JavaScript is disabled in your browser. Please enable JavaScript to view this website.
AB256799

Anti-ROR alpha/RORA antibody [EPR23719-18]

  • BOND RX™ Validated
  • 20ul selling size
  • Recombinant
  • Advanced Validation
  • RabMAb
  • What is this?

Be the first to review this product! Submit a review

|

(12 Publications)

Rabbit Recombinant Monoclonal ROR alpha/RORA antibody. Suitable for mIHC, IP, WB, IHC-P and reacts with Mouse, Rat samples. Cited in 12 publications.

View Alternative Names

NR1F1, RZRA, RORA, Nuclear receptor ROR-alpha, Nuclear receptor RZR-alpha, Nuclear receptor subfamily 1 group F member 1, RAR-related orphan receptor A, Retinoid-related orphan receptor-alpha

7 Images
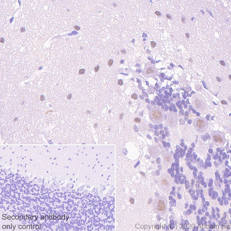
Immunohistochemistry (Formalin/PFA-fixed paraffin-embedded sections) - Anti-ROR alpha/RORA antibody [EPR23719-18] (AB256799)
  • IHC-P

Supplier Data

Immunohistochemistry (Formalin/PFA-fixed paraffin-embedded sections) - Anti-ROR alpha/RORA antibody [EPR23719-18] (AB256799)

Immunohistochemical analysis of paraffin-embedded rat cerebellum tissue labeling ROR alpha/RORA with ab256799 at 1/800 (0.601 μg/ml) dilution followed by a ready to use Rabbit specific IHC polymer detection kit HRP/DAB (ab209101). Nuclear staining on rat cerebellum. The section was incubated with ab256799 for 30 mins at room temperature. The immunostaining was performed on a Leica Biosystems BOND® RX instrument. Counterstained with Hematoxylin.

Secondary antibody only control : Secondary antibody is a ready to use Rabbit specific IHC polymer detection kit HRP/DAB (ab209101).

Heat mediated antigen retrieval with Tris-EDTA buffer (pH 9.0, epitope retrieval solution2) for 20 mins.

Multiplex immunohistochemistry - Anti-ROR alpha/RORA antibody [EPR23719-18] (AB256799)
  • mIHC

Lab

Multiplex immunohistochemistry - Anti-ROR alpha/RORA antibody [EPR23719-18] (AB256799)

Immunohistochemistry (Formalin/PFA-fixed paraffin-embedded sections) analysis of Mouse cerebellum tissue labelling SOX1 with ab242125 at 1 : 2000 (0.29 ug/ml) dilution, RoR alpha/RORA with ab256799 at 1 : 800 (0.63 ug/ml) dilution and SOX10 with ab200078 at 1 : 5000 (0.2 ug/ml) followed by a ready to use secondary antibody Opal Polymer HRP Ms + Rb.

Panel A : merged staining of anti-SOX1 (magenta; Opal690), anti-RORA (green; Opal520) and anti-SOX10 (gray; Opal570) on mouse cerebellum.
Panel B : anti-SOX1 staining Bergmann glia in mouse cerebellum.
Panel C : anti-RORA staining Pukinje cell and molecular layers in mouse cerebellum.
Panel D : anti-SOX10 staining glial cells in mouse cerebellum.
Nuclear DNA was labeled with DAPI (shown in blue).

The section was incubated in three rounds of staining : in the order of ab242125, ab256799 and ab200078 for 30 mins at room temperature. Each round was followed by a separate fluorescent tyramide signal amplification system.

The immunostaining was performed on a Leica Biosystems BOND® RX instrument with an Opal 4-color kit. Image acquisition was performed with Leica SP8 confocal microscope.

