JavaScript is disabled in your browser. Please enable JavaScript to view this website.
AB300047

Anti-Robo4 antibody [EPR26282-3] (BSA and Azide free)

Be the first to review this product! Submit a review

|

(0 Publication)

Rabbit Recombinant Monoclonal ROBO4 antibody. Carrier free. Suitable for IHC-P, WB, mIHC and reacts with Human, Mouse, Rat samples.

View Alternative Names

UNQ421/PRO3674, ROBO4, Roundabout homolog 4, Magic roundabout

12 Images
Immunohistochemistry (Formalin/PFA-fixed paraffin-embedded sections) - Anti-Robo4 antibody [EPR26282-3] (BSA and Azide free) (AB300047)
  • IHC-P

Supplier Data

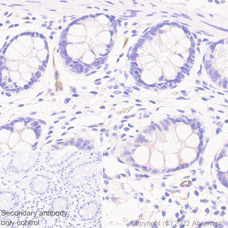
Immunohistochemistry (Formalin/PFA-fixed paraffin-embedded sections) - Anti-Robo4 antibody [EPR26282-3] (BSA and Azide free) (AB300047)

This data was developed using ab300046, the same antibody clone in a different buffer formulation.

Immunohistochemical analysis of paraffin-embedded Human colon tissue labeling Robo4 with ab300046 at 1/100 (3.77 μg/ml) followed by a ready to use LeicaDS9800 (BOND™ Polymer Refine Detection) was used. Positive staining on endothelial cells in human colon. The section was incubated with ab300046 for 30 mins at room temperature.The immunostaining was performed on a Leica Biosystems BOND® RX instrument Counterstained with Hematoxylin.

Secondary antibody only control : Secondary antibody is a ready to use LeicaDS9800 (BOND™ Polymer Refine Detection) was used.

Heat mediated antigen retrieval with Tris-EDTA buffer (pH 9.0, epitope retrieval solution2) for 20 mins

Immunohistochemistry (Formalin/PFA-fixed paraffin-embedded sections) - Anti-Robo4 antibody [EPR26282-3] (BSA and Azide free) (AB300047)
  • IHC-P

Supplier Data

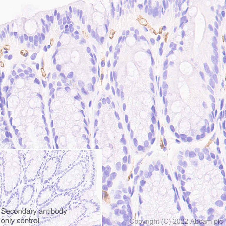
Immunohistochemistry (Formalin/PFA-fixed paraffin-embedded sections) - Anti-Robo4 antibody [EPR26282-3] (BSA and Azide free) (AB300047)

This data was developed using ab300046, the same antibody clone in a different buffer formulation.

Immunohistochemical analysis of paraffin-embedded Mouse colon tissue labeling Robo4 with ab300046 at 1/100 (3.77 μg/ml) followed by a ready to use LeicaDS9800 (BOND™ Polymer Refine Detection). Positive staining on endothelial cells in mouse colon. The section was incubated with ab300046 for 30 mins at room temperature. The immunostaining was performed on a Leica Biosystems BOND® RX instrument. Counterstained with Hematoxylin.

Secondary antibody only control : Secondary antibody is a ready to use LeicaDS9800 (BOND™ Polymer Refine Detection).

Heat mediated antigen retrieval with Tris-EDTA buffer (pH 9.0, epitope retrieval solution2) for 20 mins.

Immunohistochemistry (Formalin/PFA-fixed paraffin-embedded sections) - Anti-Robo4 antibody [EPR26282-3] (BSA and Azide free) (AB300047)
  • IHC-P

Supplier Data

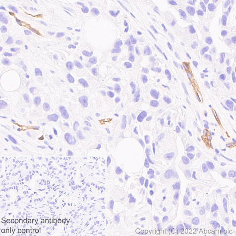
Immunohistochemistry (Formalin/PFA-fixed paraffin-embedded sections) - Anti-Robo4 antibody [EPR26282-3] (BSA and Azide free) (AB300047)

This data was developed using ab300046, the same antibody clone in a different buffer formulation.

