JavaScript is disabled in your browser. Please enable JavaScript to view this website.
AB219587

Anti-ROCK2 + ROCK1 antibody [EP786Y] - BSA and Azide free

Be the first to review this product! Submit a review

|

(24 Publications)

Rabbit Recombinant Monoclonal ROCK2 antibody. Carrier free. Suitable for WB, IP, ICC/IF, Flow Cyt (Intra), IHC-P, IHC-Fr and reacts with Human, Recombinant fragment - Human, Mouse, Rat, Cow samples. Cited in 24 publications.

View Alternative Names

Rho-associated protein kinase 1, Renal carcinoma antigen NY-REN-35, p160 ROCK-1, ROCK-I, p160ROCK, ROCK1

6 Images
Flow Cytometry (Intracellular) - Anti-ROCK2 + ROCK1 antibody [EP786Y] - BSA and Azide free (AB219587)
  • Flow Cyt (Intra)

Unknown

Flow Cytometry (Intracellular) - Anti-ROCK2 + ROCK1 antibody [EP786Y] - BSA and Azide free (AB219587)

Overlay histogram showing HeLa cells stained with unpurified ab45171 (red line). The cells were fixed with 80% methanol (5 min) and then permeabilized with 0.1% PBS-Tween for 20 min. The cells were then incubated in 1x PBS / 10% normal goat serum / 0.3M glycine to block non-specific protein-protein interactions followed by the antibody (ab45171, 1/1000 dilution) for 30 min at 22°C. The secondary antibody used was Alexa Fluor® 488 goat anti-rabbit IgG (H+L) (ab150077) at 1/2000 dilution for 30 min at 22°C. Isotype control antibody (black line) was rabbit IgG (monoclonal) (0.1μg/1x106 cells) used under the same conditions. Unlabelled sample (blue line) was also used as a control. Acquisition of >5,000 events were collected using a 20mW Argon ion laser (488nm) and 525/30 bandpass filter.

This data was developed using the same antibody clone in a different buffer formulation containing PBS, BSA, glycerol, and sodium azide (ab45171).

Immunocytochemistry/ Immunofluorescence - Anti-ROCK2 + ROCK1 antibody [EP786Y] - BSA and Azide free (AB219587)
  • ICC/IF

Unknown

Immunocytochemistry/ Immunofluorescence - Anti-ROCK2 + ROCK1 antibody [EP786Y] - BSA and Azide free (AB219587)

Immunocytochemistry/Immunofluorescence analysis of HeLa cells labelling ROCK2 + ROCK1 with purified ab45171 at 1/50. Cells were fixed with 4% paraformaldehyde and permeabilized with 0.1% Triton X-100. ab150078, an Alexa Fluor® 555-conjugated goat anti-rabbit IgG (1/500) was used as the secondary antibody. DAPI (blue) was used as the nuclear counterstain.

Control : primary antibody (1/50) and secondary antibody, ab150113, an Alexa Fluor® 488-conjugated goat anti-mouse IgG (1/500).

This data was developed using the same antibody clone in a different buffer formulation containing PBS, BSA, glycerol, and sodium azide (ab45171).

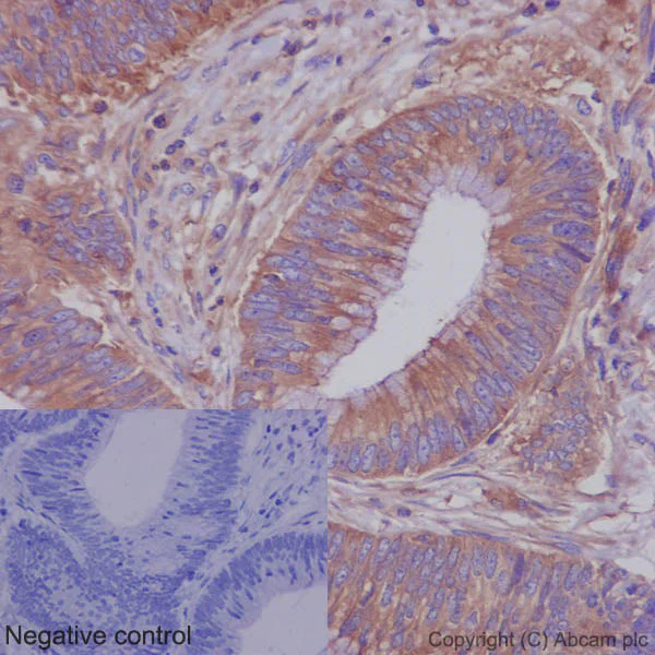
Immunohistochemistry (Formalin/PFA-fixed paraffin-embedded sections) - Anti-ROCK2 + ROCK1 antibody [EP786Y] - BSA and Azide free (AB219587)
  • IHC-P

