JavaScript is disabled in your browser. Please enable JavaScript to view this website.
AB256791

Anti-Robo1 antibody [EPR23699-159]

Be the first to review this product! Submit a review

|

(3 Publications)

Rabbit Recombinant Monoclonal ROBO1 antibody. Suitable for IP, Flow Cyt, WB and reacts with Mouse, Human, Rat samples. Cited in 3 publications.

View Alternative Names

DUTT1, ROBO1, Roundabout homolog 1, Deleted in U twenty twenty, H-Robo-1

9 Images
Flow Cytometry - Anti-Robo1 antibody [EPR23699-159] (AB256791)
  • Flow Cyt

Unknown

Flow Cytometry - Anti-Robo1 antibody [EPR23699-159] (AB256791)

Flow cytometric analysis of LoVo (Human colorectal adenocarcinoma epithelial cell) (Left) / HeLa (Human cervix adenocarcinoma epithelial cell) (Right) cells labelling Robo1 with ab256791 at 1/500 dilution (0.1ug) (Red) compared with a Rabbit monoclonal IgG (ab172730) (Black) isotype control and an unlabelled control (cells without incubation with primary antibody and secondary antibody) (Blue).

Goat anti rabbit IgG (Alexa Fluor® 488, ab150077) at 1/2000 dilution was used as the secondary antibody.

Negative control : LoVo(PMID : 16740745).

Gated on viable cells.

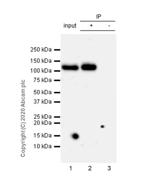
Immunoprecipitation - Anti-Robo1 antibody [EPR23699-159] (AB256791)
  • IP

Unknown

Immunoprecipitation - Anti-Robo1 antibody [EPR23699-159] (AB256791)

Robo1 was immunoprecipitated from 0.35 mg HepG2 whole cell lysate with ab256791 at 1/30 dilution (2ug in 0.35mg lysates). Western blot was performed on the immunoprecipitate using ab256791 at 1/1000 dilution. VeriBlot for IP Detection Reagent (HRP)(ab131366) was used at 1/5000 dilution.

Lane 1 : HepG2 whole cell lysate 10 ug.

Lane 2 : ab256791 IP in HepG2 whole cell lysate.

Lane 3 : Rabbit monoclonal IgG (ab172730) instead of ab256791 in HepG2 whole cell lysate.

Blocking and dilution buffer and concentration : 5% NFDM/TBST.

Exposure time : 93 seconds.

All lanes:

Immunoprecipitation - Anti-Robo1 antibody [EPR23699-159] (ab256791)

Predicted band size: 181 kDa

false

Immunoprecipitation - Anti-Robo1 antibody [EPR23699-159] (AB256791)
  • IP

Unknown

Immunoprecipitation - Anti-Robo1 antibody [EPR23699-159] (AB256791)

Robo1 was immunoprecipitated from 0.35 mg Mouse E14.5 brain tissue lysate with ab256791 at 1/30 dilution (2ug in 0.35mg lysates). Western blot was performed on the immunoprecipitate using ab256791 at 1/500 dilution. VeriBlot for IP Detection Reagent (HRP)(ab131366) was used at 1/1000 dilution.

Lane 1 : Mouse E14.5 brain tissue lysate 10 ug.

Lane 2 : ab256791 IP in Mouse E14.5 brain tissue lysate.

Lane 3 : Rabbit monoclonal IgG (ab172730) instead of ab256791 in mouse E14.5 brain tissue lysate.

Blocking and dilution buffer and concentration : 5% NFDM/TBST.

Exposure time : 1 second.

All lanes:

Immunoprecipitation - Anti-Robo1 antibody [EPR23699-159] (ab256791)

Predicted band size: 181 kDa

Observed band size: 120 kDa

false

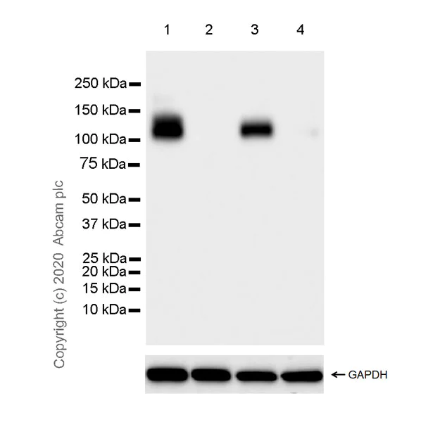
Western blot - Anti-Robo1 antibody [EPR23699-159] (AB256791)
  • WB

