JavaScript is disabled in your browser. Please enable JavaScript to view this website.
AB45171

Anti-ROCK2 + ROCK1 antibody [EP786Y]

4

(9 Reviews)

|

(133 Publications)

Anti-ROCK2 + ROCK1 antibody [EP786Y] (ab45171) is a rabbit monoclonal antibody detecting ROCK1 in Western Blot, Flow Cytometry (Intra), Flow Cytometry, IP, IHC-P, IHC-Fr, ICC/IF. Suitable for Cow, Human, Mouse, Rat.

- Biophysical QC for unrivalled batch-batch consistency
- Over 130 publications
- Trusted since 2006

View Alternative Names

Rho-associated protein kinase 1, Renal carcinoma antigen NY-REN-35, p160 ROCK-1, ROCK-I, p160ROCK, ROCK1

8 Images
Western blot - Anti-ROCK2 + ROCK1 antibody [EP786Y] (AB45171)
  • WB

Lab

Western blot - Anti-ROCK2 + ROCK1 antibody [EP786Y] (AB45171)

Blocking buffer and concentration : 5% NFDM/TBST.

Diluting buffer and concentration : 5% NFDM /TBST.

All lanes:

Western blot - Anti-ROCK2 + ROCK1 antibody [EP786Y] (ab45171) at 1/5000 dilution

Lane 1:

HeLa cell lysate - treated with Calyculin A at 20 µg

Lane 2:

HeLa cell lysate - treated with Camptothecin at 20 µg

Lane 3:

HeLa cell lysate at 20 µg

Lane 4:

Jurkat cell lysate at 20 µg

Lane 5:

Ramos cell lysate at 20 µg

Secondary

All lanes:

Peroxidase-conjugated goat anti-rabbit IgG (H+L) at 1/1000 dilution

Observed band size: 158 kDa

false

Immunohistochemistry (Formalin/PFA-fixed paraffin-embedded sections) - Anti-ROCK2 + ROCK1 antibody [EP786Y] (AB45171)
  • IHC-P

Unknown

Immunohistochemistry (Formalin/PFA-fixed paraffin-embedded sections) - Anti-ROCK2 + ROCK1 antibody [EP786Y] (AB45171)

Immunohistochemistry (Formalin/PFA-fixed paraffin-embedded sections) analysis of human thyroid gland carcinoma tissue labelling ROCK2 + ROCK1 with unpurified ab45171.

Perform heat mediated antigen retrieval with Tris/EDTA buffer pH 9.0 before commencing with IHC staining protocol.

Flow Cytometry (Intracellular) - Anti-ROCK2 + ROCK1 antibody [EP786Y] (AB45171)
  • Flow Cyt (Intra)

Unknown

Flow Cytometry (Intracellular) - Anti-ROCK2 + ROCK1 antibody [EP786Y] (AB45171)

Overlay histogram showing HeLa cells stained with unpurified ab45171 (red line). The cells were fixed with 80% methanol (5 min) and then permeabilized with 0.1% PBS-Tween for 20 min. The cells were then incubated in 1x PBS / 10% normal goat serum / 0.3M glycine to block non-specific protein-protein interactions followed by the antibody (ab45171, 1/1000 dilution) for 30 min at 22°C. The secondary antibody used was Alexa Fluorr® 488 goat anti-rabbit IgG (H+L) (ab150077) at 1/2000 dilution for 30 min at 22°C. Isotype control antibody (black line) was rabbit IgG (monoclonal) (0.1μg/1x106 cells) used under the same conditions. Unlabelled sample (blue line) was also used as a control. Acquisition of >5,000 events were collected using a 20mW Argon ion laser (488nm) and 525/30 bandpass filter.

Immunocytochemistry/ Immunofluorescence - Anti-ROCK2 + ROCK1 antibody [EP786Y] (AB45171)
  • ICC/IF

Unknown

Immunocytochemistry/ Immunofluorescence - Anti-ROCK2 + ROCK1 antibody [EP786Y] (AB45171)

Immunocytochemistry/Immunofluorescence analysis of HeLa cells labelling ROCK2 + ROCK1 with purified ab45171 at 1/50. Cells were fixed with 4% paraformaldehyde and permeabilized with 0.1% Triton X-100. ab150078, an Alexa Fluor® 555-conjugated goat anti-rabbit IgG (1/500) was used as the secondary antibody. DAPI (blue) was used as the nuclear counterstain.