Immunohistochemical analysis of paraffin-embedded Rat cerebrum tissue labeling Robo4 with ab300046 at 1/100 (3.77 μg/ml) followed by a ready to use LeicaDS9800 (BOND™ Polymer Refine Detection) was used. Positive staining on endothelial cells in rat cerebrum. The section was incubated with ab300046 for 30 mins at room temperature. The immunostaining was performed on a Leica Biosystems BOND® RX instrument. Counterstained with Hematoxylin.

Secondary antibody only control : Secondary antibody is a ready to use LeicaDS9800 (BOND™ Polymer Refine Detection).

Heat mediated antigen retrieval with Tris-EDTA buffer (pH 9.0, epitope retrieval solution2) for 20 mins.

Immunohistochemistry (Formalin/PFA-fixed paraffin-embedded sections) - Anti-Robo4 antibody [EPR26282-3] (BSA and Azide free) (AB300047)
  • IHC-P

Supplier Data

Immunohistochemistry (Formalin/PFA-fixed paraffin-embedded sections) - Anti-Robo4 antibody [EPR26282-3] (BSA and Azide free) (AB300047)

This data was developed using ab300046, the same antibody clone in a different buffer formulation. Immunohistochemical analysis of paraffin-embedded Rat cerebrum tissue labeling Robo4 with ab300046 at 1/100 (3.77 µg/ml) followed by a ready to use LeicaDS9800 (BOND™ Polymer Refine Detection) was used. Positive staining on endothelial cells in rat cerebrum. The section was incubated with ab300046 for 30 mins at room temperature. The immunostaining was performed on a Leica Biosystems BOND® RX instrument. Counterstained with Hematoxylin. Secondary antibody only control : Secondary antibody is a ready to use LeicaDS9800 (BOND™ Polymer Refine Detection). Heat mediated antigen retrieval with Tris-EDTA buffer (pH 9.0, epitope retrieval solution2) for 20 mins.

Immunohistochemistry (Formalin/PFA-fixed paraffin-embedded sections) - Anti-Robo4 antibody [EPR26282-3] (BSA and Azide free) (AB300047)
  • IHC-P

Supplier Data

Immunohistochemistry (Formalin/PFA-fixed paraffin-embedded sections) - Anti-Robo4 antibody [EPR26282-3] (BSA and Azide free) (AB300047)

This data was developed using ab300046, the same antibody clone in a different buffer formulation.

Immunohistochemical analysis of paraffin-embedded Mouse pancreatic cancer tissue labeling Robo4 with ab300046 at 1/100 (3.77 µg/ml) followed by a ready to use LeicaDS9800 (BOND™ Polymer Refine Detection). Positive staining on endothelial cells in mouse pancreatic cancer. The section was incubated with ab300046 for 30 mins at room temperature. The immunostaining was performed on a Leica Biosystems BOND® RX instrument. Counterstained with Hematoxylin.

Secondary antibody only control : Secondary antibody is a ready to use LeicaDS9800 (BOND™ Polymer Refine Detection).

Heat mediated antigen retrieval with Tris-EDTA buffer (pH 9.0, epitope retrieval solution2) for 20 mins.

Western blot - Anti-Robo4 antibody [EPR26282-3] (BSA and Azide free) (AB300047)
  • WB

Supplier Data

Western blot - Anti-Robo4 antibody [EPR26282-3] (BSA and Azide free) (AB300047)

This data was developed using ab300046, the same antibody clone in a different buffer formulation.  Blocking / Diluting buffer and concentration : 5% NFDM/TBST Negative controls : HeLa, HCT 116 (PMID : 11944987, PMID : 11076864).