Unknown

Immunohistochemistry (Formalin/PFA-fixed paraffin-embedded sections) - Anti-ROCK2 + ROCK1 antibody [EP786Y] - BSA and Azide free (AB219587)

Immunohistochemistry (Formalin/PFA-fixed paraffin-embedded sections) analysis of human adenocarcinoma of the colon tissue labelling ROCK2 + ROCK1 with purified ab45171 at 1/100. Heat mediated antigen retrieval was performed using Tris/EDTA buffer pH 9. A prediluted HRP-polymer conjugated anti-rabbit IgG was used as the secondary antibody. Negative control using PBS instead of primary antibody. Counterstained with hematoxylin.

This data was developed using the same antibody clone in a different buffer formulation containing PBS, BSA, glycerol, and sodium azide (ab45171).

Immunoprecipitation - Anti-ROCK2 + ROCK1 antibody [EP786Y] - BSA and Azide free (AB219587)
  • IP

Unknown

Immunoprecipitation - Anti-ROCK2 + ROCK1 antibody [EP786Y] - BSA and Azide free (AB219587)

ab45171 (purified) at 1/40 immunoprecipitating ROCK2 + ROCK1 in HeLa cell lysate. For western blotting, a peroxidase-conjugated goat anti-rabbit IgG (H+L) was used as the secondary antibody (1/1000).

Blocking buffer and concentration : 5% NFDM/TBST.

Diluting buffer and concentration : 5% NFDM /TBST.

This data was developed using the same antibody clone in a different buffer formulation containing PBS, BSA, glycerol, and sodium azide (ab45171).

All lanes:

Immunoprecipitation - Anti-ROCK2 + ROCK1 antibody [EP786Y] (<a href='/en-us/products/primary-antibodies/rock2-rock1-antibody-ep786y-ab45171'>ab45171</a>)

Observed band size: 158 kDa

false

Western blot - Anti-ROCK2 + ROCK1 antibody [EP786Y] - BSA and Azide free (AB219587)
  • WB

Supplier Data

Western blot - Anti-ROCK2 + ROCK1 antibody [EP786Y] - BSA and Azide free (AB219587)

This data was developed using ab45171, the same antibody clone in a different buffer formulation.

Loading control : Anti-6X His tag® antibody [EPR20547] (ab213204)

Blocking buffer and concentration : 5% NFDM/TBST

Exposure Times :

Lane 1 : 3 seconds

Lane 2 : 7 seconds

Lanes 1 - 2:

Western blot - Alexa Fluor® 488 Anti-ROCK2 + ROCK1 antibody [EP786Y] (<a href='/en-us/products/primary-antibodies/alexa-fluor-488-rock2-rock1-antibody-ep786y-ab205432'>ab205432</a>) at 1/1000 dilution

Lanes 1 - 2:

Western blot - PE Anti-ROCK2 + ROCK1 antibody [EP786Y] (<a href='/en-us/products/primary-antibodies/pe-rock2-rock1-antibody-ep786y-ab224972'>ab224972</a>) at 1/1000 dilution

Lanes 1 - 2:

Western blot - Anti-ROCK2 + ROCK1 antibody [EP786Y] (<a href='/en-us/products/primary-antibodies/rock2-rock1-antibody-ep786y-ab45171'>ab45171</a>) at 1/1000 dilution

Lane 1:

Recombinant Human ROCK1 protein (aa 1114 to 1354) (30 kDa)

Lane 2:

Recombinant Human ROCK2 protein (aa 1132 to 1388) (30 kDa)

Secondary

All lanes:

Western blot - Goat Anti-Rabbit IgG H&L (HRP) (<a href='/en-us/products/secondary-antibodies/goat-rabbit-igg-h-l-hrp-ab97051'>ab97051</a>) at 1/20000 dilution

Observed band size: 30 kDa

false

Immunohistochemistry (Formalin/PFA-fixed paraffin-embedded sections) - Anti-ROCK2 + ROCK1 antibody [EP786Y] - BSA and Azide free (AB219587)
  • IHC-P

Unknown

Immunohistochemistry (Formalin/PFA-fixed paraffin-embedded sections) - Anti-ROCK2 + ROCK1 antibody [EP786Y] - BSA and Azide free (AB219587)

Immunohistochemistry (Formalin/PFA-fixed paraffin-embedded sections) analysis of human thyroid gland carcinoma tissue labelling ROCK2 + ROCK1 with unpurified ab45171.