Control : primary antibody (1/50) and secondary antibody, ab150113, an Alexa Fluor® 488-conjugated goat anti-mouse IgG (1/500).

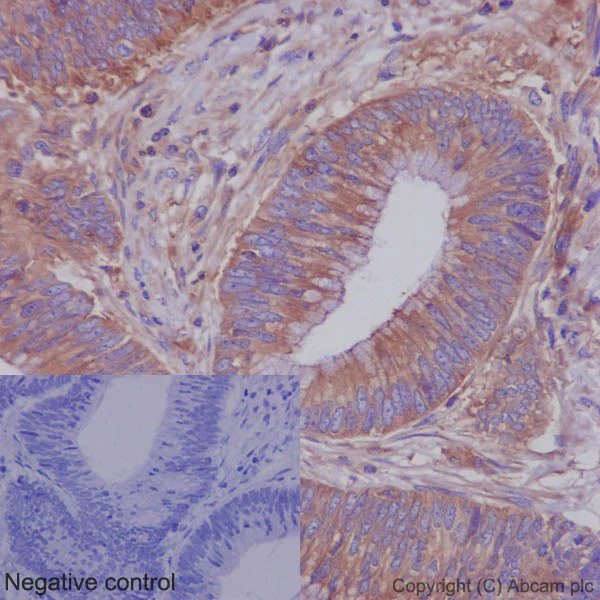
Immunohistochemistry (Formalin/PFA-fixed paraffin-embedded sections) - Anti-ROCK2 + ROCK1 antibody [EP786Y] (AB45171)
  • IHC-P

Unknown

Immunohistochemistry (Formalin/PFA-fixed paraffin-embedded sections) - Anti-ROCK2 + ROCK1 antibody [EP786Y] (AB45171)

Immunohistochemistry (Formalin/PFA-fixed paraffin-embedded sections) analysis of human adenocarcinoma of the colon tissue labelling ROCK2 + ROCK1 with purified ab45171 at 1/100. Heat mediated antigen retrieval was performed using Tris/EDTA buffer pH 9. A prediluted HRP-polymer conjugated anti-rabbit IgG was used as the secondary antibody. Negative control using PBS instead of primary antibody. Counterstained with hematoxylin.

Immunoprecipitation - Anti-ROCK2 + ROCK1 antibody [EP786Y] (AB45171)
  • IP

Unknown

Immunoprecipitation - Anti-ROCK2 + ROCK1 antibody [EP786Y] (AB45171)

ab45171 (purified) at 1/40 immunoprecipitating ROCK2 + ROCK1 in HeLa cell lysate. For western blotting, a peroxidase-conjugated goat anti-rabbit IgG (H+L) was used as the secondary antibody (1/1000).

Blocking buffer and concentration : 5% NFDM/TBST.

Diluting buffer and concentration : 5% NFDM /TBST.

All lanes:

Immunoprecipitation - Anti-ROCK2 + ROCK1 antibody [EP786Y] (ab45171)

Observed band size: 158 kDa

false

Western blot - Anti-ROCK2 + ROCK1 antibody [EP786Y] (AB45171)
  • WB

Supplier Data

Western blot - Anti-ROCK2 + ROCK1 antibody [EP786Y] (AB45171)

Loading control : Anti-6X His tag® antibody [EPR20547] (ab213204)

Blocking buffer and concentration : 5% NFDM/TBST

Exposure Times :

Lane 1 : 3 seconds

Lane 2 : 7 seconds

Lanes 1 - 2:

Western blot - Alexa Fluor® 488 Anti-ROCK2 + ROCK1 antibody [EP786Y] (<a href='/en-us/products/primary-antibodies/alexa-fluor-488-rock2-rock1-antibody-ep786y-ab205432'>ab205432</a>) at 1/1000 dilution