All lanes:

Western blot - Anti-Robo4 antibody [EPR26282-3] (<a href='/en-us/products/primary-antibodies/robo4-antibody-epr26282-3-ab300046'>ab300046</a>) at 1/1000 dilution

Lane 1:

HUVEC (human umbilical vein endothelial cell) whole cell lysate at 20 µg

Lane 2:

HeLa (human cervix adenocarcinoma epithelial cell) whole cell lysate at 20 µg

Lane 3:

HCT 116 (human colorectal carcinoma epithelial cell) whole cell lysate, at 20 µg

Secondary

All lanes:

Western blot - Goat Anti-Rabbit IgG H&L (HRP) (<a href='/en-us/products/secondary-antibodies/goat-rabbit-igg-h-l-hrp-ab97051'>ab97051</a>) at 1/20000 dilution

Predicted band size: 107 kDa

Observed band size: 60 kDa

false

Exposure time: 15s

Western blot - Anti-Robo4 antibody [EPR26282-3] (BSA and Azide free) (AB300047)
  • WB

Unknown

Western blot - Anti-Robo4 antibody [EPR26282-3] (BSA and Azide free) (AB300047)

This data was developed using ab300046, the same antibody clone in a different buffer formulation.

Blocking / Diluting buffer and concentration :

5% NFDM/TBST

The molecular weight observed is consistent with what have been described in literature (PMID : 27882935).

All lanes:

Western blot - Anti-Robo4 antibody [EPR26282-3] (<a href='/en-us/products/primary-antibodies/robo4-antibody-epr26282-3-ab300046'>ab300046</a>) at 1/1000 dilution

Lane 1:

Human heart tissue lysate at 20 µg

Lane 2:

Mouse spleen tissue lysate at 20 µg

Lane 3:

Mouse kidney tissue lysate at 20 µg

Lane 4:

Rat spleen tissue lysate at 20 µg

Lane 5:

Rat kidney tissue lysate at 20 µg

Secondary

All lanes:

Goat Anti-Rabbit IgG, (H+L), Peroxidase conjugated (<a href='/en-us/products/secondary-antibodies/goat-rabbit-igg-h-l-hrp-ab97051'>ab97051</a>);Goat Anti-Rabbit IgG (HRP) with minimal cross-reactivity with human IgG. Secondary ab dilution 1:2000;1:20,000

Predicted band size: 107 kDa

Observed band size: 60 kDa

false

Exposure time: 15s

Western blot - Anti-Robo4 antibody [EPR26282-3] (BSA and Azide free) (AB300047)
  • WB

Unknown

Western blot - Anti-Robo4 antibody [EPR26282-3] (BSA and Azide free) (AB300047)

This data was developed using ab300046, the same antibody clone in a different buffer formulation.

Blocking / Diluting buffer and concentration :

5% NFDM/TBST

Negative controls : HeLa, HCT 116(PMID : 11944987, PMID : 11076864 ).

All lanes:

Western blot - Anti-Robo4 antibody [EPR26282-3] (<a href='/en-us/products/primary-antibodies/robo4-antibody-epr26282-3-ab300046'>ab300046</a>) at 1/1000 dilution

Lane 1:

HUVEC (human umbilical vein endothelial cell) whole cell lysate at 20 µg

Lane 2:

HeLa (human cervix adenocarcinoma epithelial cell) whole cell lysate at 20 µg

Lane 3:

HCT 116 (human colorectal carcinoma epithelial cell) whole cell lysate at 20 µg

Secondary

All lanes:

Western blot - Goat Anti-Rabbit IgG H&L (HRP) (<a href='/en-us/products/secondary-antibodies/goat-rabbit-igg-h-l-hrp-ab97051'>ab97051</a>) at 1/20000 dilution

Predicted band size: 107 kDa

Observed band size: 60 kDa

false

Exposure time: 15s

Western blot - Anti-Robo4 antibody [EPR26282-3] (BSA and Azide free) (AB300047)
  • WB

Supplier Data

Western blot - Anti-Robo4 antibody [EPR26282-3] (BSA and Azide free) (AB300047)

This data was developed using ab300046, the same antibody clone in a different buffer formulation.  Blocking / Diluting buffer and concentration : 5% NFDM/TBST The molecular weight observed is consistent with what have been described in literature (PMID : 27882935).