Lab

Western blot - Anti-Robo1 antibody [EPR23699-159] (AB256791)

Lanes 1 - 4 : Merged signal (red and green). Green - ab256791 observed at 120 kDa. Red - loading control, ab8245 (Mouse anti-GAPDH antibody [6C5]) observed at 37 kDa.

ab256791 was shown to react with Robo1 in western blot. The band observed in the CRISPR/Cas9 edited lysate lane below 120 kDa is likely to represent a truncated form. This has not been investigated further. Membranes were blocked in 3 % milk in TBS-T (0.1 % Tween®) before incubation with ab256791 and ab8245 (Mouse anti-GAPDH antibody [6C5]) overnight at 4 °C at a 1 in 1000 dilution and a 1 in 20000 dilution respectively. Blots were incubated with Goat anti-Rabbit IgG H&L (IRDye® 800CW) preabsorbed (ab216773) and Goat anti-Mouse IgG H&L (IRDye® 680RD) preabsorbed (ab216776) secondary antibodies at 1 in 20000 dilution for 1 h at room temperature before imaging.

All lanes:

Western blot - Anti-Robo1 antibody [EPR23699-159] (ab256791) at 1/1000 dilution

Lane 1:

Wild-type HAP1 cell lysate at 20 µg

Lane 2:

ROBO1 CRISPR/Cas9 edited HAP1 cell lysate at 20 µg

Lane 3:

HeLa cell lysate at 20 µg

Lane 4:

MCF7 cell lysate at 20 µg

Predicted band size: 181 kDa

Observed band size: 120 kDa

false

Western blot - Anti-Robo1 antibody [EPR23699-159] (AB256791)
  • WB

Lab

Western blot - Anti-Robo1 antibody [EPR23699-159] (AB256791)

Blocking and diluting buffer and concentration : 5% NFDM/TBST.

The molecular weight observed is consistent with what has been described in the literature (PMID : 20471383, 16740745). The 120/130-kDa bands correspond to the Robo1 cleavage fragments from metalloprotease and/or gamma secretase activities (PMID : 20570941, 20471383).

Negative control : LoVo (PMID : 16740745); Low expression : MCF7 (PMID : 16740745).

Lysates used in this blot have experienced a freeze-thaw cycle.

Exposure time : 10 seconds.

All lanes:

Western blot - Anti-Robo1 antibody [EPR23699-159] (ab256791) at 1/1000 dilution

Lane 1:

HeLa (human cervix adenocarcinoma epithelial cell) whole cell lysate at 20 µg

Lane 2:

LoVo (human colorectal adenocarcinoma epithelial cell) whole cell lysate at 20 µg

Lane 3:

HepG2 (human hepatocellular carcinoma epithelial cell) whole cell lysate at 20 µg

Lane 4:

MCF7 (human breast adenocarcinoma epithelial cell) whole cell lysate at 20 µg

Secondary

All lanes:

Goat Anti-Rabbit IgG, (H+L), Peroxidase conjugated (<a href='/en-us/products/secondary-antibodies/goat-rabbit-igg-h-l-hrp-ab97051'>ab97051</a>) at 1/50000 dilution

Predicted band size: 181 kDa

Observed band size: 120-130 kDa

false

Western blot - Anti-Robo1 antibody [EPR23699-159] (AB256791)
  • WB

Lab

Western blot - Anti-Robo1 antibody [EPR23699-159] (AB256791)

Western blot : Anti-ROBO1 antibody [EPR23699-159] (ab256791) staining at 1/1000 dilution, shown in green; Mouse anti-CANX [CANX/1543] (ab238078) loading control staining at 1/20000 dilution, shown in magenta. In Western blot, ab256791 was shown to bind specifically to ROBO1. A band was observed at 215 kDa in wild-type U-87 MG cell lysates with no signal observed at this size in ROBO1 knockout cell line. The identity of the lower band is unknown. To generate this image, wild-type and ROBO1 knockout U-87 MG cell lysates were analysed. First, samples were run on an SDS-PAGE gel then transferred onto a nitrocellulose membrane. Membranes were blocked in 3 % milk in TBS-0.1 % Tween® 20 (TBS-T) before incubation with primary antibodies overnight at 4 °C. Blots were washed four times in TBS-T, incubated with secondary antibodies for 1 h at room temperature, washed again four times then imaged. Secondary antibodies used were Goat anti-Rabbit IgG H&L 800CW and Goat anti-Mouse IgG H&L 680RD at 1/20000 dilution.