Lanes 1 - 2:

Western blot - PE Anti-ROCK2 + ROCK1 antibody [EP786Y] (<a href='/en-us/products/primary-antibodies/pe-rock2-rock1-antibody-ep786y-ab224972'>ab224972</a>) at 1/1000 dilution

Lanes 1 - 2:

Western blot - Anti-ROCK2 + ROCK1 antibody [EP786Y] (ab45171) at 1/1000 dilution

Lane 1:

Recombinant Human ROCK1 protein (aa 1114 to 1354) (30 kDa)

Lane 2:

Recombinant Human ROCK2 protein (aa 1132 to 1388) (30 kDa)

Secondary

All lanes:

Western blot - Goat Anti-Rabbit IgG H&L (HRP) (<a href='/en-us/products/secondary-antibodies/goat-rabbit-igg-h-l-hrp-ab97051'>ab97051</a>) at 1/20000 dilution

Observed band size: 30 kDa

false

Western blot - Anti-ROCK2 + ROCK1 antibody [EP786Y] (AB45171)
  • WB

Lab

Western blot - Anti-ROCK2 + ROCK1 antibody [EP786Y] (AB45171)

Blocking buffer and concentration : 5% NFDM/TBST.

Diluting buffer and concentration : 5% NFDM /TBST.

All lanes:

Western blot - Anti-ROCK2 + ROCK1 antibody [EP786Y] (ab45171) at 1/5000 dilution

Lane 1:

PC-12 cell lysate at 20 µg

Lane 2:

RAW264.7 cell lysate at 20 µg

Secondary

All lanes:

Peroxidase-conjugated goat anti-rabbit IgG (H+L) at 1/1000 dilution

Observed band size: 158 kDa

false

  • 519 Alexa Fluor® 488

    Alexa Fluor® 488 Anti-ROCK2 + ROCK1 antibody [EP786Y]

  • 578 PE

    PE Anti-ROCK2 + ROCK1 antibody [EP786Y]

  • Carrier free

    Anti-ROCK2 + ROCK1 antibody [EP786Y] - BSA and Azide free

  • 565 Alexa Fluor® 555

    Alexa Fluor® 555 Anti-ROCK1 antibody [EP786Y]

  • 617 Alexa Fluor® 594

    Alexa Fluor® 594 Anti-ROCK1 antibody [EP786Y]

  • 660 APC

    APC Anti-ROCK1 antibody [EP786Y]

  • 603 Alexa Fluor® 568

    Alexa Fluor® 568 Anti-ROCK2 + ROCK1 antibody [EP786Y]

  • 775 Alexa Fluor® 750

    Alexa Fluor® 750 Anti-ROCK2 + ROCK1 antibody [EP786Y]

Key facts

Host species

Rabbit

Clonality

Monoclonal

Clone number

EP786Y

Isotype

IgG

Carrier free

No

Reacts with

Mouse, Rat, Human, Cow

Applications

IP, ICC/IF, IHC-P, Flow Cyt (Intra), IHC-Fr, WB

applications

Immunogen

The exact immunogen used to generate this antibody is proprietary information.

Specificity

This antibody recognizes both the cleaved C-terminus of ROCK 1 (30 kDa) and full length protein (158 kDa). The immunogen used for this product shares 83% homology with ROCK2 and has been shown to bind recombinant human ROCK2, please see western blot images below.

