JavaScript is disabled in your browser. Please enable JavaScript to view this website.
AB181986

Anti-RNF7 antibody [EPR12001]

4

(1 Review)

|

(10 Publications)

Rabbit Recombinant Monoclonal RNF7 antibody. Suitable for WB, ICC/IF, IHC-P and reacts with Mouse, Human samples. Cited in 10 publications.

View Alternative Names

RBX2, ROC2, SAG, RNF7, RING-box protein 2, Rbx2, CKII beta-binding protein 1, RING finger protein 7, Regulator of cullins 2, Sensitive to apoptosis gene protein, CKBBP1

5 Images
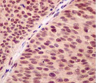
Immunohistochemistry (Formalin/PFA-fixed paraffin-embedded sections) - Anti-RNF7 antibody [EPR12001] (AB181986)
  • IHC-P

Supplier Data

Immunohistochemistry (Formalin/PFA-fixed paraffin-embedded sections) - Anti-RNF7 antibody [EPR12001] (AB181986)

Immunohistochemical analysis of paraffin embedded Human transitional cell carcinoma of bladder tissue labeling RNF7 with
ab181986 at a 1/50 dilution. Prediluted HRP Polymer for Rabbit IgG secondary used. Counterstained with Hematoxylin.

Perform heat mediated antigen retrieval with EDTA buffer pH 9 before commencing with IHC staining protocol.

Immunocytochemistry/ Immunofluorescence - Anti-RNF7 antibody [EPR12001] (AB181986)
  • ICC/IF

Supplier Data

Immunocytochemistry/ Immunofluorescence - Anti-RNF7 antibody [EPR12001] (AB181986)

Immunofluorescence analysis of HepG2 cells (fixative 4% paraformaldehyde) labeling RNF7 with ab181986 at a 1/100 dilution.Goat anti rabbit IgG (Dylight 555) secondary used at a 1/200 diution.

Immunohistochemistry (Formalin/PFA-fixed paraffin-embedded sections) - Anti-RNF7 antibody [EPR12001] (AB181986)
  • IHC-P

Supplier Data

Immunohistochemistry (Formalin/PFA-fixed paraffin-embedded sections) - Anti-RNF7 antibody [EPR12001] (AB181986)

Immunohistochemical analysis of paraffin embedded Mouse liver tissue labeling RNF7 with ab181986 at a 1/50 dilution. Prediluted HRP Polymer for Rabbit IgG secondary used. Counterstained with Hematoxylin.

Perform heat mediated antigen retrieval with EDTA buffer pH 9 before commencing with IHC staining protocol.

Western blot - Anti-RNF7 antibody [EPR12001] (AB181986)
  • WB

Supplier Data

Western blot - Anti-RNF7 antibody [EPR12001] (AB181986)

All lanes:

Western blot - Anti-RNF7 antibody [EPR12001] (ab181986) at 1/5000 dilution

All lanes:

HepG2 lysate at 10 µg

Secondary

All lanes:

Goat Anti-Rabbit IgG, (H+L), Peroxidase conjugated at 1/1000 dilution

Predicted band size: 13 kDa

false

Western blot - Anti-RNF7 antibody [EPR12001] (AB181986)
  • WB

Unknown

Western blot - Anti-RNF7 antibody [EPR12001] (AB181986)

All lanes:

Western blot - Anti-RNF7 antibody [EPR12001] (ab181986) at 1/5000 dilution

Lane 1:

Mouse heart tissue lysate at 20 µg

Lane 2:

Mouse kidney tissue lysate at 20 µg

Secondary

All lanes:

Goat Anti-Rabbit IgG, (H+L), Peroxidase conjugated at 1/1000 dilution

Predicted band size: 13 kDa

false

  • Carrier free

    Anti-RNF7 antibody [EPR12001] - BSA and Azide free

Key facts

Host species

Rabbit

Clonality

Monoclonal

Clone number

EPR12001

Isotype

IgG

Carrier free

No

Reacts with

Mouse, Human

Applications

IHC-P, WB, ICC/IF

applications

Immunogen

The exact immunogen used to generate this antibody is proprietary information.

