JavaScript is disabled in your browser. Please enable JavaScript to view this website.
AB230799

Anti-ROCK1 antibody [EPR638Y] - BSA and Azide free

  • BOND RX™ Validated
  • RabMAb
  • Recombinant
  • KO Validated
  • What is this?

Be the first to review this product! Submit a review

|

(2 Publications)

Rabbit Recombinant Monoclonal ROCK2 antibody. Carrier free. Suitable for IHC-P, IP, WB, Flow Cyt (Intra) and reacts with Human, Mouse, Rat samples. Cited in 2 publications.

View Alternative Names

Rho-associated protein kinase 1, Renal carcinoma antigen NY-REN-35, p160 ROCK-1, ROCK-I, p160ROCK, ROCK1

7 Images
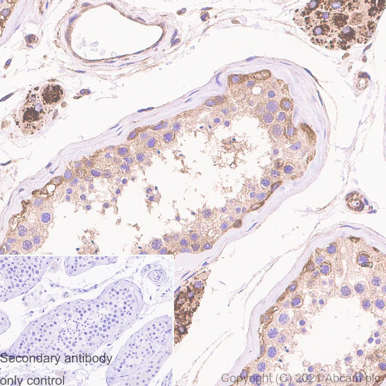
Immunohistochemistry (Formalin/PFA-fixed paraffin-embedded sections) - Anti-ROCK1 antibody [EPR638Y] - BSA and Azide free (AB230799)
  • IHC-P

Supplier Data

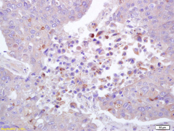
Immunohistochemistry (Formalin/PFA-fixed paraffin-embedded sections) - Anti-ROCK1 antibody [EPR638Y] - BSA and Azide free (AB230799)

This data was developed using ab134181, the same antibody clone in a different buffer formulation.
Immunohistochemistry (Formalin/PFA-fixed paraffin-embedded sections) analysis of human testis tissue sections labeling ROCK1 with purified ab134181 at 1 : 1200 (1.28 μg/ml). Heat mediated antigen retrieval was performed using Bond™ Epitope Retrieval Solution 2 (pH 9.0). Tissue was counterstained with Hematoxylin. Rabbit specific IHC polymer detection kit HRP/DAB (ab209101) was used. PBS instead of the primary antibody was used as the negative control. The immunostaining was performed on a Leica Biosystems BOND® RX instrument.

Flow Cytometry (Intracellular) - Anti-ROCK1 antibody [EPR638Y] - BSA and Azide free (AB230799)
  • Flow Cyt (Intra)

Supplier Data

Flow Cytometry (Intracellular) - Anti-ROCK1 antibody [EPR638Y] - BSA and Azide free (AB230799)

This data was developed using ab134181, the same antibody clone in a different buffer formulation.
Flow Cytometry analysis of HeLa (Human cervix adenocarcinoma epithelial cell) cells labelling ROCK1 with purified ab134181 at 1/150 dilution (10 µg/ml) (red). Cells were fixed with 4% Paraformaldehyde and permeabilised with 90% Methanol. A Goat anti-rabbit IgG (Alexa Fluor® 488) (ab150081) secondary antibody was used at 1/2000. Isotype control - Rabbit monoclonal IgG (black). Unlabelled control - Cell without incubation with primary antibody and secondary antibody (blue).

Immunohistochemistry (Formalin/PFA-fixed paraffin-embedded sections) - Anti-ROCK1 antibody [EPR638Y] - BSA and Azide free (AB230799)
  • IHC-P

Supplier Data

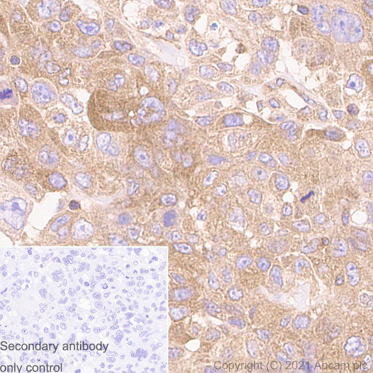
Immunohistochemistry (Formalin/PFA-fixed paraffin-embedded sections) - Anti-ROCK1 antibody [EPR638Y] - BSA and Azide free (AB230799)

This data was developed using ab134181, the same antibody clone in a different buffer formulation.
Immunohistochemistry (Formalin/PFA-fixed paraffin-embedded sections) analysis of human breast carcinoma tissue sections labeling ROCK1 with purified ab134181 at 1 : 1200 (1.28 μg/ml). Heat mediated antigen retrieval was performed using Bond™ Epitope Retrieval Solution 2 (pH 9.0). Tissue was counterstained with Hematoxylin. Rabbit specific IHC polymer detection kit HRP/DAB (ab209101) was used. PBS instead of the primary antibody was used as the negative control. The immunostaining was performed on a Leica Biosystems BOND® RX instrument.

