JavaScript is disabled in your browser. Please enable JavaScript to view this website.
AB227980

Anti-RON antibody [EPR20953]

Be the first to review this product! Submit a review

|

(1 Publication)

Rabbit Recombinant Monoclonal RON phospho Y1353 antibody. Suitable for IHC-P, WB and reacts with Human samples. Cited in 1 publication.

View Alternative Names

CD136, PTK8, RON, MST1R, Macrophage-stimulating protein receptor, MSP receptor, CDw136, Protein-tyrosine kinase 8, p185-Ron

4 Images
Immunohistochemistry (Formalin/PFA-fixed paraffin-embedded sections) - Anti-RON antibody [EPR20953] (AB227980)
  • IHC-P

Supplier Data

Immunohistochemistry (Formalin/PFA-fixed paraffin-embedded sections) - Anti-RON antibody [EPR20953] (AB227980)

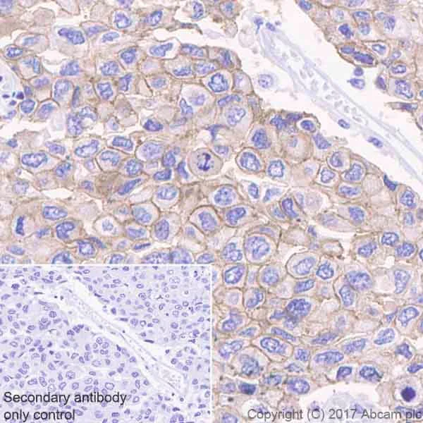
Immunohistochemical analysis of paraffin-embedded human bladder cancer tissue labeling RON with ab227980 at 1/500 dilution, followed by Goat Anti-Rabbit IgG H&L (HRP), ready to use. Membranous staining on human bladder cancer cells is observed (PMID : 15870710). Counter stained with Hematoxylin.

Secondary antibody only control : Used PBS instead of primary antibody, secondary antibody is Goat Anti-Rabbit IgG H&L (HRP), ready to use.

Perform heat mediated antigen retrieval before commencing with IHC staining protocol.

Immunohistochemistry (Formalin/PFA-fixed paraffin-embedded sections) - Anti-RON antibody [EPR20953] (AB227980)
  • IHC-P

Supplier Data

Immunohistochemistry (Formalin/PFA-fixed paraffin-embedded sections) - Anti-RON antibody [EPR20953] (AB227980)

Immunohistochemical analysis of paraffin-embedded human stomach tissue labeling RON with ab227980 at 1/500 dilution, followed by Goat Anti-Rabbit IgG H&L (HRP), ready to use. Cytoplasmic and membranous staining in human gastric epithelium is observed (PMID : 9890710). Counter stained with Hematoxylin.

Secondary antibody only control : Used PBS instead of primary antibody, secondary antibody is Goat Anti-Rabbit IgG H&L (HRP), ready to use.

Perform heat mediated antigen retrieval before commencing with IHC staining protocol.

Immunohistochemistry (Formalin/PFA-fixed paraffin-embedded sections) - Anti-RON antibody [EPR20953] (AB227980)
  • IHC-P

Supplier Data

Immunohistochemistry (Formalin/PFA-fixed paraffin-embedded sections) - Anti-RON antibody [EPR20953] (AB227980)

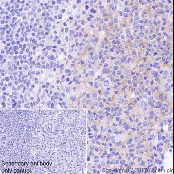
Immunohistochemical analysis of paraffin-embedded human tonsil tissue labeling RON with ab227980 at 1/500 dilution, followed by Goat Anti-Rabbit IgG H&L (HRP), ready to use. Cytoplasmic and membranous staining in germinal centers of human tonsil is observed (PMID : 9890710). Counter stained with Hematoxylin.

Secondary antibody only control : Used PBS instead of primary antibody, secondary antibody is Goat Anti-Rabbit IgG H&L (HRP), ready to use.

Perform heat mediated antigen retrieval before commencing with IHC staining protocol.

Western blot - Anti-RON antibody [EPR20953] (AB227980)
  • WB

Supplier Data

Western blot - Anti-RON antibody [EPR20953] (AB227980)

Blocking/Dilution : 5% NFDm/TBST

Exposure : Lanes 1-4 : 3 minutes; Lane t : 2 minutes.

The blot was developed on a BIO-RAD® ChemiDoc™ MP instrument.

The 185kDa RON precursor protein is cleaved into a 40kDa α and 150kDa β chain, which are linked by disulphide bonds in the 180kDa mature form (PMID : 23792360, PMID : 9890710). ab227980 is specific for the α chain.