All lanes:

Western blot - Anti-Robo4 antibody [EPR26282-3] (<a href='/en-us/products/primary-antibodies/robo4-antibody-epr26282-3-ab300046'>ab300046</a>) at 1/1000 dilution

Lane 1:

Human heart tissue lysate at 20 µg

Lane 2:

Mouse spleen tissue lysate at 20 µg

Lane 3:

Mouse kidney tissue lysate at 20 µg

Lane 4:

Rat spleen tissue lysate at 20 µg

Lane 5:

Rat kidney tissue lysate at 20 µg

Secondary

Lanes 1 - 5:

Western blot - Goat Anti-Rabbit IgG H&L (HRP) (<a href='/en-us/products/secondary-antibodies/goat-rabbit-igg-h-l-hrp-ab97051'>ab97051</a>) at 1/20000 dilution

Lanes 1 - 5:

Peroxidase conjugated (<a href='/en-us/products/secondary-antibodies/goat-rabbit-igg-h-l-hrp-ab97051'>ab97051</a>);Goat Anti-Rabbit IgG (HRP) with minimal cross-reactivity with human IgG at 1/2000 dilution

Predicted band size: 107 kDa

Observed band size: 60 kDa

false

Exposure time: 15s

Western blot - Anti-Robo4 antibody [EPR26282-3] (BSA and Azide free) (AB300047)
  • WB

Supplier Data

Western blot - Anti-Robo4 antibody [EPR26282-3] (BSA and Azide free) (AB300047)

This data was developed using ab300046, the same antibody clone in a different buffer formulation. Immunohistochemical analysis of paraffin-embedded Mouse colon tissue labeling Robo4 with ab300046 at 1/100 (3.77 µg/ml) followed by a ready to use LeicaDS9800 (BOND™ Polymer Refine Detection). Positive staining on endothelial cells in mouse colon. The section was incubated with ab300046 for 30 mins at room temperature. The immunostaining was performed on a Leica Biosystems BOND® RX instrument. Counterstained with Hematoxylin. Secondary antibody only control : Secondary antibody is a ready to use LeicaDS9800 (BOND™ Polymer Refine Detection). Heat mediated antigen retrieval with Tris-EDTA buffer (pH 9.0, epitope retrieval solution2) for 20 mins.

Multiplex immunohistochemistry - Anti-Robo4 antibody [EPR26282-3] (BSA and Azide free) (AB300047)
  • mIHC

Lab

Multiplex immunohistochemistry - Anti-Robo4 antibody [EPR26282-3] (BSA and Azide free) (AB300047)

This data was developed using ab300046, the same antibody clone in a different buffer formulation.

Multiplex immunohistochemistry analysis of formalin/PFA-fixed paraffin-embedded mouse pancreas tissue staining Robo4 with ab300046 at a 1/100 (3.75 μg/ml) dilution, ab325233 anti-Trypsin used at a 1/500 (0.98 μg/ml) dilution and ab254259 anti-Amylin used at a 1/2000 (0.26 μg/ml) dilution.

Panel A : anti-Robo4 (green; Opal™570), anti-Trypsin (magenta; Opal™690), anti-Amylin (gray; Opal™570) on mouse pancreas.

Panel B : anti-Robo4 staining endothelium in mouse pancreas.

Panel C : anti-Trypsin staining exocrine gland in mouse pancreas.

Panel D : anti-Amylin staining islet cells in mouse pancreas.

Nuclear DNA was labeled with DAPI (shown in blue).

The section was incubated in three rounds of staining : in the order of ab300046, ab325233 and ab254259 for 30 mins at room temperature. Each round was followed by a separate fluorescent tyramide signal amplification system.