This data was developed using the same antibody clone in a different buffer formulation containing PBS, BSA, glycerol, and sodium azide (ab45171).

Perform heat mediated antigen retrieval with Tris/EDTA buffer pH 9.0 before commencing with IHC staining protocol.

Key facts

Host species

Rabbit

Clonality

Monoclonal

Clone number

EP786Y

Isotype

IgG

Carrier free

Yes

Reacts with

Mouse, Rat, Cow, Human

Applications

IP, IHC-Fr, Flow Cyt (Intra), WB, IHC-P, ICC/IF

applications

Immunogen

The exact immunogen used to generate this antibody is proprietary information.

Specificity

This antibody recognizes both the cleaved C-terminus of ROCK 1 (30 kDa) and full length protein (158 kDa). The immunogen used for this product shares 83% homology with ROCK2 and has been shown to bind recombinant human ROCK2, please see western blot images below.

Reactivity data

{ "title": "Reactivity Data", "filters": { "stats": ["", "Species", "Dilution Info", "Notes"], "tabs": { "all-applications": {"fullname" : "All Applications", "shortname": "All Applications"}, "WB" : {"fullname" : "Western blot", "shortname":"WB"}, "IP" : {"fullname" : "Immunoprecipitation", "shortname":"IP"}, "ICCIF" : {"fullname" : "Immunocytochemistry/ Immunofluorescence", "shortname":"ICC/IF"}, "FlowCytIntra" : {"fullname" : "Flow Cytometry (Intracellular)", "shortname":"Flow Cyt (Intra)"}, "IHCP" : {"fullname" : "Immunohistochemistry (Formalin/PFA-fixed paraffin-embedded sections)", "shortname":"IHC-P"}, "IHCFr" : {"fullname" : "Immunohistochemistry (Frozen sections)", "shortname":"IHC-Fr"} }, "product-promise": { "all": "all", "testedAndGuaranteed": "tested", "guaranteed": "expected", "predicted": "predicted", "notRecommended": "not-recommended" } }, "values": { "Human": { "WB-species-checked": "testedAndGuaranteed", "WB-species-dilution-info": "", "WB-species-notes": "<p><strong>For unpurified use at 1/500.</strong></p>", "IP-species-checked": "testedAndGuaranteed", "IP-species-dilution-info": "", "IP-species-notes": "<p></p>", "ICCIF-species-checked": "testedAndGuaranteed", "ICCIF-species-dilution-info": "", "ICCIF-species-notes": "<p></p>", "FlowCytIntra-species-checked": "testedAndGuaranteed", "FlowCytIntra-species-dilution-info": "", "FlowCytIntra-species-notes": "<p><a href='/en-us/products/primary-antibodies/rabbit-igg-monoclonal-epr25a-isotype-control-low-endotoxin-azide-free-ab199376'>ab199376</a> - Rabbit monoclonal IgG, is suitable for use as an isotype control with this antibody.</p>", "IHCP-species-checked": "testedAndGuaranteed", "IHCP-species-dilution-info": "", "IHCP-species-notes": "<p></p> Perform heat-mediated antigen retrieval with Tris/EDTA buffer pH 9.0 before commencing with IHC staining protocol.", "IHCFr-species-checked": "predicted", "IHCFr-species-dilution-info": "", "IHCFr-species-notes": "" }, "Mouse": { "WB-species-checked": "testedAndGuaranteed", "WB-species-dilution-info": "", "WB-species-notes": "<p><strong>For unpurified use at 1/500.</strong></p>", "IP-species-checked": "guaranteed", "IP-species-dilution-info": "", "IP-species-notes": "", "ICCIF-species-checked": "guaranteed", "ICCIF-species-dilution-info": "", "ICCIF-species-notes": "", "FlowCytIntra-species-checked": "guaranteed", "FlowCytIntra-species-dilution-info": "", "FlowCytIntra-species-notes": "", "IHCP-species-checked": "guaranteed", "IHCP-species-dilution-info": "", "IHCP-species-notes": "", "IHCFr-species-checked": "predicted", "IHCFr-species-dilution-info": "", "IHCFr-species-notes": "" }, "Rat": { "WB-species-checked": "testedAndGuaranteed", "WB-species-dilution-info": "", "WB-species-notes": "<p><strong>For unpurified use at 1/500.</strong></p>", "IP-species-checked": "guaranteed", "IP-species-dilution-info": "", "IP-species-notes": "", "ICCIF-species-checked": "guaranteed", "ICCIF-species-dilution-info": "", "ICCIF-species-notes": "", "FlowCytIntra-species-checked": "guaranteed", "FlowCytIntra-species-dilution-info": "", "FlowCytIntra-species-notes": "", "IHCP-species-checked": "guaranteed", "IHCP-species-dilution-info": "", "IHCP-species-notes": "", "IHCFr-species-checked": "predicted", "IHCFr-species-dilution-info": "", "IHCFr-species-notes": "" }, "Cow": { "WB-species-checked": "guaranteed", "WB-species-dilution-info": "", "WB-species-notes": "<p><strong>For unpurified use at 1/500.</strong></p>", "IP-species-checked": "predicted", "IP-species-dilution-info": "", "IP-species-notes": "", "ICCIF-species-checked": "predicted", "ICCIF-species-dilution-info": "", "ICCIF-species-notes": "", "FlowCytIntra-species-checked": "predicted", "FlowCytIntra-species-dilution-info": "", "FlowCytIntra-species-notes": "", "IHCP-species-checked": "predicted", "IHCP-species-dilution-info": "", "IHCP-species-notes": "", "IHCFr-species-checked": "guaranteed", "IHCFr-species-dilution-info": "", "IHCFr-species-notes": "<p></p>" }, "Recombinant fragment - Human": { "WB-species-checked": "testedAndGuaranteed", "WB-species-dilution-info": "", "WB-species-notes": "<p><strong>For unpurified use at 1/500.</strong></p>", "IP-species-checked": "notRecommended", "IP-species-dilution-info": "", "IP-species-notes": "", "ICCIF-species-checked": "notRecommended", "ICCIF-species-dilution-info": "", "ICCIF-species-notes": "", "FlowCytIntra-species-checked": "notRecommended", "FlowCytIntra-species-dilution-info": "", "FlowCytIntra-species-notes": "", "IHCP-species-checked": "notRecommended", "IHCP-species-dilution-info": "", "IHCP-species-notes": "", "IHCFr-species-checked": "notRecommended", "IHCFr-species-dilution-info": "", "IHCFr-species-notes": "" } } }