Reactivity data

{ "title": "Reactivity Data", "filters": { "stats": ["", "Species", "Dilution Info", "Notes"], "tabs": { "all-applications": {"fullname" : "All Applications", "shortname": "All Applications"}, "WB" : {"fullname" : "Western blot", "shortname":"WB"}, "ICCIF" : {"fullname" : "Immunocytochemistry/ Immunofluorescence", "shortname":"ICC/IF"}, "IHCP" : {"fullname" : "Immunohistochemistry (Formalin/PFA-fixed paraffin-embedded sections)", "shortname":"IHC-P"} }, "product-promise": { "all": "all", "testedAndGuaranteed": "tested", "guaranteed": "expected", "predicted": "predicted", "notRecommended": "not-recommended" } }, "values": { "Human": { "WB-species-checked": "testedAndGuaranteed", "WB-species-dilution-info": "1/1000 - 1/10000", "WB-species-notes": "<p></p>", "ICCIF-species-checked": "testedAndGuaranteed", "ICCIF-species-dilution-info": "1/100", "ICCIF-species-notes": "<p></p>", "IHCP-species-checked": "testedAndGuaranteed", "IHCP-species-dilution-info": "1/50", "IHCP-species-notes": "<p>For antigen retrieval heat up to 98 °C, below boiling, and then let cool for 10-20 min.</p>" }, "Mouse": { "WB-species-checked": "testedAndGuaranteed", "WB-species-dilution-info": "1/1000 - 1/10000", "WB-species-notes": "<p></p>", "ICCIF-species-checked": "guaranteed", "ICCIF-species-dilution-info": "", "ICCIF-species-notes": "", "IHCP-species-checked": "testedAndGuaranteed", "IHCP-species-dilution-info": "1/50", "IHCP-species-notes": "<p>For antigen retrieval heat up to 98 °C, below boiling, and then let cool for 10-20 min.</p>" }, "Rat": { "WB-species-checked": "predicted", "WB-species-dilution-info": "", "WB-species-notes": "", "ICCIF-species-checked": "predicted", "ICCIF-species-dilution-info": "", "ICCIF-species-notes": "", "IHCP-species-checked": "predicted", "IHCP-species-dilution-info": "", "IHCP-species-notes": "" } } }

Product details

Patented technology
Our RabMAb® technology is a patented hybridoma-based technology for making rabbit monoclonal antibodies. For details on our patents, please refer to RabMAb® patents.

What are the advantages of a recombinant monoclonal antibody?
This product is a recombinant monoclonal antibody, which offers several advantages including:

  • - High batch-to-batch consistency and reproducibility
  • - Improved sensitivity and specificity
  • - Long-term security of supply
  • - Animal-free batch production

For more information, read more on recombinant antibodies.

Properties and storage information

Form
Liquid
Purification technique
Affinity purification Protein A
Storage buffer
Preservative: 0.01% Sodium azide Constituents: PBS, 40% Glycerol (glycerin, glycerine), 0.05% BSA
Shipped at conditions
Blue Ice
Appropriate short-term storage duration
1-2 weeks
Appropriate short-term storage conditions
+4°C
Appropriate long-term storage conditions
-20°C
Aliquoting information
Upon delivery aliquot
Storage information
Avoid freeze / thaw cycle

Product protocols

For this product, it's our understanding that no specific protocols are required. You can visit:

Target data

Catalytic component of multiple cullin-5-RING E3 ubiquitin-protein ligase complexes (ECS complexes), which mediate the ubiquitination and subsequent proteasomal degradation of target proteins (PubMed : 21980433, PubMed : 33268465, PubMed : 38418882, PubMed : 38574733). It is thereby involved in various biological processes, such as cell cycle progression, signal transduction and transcription (PubMed : 21980433, PubMed : 33268465, PubMed : 38418882, PubMed : 38574733). The functional specificity of the E3 ubiquitin-protein ligase ECS complexes depend on the variable SOCS box-containing substrate recognition component (PubMed : 21980433, PubMed : 33268465). Within ECS complexes, RNF7/RBX2 recruits the E2 ubiquitination enzyme to the complex via its RING-type and brings it into close proximity to the substrate (PubMed : 34518685). Catalytic subunit of various SOCS-containing ECS complexes, such as the ECS(SOCS7) complex, that regulate reelin signaling by mediating ubiquitination and degradation of DAB1 (By similarity). The ECS(SOCS2) complex mediates the ubiquitination and subsequent proteasomal degradation of phosphorylated EPOR and GHR (PubMed : 21980433, PubMed : 25505247). Promotes ubiquitination and degradation of NF1, thereby regulating Ras protein signal transduction (By similarity). As part of the ECS(ASB9) complex, catalyzes ubiquitination and degradation of CKB (PubMed : 33268465). The ECS(SPSB3) complex catalyzes ubiquitination of nuclear CGAS (PubMed : 38418882). As part of some ECS complex, catalyzes 'Lys-11'-linked ubiquitination and degradation of BTRC (PubMed : 27910872). ECS complexes and ARIH2 collaborate in tandem to mediate ubiquitination of target proteins; ARIH2 mediating addition of the first ubiquitin on CRLs targets (PubMed : 34518685, PubMed : 38418882). Specifically catalyzes the neddylation of CUL5 via its interaction with UBE2F (PubMed : 19250909). Does not catalyze neddylation of other cullins (CUL1, CUL2, CUL3, CUL4A or CUL4B) (PubMed : 19250909). May play a role in protecting cells from apoptosis induced by redox agents (PubMed : 10082581).. Isoform 2. Inactive.. (Microbial infection) Following infection by HIV-1 virus, catalytic component of a cullin-5-RING E3 ubiquitin-protein ligase complex (ECS complex) hijacked by the HIV-1 Vif protein, which catalyzes ubiquitination and degradation of APOBEC3F and APOBEC3G.
See full target information RNF7

Publications (10)

Recent publications for all applications. Explore the full list and refine your search

Molecular carcinogenesis 64:652-667 PubMed39783768

2025

RNF7-Mediated ROS Targets Malignant Phenotype and Radiotherapy Sensitivity in Glioma With Different IDH1 Genotypes.

Applications

Unspecified application

Species

Unspecified reactive species

Yiran Tao,Zimin Shi,Xianyin Liang,Yuqian Zheng,Lirui Dai,Xiang Li,Zian Li,Wulong Liang,Gaojie Bai,Hao Li,Yuan Lyu,Junqi Li,Tao Zhang,Weihua Hu,Shaolong Zhou,Qiao Shan,Xudong Fu,Xinjun Wang

iScience 27:109802 PubMed38746666

2024

Discovery of SOCS7 as a versatile E3 ligase for protein-based degraders.

Applications

Unspecified application

Species

Unspecified reactive species

Anaïs Cornebois,Marie Sorbara,Margot Cristol,Emmanuelle Vigne,Pierre Cordelier,Klervi Desrumeaux,Nicolas Bery

Nature communications 14:6774 PubMed37891180

2023

N-terminal acetylation shields proteins from degradation and promotes age-dependent motility and longevity.

Applications

Unspecified application

Species

Unspecified reactive species

Sylvia Varland,Rui Duarte Silva,Ine Kjosås,Alexandra Faustino,Annelies Bogaert,Maximilian Billmann,Hadi Boukhatmi,Barbara Kellen,Michael Costanzo,Adrian Drazic,Camilla Osberg,Katherine Chan,Xiang Zhang,Amy Hin Yan Tong,Simonetta Andreazza,Juliette J Lee,Lyudmila Nedyalkova,Matej Ušaj,Alexander J Whitworth,Brenda J Andrews,Jason Moffat,Chad L Myers,Kris Gevaert,Charles Boone,Rui Gonçalo Martinho,Thomas Arnesen

Journal of cellular and molecular medicine 27:277-286 PubMed36578229

2022

RNF7 promotes glioma growth via the PI3K/AKT signalling axis.