Heat mediated antigen retrieval with Tris-EDTA buffer (pH 9.0, epitope retrieval solution2) for 20 mins

Immunohistochemistry (Formalin/PFA-fixed paraffin-embedded sections) - Anti-ROR alpha/RORA antibody [EPR23719-18] (AB256799)
  • IHC-P

Supplier Data

Immunohistochemistry (Formalin/PFA-fixed paraffin-embedded sections) - Anti-ROR alpha/RORA antibody [EPR23719-18] (AB256799)

Immunohistochemical analysis of paraffin-embedded mouse cerebellum tissue labeling ROR alpha/RORA with ab256799 at 1/800 (0.601 μg/ml) dilution followed by ready to use Rabbit specific IHC polymer detection kit HRP/DAB (ab209101). Nuclear staining on mouse cerebellum (PMID : 14966198). The section was incubated with ab256799 for 30 mins at room temperature. The immunostaining was performed on a Leica Biosystems BOND® RX instrument. Counterstained with Hematoxylin.

Secondary antibody only control : Secondary antibody is ready to use Rabbit specific IHC polymer detection kit HRP/DAB (ab209101).

Heat mediated antigen retrieval with Tris-EDTA buffer (pH 9.0, epitope retrieval solution2) for 20 mins.

Immunoprecipitation - Anti-ROR alpha/RORA antibody [EPR23719-18] (AB256799)
  • IP

Supplier Data

Immunoprecipitation - Anti-ROR alpha/RORA antibody [EPR23719-18] (AB256799)

ROR alpha/RORA was immunoprecipitated from 0.35 mg mouse cerebellum tissue lysate with ab256799 at 1/30 dilution (2μg in 0.35mg lysates). Western blot was performed on the immunoprecipitate using ab256799 at 1/1000 dilution. VeriBlot for IP Detection Reagent (HRP)(ab131366) was used at 1/5000 dilution.

Lane 1 : Mouse cerebellum tissue lysate 10μg

Lane 2 : ab256799 IP in mouse cerebellum tissue lysate

Lane 3 : Rabbit monoclonal IgG (ab172730) instead of ab256799 in mouse cerebellum tissue lysate

Blocking and dilution buffer and concentration : 5% NFDM/TBST.

Exposure time : 3 minutes.

All lanes:

Immunoprecipitation - Anti-ROR alpha/RORA antibody [EPR23719-18] (ab256799)

Predicted band size: 63 kDa

Observed band size: 60 kDa,65 kDa

false

Immunoprecipitation - Anti-ROR alpha/RORA antibody [EPR23719-18] (AB256799)
  • IP

Supplier Data

Immunoprecipitation - Anti-ROR alpha/RORA antibody [EPR23719-18] (AB256799)

ROR alpha/RORA was immunoprecipitated from 0.35 mg rat cerebellum tissue lysate with ab256799 at 1/30 dilution (2μg in 0.35mg lysates). Western blot was performed on the immunoprecipitate using ab256799 at 1/1000 dilution. VeriBlot for IP Detection Reagent (HRP)(ab131366) was used at 1/5000 dilution.

Lane 1 : Rat cerebellum tissue lysate 10μg

Lane 2 : ab256799 IP in rat cerebellum tissue lysate

Lane 3 : Rabbit monoclonal IgG (ab172730) instead of ab256799 in rat cerebellum tissue lysate

Blocking and dilution buffer and concentration : 5% NFDM/TBST.

Exposure time : 3 minutes.

All lanes:

Immunoprecipitation - Anti-ROR alpha/RORA antibody [EPR23719-18] (ab256799)

Predicted band size: 63 kDa

Observed band size: 60 kDa,65 kDa

false

Western blot - Anti-ROR alpha/RORA antibody [EPR23719-18] (AB256799)
  • WB

Lab

Western blot - Anti-ROR alpha/RORA antibody [EPR23719-18] (AB256799)

Blocking and diluting buffer and concentration : 5% NFDM/TBST.

Low expression : mouse spleen (PMID : 9226375).

