubert M Tse,Chad S Hunter
View all publications

Product promise

We are committed to supporting your work with high-quality reagents, and we're here for you every step of the way. In the unlikely event that one of our products does not perform as expected, you're protected by our Product Promise.
For full details, please see our Terms & Conditions

Please note: All products are 'FOR RESEARCH USE ONLY. NOT FOR USE IN DIAGNOSTIC OR THERAPEUTIC PROCEDURES'.

For licensing inquiries, please contact partnerships@abcam.com