Immunoprecipitation - Anti-ROCK1 antibody [EPR638Y] - BSA and Azide free (AB230799)
  • IP

Unknown

Immunoprecipitation - Anti-ROCK1 antibody [EPR638Y] - BSA and Azide free (AB230799)

Purified ab134181 at 1/120 dilution (2μg) immunoprecipitating ROCK1 in HeLa whole cell lysate.
Lane 1 (input) : HeLa (Human cervix adenocarcinoma epithelial cell) whole cell lysate 10μg
Lane 2 (+) : ab134181 + HeLa whole cell lysate.
Lane 3 (-) : Rabbit monoclonal IgG (ab172730) instead of ab134181 in HeLa whole cell lysate.
VeriBlot for IP Detection Reagent (HRP) (ab131366) (1/1000 dilution) was used for Western blotting.
Blocking Buffer and concentration : 5% NFDM/TBST.
Diluting buffer and concentration : 5% NFDM/TBST.
Observed band size : 158 kDa
This data was developed using the same antibody clone in a different buffer formulation containing PBS, BSA, glycerol, and sodium azide (ab134181).

All lanes:

Immunoprecipitation - Anti-ROCK1 antibody [EPR638Y] (<a href='/en-us/products/primary-antibodies/rock1-antibody-epr638y-ab134181'>ab134181</a>)

Predicted band size: 158 kDa

false

Western blot - Anti-ROCK1 antibody [EPR638Y] - BSA and Azide free (AB230799)
  • WB

Lab

Western blot - Anti-ROCK1 antibody [EPR638Y] - BSA and Azide free (AB230799)

This WB data was generated using the same anti-ROCK1 antibody clone, EPR638Y, in a different buffer formulation (cat# ab134181).

Lane 1 : Wild type HAP1 whole cell lysate (40 μg)
Lane 2 : ROCK1 knockout HAP1 whole cell lysate (40 μg)
Lane 3 : HEK293 whole cell lysate (20 μg)
Lane 4 : HeLa whole cell lysate (20 μg)

Lanes 1 - 4 : Merged signal (red and green). Green - ab134181 observed at 165 kDa. Red - loading control, ab18058, observed at 130 kDa.

ab134181 was shown to specifically react with ROCK1 when ROCK1 knockout samples were used. Wild-type and ROCK1 knockout samples were subjected to SDS-PAGE. ab134181 and ab18058 (Mouse anti Vinculin loading control) were incubated overnight at 4°C at 500 dilution and 1/10000 dilution respectively. Blots were developed with Goat anti-Rabbit IgG H&L (IRDye® 800CW) preabsorbed ab216773 and Goat anti-Mouse IgG H&L (IRDye® 680RD) preabsorbed ab216776 secondary antibodies at 1/10000 dilution for 1 hour at room temperature before imaging.

All lanes:

Western blot - Anti-ROCK1 antibody [EPR638Y] (<a href='/en-us/products/primary-antibodies/rock1-antibody-epr638y-ab134181'>ab134181</a>)

Predicted band size: 158 kDa

false

Western blot - Anti-ROCK1 antibody [EPR638Y] - BSA and Azide free (AB230799)
  • WB

Supplier Data

Western blot - Anti-ROCK1 antibody [EPR638Y] - BSA and Azide free (AB230799)

This data was developed using ab134181, the same antibody clone in a different buffer formulation.

All lanes:

Western blot - Anti-ROCK1 antibody [EPR638Y] (<a href='/en-us/products/primary-antibodies/rock1-antibody-epr638y-ab134181'>ab134181</a>) at 1/1000 dilution

Lane 1:

HeLa (Human cervix adenocarcinoma epithelial cell) whole cell lysate at 20 µg

Lane 2:

Mouse brain at 20 µg

Lane 3:

Rat brain at 20 µg

Secondary

All lanes:

Western blot - Goat Anti-Rabbit IgG H&L (HRP) (<a href='/en-us/products/secondary-antibodies/goat-rabbit-igg-h-l-hrp-ab97051'>ab97051</a>) at 1/20000 dilution

Predicted band size: 158 kDa

Observed band size: 158 kDa

false

Western blot - Anti-ROCK1 antibody [EPR638Y] - BSA and Azide free (AB230799)
  • WB

Lab

Western blot - Anti-ROCK1 antibody [EPR638Y] - BSA and Azide free (AB230799)

This data was developed using the same antibody clone in a different buffer formulation (ab134181).

