JavaScript is disabled in your browser. Please enable JavaScript to view this website.
AB229722

Anti-Robo3 antibody

Be the first to review this product! Submit a review

|

(1 Publication)

Rabbit Polyclonal ROBO3 antibody. Suitable for IHC-P and reacts with Human samples. Cited in 1 publication. Immunogen corresponding to Recombinant Fragment Protein within Human ROBO3 aa 1200 to C-terminus.

View Alternative Names

Roundabout homolog 3, Roundabout-like protein 3, ROBO3

1 Images
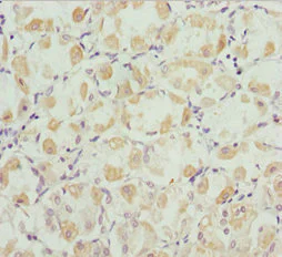
Immunohistochemistry (Formalin/PFA-fixed paraffin-embedded sections) - Anti-Robo3 antibody (AB229722)
  • IHC-P

Supplier Data

Immunohistochemistry (Formalin/PFA-fixed paraffin-embedded sections) - Anti-Robo3 antibody (AB229722)

Paraffin-embedded human gastric cancer tissue stained for Robo3 using ab229722 at 1/100 dilution in immunohistochemical analysis.

Key facts

Host species

Rabbit

Clonality

Polyclonal

Isotype

IgG

Carrier free

No

Reacts with

Human

Applications

IHC-P

applications

Immunogen

Recombinant Fragment Protein within Human ROBO3 aa 1200 to C-terminus. The exact immunogen used to generate this antibody is proprietary information.

Q96MS0

Reactivity data

{ "title": "Reactivity Data", "filters": { "stats": ["", "Species", "Dilution Info", "Notes"], "tabs": { "all-applications": {"fullname" : "All Applications", "shortname": "All Applications"}, "IHCP" : {"fullname" : "Immunohistochemistry (Formalin/PFA-fixed paraffin-embedded sections)", "shortname":"IHC-P"} }, "product-promise": { "all": "all", "testedAndGuaranteed": "tested", "guaranteed": "expected", "predicted": "predicted", "notRecommended": "not-recommended" } }, "values": { "Human": { "IHCP-species-checked": "testedAndGuaranteed", "IHCP-species-dilution-info": "1/20 - 1/200", "IHCP-species-notes": "<p></p>" } } }

Properties and storage information

Form
Liquid
Purification technique
Affinity purification Immunogen
Storage buffer
pH: 7.3 Preservative: 0.02% Sodium azide Constituents: PBS, 50% Glycerol (glycerin, glycerine)
Shipped at conditions
Blue Ice
Appropriate short-term storage duration
1-2 weeks
Appropriate short-term storage conditions
+4°C
Appropriate long-term storage conditions
-20°C
Aliquoting information
Upon delivery aliquot
Storage information
Avoid freeze / thaw cycle

Supplementary information

This supplementary information is collated from multiple sources and compiled automatically.

Robo3 also known as Roundabout homolog 3 or Rig1 is a receptor protein with a mass of approximately 117 kDa. It is expressed in the developing nervous system especially in commissural neurons of the spinal cord. Mechanically Robo3 plays a major role in axon guidance. It does not bind to Slit proteins like other Robo family members but it inhibits Slit-induced repulsion allowing axons to cross the midline.
Biological function summary

The protein facilitates proper nerve cell navigation. It is essential for enabling axons to reach their correct targets by modulating guidance cues. Robo3 is not known as part of a complex but interacts with other guidance signals to steer commissural axons during neural development. Without its functional expression axons fail to cross the midline leading to improper neural circuit formation.

Pathways

Robo3 interacts with signals central to neural circuit development. It mediates important guidance pathways such as the Netrin-DCC pathway working alongside Netrin-1 to promote axonal growth. Robo3 functions in a pathway with other guidance proteins like Robo1 and DCC to ensure neuronal pathfinding is achieved coordinating the switch from attraction to repulsion after midline crossing.

Robo3's malfunction is linked to horizontal gaze palsy with progressive scoliosis (HGPPS) a rare genetic condition affecting eye movements and spinal curvature. Misregulation of related proteins like L1CAM exacerbates navigational errors in axon guidance contributing to the disorder's characteristics. These insights underline the significance of Robo3 in maintaining normal neurological function and its implications in neurodevelopmental conditions.

Product protocols

For this product, it's our understanding that no specific protocols are required. You can visit:

Target data

Receptor involved in axon guidance during development (PubMed : 15105459). Acts as a multifunctional regulator of pathfinding that simultaneously mediates NELL2 repulsion, inhibits SLIT repulsion, and facilitates Netrin-1/NTN1 attraction. In spinal cord development plays a role in guiding commissural axons probably by preventing premature sensitivity to Slit proteins thus inhibiting Slit signaling through ROBO1/ROBO2. Binding OF NELL2 to the receptor ROBO3 promotes oligomerization of ROBO3, resulting in the repulsion of commissural axons in the midline. ROBO3 also indirectly boosts axon attraction to NTN1 without interacting with NTN1 itself (By similarity).
See full target information ROBO3

Publications (1)

Recent publications for all applications. Explore the full list and refine your search

Nature communications 14:861 PubMed36792623

2023

Coadaptation fostered by the SLIT2-ROBO1 axis facilitates liver metastasis of pancreatic ductal adenocarcinoma.

Applications

Unspecified application

Species

Unspecified reactive species

Qing Li,Xiao-Xin Zhang,Li-Peng Hu,Bo Ni,Dong-Xue Li,Xu Wang,Shu-Heng Jiang,Hui Li,Min-Wei Yang,Yong-Sheng Jiang,Chun-Jie Xu,Xue-Li Zhang,Yan-Li Zhang,Pei-Qi Huang,Qin Yang,Yang Zhou,Jian-Ren Gu,Gary Gui-Shan Xiao,Yong-Wei Sun,Jun Li,Zhi-Gang Zhang
View all publications

Product promise

We are committed to supporting your work with high-quality reagents, and we're here for you every step of the way. In the unlikely event that one of our products does not perform as expected, you're protected by our Product Promise.
For full details, please see our Terms & Conditions

Please note: All products are 'FOR RESEARCH USE ONLY. NOT FOR USE IN DIAGNOSTIC OR THERAPEUTIC PROCEDURES'.

For licensing inquiries, please contact partnerships@abcam.com