JavaScript is disabled in your browser. Please enable JavaScript to view this website.
AB170717

Anti-RON antibody [EP1132Y] - BSA and Azide free

Be the first to review this product! Submit a review

|

(1 Publication)

Rabbit Recombinant Monoclonal RON phospho Y1353 antibody. Carrier free. Suitable for IHC-P, IP, ELISA, WB, Flow Cyt (Intra) and reacts with Human, Recombinant fragment, Recombinant full length protein - Human samples. Cited in 1 publication.

View Alternative Names

CD136, PTK8, RON, MST1R, Macrophage-stimulating protein receptor, MSP receptor, CDw136, Protein-tyrosine kinase 8, p185-Ron

4 Images
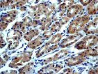
Immunohistochemistry (Formalin/PFA-fixed paraffin-embedded sections) - Anti-RON antibody [EP1132Y] - BSA and Azide free (AB170717)
  • IHC-P

Unknown

Immunohistochemistry (Formalin/PFA-fixed paraffin-embedded sections) - Anti-RON antibody [EP1132Y] - BSA and Azide free (AB170717)

This data was developed using ab52927, the same antibody clone in a different buffer formulation.

Immunohistochemical staining of paraffin-embedded human stomach tissue using ab52927 at a dilution of 1/100-1/250.

Perform heat mediated antigen retrieval with citrate buffer pH 6 before commencing with IHC staining protocol.

Flow Cytometry (Intracellular) - Anti-RON antibody [EP1132Y] - BSA and Azide free (AB170717)
  • Flow Cyt (Intra)

Unknown

Flow Cytometry (Intracellular) - Anti-RON antibody [EP1132Y] - BSA and Azide free (AB170717)

This data was developed using ab52927, the same antibody clone in a different buffer formulation.Overlay histogram showing THP1 cells stained with ab52927 (red line). The cells were fixed with methanol (5 min) and incubated in 1x PBS / 10% normal goat serum / 0.3M glycine to block non-specific protein-protein interactions. The cells were then incubated with the antibody (ab52927, 1/20 dilution) for 30 min at 22°C. The secondary antibody used was DyLight® 488 goat anti-rabbit IgG (H+L) (ab96899) at 1/500 dilution for 30 min at 22°C. Isotype control antibody (black line) was rabbit monoclonal IgG (1μg/1x106 cells) used under the same conditions. Acquisition of >5,000 events was performed. This antibody gave a decreased signal in THP1 cells fixed with 4% paraformaldehyde (10 min) used under the same conditions.

Please note that Abcam do not have any data for use of this antibody in non-fixed cells. We welcome any customer feedback.

ELISA - Anti-RON antibody [EP1132Y] - BSA and Azide free (AB170717)
  • ELISA

Lab

ELISA - Anti-RON antibody [EP1132Y] - BSA and Azide free (AB170717)

This data was developed using ab52927, the same antibody clone in a different buffer formulation.ELISA analysis of Human RON recombinant protein at 1000 ng/mL with ab52927. An Alkaline Phosphatase-conjugated AffiniPure Goat Anti-Rabbit IgG (H+L) at 1/2500 dilution was used as the secondary antibody.

Western blot - Anti-RON antibody [EP1132Y] - BSA and Azide free (AB170717)
  • WB

Unknown

Western blot - Anti-RON antibody [EP1132Y] - BSA and Azide free (AB170717)

This data was developed using ab52927, the same antibody clone in a different buffer formulation.

All lanes:

Western blot - Anti-RON antibody [EP1132Y] (<a href='/en-us/products/primary-antibodies/ron-antibody-ep1132y-ab52927'>ab52927</a>) at 1/10000 dilution

All lanes:

SKBR3 cell lysate at 10 µg

Secondary

All lanes:

HRP-labelled goat anti-rabbit

Predicted band size: 152 kDa

false

Key facts

Host species

Rabbit

Clonality

Monoclonal

Clone number

EP1132Y

Isotype

IgG

Carrier free

Yes

Reacts with

Human

Applications

Flow Cyt (Intra), IP, WB, IHC-P, ELISA

applications

Immunogen

The exact immunogen used to generate this antibody is proprietary information.