Reactivity data

{ "title": "Reactivity Data", "filters": { "stats": ["", "Species", "Dilution Info", "Notes"], "tabs": { "all-applications": {"fullname" : "All Applications", "shortname": "All Applications"}, "IP" : {"fullname" : "Immunoprecipitation", "shortname":"IP"}, "WB" : {"fullname" : "Western blot", "shortname":"WB"}, "ICCIF" : {"fullname" : "Immunocytochemistry/ Immunofluorescence", "shortname":"ICC/IF"}, "FlowCytIntra" : {"fullname" : "Flow Cytometry (Intracellular)", "shortname":"Flow Cyt (Intra)"}, "IHCP" : {"fullname" : "Immunohistochemistry (Formalin/PFA-fixed paraffin-embedded sections)", "shortname":"IHC-P"}, "IHCFr" : {"fullname" : "Immunohistochemistry (Frozen sections)", "shortname":"IHC-Fr"} }, "product-promise": { "all": "all", "testedAndGuaranteed": "tested", "guaranteed": "expected", "predicted": "predicted", "notRecommended": "not-recommended" } }, "values": { "Human": { "IP-species-checked": "testedAndGuaranteed", "IP-species-dilution-info": "1/40 - 1/50", "IP-species-notes": "<p></p>", "WB-species-checked": "testedAndGuaranteed", "WB-species-dilution-info": "1/2000 - 1/10000", "WB-species-notes": "<p><strong>For unpurified use at 1/500.</strong></p>", "ICCIF-species-checked": "testedAndGuaranteed", "ICCIF-species-dilution-info": "1/50 - 1/500", "ICCIF-species-notes": "<p></p>", "FlowCytIntra-species-checked": "testedAndGuaranteed", "FlowCytIntra-species-dilution-info": "1/1000", "FlowCytIntra-species-notes": "<p><a href='/en-us/products/primary-antibodies/rabbit-igg-monoclonal-epr25a-isotype-control-ab172730'>ab172730</a> - Rabbit monoclonal IgG, is suitable for use as an isotype control with this antibody.</p>", "IHCP-species-checked": "testedAndGuaranteed", "IHCP-species-dilution-info": "1/50 - 1/250", "IHCP-species-notes": "<p></p> Perform heat-mediated antigen retrieval with Tris/EDTA buffer pH 9.0 before commencing with IHC staining protocol.", "IHCFr-species-checked": "predicted", "IHCFr-species-dilution-info": "", "IHCFr-species-notes": "" }, "Mouse": { "IP-species-checked": "guaranteed", "IP-species-dilution-info": "", "IP-species-notes": "", "WB-species-checked": "testedAndGuaranteed", "WB-species-dilution-info": "1/2000 - 1/10000", "WB-species-notes": "<p><strong>For unpurified use at 1/500.</strong></p>", "ICCIF-species-checked": "guaranteed", "ICCIF-species-dilution-info": "", "ICCIF-species-notes": "", "FlowCytIntra-species-checked": "guaranteed", "FlowCytIntra-species-dilution-info": "", "FlowCytIntra-species-notes": "", "IHCP-species-checked": "guaranteed", "IHCP-species-dilution-info": "", "IHCP-species-notes": "", "IHCFr-species-checked": "predicted", "IHCFr-species-dilution-info": "", "IHCFr-species-notes": "" }, "Rat": { "IP-species-checked": "guaranteed", "IP-species-dilution-info": "", "IP-species-notes": "", "WB-species-checked": "testedAndGuaranteed", "WB-species-dilution-info": "1/2000 - 1/10000", "WB-species-notes": "<p><strong>For unpurified use at 1/500.</strong></p>", "ICCIF-species-checked": "guaranteed", "ICCIF-species-dilution-info": "", "ICCIF-species-notes": "", "FlowCytIntra-species-checked": "guaranteed", "FlowCytIntra-species-dilution-info": "", "FlowCytIntra-species-notes": "", "IHCP-species-checked": "guaranteed", "IHCP-species-dilution-info": "", "IHCP-species-notes": "", "IHCFr-species-checked": "predicted", "IHCFr-species-dilution-info": "", "IHCFr-species-notes": "" }, "Cow": { "IP-species-checked": "predicted", "IP-species-dilution-info": "", "IP-species-notes": "", "WB-species-checked": "guaranteed", "WB-species-dilution-info": "1/2000 - 1/10000", "WB-species-notes": "<p><strong>For unpurified use at 1/500.</strong></p>", "ICCIF-species-checked": "predicted", "ICCIF-species-dilution-info": "", "ICCIF-species-notes": "", "FlowCytIntra-species-checked": "predicted", "FlowCytIntra-species-dilution-info": "", "FlowCytIntra-species-notes": "", "IHCP-species-checked": "predicted", "IHCP-species-dilution-info": "", "IHCP-species-notes": "", "IHCFr-species-checked": "guaranteed", "IHCFr-species-dilution-info": "", "IHCFr-species-notes": "<p></p>" }, "Recombinant fragment - Human": { "IP-species-checked": "notRecommended", "IP-species-dilution-info": "", "IP-species-notes": "", "WB-species-checked": "testedAndGuaranteed", "WB-species-dilution-info": "1/2000 - 1/10000", "WB-species-notes": "<p><strong>For unpurified use at 1/500.</strong></p>", "ICCIF-species-checked": "notRecommended", "ICCIF-species-dilution-info": "", "ICCIF-species-notes": "", "FlowCytIntra-species-checked": "notRecommended", "FlowCytIntra-species-dilution-info": "", "FlowCytIntra-species-notes": "", "IHCP-species-checked": "notRecommended", "IHCP-species-dilution-info": "", "IHCP-species-notes": "", "IHCFr-species-checked": "notRecommended", "IHCFr-species-dilution-info": "", "IHCFr-species-notes": "" } } }