All lanes:

Western blot - Anti-Robo1 antibody [EPR23699-159] (ab256791) at 1/1000 dilution

Lane 1:

Wild-type U-87 MG cell lysate at 20 µg

Lane 2:

ROBO1 knockout U-87 MG cell lysate at 20 µg

Lane 3:

Wild-type HAP1 cell lysate at 20 µg

Lane 4:

ROBO1 knockout HAP1 cell lysate at 20 µg

Secondary

All lanes:

Goat anti-Rabbit IgG H&L 800CW and Goat anti-Mouse IgG H&L 680RD at 1/20000 dilution

Observed band size: 215 kDa

false

Western blot - Anti-Robo1 antibody [EPR23699-159] (AB256791)
  • WB

Unknown

Western blot - Anti-Robo1 antibody [EPR23699-159] (AB256791)

Buffer and concentration : 5% NFDM/TBST

250 kDa full length band and 130 kDa cleavage fragment band were ovserved.
Freshly prepared lysate was used in this blot.

All lanes:

Western blot - Anti-Robo1 antibody [EPR23699-159] (ab256791) at 1/1000 dilution

All lanes:

HeLa whole cell lysate at 20 µg

Secondary

All lanes:

Western blot - VeriBlot for IP Detection Reagent (HRP) (<a href='/en-us/products/reagents/veriblot-for-ip-detection-reagent-hrp-ab131366'>ab131366</a>) at 1/1000 dilution

Predicted band size: 181 kDa

Observed band size: 130 kDa,250 kDa

false

Exposure time: 92s

Western blot - Anti-Robo1 antibody [EPR23699-159] (AB256791)
  • WB

Lab

Western blot - Anti-Robo1 antibody [EPR23699-159] (AB256791)

Blocking and diluting buffer and concentration : 5% NFDM/TBST. These recombinant proteins were made in house. The sample loaded onto lane 1 was purified Robo1 recombinant protein expressed from a mammalian - HEK-293 expression system. The samples loaded onto lanes 2-4 were E.coil extracts containing Robo2, Robo3 or Robo4 recombinant protein respectively. Exposure time : 26 seconds.

All lanes:

Western blot - Anti-Robo1 antibody [EPR23699-159] (ab256791) at 1/1000 dilution

Lane 1:

His-tagged human Robo1 recommbinant protein (aa660-897(Q883R)) at 20 µg

Lane 2:

His-tagged human Robo2 recommbinant protein (aa621-859) at 10 µg

Lane 3:

His-tagged human Robo3 recommbinant protein (aa655-892) at 50 µg

Lane 4:

His-tagged human Robo4 recommbinant protein (aa301-463) at 30 µg

Secondary

All lanes:

Goat Anti-Rabbit IgG, (H+L), Peroxidase conjugated (<a href='/en-us/products/secondary-antibodies/goat-rabbit-igg-h-l-hrp-ab97051'>ab97051</a>) at 1/100000 dilution

Predicted band size: 181 kDa

Observed band size: 38 kDa

false

Western blot - Anti-Robo1 antibody [EPR23699-159] (AB256791)
  • WB

Lab

Western blot - Anti-Robo1 antibody [EPR23699-159] (AB256791)

Blocking and diluting buffer and concentration : 5% NFDM/TBST.

The 120 kDa band corresponds to the Robo1 cleavage fragments from metalloprotease and/or gamma secretase activities (PMID : 20570941, 20471383).

Lysates used in this blot have experienced a freeze-thaw cycle.

Exposure time : 70 seconds.

All lanes:

Western blot - Anti-Robo1 antibody [EPR23699-159] (ab256791) at 1/1000 dilution

Lane 1:

Mouse E14.5 brain tissue lysate at 20 µg

Lane 2:

C57 E18 brain tissue lysate at 20 µg

Lane 3:

Rat E14 brain tissue lysate at 20 µg

Secondary

All lanes:

Goat Anti-Rabbit IgG, (H+L), Peroxidase conjugated (<a href='/en-us/products/secondary-antibodies/goat-rabbit-igg-h-l-hrp-ab97051'>ab97051</a>) at 1/50000 dilution

Predicted band size: 181 kDa

Observed band size: 120 kDa,250 kDa

false

  • Carrier free

    Anti-Robo1 antibody [EPR23699-159] - BSA and Azide free

  • Carrier free

    Anti-Robo1 antibody [EPR23699-159] - BSA and Azide free (Capture)

Key facts

Host species

Rabbit

Clonality

Monoclonal

Clone number

EPR23699-159

Isotype

IgG

Carrier free

No

Reacts with

Mouse, Rat, Human

Applications

IP, Flow Cyt, WB

applications

Immunogen

The exact immunogen used to generate this antibody is proprietary information.