All lanes:

Western blot - Anti-RON antibody [EPR20953] (ab227980) at 1/1000 dilution

Lane 1:

BxPC-3 (human pancreas adenocarcinoma cell line) whole cell lysate at 20 µg

Lane 2:

HCT 116 (human colorectal carcinoma cell line) whole cell lysate at 20 µg

Lane 3:

SW480 (human colorectal adenocarcinoma cell line) whole cell lysate at 10 µg

Lane 4:

SK-BR-3 (human mammary gland adenocarcinoma cell line) whole cell lysate at 10 µg

Lane 5:

Human stomach tissue at 10 µg

Secondary

Lanes 1 - 2:

Western blot - Goat Anti-Rabbit IgG H&L (HRP) (<a href='/en-us/products/secondary-antibodies/goat-rabbit-igg-h-l-hrp-ab97051'>ab97051</a>) at 1/100000 dilution

Lanes 3 - 5:

Western blot - Goat Anti-Rabbit IgG H&L (HRP) (<a href='/en-us/products/secondary-antibodies/goat-rabbit-igg-h-l-hrp-ab97051'>ab97051</a>) at 1/50000 dilution

Predicted band size: 152 kDa

Observed band size: 175 kDa,35 kDa

true

  • Carrier free

    Anti-RON antibody [EPR20953] - BSA and Azide free

Key facts

Host species

Rabbit

Clonality

Monoclonal

Clone number

EPR20953

Isotype

IgG

Carrier free

No

Reacts with

Human

Applications

WB, IHC-P

applications

Immunogen

The exact immunogen used to generate this antibody is proprietary information.

Specificity

ab227980 detects a distinct immunogen compared to ab227979.

Reactivity data

{ "title": "Reactivity Data", "filters": { "stats": ["", "Species", "Dilution Info", "Notes"], "tabs": { "all-applications": {"fullname" : "All Applications", "shortname": "All Applications"}, "IHCP" : {"fullname" : "Immunohistochemistry (Formalin/PFA-fixed paraffin-embedded sections)", "shortname":"IHC-P"}, "WB" : {"fullname" : "Western blot", "shortname":"WB"} }, "product-promise": { "all": "all", "testedAndGuaranteed": "tested", "guaranteed": "expected", "predicted": "predicted", "notRecommended": "not-recommended" } }, "values": { "Human": { "IHCP-species-checked": "testedAndGuaranteed", "IHCP-species-dilution-info": "1/500", "IHCP-species-notes": "<p>Perform heat mediated antigen retrieval using Universal HIER antigen retrieval reagent (10X) (<a href='/en-us/products/ihc-kits/universal-hier-antigen-retrieval-reagent-10x-ab208572'>ab208572</a>).</p> Perform heat-mediated antigen retrieval before commencing with IHC staining protocol.", "WB-species-checked": "testedAndGuaranteed", "WB-species-dilution-info": "1/1000", "WB-species-notes": "<p></p>" } } }

Product details

Patented technology
Our RabMAb® technology is a patented hybridoma-based technology for making rabbit monoclonal antibodies. For details on our patents, please refer to RabMAb® patents.

What are the advantages of a recombinant monoclonal antibody?
This product is a recombinant monoclonal antibody, which offers several advantages including:

  • - High batch-to-batch consistency and reproducibility
  • - Improved sensitivity and specificity
  • - Long-term security of supply
  • - Animal-free batch production

For more information, read more on recombinant antibodies.

Properties and storage information

Form
Liquid
Purification technique
Affinity purification Protein A
Storage buffer
pH: 7.2 - 7.4 Preservative: 0.01% Sodium azide Constituents: PBS, 40% Glycerol (glycerin, glycerine), 0.05% BSA
Shipped at conditions
Blue Ice
Appropriate short-term storage duration
1-2 weeks
Appropriate short-term storage conditions
+4°C
Appropriate long-term storage conditions
-20°C
Aliquoting information
Upon delivery aliquot
Storage information
Avoid freeze / thaw cycle

Product protocols

For this product, it's our understanding that no specific protocols are required. You can visit:

Target data

Receptor tyrosine kinase that transduces signals from the extracellular matrix into the cytoplasm by binding to MST1 ligand. Regulates many physiological processes including cell survival, migration and differentiation. Ligand binding at the cell surface induces autophosphorylation of RON on its intracellular domain that provides docking sites for downstream signaling molecules. Following activation by ligand, interacts with the PI3-kinase subunit PIK3R1, PLCG1 or the adapter GAB1. Recruitment of these downstream effectors by RON leads to the activation of several signaling cascades including the RAS-ERK, PI3 kinase-AKT, or PLCgamma-PKC. RON signaling activates the wound healing response by promoting epithelial cell migration, proliferation as well as survival at the wound site. Also plays a role in the innate immune response by regulating the migration and phagocytic activity of macrophages. Alternatively, RON can also promote signals such as cell migration and proliferation in response to growth factors other than MST1 ligand.
See full target information MST1R phospho Y1353

Publications (1)

Recent publications for all applications. Explore the full list and refine your search

Biochemistry and biophysics reports 42:102048 PubMed40486495

2025

β-suppressor protein 1 (ARRB1)-△exon13 modulates the progression of glioblastoma via combination with glycolysis-related proteins.

Applications

Unspecified application

Species

Unspecified reactive species

Zi-Long Wei,Shuo Han,Dong-Hua Han,Xue-Tao Li,Yu-Lun Huang,Zhi-Min Wang
View all publications

Product promise

We are committed to supporting your work with high-quality reagents, and we're here for you every step of the way. In the unlikely event that one of our products does not perform as expected, you're protected by our Product Promise.
For full details, please see our Terms & Conditions

Please note: All products are 'FOR RESEARCH USE ONLY. NOT FOR USE IN DIAGNOSTIC OR THERAPEUTIC PROCEDURES'.

For licensing inquiries, please contact partnerships@abcam.com