The molecular weight observed is consistent with what has been described in the literature (PMID : 19955433, PMID : 12023888)

Exposure time : 3 minutes

All lanes:

Western blot - Anti-ROR alpha/RORA antibody [EPR23719-18] (ab256799) at 1/1000 dilution

Lane 1:

Mouse cerebellum tissue lysate at 20 µg

Lane 2:

Mouse spleen tissue lysate at 20 µg

Secondary

All lanes:

Goat Anti-Rabbit IgG, (H+L), Peroxidase conjugated (<a href='/en-us/products/secondary-antibodies/goat-rabbit-igg-h-l-hrp-ab97051'>ab97051</a>) at 1/20000 dilution

Predicted band size: 63 kDa

Observed band size: 60 kDa,65 kDa

false

Western blot - Anti-ROR alpha/RORA antibody [EPR23719-18] (AB256799)
  • WB

Lab

Western blot - Anti-ROR alpha/RORA antibody [EPR23719-18] (AB256799)

Blocking and diluting buffer and concentration : 5% NFDM/TBST

Exposure time : 3 minutes

All lanes:

Western blot - Anti-ROR alpha/RORA antibody [EPR23719-18] (ab256799) at 1/1000 dilution

All lanes:

Rat cerebellum tissue lysate at 20 µg

Secondary

All lanes:

Goat Anti-Rabbit IgG, (H+L), Peroxidase conjugated (<a href='/en-us/products/secondary-antibodies/goat-rabbit-igg-h-l-hrp-ab97051'>ab97051</a>) at 1/20000 dilution

Predicted band size: 63 kDa

Observed band size: 60 kDa,65 kDa

false

  • Carrier free

    Anti-ROR alpha/RORA antibody [EPR23719-18] - BSA and Azide free

Key facts

Host species

Rabbit

Clonality

Monoclonal

Clone number

EPR23719-18

Isotype

IgG

Carrier free

No

Reacts with

Mouse, Rat

Applications

IHC-P, WB, mIHC, IP

applications

Immunogen

The exact immunogen used to generate this antibody is proprietary information.

Reactivity data

{ "title": "Reactivity Data", "filters": { "stats": ["", "Species", "Dilution Info", "Notes"], "tabs": { "all-applications": {"fullname" : "All Applications", "shortname": "All Applications"}, "mIHC" : {"fullname" : "Multiplex immunohistochemistry", "shortname":"mIHC"}, "IP" : {"fullname" : "Immunoprecipitation", "shortname":"IP"}, "WB" : {"fullname" : "Western blot", "shortname":"WB"}, "IHCFr" : {"fullname" : "Immunohistochemistry (Frozen sections)", "shortname":"IHC-Fr"}, "IHCP" : {"fullname" : "Immunohistochemistry (Formalin/PFA-fixed paraffin-embedded sections)", "shortname":"IHC-P"}, "ICCIF" : {"fullname" : "Immunocytochemistry/ Immunofluorescence", "shortname":"ICC/IF"} }, "product-promise": { "all": "all", "testedAndGuaranteed": "tested", "guaranteed": "expected", "predicted": "predicted", "notRecommended": "not-recommended" } }, "values": { "Human": { "mIHC-species-checked": "notRecommended", "mIHC-species-dilution-info": "", "mIHC-species-notes": "", "IP-species-checked": "notRecommended", "IP-species-dilution-info": "1/30", "IP-species-notes": "<p></p>", "WB-species-checked": "notRecommended", "WB-species-dilution-info": "1/1000", "WB-species-notes": "<p></p>", "IHCFr-species-checked": "notRecommended", "IHCFr-species-dilution-info": "", "IHCFr-species-notes": "", "IHCP-species-checked": "notRecommended", "IHCP-species-dilution-info": "1/800", "IHCP-species-notes": "<p></p>", "ICCIF-species-checked": "notRecommended", "ICCIF-species-dilution-info": "", "ICCIF-species-notes": "<p></p>" }, "Mouse": { "mIHC-species-checked": "testedAndGuaranteed", "mIHC-species-dilution-info": "", "mIHC-species-notes": "<p></p>", "IP-species-checked": "testedAndGuaranteed", "IP-species-dilution-info": "1/30", "IP-species-notes": "<p></p>", "WB-species-checked": "testedAndGuaranteed", "WB-species-dilution-info": "1/1000", "WB-species-notes": "<p></p>", "IHCFr-species-checked": "notRecommended", "IHCFr-species-dilution-info": "", "IHCFr-species-notes": "<p></p>", "IHCP-species-checked": "testedAndGuaranteed", "IHCP-species-dilution-info": "1/800", "IHCP-species-notes": "<p></p>", "ICCIF-species-checked": "notRecommended", "ICCIF-species-dilution-info": "", "ICCIF-species-notes": "<p></p>" }, "Rat": { "mIHC-species-checked": "guaranteed", "mIHC-species-dilution-info": "", "mIHC-species-notes": "", "IP-species-checked": "testedAndGuaranteed", "IP-species-dilution-info": "1/30", "IP-species-notes": "<p></p>", "WB-species-checked": "testedAndGuaranteed", "WB-species-dilution-info": "1/1000", "WB-species-notes": "<p></p>", "IHCFr-species-checked": "notRecommended", "IHCFr-species-dilution-info": "", "IHCFr-species-notes": "<p></p>", "IHCP-species-checked": "testedAndGuaranteed", "IHCP-species-dilution-info": "1/800", "IHCP-species-notes": "<p></p>", "ICCIF-species-checked": "notRecommended", "ICCIF-species-dilution-info": "", "ICCIF-species-notes": "" } } }