Reactivity data

{ "title": "Reactivity Data", "filters": { "stats": ["", "Species", "Dilution Info", "Notes"], "tabs": { "all-applications": {"fullname" : "All Applications", "shortname": "All Applications"}, "IHCP" : {"fullname" : "Immunohistochemistry (Formalin/PFA-fixed paraffin-embedded sections)", "shortname":"IHC-P"}, "IP" : {"fullname" : "Immunoprecipitation", "shortname":"IP"}, "ELISA" : {"fullname" : "ELISA", "shortname":"ELISA"}, "WB" : {"fullname" : "Western blot", "shortname":"WB"}, "FlowCytIntra" : {"fullname" : "Flow Cytometry (Intracellular)", "shortname":"Flow Cyt (Intra)"} }, "product-promise": { "all": "all", "testedAndGuaranteed": "tested", "guaranteed": "expected", "predicted": "predicted", "notRecommended": "not-recommended" } }, "values": { "Human": { "IHCP-species-checked": "testedAndGuaranteed", "IHCP-species-dilution-info": "", "IHCP-species-notes": "<p></p> Perform heat-mediated antigen retrieval with citrate buffer pH 6 before commencing with IHC staining protocol.", "IP-species-checked": "guaranteed", "IP-species-dilution-info": "", "IP-species-notes": "<p></p>", "ELISA-species-checked": "guaranteed", "ELISA-species-dilution-info": "", "ELISA-species-notes": "", "WB-species-checked": "testedAndGuaranteed", "WB-species-dilution-info": "", "WB-species-notes": "<p>1/10000. Detects a band of approximately 35/150/180 kDa (predicted molecular weight: 185 kDa). See Notes section of Datasheet.</p>", "FlowCytIntra-species-checked": "testedAndGuaranteed", "FlowCytIntra-species-dilution-info": "", "FlowCytIntra-species-notes": "<p>Methanol fixed cells.</p>" }, "Recombinant fragment": { "IHCP-species-checked": "notRecommended", "IHCP-species-dilution-info": "", "IHCP-species-notes": "", "IP-species-checked": "guaranteed", "IP-species-dilution-info": "", "IP-species-notes": "<p></p>", "ELISA-species-checked": "notRecommended", "ELISA-species-dilution-info": "", "ELISA-species-notes": "", "WB-species-checked": "notRecommended", "WB-species-dilution-info": "", "WB-species-notes": "", "FlowCytIntra-species-checked": "notRecommended", "FlowCytIntra-species-dilution-info": "", "FlowCytIntra-species-notes": "" }, "Recombinant full length protein - Human": { "IHCP-species-checked": "notRecommended", "IHCP-species-dilution-info": "", "IHCP-species-notes": "", "IP-species-checked": "notRecommended", "IP-species-dilution-info": "", "IP-species-notes": "", "ELISA-species-checked": "testedAndGuaranteed", "ELISA-species-dilution-info": "", "ELISA-species-notes": "<p></p>", "WB-species-checked": "notRecommended", "WB-species-dilution-info": "", "WB-species-notes": "", "FlowCytIntra-species-checked": "notRecommended", "FlowCytIntra-species-dilution-info": "", "FlowCytIntra-species-notes": "" } } }

Product details

ab170717 is the carrier-free version of ab52927.

The major RON transcript is translated into a glycosylated single chain precursor, cleaved into a 185 kDa heterodimer (p185Ron) of 35 (alpha) and 150 kDa (beta) disulfide-linked chains, before exposure at the cell surface.

Species reactivity
Mouse, Rat: We have preliminary internal testing data to indicate this antibody may not react with these species.
Please contact us for more information.

Patented technology
Our RabMAb® technology is a patented hybridoma-based technology for making rabbit monoclonal antibodies. For details on our patents, please refer to RabMAb® patents.

What are the advantages of a recombinant monoclonal antibody?
This product is a recombinant monoclonal antibody, which offers several advantages including:

  • - High batch-to-batch consistency and reproducibility
  • - Improved sensitivity and specificity
  • - Long-term security of supply
  • - Animal-free batch production

For more information, read more on recombinant antibodies.

Conjugation ready
Our carrier-free antibodies are typically supplied in a PBS-only formulation, purified and free of BSA, sodium azide and glycerol. This conjugation-ready format is designed for use with fluorochromes, metal isotopes, oligonucleotides, and enzymes, which makes them ideal for antibody labelling, functional and cell-based assays, flow-based assays (e.g. mass cytometry) and Multiplex Imaging applications.

Use our conjugation kits for antibody conjugates that are ready-to-use in as little as 20 minutes with 1 minute hands-on-time and 100% antibody recovery: available for fluorescent dyes, HRP, biotin and gold.

Compatibility
This product is compatible with the Maxpar® Antibody Labeling Kit from Fluidigm, without the need for antibody preparation. Maxpar® is a trademark of Fluidigm Canada Inc.

Properties and storage information

Form
Liquid
Purification technique
Affinity purification Protein A
Storage buffer
Constituents: PBS
Shipped at conditions
Blue Ice
Appropriate short-term storage conditions
+4°C
Appropriate long-term storage conditions
+4°C
Storage information
Do Not Freeze

Product protocols

For this product, it's our understanding that no specific protocols are required. You can visit:

Target data

Receptor tyrosine kinase that transduces signals from the extracellular matrix into the cytoplasm by binding to MST1 ligand. Regulates many physiological processes including cell survival, migration and differentiation. Ligand binding at the cell surface induces autophosphorylation of RON on its intracellular domain that provides docking sites for downstream signaling molecules. Following activation by ligand, interacts with the PI3-kinase subunit PIK3R1, PLCG1 or the adapter GAB1. Recruitment of these downstream effectors by RON leads to the activation of several signaling cascades including the RAS-ERK, PI3 kinase-AKT, or PLCgamma-PKC. RON signaling activates the wound healing response by promoting epithelial cell migration, proliferation as well as survival at the wound site. Also plays a role in the innate immune response by regulating the migration and phagocytic activity of macrophages. Alternatively, RON can also promote signals such as cell migration and proliferation in response to growth factors other than MST1 ligand.
See full target information MST1R phospho Y1353

Publications (1)

Recent publications for all applications. Explore the full list and refine your search

Science advances 8:eabj4716 PubMed35302860

2022

Uncontrolled mitochondrial calcium uptake underlies the pathogenesis of neurodegeneration in MICU1-deficient mice and patients.

Applications

Unspecified application

Species

Unspecified reactive species

Raghavendra Singh,Adam Bartok,Melanie Paillard,Ashley Tyburski,Melanie Elliott,György Hajnóczky
View all publications

Product promise

We are committed to supporting your work with high-quality reagents, and we're here for you every step of the way. In the unlikely event that one of our products does not perform as expected, you're protected by our Product Promise.
For full details, please see our Terms & Conditions

Please note: All products are 'FOR RESEARCH USE ONLY. NOT FOR USE IN DIAGNOSTIC OR THERAPEUTIC PROCEDURES'.

For licensing inquiries, please contact partnerships@abcam.com