JavaScript is disabled in your browser. Please enable JavaScript to view this website.
AB234977

Anti-RNF8 antibody

Be the first to review this product! Submit a review

|

(2 Publications)

Rabbit Polyclonal RNF8 antibody. Suitable for WB, IHC-P and reacts with Human samples. Cited in 2 publications. Immunogen corresponding to Recombinant Fragment Protein within Human RNF8 aa 1-300.

View Alternative Names

KIAA0646, RNF8, E3 ubiquitin-protein ligase RNF8, hRNF8, RING finger protein 8, RING-type E3 ubiquitin transferase RNF8

2 Images
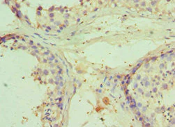
Immunohistochemistry (Formalin/PFA-fixed paraffin-embedded sections) - Anti-RNF8 antibody (AB234977)
  • IHC-P

Supplier Data

Immunohistochemistry (Formalin/PFA-fixed paraffin-embedded sections) - Anti-RNF8 antibody (AB234977)

Paraffin-embedded human testis tissue stained for RNF8 with ab234977 at 1/100 dilution in immunohistochemical analysis.

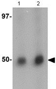
Western blot - Anti-RNF8 antibody (AB234977)
  • WB

Supplier Data

Western blot - Anti-RNF8 antibody (AB234977)

All lanes:

Western blot - Anti-RNF8 antibody (ab234977) at 1/500 dilution

Lane 1:

HeLa (Human epithelial cell line from cervix adenocarcinoma) whole cell lysate

Lane 2:

HEK-293T (Human epithelial cell line from embryonic kidney transformed with large T antigen) whole cell lysate

Secondary

All lanes:

Goat polyclonal to rabbit IgG at 1/10000 dilution

Predicted band size: 55 kDa

false

Key facts

Host species

Rabbit

Clonality

Polyclonal

Isotype

IgG

Carrier free

No

Reacts with

Human

Applications

IHC-P, WB

applications

Immunogen

Recombinant Fragment Protein within Human RNF8 aa 1-300. The exact immunogen used to generate this antibody is proprietary information.

O76064

Reactivity data

{ "title": "Reactivity Data", "filters": { "stats": ["", "Species", "Dilution Info", "Notes"], "tabs": { "all-applications": {"fullname" : "All Applications", "shortname": "All Applications"}, "WB" : {"fullname" : "Western blot", "shortname":"WB"}, "IHCP" : {"fullname" : "Immunohistochemistry (Formalin/PFA-fixed paraffin-embedded sections)", "shortname":"IHC-P"} }, "product-promise": { "all": "all", "testedAndGuaranteed": "tested", "guaranteed": "expected", "predicted": "predicted", "notRecommended": "not-recommended" } }, "values": { "Human": { "WB-species-checked": "testedAndGuaranteed", "WB-species-dilution-info": "1/500 - 1/5000", "WB-species-notes": "<p></p>", "IHCP-species-checked": "testedAndGuaranteed", "IHCP-species-dilution-info": "1/20 - 1/200", "IHCP-species-notes": "<p></p>" }, "Orangutan": { "WB-species-checked": "predicted", "WB-species-dilution-info": "", "WB-species-notes": "", "IHCP-species-checked": "predicted", "IHCP-species-dilution-info": "", "IHCP-species-notes": "" } } }

Properties and storage information

Form
Liquid
Purification technique
Affinity purification Immunogen
Storage buffer
pH: 7.3 Preservative: 0.02% Sodium azide Constituents: PBS, 50% Glycerol (glycerin, glycerine)
Shipped at conditions
Blue Ice
Appropriate short-term storage duration
1-2 weeks
Appropriate short-term storage conditions
+4°C
Appropriate long-term storage conditions
-20°C
Aliquoting information
Upon delivery aliquot
Storage information
Avoid freeze / thaw cycle

Product protocols

For this product, it's our understanding that no specific protocols are required. You can visit:

Target data

E3 ubiquitin-protein ligase that plays a key role in DNA damage signaling via 2 distinct roles : by mediating the 'Lys-63'-linked ubiquitination of histones H2A and H2AX and promoting the recruitment of DNA repair proteins at double-strand breaks (DSBs) sites, and by catalyzing 'Lys-48'-linked ubiquitination to remove target proteins from DNA damage sites. Following DNA DSBs, it is recruited to the sites of damage by ATM-phosphorylated MDC1 and catalyzes the 'Lys-63'-linked ubiquitination of histones H2A and H2AX, thereby promoting the formation of TP53BP1 and BRCA1 ionizing radiation-induced foci (IRIF) (PubMed : 18001824, PubMed : 18006705). Also controls the recruitment of UIMC1-BRCC3 (RAP80-BRCC36) and PAXIP1/PTIP to DNA damage sites (PubMed : 18077395, PubMed : 19202061). Promotes the recruitment of NBN to DNA damage sites by catalyzing 'Lys-6'-linked ubiquitination of NBN (PubMed : 23115235). Also recruited at DNA interstrand cross-links (ICLs) sites and catalyzes 'Lys-63'-linked ubiquitination of histones H2A and H2AX, leading to recruitment of FAAP20/C1orf86 and Fanconi anemia (FA) complex, followed by interstrand cross-link repair. H2A ubiquitination also mediates the ATM-dependent transcriptional silencing at regions flanking DSBs in cis, a mechanism to avoid collision between transcription and repair intermediates. Promotes the formation of 'Lys-63'-linked polyubiquitin chains via interactions with the specific ubiquitin-conjugating UBE2N/UBC13 and ubiquitinates non-histone substrates such as PCNA. Substrates that are polyubiquitinated at 'Lys-63' are usually not targeted for degradation. Also catalyzes the formation of 'Lys-48'-linked polyubiquitin chains via interaction with the ubiquitin-conjugating UBE2L6/UBCH8, leading to degradation of substrate proteins such as CHEK2, JMJD2A/KDM4A and KU80/XRCC5 : it is still unclear how the preference toward 'Lys-48'- versus 'Lys-63'-linked ubiquitination is regulated but it could be due to RNF8 ability to interact with specific E2 specific ligases. For instance, interaction with phosphorylated HERC2 promotes the association between RNF8 and UBE2N/UBC13 and favors the specific formation of 'Lys-63'-linked ubiquitin chains. Promotes non-homologous end joining (NHEJ) by promoting the 'Lys-48'-linked ubiquitination and degradation the of KU80/XRCC5. Following DNA damage, mediates the ubiquitination and degradation of JMJD2A/KDM4A in collaboration with RNF168, leading to unmask H4K20me2 mark and promote the recruitment of TP53BP1 at DNA damage sites (PubMed : 11322894, PubMed : 14981089, PubMed : 17724460, PubMed : 18001825, PubMed : 18337245, PubMed : 18948756, PubMed : 19015238, PubMed : 19124460, PubMed : 19203578, PubMed : 19203579, PubMed : 20550933, PubMed : 21558560, PubMed : 21857671, PubMed : 21911360, PubMed : 22266820, PubMed : 22373579, PubMed : 22531782, PubMed : 22705371, PubMed : 22980979). Following DNA damage, mediates the ubiquitination and degradation of POLD4/p12, a subunit of DNA polymerase delta. In the absence of POLD4, DNA polymerase delta complex exhibits higher proofreading activity (PubMed : 23233665). In addition to its function in damage signaling, also plays a role in higher-order chromatin structure by mediating extensive chromatin decondensation. Involved in the activation of ATM by promoting histone H2B ubiquitination, which indirectly triggers histone H4 'Lys-16' acetylation (H4K16ac), establishing a chromatin environment that promotes efficient activation of ATM kinase. Required in the testis, where it plays a role in the replacement of histones during spermatogenesis. At uncapped telomeres, promotes the joining of deprotected chromosome ends by inducing H2A ubiquitination and TP53BP1 recruitment, suggesting that it may enhance cancer development by aggravating telomere-induced genome instability in case of telomeric crisis. Promotes the assembly of RAD51 at DNA DSBs in the absence of BRCA1 and TP53BP1 Also involved in class switch recombination in immune system, via its role in regulation of DSBs repair (PubMed : 22865450). May be required for proper exit from mitosis after spindle checkpoint activation and may regulate cytokinesis. May play a role in the regulation of RXRA-mediated transcriptional activity. Not involved in RXRA ubiquitination by UBE2E2 (PubMed : 11322894, PubMed : 14981089, PubMed : 17724460, PubMed : 18001825, PubMed : 18337245, PubMed : 18948756, PubMed : 19015238, PubMed : 19124460, PubMed : 19203578, PubMed : 19203579, PubMed : 20550933, PubMed : 21558560, PubMed : 21857671, PubMed : 21911360, PubMed : 22266820, PubMed : 22373579, PubMed : 22531782, PubMed : 22705371, PubMed : 22980979).
See full target information RNF8

Publications (2)

Recent publications for all applications. Explore the full list and refine your search

Advanced science (Weinheim, Baden-Wurttemberg, Germany) 12:e2416590 PubMed40298908

2025

Nuclear-Localized BCKDK Facilitates Homologous Recombination Repair to Support Breast Cancer Progression and Therapy Resistance.

Applications

Unspecified application

Species

Unspecified reactive species

Haiying Liu,Jiaqian Feng,Tingting Pan,Pinggen Zhang,Ling Ye,Zetan Jiang,Zilong Zhou,Qiankun Mao,Jian Li,Xinyi Yang,Ping Gao,De Huang,Huafeng Zhang

Journal of cellular and molecular medicine 28:e70285 PubMed39707673

2024

Melatonin Reduces Mito-Inflammation in Ischaemic Hippocampal HT22 Cells and Modulates the cGAS-STING Cytosolic DNA Sensing Pathway and FGF21 Release.

Applications

Unspecified application

Species

Unspecified reactive species

Silvia Carloni,Maria Gemma Nasoni,Anna Casabianca,Chiara Orlandi,Loredana Capobianco,Giorgia Natalia Iaconisi,Liana Cerioni,Sabrina Burattini,Serena Benedetti,Russel J Reiter,Walter Balduini,Francesca Luchetti
View all publications

Product promise

We are committed to supporting your work with high-quality reagents, and we're here for you every step of the way. In the unlikely event that one of our products does not perform as expected, you're protected by our Product Promise.
For full details, please see our Terms & Conditions

Please note: All products are 'FOR RESEARCH USE ONLY. NOT FOR USE IN DIAGNOSTIC OR THERAPEUTIC PROCEDURES'.

For licensing inquiries, please contact partnerships@abcam.com