The immunostaining was performed on a Leica Biosystems BOND® RX instrument with an Opal™ 4-color kit. Image acquisition was performed with Leica SP8 confocal microscope.

Heat mediated antigen retrieval was performed with Tris-EDTA buffer (pH 9.0, Epitope Retrieval Solution2) for 20 mins.

Multiplex immunohistochemistry - Anti-Robo4 antibody [EPR26282-3] (BSA and Azide free) (AB300047)
  • mIHC

Lab

Multiplex immunohistochemistry - Anti-Robo4 antibody [EPR26282-3] (BSA and Azide free) (AB300047)

This data was developed using ab300046, the same antibody clone in a different buffer formulation.

Multiplex immunohistochemistry analysis of formalin/PFA-fixed paraffin-embedded rat pancreas tissue staining Robo4 with ab300046 at a 1/100 (3.75 μg/ml) dilution, ab325233 anti-Trypsin used at a 1/500 (0.98 μg/ml) dilution and ab254259 anti-Amylin used at a 1/2000 (0.26 μg/ml) dilution.

Panel A : anti-Robo4 (green; Opal™570), anti-Trypsin (magenta; Opal™690), anti-Amylin (gray; Opal™570) on rat pancreas.

Panel B : anti-Robo4 staining endothelium in rat pancreas.

Panel C : anti-Trypsin staining exocrine gland in rat pancreas.

Panel D : anti-Amylin staining islet cells in rat pancreas.

Nuclear DNA was labeled with DAPI (shown in blue).

The section was incubated in three rounds of staining : in the order of ab300046, ab325233 and ab254259 for 30 mins at room temperature. Each round was followed by a separate fluorescent tyramide signal amplification system.

The immunostaining was performed on a Leica Biosystems BOND® RX instrument with an Opal™ 4-color kit. Image acquisition was performed with Leica SP8 confocal microscope.

Heat mediated antigen retrieval was performed with Tris-EDTA buffer (pH 9.0, Epitope Retrieval Solution2) for 20 mins.

Key facts

Host species

Rabbit

Clonality

Monoclonal

Clone number

EPR26282-3

Isotype

IgG

Carrier free

Yes

Reacts with

Human, Mouse, Rat

Applications

WB, mIHC, IHC-P

applications

Immunogen

The exact immunogen used to generate this antibody is proprietary information.

Specificity

This product has been validated on the Leica BOND system and demonstrated only a faint signal when tested using manual protocols. Therefore, we do not recommend its use in manual IHC-P applications.