Lanes 1- 2 : Merged signal (red and green). Green - ab134181 observed at 160 kDa. Red - Anti-alpha Tubulin antibody [DM1A] - Loading Control (ab7291) observed at 50 kDa.

ab134181 was shown to react with ROCK1 in wild-type HeLa cells in western blot. The band observed in CRISPR/Cas9 edited cell line ab264780 (CRISPR/Cas9 edited cell lysate ab257642) lane below 160kDa may represent truncated forms and cleaved fragments. This has not been investigated further. Wild-type HeLa and ROCK1 CRISPR/Cas9 edited HeLa cell lysates were subjected to SDS-PAGE. Membrane was blocked for 1 hour at room temperature in 0.1% TBST with 3% non-fat dried milk. ab134181 and Anti-alpha Tubulin antibody [DM1A] - Loading Control (ab7291) were incubated overnight at 4°C at a 1 in 1000 dilution and a 1 in 20000 dilution respectively. Blots were developed with Goat anti-Rabbit IgG H&L (IRDye®800CW) preadsorbed (ab216773) and Goat anti-Mouse IgG H&L (IRDye®680RD) preadsorbed (ab216776) secondary antibodies at 1 in 20000 dilution for 1 hour at room temperature before imaging.

All lanes:

Western blot - Anti-ROCK1 antibody [EPR638Y] (<a href='/en-us/products/primary-antibodies/rock1-antibody-epr638y-ab134181'>ab134181</a>) at 1/1000 dilution

Lane 1:

Wild-type HeLa cell lysate at 20 µg

Lane 2:

ROCK1 CRISPR/Cas9 edited HeLa cell lysate at 20 µg

Predicted band size: 158 kDa

Observed band size: 160 kDa

false

Key facts

Host species

Rabbit

Clonality

Monoclonal

Clone number

EPR638Y

Isotype

IgG

Carrier free

Yes

Reacts with

Human, Rat, Mouse

Applications

Flow Cyt (Intra), IP, IHC-P, WB

applications

Immunogen

The exact immunogen used to generate this antibody is proprietary information.

Specificity

The mouse and rat recommendation is based on the WB results. We do not guarantee IHC-P for mouse and rat.

Reactivity data

{ "title": "Reactivity Data", "filters": { "stats": ["", "Species", "Dilution Info", "Notes"], "tabs": { "all-applications": {"fullname" : "All Applications", "shortname": "All Applications"}, "IHCP" : {"fullname" : "Immunohistochemistry (Formalin/PFA-fixed paraffin-embedded sections)", "shortname":"IHC-P"}, "IP" : {"fullname" : "Immunoprecipitation", "shortname":"IP"}, "WB" : {"fullname" : "Western blot", "shortname":"WB"}, "FlowCytIntra" : {"fullname" : "Flow Cytometry (Intracellular)", "shortname":"Flow Cyt (Intra)"} }, "product-promise": { "all": "all", "testedAndGuaranteed": "tested", "guaranteed": "expected", "predicted": "predicted", "notRecommended": "not-recommended" } }, "values": { "Human": { "IHCP-species-checked": "testedAndGuaranteed", "IHCP-species-dilution-info": "", "IHCP-species-notes": "<p>The mouse and rat recommendation is based on the WB results. We do not guarantee IHC-P for mouse and rat.</p>", "IP-species-checked": "testedAndGuaranteed", "IP-species-dilution-info": "", "IP-species-notes": "<p></p>", "WB-species-checked": "testedAndGuaranteed", "WB-species-dilution-info": "", "WB-species-notes": "<p></p>", "FlowCytIntra-species-checked": "testedAndGuaranteed", "FlowCytIntra-species-dilution-info": "", "FlowCytIntra-species-notes": "<p></p>" }, "Mouse": { "IHCP-species-checked": "guaranteed", "IHCP-species-dilution-info": "", "IHCP-species-notes": "", "IP-species-checked": "guaranteed", "IP-species-dilution-info": "", "IP-species-notes": "", "WB-species-checked": "testedAndGuaranteed", "WB-species-dilution-info": "", "WB-species-notes": "<p></p>", "FlowCytIntra-species-checked": "guaranteed", "FlowCytIntra-species-dilution-info": "", "FlowCytIntra-species-notes": "<p></p>" }, "Rat": { "IHCP-species-checked": "guaranteed", "IHCP-species-dilution-info": "", "IHCP-species-notes": "", "IP-species-checked": "guaranteed", "IP-species-dilution-info": "", "IP-species-notes": "", "WB-species-checked": "testedAndGuaranteed", "WB-species-dilution-info": "", "WB-species-notes": "<p></p>", "FlowCytIntra-species-checked": "guaranteed", "FlowCytIntra-species-dilution-info": "", "FlowCytIntra-species-notes": "<p></p>" } } }

Product details

ab230799 is the carrier-free version of ab134181.

