JavaScript is disabled in your browser. Please enable JavaScript to view this website.
AB250553

Anti-RNF7 antibody [EPR12001] - BSA and Azide free

Be the first to review this product! Submit a review

|

(1 Publication)

Rabbit Recombinant Monoclonal RNF7 antibody. Carrier free. Suitable for IHC-P, ICC/IF, WB and reacts with Mouse, Human samples. Cited in 1 publication.

View Alternative Names

RBX2, ROC2, SAG, RNF7, RING-box protein 2, Rbx2, CKII beta-binding protein 1, RING finger protein 7, Regulator of cullins 2, Sensitive to apoptosis gene protein, CKBBP1

5 Images
Immunocytochemistry/ Immunofluorescence - Anti-RNF7 antibody [EPR12001] - BSA and Azide free (AB250553)
  • ICC/IF

Supplier Data

Immunocytochemistry/ Immunofluorescence - Anti-RNF7 antibody [EPR12001] - BSA and Azide free (AB250553)

This data was developed using ab181986, the same antibody clone in a different buffer formulation.

Immunofluorescence analysis of HepG2 cells (fixative 4% paraformaldehyde) labeling RNF7 with ab181986 at a 1/100 dilution.Goat anti rabbit IgG (Dylight 555) secondary used at a 1/200 diution.

Western blot - Anti-RNF7 antibody [EPR12001] - BSA and Azide free (AB250553)
  • WB

Supplier Data

Western blot - Anti-RNF7 antibody [EPR12001] - BSA and Azide free (AB250553)

This data was developed using ab181986, the same antibody clone in a different buffer formulation.

All lanes:

Western blot - Anti-RNF7 antibody [EPR12001] (<a href='/en-us/products/primary-antibodies/rnf7-antibody-epr12001-ab181986'>ab181986</a>) at 1/5000 dilution

All lanes:

HepG2 lysate at 10 µg

Secondary

All lanes:

Goat Anti-Rabbit IgG, (H+L), Peroxidase conjugated at 1/1000 dilution

Predicted band size: 13 kDa

false

Western blot - Anti-RNF7 antibody [EPR12001] - BSA and Azide free (AB250553)
  • WB

Unknown

Western blot - Anti-RNF7 antibody [EPR12001] - BSA and Azide free (AB250553)

This data was developed using ab181986, the same antibody clone in a different buffer formulation.

All lanes:

Western blot - Anti-RNF7 antibody [EPR12001] (<a href='/en-us/products/primary-antibodies/rnf7-antibody-epr12001-ab181986'>ab181986</a>) at 1/5000 dilution

Lane 1:

Mouse heart tissue lysate at 20 µg

Lane 2:

Mouse kidney tissue lysate at 20 µg

Secondary

All lanes:

Goat Anti-Rabbit IgG, (H+L), Peroxidase conjugated at 1/1000 dilution

Predicted band size: 13 kDa

false

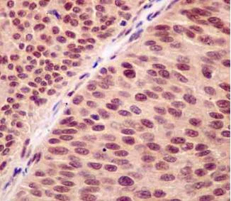
Immunohistochemistry (Formalin/PFA-fixed paraffin-embedded sections) - Anti-RNF7 antibody [EPR12001] - BSA and Azide free (AB250553)
  • IHC-P

Supplier Data

Immunohistochemistry (Formalin/PFA-fixed paraffin-embedded sections) - Anti-RNF7 antibody [EPR12001] - BSA and Azide free (AB250553)

This data was developed using ab181986, the same antibody clone in a different buffer formulation.

Immunohistochemical analysis of paraffin embedded Human transitional cell carcinoma of bladder tissue labeling RNF7 with
ab181986 at a 1/50 dilution. Prediluted HRP Polymer for Rabbit IgG secondary used. Counterstained with Hematoxylin.

Perform heat mediated antigen retrieval with EDTA buffer pH 9 before commencing with IHC staining protocol.

Immunohistochemistry (Formalin/PFA-fixed paraffin-embedded sections) - Anti-RNF7 antibody [EPR12001] - BSA and Azide free (AB250553)
  • IHC-P

Supplier Data

Immunohistochemistry (Formalin/PFA-fixed paraffin-embedded sections) - Anti-RNF7 antibody [EPR12001] - BSA and Azide free (AB250553)

This data was developed using ab181986, the same antibody clone in a different buffer formulation.