Reactivity data

{ "title": "Reactivity Data", "filters": { "stats": ["", "Species", "Dilution Info", "Notes"], "tabs": { "all-applications": {"fullname" : "All Applications", "shortname": "All Applications"}, "IHCP" : {"fullname" : "Immunohistochemistry (Formalin/PFA-fixed paraffin-embedded sections)", "shortname":"IHC-P"}, "WB" : {"fullname" : "Western blot", "shortname":"WB"}, "ICCIF" : {"fullname" : "Immunocytochemistry/ Immunofluorescence", "shortname":"ICC/IF"}, "FlowCytIntra" : {"fullname" : "Flow Cytometry (Intracellular)", "shortname":"Flow Cyt (Intra)"}, "mIHC" : {"fullname" : "Multiplex immunohistochemistry", "shortname":"mIHC"}, "IP" : {"fullname" : "Immunoprecipitation", "shortname":"IP"}, "IHCFr" : {"fullname" : "Immunohistochemistry (Frozen sections)", "shortname":"IHC-Fr"} }, "product-promise": { "all": "all", "testedAndGuaranteed": "tested", "guaranteed": "expected", "predicted": "predicted", "notRecommended": "not-recommended" } }, "values": { "Human": { "IHCP-species-checked": "testedAndGuaranteed", "IHCP-species-dilution-info": "", "IHCP-species-notes": "<p>This product has been validated on the Leica BOND system and demonstrated only a faint signal when tested using manual protocols. Therefore, we do not recommend its use in manual IHC-P applications.</p> Perform heat-mediated antigen retrieval with Tris/EDTA buffer pH 9.0 before commencing with IHC staining protocol.", "WB-species-checked": "testedAndGuaranteed", "WB-species-dilution-info": "", "WB-species-notes": "<p></p>", "ICCIF-species-checked": "notRecommended", "ICCIF-species-dilution-info": "", "ICCIF-species-notes": "<p></p>", "FlowCytIntra-species-checked": "notRecommended", "FlowCytIntra-species-dilution-info": "", "FlowCytIntra-species-notes": "<p></p>", "mIHC-species-checked": "guaranteed", "mIHC-species-dilution-info": "", "mIHC-species-notes": "", "IP-species-checked": "notRecommended", "IP-species-dilution-info": "", "IP-species-notes": "<p></p>", "IHCFr-species-checked": "notRecommended", "IHCFr-species-dilution-info": "", "IHCFr-species-notes": "" }, "Mouse": { "IHCP-species-checked": "testedAndGuaranteed", "IHCP-species-dilution-info": "", "IHCP-species-notes": "<p>This product has been validated on the Leica BOND system and demonstrated only a faint signal when tested using manual protocols. Therefore, we do not recommend its use in manual IHC-P applications.</p> Perform heat-mediated antigen retrieval with Tris/EDTA buffer pH 9.0 before commencing with IHC staining protocol.", "WB-species-checked": "testedAndGuaranteed", "WB-species-dilution-info": "", "WB-species-notes": "<p></p>", "ICCIF-species-checked": "notRecommended", "ICCIF-species-dilution-info": "", "ICCIF-species-notes": "<p></p>", "FlowCytIntra-species-checked": "notRecommended", "FlowCytIntra-species-dilution-info": "", "FlowCytIntra-species-notes": "<p></p>", "mIHC-species-checked": "testedAndGuaranteed", "mIHC-species-dilution-info": "", "mIHC-species-notes": "<p></p> Perform heat-mediated antigen retrieval with Tris/EDTA buffer pH 9.0 before commencing with IHC staining protocol.", "IP-species-checked": "notRecommended", "IP-species-dilution-info": "", "IP-species-notes": "", "IHCFr-species-checked": "notRecommended", "IHCFr-species-dilution-info": "", "IHCFr-species-notes": "<p></p>" }, "Rat": { "IHCP-species-checked": "testedAndGuaranteed", "IHCP-species-dilution-info": "", "IHCP-species-notes": "<p>This product has been validated on the Leica BOND system and demonstrated only a faint signal when tested using manual protocols. Therefore, we do not recommend its use in manual IHC-P applications.</p> Perform heat-mediated antigen retrieval with Tris/EDTA buffer pH 9.0 before commencing with IHC staining protocol.", "WB-species-checked": "testedAndGuaranteed", "WB-species-dilution-info": "", "WB-species-notes": "<p></p>", "ICCIF-species-checked": "notRecommended", "ICCIF-species-dilution-info": "", "ICCIF-species-notes": "<p></p>", "FlowCytIntra-species-checked": "notRecommended", "FlowCytIntra-species-dilution-info": "", "FlowCytIntra-species-notes": "<p></p>", "mIHC-species-checked": "testedAndGuaranteed", "mIHC-species-dilution-info": "", "mIHC-species-notes": "<p></p> Perform heat-mediated antigen retrieval with Tris/EDTA buffer pH 9.0 before commencing with IHC staining protocol.", "IP-species-checked": "notRecommended", "IP-species-dilution-info": "", "IP-species-notes": "", "IHCFr-species-checked": "notRecommended", "IHCFr-species-dilution-info": "", "IHCFr-species-notes": "<p></p>" } } }

Product details

Conjugation ready
Our carrier-free antibodies are typically supplied in a PBS-only formulation, purified and free of BSA, sodium azide and glycerol. This conjugation-ready format is designed for use with fluorochromes, metal isotopes, oligonucleotides, and enzymes, which makes them ideal for antibody labelling, functional and cell-based assays, flow-based assays (e.g. mass cytometry) and Multiplex Imaging applications.

