JavaScript is disabled in your browser. Please enable JavaScript to view this website.
AB220049

Anti-ROM1 antibody

Be the first to review this product! Submit a review

|

(2 Publications)

Rabbit Polyclonal ROM1 antibody. Suitable for IHC-P, ICC/IF and reacts with Human samples. Cited in 2 publications. Immunogen corresponding to Recombinant Fragment Protein within Human ROM1 aa 100-250.

View Alternative Names

TSPAN23, ROM1, Rod outer segment membrane protein 1, ROSP1, Tetraspanin-23, Tspan-23

2 Images
Immunocytochemistry/ Immunofluorescence - Anti-ROM1 antibody (AB220049)
  • ICC/IF

Supplier Data

Immunocytochemistry/ Immunofluorescence - Anti-ROM1 antibody (AB220049)

Immunofluorescent analysis of PFA-fixed, Triton X-100 permeabilized A431 cells labeling ROM1 with ab220049 at 4 μg/mL (green).

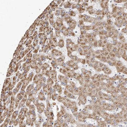
Immunohistochemistry (Formalin/PFA-fixed paraffin-embedded sections) - Anti-ROM1 antibody (AB220049)
  • IHC-P

Supplier Data

Immunohistochemistry (Formalin/PFA-fixed paraffin-embedded sections) - Anti-ROM1 antibody (AB220049)

Immunohistochemical analysis of paraffin-embedded Human liver tissue labeling ROM1 with ab220049 at 1/1000 dilution.

Key facts

Host species

Rabbit

Clonality

Polyclonal

Isotype

IgG

Carrier free

No

Reacts with

Human

Applications

IHC-P, ICC/IF

applications

Immunogen

Recombinant Fragment Protein within Human ROM1 aa 100-250. The exact immunogen used to generate this antibody is proprietary information.

Q03395

Reactivity data

{ "title": "Reactivity Data", "filters": { "stats": ["", "Species", "Dilution Info", "Notes"], "tabs": { "all-applications": {"fullname" : "All Applications", "shortname": "All Applications"}, "IHCP" : {"fullname" : "Immunohistochemistry (Formalin/PFA-fixed paraffin-embedded sections)", "shortname":"IHC-P"}, "ICCIF" : {"fullname" : "Immunocytochemistry/ Immunofluorescence", "shortname":"ICC/IF"} }, "product-promise": { "all": "all", "testedAndGuaranteed": "tested", "guaranteed": "expected", "predicted": "predicted", "notRecommended": "not-recommended" } }, "values": { "Human": { "IHCP-species-checked": "testedAndGuaranteed", "IHCP-species-dilution-info": "1/1000 - 1/2500", "IHCP-species-notes": "<p></p> Perform heat-mediated antigen retrieval with citrate buffer pH 6 before commencing with IHC staining protocol.", "ICCIF-species-checked": "testedAndGuaranteed", "ICCIF-species-dilution-info": "0.25-2 µg/mL", "ICCIF-species-notes": "<p></p>" }, "Mouse": { "IHCP-species-checked": "predicted", "IHCP-species-dilution-info": "", "IHCP-species-notes": "", "ICCIF-species-checked": "predicted", "ICCIF-species-dilution-info": "", "ICCIF-species-notes": "" }, "Rat": { "IHCP-species-checked": "predicted", "IHCP-species-dilution-info": "", "IHCP-species-notes": "", "ICCIF-species-checked": "predicted", "ICCIF-species-dilution-info": "", "ICCIF-species-notes": "" } } }

Properties and storage information

Form
Liquid
Purification technique
Affinity purification Immunogen
Storage buffer
pH: 7.2 Preservative: 0.02% Sodium azide Constituents: PBS, 40% Glycerol (glycerin, glycerine)
Shipped at conditions
Blue Ice
Appropriate short-term storage duration
1-2 weeks
Appropriate short-term storage conditions
+4°C
Appropriate long-term storage conditions
-20°C
Aliquoting information
Upon delivery aliquot
Storage information
Avoid freeze / thaw cycle

Product protocols

For this product, it's our understanding that no specific protocols are required. You can visit:

Target data

Plays a role in rod outer segment (ROS) morphogenesis (By similarity). May play a role with PRPH2 in the maintenance of the structure of ROS curved disks (By similarity). Plays a role in the organization of the ROS and maintenance of ROS disk diameter (By similarity). Involved in the maintenance of the retina outer nuclear layer (By similarity).
See full target information ROM1

Publications (2)

Recent publications for all applications. Explore the full list and refine your search

Molecular therapy : the journal of the American So 28:830-844 PubMed32027843

2020

Repair of Retinal Degeneration following Ex Vivo Minicircle DNA Gene Therapy and Transplantation of Corrected Photoreceptor Progenitors.

Applications

Unspecified application

Species

Unspecified reactive species

Alona O Barnea-Cramer,Mandeep Singh,Dominik Fischer,Samantha De Silva,Michelle E McClements,Alun R Barnard,Robert E MacLaren

Nature communications 8:1640 PubMed29158474

2017

UNC93B1 interacts with the calcium sensor STIM1 for efficient antigen cross-presentation in dendritic cells.

Applications

Unspecified application

Species

Unspecified reactive species

Sophia Maschalidi,Paula Nunes-Hasler,Clarissa R Nascimento,Ignacio Sallent,Valérie Lannoy,Meriem Garfa-Traore,Nicolas Cagnard,Fernando E Sepulveda,Pablo Vargas,Ana-Maria Lennon-Duménil,Peter van Endert,Thierry Capiod,Nicolas Demaurex,Guillaume Darrasse-Jèze,Bénédicte Manoury
View all publications

Product promise

We are committed to supporting your work with high-quality reagents, and we're here for you every step of the way. In the unlikely event that one of our products does not perform as expected, you're protected by our Product Promise.
For full details, please see our Terms & Conditions

Please note: All products are 'FOR RESEARCH USE ONLY. NOT FOR USE IN DIAGNOSTIC OR THERAPEUTIC PROCEDURES'.

For licensing inquiries, please contact partnerships@abcam.com