Immunohistochemical analysis of paraffin embedded Mouse liver tissue labeling RNF7 with ab181986 at a 1/50 dilution. Prediluted HRP Polymer for Rabbit IgG secondary used. Counterstained with Hematoxylin.

Perform heat mediated antigen retrieval with EDTA buffer pH 9 before commencing with IHC staining protocol.

Key facts

Host species

Rabbit

Clonality

Monoclonal

Clone number

EPR12001

Isotype

IgG

Carrier free

Yes

Reacts with

Mouse, Human

Applications

IHC-P, WB, ICC/IF

applications

Immunogen

The exact immunogen used to generate this antibody is proprietary information.

Reactivity data

{ "title": "Reactivity Data", "filters": { "stats": ["", "Species", "Dilution Info", "Notes"], "tabs": { "all-applications": {"fullname" : "All Applications", "shortname": "All Applications"}, "IHCP" : {"fullname" : "Immunohistochemistry (Formalin/PFA-fixed paraffin-embedded sections)", "shortname":"IHC-P"}, "ICCIF" : {"fullname" : "Immunocytochemistry/ Immunofluorescence", "shortname":"ICC/IF"}, "WB" : {"fullname" : "Western blot", "shortname":"WB"} }, "product-promise": { "all": "all", "testedAndGuaranteed": "tested", "guaranteed": "expected", "predicted": "predicted", "notRecommended": "not-recommended" } }, "values": { "Human": { "IHCP-species-checked": "testedAndGuaranteed", "IHCP-species-dilution-info": "", "IHCP-species-notes": "<p>For antigen retrieval, heat up to 98 degree C, below boiling, and then let cool for 10-20 minutes.</p> Perform heat-mediated antigen retrieval before commencing with IHC staining protocol.", "ICCIF-species-checked": "testedAndGuaranteed", "ICCIF-species-dilution-info": "", "ICCIF-species-notes": "<p></p>", "WB-species-checked": "testedAndGuaranteed", "WB-species-dilution-info": "", "WB-species-notes": "<p></p>" }, "Mouse": { "IHCP-species-checked": "testedAndGuaranteed", "IHCP-species-dilution-info": "", "IHCP-species-notes": "<p>For antigen retrieval, heat up to 98 degree C, below boiling, and then let cool for 10-20 minutes.</p> Perform heat-mediated antigen retrieval before commencing with IHC staining protocol.", "ICCIF-species-checked": "guaranteed", "ICCIF-species-dilution-info": "", "ICCIF-species-notes": "", "WB-species-checked": "testedAndGuaranteed", "WB-species-dilution-info": "", "WB-species-notes": "<p></p>" }, "Rat": { "IHCP-species-checked": "predicted", "IHCP-species-dilution-info": "", "IHCP-species-notes": "", "ICCIF-species-checked": "predicted", "ICCIF-species-dilution-info": "", "ICCIF-species-notes": "", "WB-species-checked": "predicted", "WB-species-dilution-info": "", "WB-species-notes": "" } } }

Product details

ab250553 is the carrier-free version of ab181986.

Patented technology
Our RabMAb® technology is a patented hybridoma-based technology for making rabbit monoclonal antibodies. For details on our patents, please refer to RabMAb® patents.

What are the advantages of a recombinant monoclonal antibody?
This product is a recombinant monoclonal antibody, which offers several advantages including:

  • - High batch-to-batch consistency and reproducibility
  • - Improved sensitivity and specificity
  • - Long-term security of supply
  • - Animal-free batch production

For more information, read more on recombinant antibodies.

Conjugation ready
Our carrier-free antibodies are typically supplied in a PBS-only formulation, purified and free of BSA, sodium azide and glycerol. This conjugation-ready format is designed for use with fluorochromes, metal isotopes, oligonucleotides, and enzymes, which makes them ideal for antibody labelling, functional and cell-based assays, flow-based assays (e.g. mass cytometry) and Multiplex Imaging applications.