Applications

Unspecified application

Species

Unspecified reactive species

Nan Tang,Kai Zhu,Cheng Jiang,Zhiyong Xiong,Qiangping Wang,Junjun Li,Weiming Xu

Cellular & molecular biology letters 27:36 PubMed35562668

2022

RNF7 inhibits apoptosis and sunitinib sensitivity and promotes glycolysis in renal cell carcinoma via the SOCS1/JAK/STAT3 feedback loop.

Applications

Unspecified application

Species

Unspecified reactive species

Chengwu Xiao,Wei Zhang,Meimian Hua,Huan Chen,Bin Yang,Ye Wang,Qing Yang

FASEB journal : official publication of the Federation of American Societies for Experimental Biology 35:e21800 PubMed34324733

2021

Cullin 2-RBX1 E3 ligase and USP2 regulate antithrombin ubiquitination and stability.

Applications

Unspecified application

Species

Unspecified reactive species

Dacai Xu,Jiawen Wu,Jinghong Chen,Liling Jiang,Juan Chen,Wenhao Bao,Xin Chen,Qianqian Yang,Xiaolan Zhang,Leyi Yao,Huabo Su,Jinbao Liu

eLife 8: PubMed31741433

2019

Genome-wide CRISPR screening reveals genetic modifiers of mutant EGFR dependence in human NSCLC.

Applications

Unspecified application

Species

Unspecified reactive species

Hao Zeng,Johnny Castillo-Cabrera,Mika Manser,Bo Lu,Zinger Yang,Vaik Strande,Damien Begue,Raffaella Zamponi,Shumei Qiu,Frederic Sigoillot,Qiong Wang,Alicia Lindeman,John S Reece-Hoyes,Carsten Russ,Debora Bonenfant,Xiaomo Jiang,Youzhen Wang,Feng Cong

eLife 8: PubMed31294695

2019

The CUL5 ubiquitin ligase complex mediates resistance to CDK9 and MCL1 inhibitors in lung cancer cells.

Applications

Unspecified application

Species

Unspecified reactive species

Shaheen Kabir,Justin Cidado,Courtney Andersen,Cortni Dick,Pei-Chun Lin,Therese Mitros,Hong Ma,Seung Hyun Baik,Matthew A Belmonte,Lisa Drew,Jacob E Corn

Developmental dynamics : an official publication o 247:1227-1236 PubMed30269386

2018

Comparative Analysis of cul5 and rbx2 Expression in the Developing and Adult Murine Brain and Their Essentiality During Mouse Embryogenesis.

Applications

Unspecified application

Species

Unspecified reactive species

Keiko Hino,Sergi Simó,Jonathan A Cooper

Scientific reports 7:43683 PubMed28252001

2017

RNF7 knockdown inhibits prostate cancer tumorigenesis by inactivation of ERK1/2 pathway.

Applications

WB

Species

Unspecified reactive species

Yangjiong Xiao,Yan Jiang,Hongmei Song,Tao Liang,Yonghui Li,Dongliang Yan,Qiang Fu,Zuowei Li
View all publications

Product promise

We are committed to supporting your work with high-quality reagents, and we're here for you every step of the way. In the unlikely event that one of our products does not perform as expected, you're protected by our Product Promise.
For full details, please see our Terms & Conditions

Please note: All products are 'FOR RESEARCH USE ONLY. NOT FOR USE IN DIAGNOSTIC OR THERAPEUTIC PROCEDURES'.

For licensing inquiries, please contact partnerships@abcam.com