Reactivity data

{ "title": "Reactivity Data", "filters": { "stats": ["", "Species", "Dilution Info", "Notes"], "tabs": { "all-applications": {"fullname" : "All Applications", "shortname": "All Applications"}, "ICCIF" : {"fullname" : "Immunocytochemistry/ Immunofluorescence", "shortname":"ICC/IF"}, "IP" : {"fullname" : "Immunoprecipitation", "shortname":"IP"}, "FlowCyt" : {"fullname" : "Flow Cytometry", "shortname":"Flow Cyt"}, "WB" : {"fullname" : "Western blot", "shortname":"WB"}, "IHCP" : {"fullname" : "Immunohistochemistry (Formalin/PFA-fixed paraffin-embedded sections)", "shortname":"IHC-P"}, "IHCFr" : {"fullname" : "Immunohistochemistry (Frozen sections)", "shortname":"IHC-Fr"} }, "product-promise": { "all": "all", "testedAndGuaranteed": "tested", "guaranteed": "expected", "predicted": "predicted", "notRecommended": "not-recommended" } }, "values": { "Human": { "ICCIF-species-checked": "notRecommended", "ICCIF-species-dilution-info": "", "ICCIF-species-notes": "<p></p>", "IP-species-checked": "testedAndGuaranteed", "IP-species-dilution-info": "1/30", "IP-species-notes": "<p></p>", "FlowCyt-species-checked": "testedAndGuaranteed", "FlowCyt-species-dilution-info": "1/500", "FlowCyt-species-notes": "<p></p>", "WB-species-checked": "testedAndGuaranteed", "WB-species-dilution-info": "1/1000", "WB-species-notes": "<p></p>", "IHCP-species-checked": "notRecommended", "IHCP-species-dilution-info": "", "IHCP-species-notes": "<p></p>", "IHCFr-species-checked": "notRecommended", "IHCFr-species-dilution-info": "", "IHCFr-species-notes": "<p></p>" }, "Mouse": { "ICCIF-species-checked": "notRecommended", "ICCIF-species-dilution-info": "", "ICCIF-species-notes": "<p></p>", "IP-species-checked": "testedAndGuaranteed", "IP-species-dilution-info": "1/30", "IP-species-notes": "<p></p>", "FlowCyt-species-checked": "guaranteed", "FlowCyt-species-dilution-info": "", "FlowCyt-species-notes": "", "WB-species-checked": "testedAndGuaranteed", "WB-species-dilution-info": "1/1000", "WB-species-notes": "<p></p>", "IHCP-species-checked": "notRecommended", "IHCP-species-dilution-info": "", "IHCP-species-notes": "<p></p>", "IHCFr-species-checked": "notRecommended", "IHCFr-species-dilution-info": "", "IHCFr-species-notes": "<p></p>" }, "Rat": { "ICCIF-species-checked": "notRecommended", "ICCIF-species-dilution-info": "", "ICCIF-species-notes": "<p></p>", "IP-species-checked": "guaranteed", "IP-species-dilution-info": "", "IP-species-notes": "", "FlowCyt-species-checked": "guaranteed", "FlowCyt-species-dilution-info": "", "FlowCyt-species-notes": "", "WB-species-checked": "testedAndGuaranteed", "WB-species-dilution-info": "1/1000", "WB-species-notes": "<p></p>", "IHCP-species-checked": "notRecommended", "IHCP-species-dilution-info": "", "IHCP-species-notes": "<p></p>", "IHCFr-species-checked": "notRecommended", "IHCFr-species-dilution-info": "", "IHCFr-species-notes": "<p></p>" } } }

Product details

Patented technology
Our RabMAb® technology is a patented hybridoma-based technology for making rabbit monoclonal antibodies. For details on our patents, please refer to RabMAb® patents.

What are the advantages of a recombinant monoclonal antibody?
This product is a recombinant monoclonal antibody, which offers several advantages including:

  • - High batch-to-batch consistency and reproducibility
  • - Improved sensitivity and specificity
  • - Long-term security of supply
  • - Animal-free batch production

For more information, read more on recombinant antibodies.

Properties and storage information

Form
Liquid
Purification technique
Affinity purification Protein A
Storage buffer
pH: 7.2 - 7.4 Preservative: 0.01% Sodium azide Constituents: PBS, 40% Glycerol (glycerin, glycerine), 0.05% BSA
Shipped at conditions
Blue Ice
Appropriate short-term storage duration
1-2 weeks
Appropriate short-term storage conditions
+4°C
Appropriate long-term storage conditions
-20°C
Aliquoting information
Upon delivery aliquot
Storage information
Avoid freeze / thaw cycle

Supplementary information

This supplementary information is collated from multiple sources and compiled automatically.