Use our conjugation kits for antibody conjugates that are ready-to-use in as little as 20 minutes with 1 minute hands-on-time and 100% antibody recovery: available for fluorescent dyes, HRP, biotin and gold.

Patented technology
Our RabMAb® technology is a patented hybridoma-based technology for making rabbit monoclonal antibodies. For details on our patents, please refer to RabMAb® patents.

Compatibility
This product is compatible with the Maxpar® Antibody Labeling Kit from Fluidigm, without the need for antibody preparation. Maxpar® is a trademark of Fluidigm Canada Inc.

What are the advantages of a recombinant monoclonal antibody?
This product is a recombinant monoclonal antibody, which offers several advantages including:

  • - High batch-to-batch consistency and reproducibility
  • - Improved sensitivity and specificity
  • - Long-term security of supply
  • - Animal-free batch production

For more information, read more on recombinant antibodies.

Properties and storage information

Form
Liquid
Purification technique
Affinity purification Protein A
Storage buffer
pH: 7.2 - 7.4 Constituents: PBS
Shipped at conditions
Blue Ice
Appropriate short-term storage conditions
+4°C
Appropriate long-term storage conditions
+4°C
Aliquoting information
Upon delivery aliquot

Supplementary information

This supplementary information is collated from multiple sources and compiled automatically.

Roundabout homolog 4 (Robo4) is a protein weighing approximately 107 kDa. It belongs to the immunoglobulin superfamily and is sometimes referred to as Magic Roundabout. Robo4 primarily gets expressed in endothelial cells playing an important function in vascular biology. It is characterized by having two immunoglobulin-like domains and two fibronectin type III domains making it distinct among the other Robo family members.
Biological function summary

Robo4 stabilizes the vascular network interacting actively with the guidance molecule Slit proteins. It is not part of a larger protein complex but engages directly with these ligands to influence endothelial cell migration and vascular permeability. Its role is significant in maintaining the structural integrity of blood vessels ensuring the appropriate cellular responses important for proper vascular function.

Pathways

Robo4 engages in the Slit-Robo signaling pathway that is essential for vascular development and remodeling. This pathway helps inhibit excessive endothelial migration and angiogenesis. Robo4 interacts with proteins like Slit2 which binds to it as a ligand to mediate these effects. Through this pathway Robo4 performs an important function in processes such as vascular homeostasis and angiogenesis regulation.

Robo4 appears to have connections to vascular-related conditions including diabetic retinopathy and age-related macular degeneration. The protein influences pathological angiogenesis which is a hallmark in the progression of these diseases. In these contexts Robo4's interaction with Slit2 proves important as it can restrain abnormal vascular growth offering potential therapeutic angles for treatment approaches focused on targeting the Slit-Robo pathway.

Product protocols

For this product, it's our understanding that no specific protocols are required. You can visit:

Target data

Receptor for Slit proteins, at least for SLIT2, and seems to be involved in angiogenesis and vascular patterning. May mediate the inhibition of primary endothelial cell migration by Slit proteins (By similarity). Involved in the maintenance of endothelial barrier organization and function (PubMed : 30455415).
See full target information ROBO4

Product promise

We are committed to supporting your work with high-quality reagents, and we're here for you every step of the way. In the unlikely event that one of our products does not perform as expected, you're protected by our Product Promise.
For full details, please see our Terms & Conditions

Please note: All products are 'FOR RESEARCH USE ONLY. NOT FOR USE IN DIAGNOSTIC OR THERAPEUTIC PROCEDURES'.

For licensing inquiries, please contact partnerships@abcam.com