Product details

What is this antibody validated in?
Anti-ROCK2 + ROCK1 antibody [EP786Y] (ab45171) is a rabbit recombinant monoclonal antibody and is validated for use in Western Blot (WB), Flow Cytometry (Intra), Flow Cytometry (Flow Cyt), Immunoprecipitation (IP), Immunohistochemistry (IHC-P), Immunohistochemistry (IHC-Fr), Immunocytochemistry/immunofluorescence (ICC/IF) in Cow, Human, Mouse, Rat samples.

What is the molecular weight of ROCK1?
Anti-ROCK2 + ROCK1 [EP786Y] (ab45171) specifically detects a band for ROCK1 (UniProt: Q13464) at a molecular weight of 158kDa.

Trusted by the scientific community
Anti-ROCK2 + ROCK1 [EP786Y] (ab45171) was first used in a scientific publication in 2006 and has been cited over 130 times in peer-reviewed journals.

Reviewed by scientists
Anti-ROCK2 + ROCK1 [EP786Y] (ab45171) has over 5 independent reviews from customers.

Trial sizes available!
Test your antibody or perform pre-screening before committing to a larger quantity. Sold in 10µl. Discover our selection of trial-size antibodies.

Other related products
We have a range of other formats of antibody clone [EP786Y] also available for your convenience: ab45171, Alexa Fluor® 488 - ab205432, Carrier free - ab219587, PE - ab224972, APC - ab310864, Alexa Fluor® 647 - ab311078, Alexa Fluor® 594 - ab311669, Alexa Fluor® 568 - ab312944, Alexa Fluor® 555 - ab313154, Alexa Fluor® 750 - ab321633

Patented technology
Our RabMAb® technology is a patented hybridoma-based technology for making rabbit monoclonal antibodies. For details on our patents, please refer to RabMAb® patents.

What are the advantages of a recombinant monoclonal antibody?
This product is a recombinant monoclonal antibody, which offers several advantages including:

  • - High batch-to-batch consistency and reproducibility
  • - Improved sensitivity and specificity
  • - Long-term security of supply
  • - Animal-free batch production

For more information, read more on recombinant antibodies.

Properties and storage information

Form
Liquid
Purification technique
Affinity purification Protein A
Storage buffer
pH: 7.2 - 7.4 Preservative: 0.01% Sodium azide Constituents: PBS, 40% Glycerol (glycerin, glycerine), 0.05% BSA
Shipped at conditions
Blue Ice
Appropriate short-term storage duration
1-2 weeks
Appropriate short-term storage conditions
+4°C
Appropriate long-term storage conditions
-20°C
Aliquoting information
Upon delivery aliquot
Storage information
Avoid freeze / thaw cycle

Product protocols

For this product, it's our understanding that no specific protocols are required. You can visit:

Target data

Protein kinase which is a key regulator of the actin cytoskeleton and cell polarity (PubMed : 10436159, PubMed : 10652353, PubMed : 11018042, PubMed : 11283607, PubMed : 17158456, PubMed : 18573880, PubMed : 19131646, PubMed : 8617235, PubMed : 9722579). Involved in regulation of smooth muscle contraction, actin cytoskeleton organization, stress fiber and focal adhesion formation, neurite retraction, cell adhesion and motility via phosphorylation of DAPK3, GFAP, LIMK1, LIMK2, MYL9/MLC2, TPPP, PFN1 and PPP1R12A (PubMed : 10436159, PubMed : 10652353, PubMed : 11018042, PubMed : 11283607, PubMed : 17158456, PubMed : 18573880, PubMed : 19131646, PubMed : 23093407, PubMed : 23355470, PubMed : 8617235, PubMed : 9722579). Phosphorylates FHOD1 and acts synergistically with it to promote SRC-dependent non-apoptotic plasma membrane blebbing (PubMed : 18694941). Phosphorylates JIP3 and regulates the recruitment of JNK to JIP3 upon UVB-induced stress (PubMed : 19036714). Acts as a suppressor of inflammatory cell migration by regulating PTEN phosphorylation and stability (By similarity). Acts as a negative regulator of VEGF-induced angiogenic endothelial cell activation (PubMed : 19181962). Required for centrosome positioning and centrosome-dependent exit from mitosis (By similarity). Plays a role in terminal erythroid differentiation (PubMed : 21072057). Inhibits podocyte motility via regulation of actin cytoskeletal dynamics and phosphorylation of CFL1 (By similarity). Promotes keratinocyte terminal differentiation (PubMed : 19997641). Involved in osteoblast compaction through the fibronectin fibrillogenesis cell-mediated matrix assembly process, essential for osteoblast mineralization (By similarity). May regulate closure of the eyelids and ventral body wall by inducing the assembly of actomyosin bundles (By similarity).
See full target information ROCK1

Additional targets

ROCK2

Publications (133)

Recent publications for all applications. Explore the full list and refine your search

Journal of vascular research 60:183-192 PubMed37660689

2023

RhoA/ROCK Signaling Is Involved in Pathological Retinal Neovascularization.

Applications

Unspecified application

Species

Unspecified reactive species

Fen Tang,Kongqian Huang,Biyan Peng,Wen Deng,Ning Su,Fan Xu,Mingyuan Zhang,Haibin Zhong

FASEB journal : official publication of the Federation of American Societies for Experimental Biology 37:e23035 PubMed37310396

2023

Farnesyl diphosphate synthase exacerbates nonalcoholic steatohepatitis via the activation of AHR-CD36 axis.

Applications

Unspecified application

Species

Unspecified reactive species

Jun Liu,Xinxin Zhang,Yufei Zhang,Minyi Qian,Maohui Yang,Song Yang,Lirui Wang

Phytotherapy research : PTR 37:4117-4132 PubMed37246830

2023

Baicalin inhibits hepatocellular carcinoma cell growth and metastasis by suppressing ROCK1 signaling.

Applications

Unspecified application

Species

Unspecified reactive species

Jialing Sun,Xuemei Yang,Haitao Sun,Shaohui Huang,Haiyan An,Wei Xu,Weicong Chen,Wenting Zhao,Chunyu He,Xiaodan Zhong,Tong Li,Yang Liu,Bin Wen,Qingfeng Du,Songqi He

Respiratory research 24:56 PubMed36803977

2023

Targeting of G-protein coupled receptor 40 alleviates airway hyperresponsiveness through RhoA/ROCK1 signaling pathway in obese asthmatic mice.

Applications

Unspecified application

Species

Unspecified reactive species

Xixi Lin,Like Wang,Xiaojie Lu,Yuanyuan Zhang,Rongying Zheng,Ruijie Chen,Weixi Zhang

Nature communications 14:700 PubMed36755029

2023

TRIM40 is a pathogenic driver of inflammatory bowel disease subverting intestinal barrier integrity.