Conjugation ready
Our carrier-free antibodies are typically supplied in a PBS-only formulation, purified and free of BSA, sodium azide and glycerol. This conjugation-ready format is designed for use with fluorochromes, metal isotopes, oligonucleotides, and enzymes, which makes them ideal for antibody labelling, functional and cell-based assays, flow-based assays (e.g. mass cytometry) and Multiplex Imaging applications.

Use our conjugation kits for antibody conjugates that are ready-to-use in as little as 20 minutes with 1 minute hands-on-time and 100% antibody recovery: available for fluorescent dyes, HRP, biotin and gold.

Compatibility
This product is compatible with the Maxpar® Antibody Labeling Kit from Fluidigm, without the need for antibody preparation. Maxpar® is a trademark of Fluidigm Canada Inc.

Properties and storage information

Form
Liquid
Purification technique
Affinity purification Protein A
Storage buffer
pH: 7.2 - 7.4 Constituents: PBS
Shipped at conditions
Blue Ice
Appropriate short-term storage conditions
+4°C
Appropriate long-term storage conditions
+4°C
Storage information
Do Not Freeze

Product protocols

For this product, it's our understanding that no specific protocols are required. You can visit:

Target data

Protein kinase which is a key regulator of the actin cytoskeleton and cell polarity (PubMed : 10436159, PubMed : 10652353, PubMed : 11018042, PubMed : 11283607, PubMed : 17158456, PubMed : 18573880, PubMed : 19131646, PubMed : 8617235, PubMed : 9722579). Involved in regulation of smooth muscle contraction, actin cytoskeleton organization, stress fiber and focal adhesion formation, neurite retraction, cell adhesion and motility via phosphorylation of DAPK3, GFAP, LIMK1, LIMK2, MYL9/MLC2, TPPP, PFN1 and PPP1R12A (PubMed : 10436159, PubMed : 10652353, PubMed : 11018042, PubMed : 11283607, PubMed : 17158456, PubMed : 18573880, PubMed : 19131646, PubMed : 23093407, PubMed : 23355470, PubMed : 8617235, PubMed : 9722579). Phosphorylates FHOD1 and acts synergistically with it to promote SRC-dependent non-apoptotic plasma membrane blebbing (PubMed : 18694941). Phosphorylates JIP3 and regulates the recruitment of JNK to JIP3 upon UVB-induced stress (PubMed : 19036714). Acts as a suppressor of inflammatory cell migration by regulating PTEN phosphorylation and stability (By similarity). Acts as a negative regulator of VEGF-induced angiogenic endothelial cell activation (PubMed : 19181962). Required for centrosome positioning and centrosome-dependent exit from mitosis (By similarity). Plays a role in terminal erythroid differentiation (PubMed : 21072057). Inhibits podocyte motility via regulation of actin cytoskeletal dynamics and phosphorylation of CFL1 (By similarity). Promotes keratinocyte terminal differentiation (PubMed : 19997641). Involved in osteoblast compaction through the fibronectin fibrillogenesis cell-mediated matrix assembly process, essential for osteoblast mineralization (By similarity). May regulate closure of the eyelids and ventral body wall by inducing the assembly of actomyosin bundles (By similarity).
See full target information ROCK1

Publications (2)

Recent publications for all applications. Explore the full list and refine your search

Cancers 17: PubMed40940984

2025

Dual-Targeting of ATOX1 and ROCK1: A Potent Strategy to Potentiate the Inhibition of Lung Adenocarcinoma Proliferation.

Applications

Unspecified application

Species

Unspecified reactive species

Sailong Ma,Changqing Peng,Qi Xiong,Liying Yang,Pengcheng Yan,Zitian Huo,Guoping Wang

Cancer cell 42:266-282.e8 PubMed38278150

2024

Inosine induces stemness features in CAR-T cells and enhances potency.

Applications

Unspecified application

Species

Unspecified reactive species

Dorota D Klysz,Carley Fowler,Meena Malipatlolla,Lucille Stuani,Katherine A Freitas,Yiyun Chen,Stefanie Meier,Bence Daniel,Katalin Sandor,Peng Xu,Jing Huang,Louai Labanieh,Vimal Keerthi,Amaury Leruste,Malek Bashti,Janette Mata-Alcazar,Nikolaos Gkitsas,Justin A Guerrero,Chris Fisher,Sunny Patel,Kyle Asano,Shabnum Patel,Kara L Davis,Ansuman T Satpathy,Steven A Feldman,Elena Sotillo,Crystal L Mackall
View all publications

Product promise

We are committed to supporting your work with high-quality reagents, and we're here for you every step of the way. In the unlikely event that one of our products does not perform as expected, you're protected by our Product Promise.
For full details, please see our Terms & Conditions

Please note: All products are 'FOR RESEARCH USE ONLY. NOT FOR USE IN DIAGNOSTIC OR THERAPEUTIC PROCEDURES'.

For licensing inquiries, please contact partnerships@abcam.com