Product details

ab219587 is the carrier-free version of ab45171.

Patented technology
Our RabMAb® technology is a patented hybridoma-based technology for making rabbit monoclonal antibodies. For details on our patents, please refer to RabMAb® patents.

What are the advantages of a recombinant monoclonal antibody?
This product is a recombinant monoclonal antibody, which offers several advantages including:

  • - High batch-to-batch consistency and reproducibility
  • - Improved sensitivity and specificity
  • - Long-term security of supply
  • - Animal-free batch production

For more information, read more on recombinant antibodies.

Conjugation ready
Our carrier-free antibodies are typically supplied in a PBS-only formulation, purified and free of BSA, sodium azide and glycerol. This conjugation-ready format is designed for use with fluorochromes, metal isotopes, oligonucleotides, and enzymes, which makes them ideal for antibody labelling, functional and cell-based assays, flow-based assays (e.g. mass cytometry) and Multiplex Imaging applications.

Use our conjugation kits for antibody conjugates that are ready-to-use in as little as 20 minutes with 1 minute hands-on-time and 100% antibody recovery: available for fluorescent dyes, HRP, biotin and gold.

Compatibility
This product is compatible with the Maxpar® Antibody Labeling Kit from Fluidigm, without the need for antibody preparation. Maxpar® is a trademark of Fluidigm Canada Inc.