Applications

Unspecified application

Species

Unspecified reactive species

Sujin Kang,Jaekyung Kim,Areum Park,Minsoo Koh,Wonji Shin,Gayoung Park,Taeyun A Lee,Hyung Jin Kim,Heonjong Han,Yongbo Kim,Myung Kyung Choi,Jae Hyung Park,Eunhye Lee,Hyun-Soo Cho,Hyun Woo Park,Jae Hee Cheon,Sungwook Lee,Boyoun Park

Cancers 14: PubMed35626071

2022

Cytoplasmic Clusterin Suppresses Lung Cancer Metastasis by Inhibiting the ROCK1-ERK Axis.

Applications

Unspecified application

Species

Unspecified reactive species

Shaobo Huang,Xu Li,Weiqi Gu,Xiaoyi Li,Jingjing Zhao,Jueheng Wu,Junchao Cai,Xianming Feng,Tianyu Tao

Journal of cellular and molecular medicine 26:1656-1671 PubMed35092120

2022

CTNNAL1 participates in the regulation of mucus overproduction in HDM-induced asthma mouse model through the YAP-ROCK2 pathway.

Applications

Unspecified application

Species

Unspecified reactive species

Di Wu,Wang Jiang,Caixia Liu,Lexin Liu,Furong Li,Xiaodi Ma,Lang Pan,Chi Liu,Xiangping Qu,Huijun Liu,Xiaoqun Qin,Yang Xiang

Aging 14:286-296 PubMed34983026

2022

Yes-associated protein reacts differently in vascular smooth muscle cells under different intensities of mechanical stretch.

Applications

Unspecified application

Species

Unspecified reactive species

Xinhao Wang,Xiangdang Liang,Lujun Zhou,Shen Liu,Zhuoqun Fang,Chuanzhong Hu,Yigong Hou,Zhanshe Guo

Evidence-based complementary and alternative medicine : eCAM 2021:5536679 PubMed34925530

2021

Sishen Pill Maintained Colonic Mucosal Barrier Integrity to Treat Ulcerative Colitis via Rho/ROCK Signaling Pathway.

Applications

Unspecified application

Species

Unspecified reactive species

Xiao-Yun Zhang,Hai-Mei Zhao,Yi Liu,Xiu-Yun Lu,Yan-Zhen Li,Qi-Hong Pan,Hai-Yan Wang,Wei Ge,Duan-Yong Liu

Frontiers in cell and developmental biology 9:796274 PubMed34957122

2021

BBS7-SHH Signaling Activity Regulates Primary Cilia for Periodontal Homeostasis.

Applications

Unspecified application

Species

Unspecified reactive species

Pi En Chang,Shujin Li,Hyun-Yi Kim,Dong-Joon Lee,Yoon Jeong Choi,Han-Sung Jung
View all publications

Product promise

We are committed to supporting your work with high-quality reagents, and we're here for you every step of the way. In the unlikely event that one of our products does not perform as expected, you're protected by our Product Promise.
For full details, please see our Terms & Conditions

Associated Products

Select an associated product type
Alternative Product
Primary Antibodies

AB97592

Anti-ROCK1 antibody

primary-antibodies

rock1-antibody-ab97592

0

(0 reviews)

Alternative Product
Primary Antibodies

AB245368

Anti-ROCK1 antibody

primary-antibodies

rock1-antibody-ab245368

0

(0 reviews)

Alternative Product
Primary Antibodies

AB245369

Anti-ROCK1 antibody

primary-antibodies

rock1-antibody-ab245369

0

(0 reviews)

Alternative Product
Primary Antibodies

AB203273

Anti-ROCK1 (phospho T455 + S456) antibody

primary-antibodies

rock1-phospho-t455-s456-antibody-ab203273

4

(1 reviews)

Alternative Product
Primary Antibodies

AB230799

Anti-ROCK1 antibody [EPR638Y] - BSA and Azide free

primary-antibodies

rock1-antibody-epr638y-bsa-and-azide-free-ab230799

0

(0 reviews)

Please note: All products are 'FOR RESEARCH USE ONLY. NOT FOR USE IN DIAGNOSTIC OR THERAPEUTIC PROCEDURES'.

For licensing inquiries, please contact partnerships@abcam.com