The Roundabout homolog 1 (Robo1) also known as DUTT1 is a transmembrane receptor protein weighing approximately 181 kDa. It is part of the Robo receptor family specifically involved in axon guidance and neuronal migration. Robo1 primarily appears in neuronal tissues and other tissues like the lungs kidneys and prostate. Its role involves dynamic interactions with several ligands such as Slit proteins leading to the modulation of cellular pathways.
Biological function summary

Robo1 interacts with Slit proteins to control processes like repulsion of axonal growth cones during neuronal development. The protein acts as an important player in guiding neuronal connections and establishing boundaries. Robo1 does not function alone forming complexes with other receptors and cell adhesion molecules to execute its biological roles effectively. Structurally this receptor facilitates cellular responses to environmental cues through its cytoplasmic signaling cascade.

Pathways

Robo1 engages in the Slit-Robo signaling pathway essential for axonal guidance and cell migration. This pathway involves several key interactions with proteins such as DCC (Deleted in Colorectal Carcinoma) and Netrin impacting neuronal positioning and differentiation. Additionally Robo1 influences cellular orientation and tissue architecture by participating in the actin cytoskeleton remodeling pathway further demonstrating its significance in neuronal patterning.

Robo1 has links to cancer and neurodevelopmental disorders like autism spectrum disorders. The dysregulation of Robo1 expression has associations with aggressive tumor growth particularly in breast and lung cancers where altered signaling influences metastatic potential. Furthermore Robo1 interacts with proteins like Slit2 in cancer progression highlighting its importance in these conditions. In neurodevelopmental disorders altered Robo1 signaling can affect neural circuit formation contributing to changes seen in conditions like autism.

Product protocols

For this product, it's our understanding that no specific protocols are required. You can visit:

Target data

Receptor for SLIT1 and SLIT2 that mediates cellular responses to molecular guidance cues in cellular migration, including axonal navigation at the ventral midline of the neural tube and projection of axons to different regions during neuronal development (PubMed : 10102268, PubMed : 24560577). Interaction with the intracellular domain of FLRT3 mediates axon attraction towards cells expressing NTN1 (PubMed : 24560577). In axon growth cones, the silencing of the attractive effect of NTN1 by SLIT2 may require the formation of a ROBO1-DCC complex (By similarity). Plays a role in the regulation of cell migration via its interaction with MYO9B; inhibits MYO9B-mediated stimulation of RHOA GTPase activity, and thereby leads to increased levels of active, GTP-bound RHOA (PubMed : 26529257). May be required for lung development (By similarity).
See full target information ROBO1

Publications (3)

Recent publications for all applications. Explore the full list and refine your search

Frontiers in cell and developmental biology 12:1469541 PubMed39479514

2024

Myocardial infarction in rats was alleviated by MSCs derived from the maternal segment of the human umbilical cord.

Applications

Unspecified application

Species

Unspecified reactive species

Shuifen Sun,Linping Wang,Qisheng Tang,Jialian Yi,Xin Yu,Yu Cao,Lihong Jiang,Jie Liu

Molecular biology reports 50:1333-1347 PubMed36459288

2022

MicroRNA-588 regulates the invasive, migratory and vasculogenic mimicry-forming abilities of hypoxic glioma cells by targeting ROBO1.

Applications

Unspecified application

Species

Unspecified reactive species

Rui Yu,Rongrong Zhao,Xiaopeng Sun,Zongpu Zhang,Shaobo Wang,Xiao Gao,Zhongzheng Sun,Hao Xue,Gang Li

Medicine 100:e26981 PubMed34414975

2021

Expression of the axon guidance factor Slit2 and its receptor Robo1 in patients with Hirschsprung disease: An observational study.

Applications

Unspecified application

Species

Unspecified reactive species

Meng Kong,Tao Zhou,Bo Xiang
View all publications

Product promise

We are committed to supporting your work with high-quality reagents, and we're here for you every step of the way. In the unlikely event that one of our products does not perform as expected, you're protected by our Product Promise.
For full details, please see our Terms & Conditions

Please note: All products are 'FOR RESEARCH USE ONLY. NOT FOR USE IN DIAGNOSTIC OR THERAPEUTIC PROCEDURES'.

For licensing inquiries, please contact partnerships@abcam.com