Properties and storage information

Form
Liquid
Purification technique
Affinity purification Protein A
Storage buffer
pH: 7.2 - 7.4 Constituents: PBS
Shipped at conditions
Blue Ice
Appropriate short-term storage conditions
+4°C
Appropriate long-term storage conditions
+4°C
Storage information
Do Not Freeze

Product protocols

For this product, it's our understanding that no specific protocols are required. You can visit:

Target data

Protein kinase which is a key regulator of the actin cytoskeleton and cell polarity (PubMed : 10436159, PubMed : 10652353, PubMed : 11018042, PubMed : 11283607, PubMed : 17158456, PubMed : 18573880, PubMed : 19131646, PubMed : 8617235, PubMed : 9722579). Involved in regulation of smooth muscle contraction, actin cytoskeleton organization, stress fiber and focal adhesion formation, neurite retraction, cell adhesion and motility via phosphorylation of DAPK3, GFAP, LIMK1, LIMK2, MYL9/MLC2, TPPP, PFN1 and PPP1R12A (PubMed : 10436159, PubMed : 10652353, PubMed : 11018042, PubMed : 11283607, PubMed : 17158456, PubMed : 18573880, PubMed : 19131646, PubMed : 23093407, PubMed : 23355470, PubMed : 8617235, PubMed : 9722579). Phosphorylates FHOD1 and acts synergistically with it to promote SRC-dependent non-apoptotic plasma membrane blebbing (PubMed : 18694941). Phosphorylates JIP3 and regulates the recruitment of JNK to JIP3 upon UVB-induced stress (PubMed : 19036714). Acts as a suppressor of inflammatory cell migration by regulating PTEN phosphorylation and stability (By similarity). Acts as a negative regulator of VEGF-induced angiogenic endothelial cell activation (PubMed : 19181962). Required for centrosome positioning and centrosome-dependent exit from mitosis (By similarity). Plays a role in terminal erythroid differentiation (PubMed : 21072057). Inhibits podocyte motility via regulation of actin cytoskeletal dynamics and phosphorylation of CFL1 (By similarity). Promotes keratinocyte terminal differentiation (PubMed : 19997641). Involved in osteoblast compaction through the fibronectin fibrillogenesis cell-mediated matrix assembly process, essential for osteoblast mineralization (By similarity). May regulate closure of the eyelids and ventral body wall by inducing the assembly of actomyosin bundles (By similarity).
See full target information ROCK1

Additional targets

ROCK2

Publications (24)

Recent publications for all applications. Explore the full list and refine your search

Experimental and therapeutic medicine 22:796 PubMed34093752

2021

MicroRNA-145-5p inhibits hypoxia/reoxygenation-induced apoptosis in H9c2 cardiomyocytes by targeting ROCK1.

Applications

Unspecified application

Species

Unspecified reactive species

Chao Cheng,Dong-Ling Xu,Xiao-Bo Liu,Shao-Jie Bi,Juan Zhang

Cell reports 33:108253 PubMed33053339

2020

PAI-1-Dependent Inactivation of SMAD4-Modulated Junction and Adhesion Complex in Obese Endometrial Cancer.

Applications

Unspecified application

Species

Unspecified reactive species

Li-Ling Lin,Edward R Kost,Chun-Lin Lin,Philip Valente,Chiou-Miin Wang,Mikhail G Kolonin,Alexes C Daquinag,Xi Tan,Nicholas Lucio,Chia-Nung Hung,Chen-Pin Wang,Nameer B Kirma,Tim H-M Huang

Journal of cellular and molecular medicine 24:10693-10704 PubMed32725958

2020

RhoA/ROCK pathway mediates the effect of oestrogen on regulating epithelial-mesenchymal transition and proliferation in endometriosis.

Applications

Unspecified application

Species

Unspecified reactive species

Zhi-Xiong Huang,Xiao-Mei Mao,Rong-Feng Wu,Shao-Min Huang,Xin-Yu Ding,Qiong-Hua Chen,Qing-Xi Chen

American journal of physiology. Gastrointestinal a 318:G781-G792 PubMed32090605

2020

ROCK1 inhibitor stabilizes E-cadherin and improves barrier function in experimental necrotizing enterocolitis.

Applications

Unspecified application

Species

Unspecified reactive species

Christie Buonpane,Carrie Yuan,Douglas Wood,Guillermo Ares,Samuel C Klonoski,Catherine J Hunter

Scientific reports 6:33192 PubMed27619816

2016

Involvement of Histamine and RhoA/ROCK in Penicillin Immediate Hypersensitivity Reactions.