Use our conjugation kits for antibody conjugates that are ready-to-use in as little as 20 minutes with 1 minute hands-on-time and 100% antibody recovery: available for fluorescent dyes, HRP, biotin and gold.

Compatibility
This product is compatible with the Maxpar® Antibody Labeling Kit from Fluidigm, without the need for antibody preparation. Maxpar® is a trademark of Fluidigm Canada Inc.

Properties and storage information

Form
Liquid
Purification technique
Affinity purification Protein A
Storage buffer
pH: 7.2 - 7.4 Constituents: PBS
Shipped at conditions
Blue Ice
Appropriate short-term storage conditions
+4°C
Appropriate long-term storage conditions
+4°C
Storage information
Do Not Freeze

Product protocols

For this product, it's our understanding that no specific protocols are required. You can visit:

Target data

Catalytic component of multiple cullin-5-RING E3 ubiquitin-protein ligase complexes (ECS complexes), which mediate the ubiquitination and subsequent proteasomal degradation of target proteins (PubMed : 21980433, PubMed : 33268465, PubMed : 38418882, PubMed : 38574733). It is thereby involved in various biological processes, such as cell cycle progression, signal transduction and transcription (PubMed : 21980433, PubMed : 33268465, PubMed : 38418882, PubMed : 38574733). The functional specificity of the E3 ubiquitin-protein ligase ECS complexes depend on the variable SOCS box-containing substrate recognition component (PubMed : 21980433, PubMed : 33268465). Within ECS complexes, RNF7/RBX2 recruits the E2 ubiquitination enzyme to the complex via its RING-type and brings it into close proximity to the substrate (PubMed : 34518685). Catalytic subunit of various SOCS-containing ECS complexes, such as the ECS(SOCS7) complex, that regulate reelin signaling by mediating ubiquitination and degradation of DAB1 (By similarity). The ECS(SOCS2) complex mediates the ubiquitination and subsequent proteasomal degradation of phosphorylated EPOR and GHR (PubMed : 21980433, PubMed : 25505247). Promotes ubiquitination and degradation of NF1, thereby regulating Ras protein signal transduction (By similarity). As part of the ECS(ASB9) complex, catalyzes ubiquitination and degradation of CKB (PubMed : 33268465). The ECS(SPSB3) complex catalyzes ubiquitination of nuclear CGAS (PubMed : 38418882). As part of some ECS complex, catalyzes 'Lys-11'-linked ubiquitination and degradation of BTRC (PubMed : 27910872). ECS complexes and ARIH2 collaborate in tandem to mediate ubiquitination of target proteins; ARIH2 mediating addition of the first ubiquitin on CRLs targets (PubMed : 34518685, PubMed : 38418882). Specifically catalyzes the neddylation of CUL5 via its interaction with UBE2F (PubMed : 19250909). Does not catalyze neddylation of other cullins (CUL1, CUL2, CUL3, CUL4A or CUL4B) (PubMed : 19250909). May play a role in protecting cells from apoptosis induced by redox agents (PubMed : 10082581).. Isoform 2. Inactive.. (Microbial infection) Following infection by HIV-1 virus, catalytic component of a cullin-5-RING E3 ubiquitin-protein ligase complex (ECS complex) hijacked by the HIV-1 Vif protein, which catalyzes ubiquitination and degradation of APOBEC3F and APOBEC3G.
See full target information RNF7

Publications (1)

Recent publications for all applications. Explore the full list and refine your search

Oncology letters 26:458 PubMed37736555

2023

S100A6 is a potential diagnostic and prognostic biomarker for human glioma.

Applications

Unspecified application

Species

Unspecified reactive species

Bo Hong,Hui Zhang,Yufei Xiao,Lingwei Shen,Yun Qian
View all publications

Product promise

We are committed to supporting your work with high-quality reagents, and we're here for you every step of the way. In the unlikely event that one of our products does not perform as expected, you're protected by our Product Promise.
For full details, please see our Terms & Conditions

Please note: All products are 'FOR RESEARCH USE ONLY. NOT FOR USE IN DIAGNOSTIC OR THERAPEUTIC PROCEDURES'.

For licensing inquiries, please contact partnerships@abcam.com