Applications

WB

Species

Mouse

Jiayin Han,Yan Yi,Chunying Li,Yushi Zhang,Lianmei Wang,Yong Zhao,Chen Pan,Aihua Liang

Molecular medicine reports 13:5029-2036 PubMed27108693

2016

MicroRNA-126 inhibits tumor cell invasion and metastasis by downregulating ROCK1 in renal cell carcinoma.

Applications

WB

Species

Human

Gui-Ming Zhang,Lei Luo,Xue-Mei Ding,Da-Hai Dong,Bin Li,Xiao-Cheng Ma,Li-Jiang Sun

The Journal of neuroscience : the official journal of the Society for Neuroscience 36:1316-23 PubMed26818518

2016

Rho Kinase Inhibition as a Therapeutic for Progressive Supranuclear Palsy and Corticobasal Degeneration.

Applications

Unspecified application

Species

Unspecified reactive species

Erik G Gentry,Benjamin W Henderson,Andrew E Arrant,Marla Gearing,Yangbo Feng,Nicole C Riddle,Jeremy H Herskowitz

Molecular brain 8:58 PubMed26438559

2015

Endothelin-1 induces LIMK2-mediated programmed necrotic neuronal death independent of NOS activity.

Applications

IHC-FoFr

Species

Rat

Ah-Reum Ko,Hye-Won Hyun,Su-Ji Min,Ji-Eun Kim,Tae-Cheon Kang

Molecular medicine reports 12:7396-402 PubMed26458302

2015

MicroRNA‑144 inhibits migration and proliferation in rectal cancer by downregulating ROCK‑1.

Applications

Unspecified application

Species

Unspecified reactive species

Shang-Dang Cai,Jian-She Chen,Zuo-Wu Xi,Long-Jiang Zhang,Ming-Liao Niu,Zong-Yue Gao

Oncology letters 10:2359-2365 PubMed26622852

2015

Afzelin exhibits anti-cancer activity against androgen-sensitive LNCaP and androgen-independent PC-3 prostate cancer cells through the inhibition of LIM domain kinase 1.

Applications

WB

Species

Human

Kai-Chang Zhu,Jian-Mei Sun,Jian-Guo Shen,Ji-Zhong Jin,Feng Liu,Xiao-Lin Xu,Lin Chen,Lin-Tao Liu,Jia-Ju Lv
View all publications

Product promise

We are committed to supporting your work with high-quality reagents, and we're here for you every step of the way. In the unlikely event that one of our products does not perform as expected, you're protected by our Product Promise.
For full details, please see our Terms & Conditions

Associated Products

Select an associated product type
Alternative Product
Primary Antibodies

AB97592

Anti-ROCK1 antibody

primary-antibodies

rock1-antibody-ab97592

0

(0 reviews)

Alternative Product
Primary Antibodies

AB245368

Anti-ROCK1 antibody

primary-antibodies

rock1-antibody-ab245368

0

(0 reviews)

Alternative Product
Primary Antibodies

AB245369

Anti-ROCK1 antibody

primary-antibodies

rock1-antibody-ab245369

0

(0 reviews)

Alternative Product
Primary Antibodies

AB134181

Anti-ROCK1 antibody [EPR638Y]

primary-antibodies

rock1-antibody-epr638y-ab134181

4

(4 reviews)

Alternative Product
Primary Antibodies

AB203273

Anti-ROCK1 (phospho T455 + S456) antibody

primary-antibodies

rock1-phospho-t455-s456-antibody-ab203273

4

(1 reviews)

Alternative Product
Primary Antibodies

AB230799

Anti-ROCK1 antibody [EPR638Y] - BSA and Azide free

primary-antibodies

rock1-antibody-epr638y-bsa-and-azide-free-ab230799

0

(0 reviews)

Alternative Version
Primary Antibodies

AB205432

Alexa Fluor® 488 Anti-ROCK2 + ROCK1 antibody [EP786Y]

primary-antibodies

alexa-fluor-488-rock2-rock1-antibody-ep786y-ab205432

0

(0 reviews)

Alternative Version
Primary Antibodies

AB224972

PE Anti-ROCK2 + ROCK1 antibody [EP786Y]

primary-antibodies

pe-rock2-rock1-antibody-ep786y-ab224972

0

(0 reviews)

Please note: All products are 'FOR RESEARCH USE ONLY. NOT FOR USE IN DIAGNOSTIC OR THERAPEUTIC PROCEDURES'.

For licensing inquiries, please contact partnerships@abcam.com