Product details

This product is produced using clone 18 of EPR23719.

Patented technology
Our RabMAb® technology is a patented hybridoma-based technology for making rabbit monoclonal antibodies. For details on our patents, please refer to RabMAb® patents.

What are the advantages of a recombinant monoclonal antibody?
This product is a recombinant monoclonal antibody, which offers several advantages including:

  • - High batch-to-batch consistency and reproducibility
  • - Improved sensitivity and specificity
  • - Long-term security of supply
  • - Animal-free batch production

For more information, read more on recombinant antibodies.

Properties and storage information

Form
Liquid
Purification technique
Affinity purification Protein A
Storage buffer
Preservative: 0.01% Sodium azide Constituents: PBS, 40% Glycerol (glycerin, glycerine), 0.05% BSA
Shipped at conditions
Blue Ice
Appropriate short-term storage duration
1-2 weeks
Appropriate short-term storage conditions
+4°C
Appropriate long-term storage conditions
-20°C
Aliquoting information
Upon delivery aliquot
Storage information
Avoid freeze / thaw cycle

Product protocols

For this product, it's our understanding that no specific protocols are required. You can visit:

Target data

Nuclear receptor that binds DNA as a monomer to ROR response elements (RORE) containing a single core motif half-site 5'-AGGTCA-3' preceded by a short A-T-rich sequence. Key regulator of embryonic development, cellular differentiation, immunity, circadian rhythm as well as lipid, steroid, xenobiotics and glucose metabolism. Considered to have intrinsic transcriptional activity, have some natural ligands like oxysterols that act as agonists (25-hydroxycholesterol) or inverse agonists (7-oxygenated sterols), enhancing or repressing the transcriptional activity, respectively. Recruits distinct combinations of cofactors to target genes regulatory regions to modulate their transcriptional expression, depending on the tissue, time and promoter contexts. Regulates genes involved in photoreceptor development including OPN1SW, OPN1SM and ARR3 and skeletal muscle development with MYOD1. Required for proper cerebellum development (PubMed : 29656859). Regulates SHH gene expression, among others, to induce granule cells proliferation as well as expression of genes involved in calcium-mediated signal transduction. Regulates the circadian expression of several clock genes, including CLOCK, BMAL1, NPAS2 and CRY1. Competes with NR1D1 for binding to their shared DNA response element on some clock genes such as BMAL1, CRY1 and NR1D1 itself, resulting in NR1D1-mediated repression or RORA-mediated activation of clock genes expression, leading to the circadian pattern of clock genes expression. Therefore influences the period length and stability of the clock. Regulates genes involved in lipid metabolism such as apolipoproteins APOA1, APOA5, APOC3 and PPARG. In liver, has specific and redundant functions with RORC as positive or negative modulator of expression of genes encoding phase I and phase II proteins involved in the metabolism of lipids, steroids and xenobiotics, such as CYP7B1 and SULT2A1. Induces a rhythmic expression of some of these genes. In addition, interplays functionally with NR1H2 and NR1H3 for the regulation of genes involved in cholesterol metabolism. Also involved in the regulation of hepatic glucose metabolism through the modulation of G6PC1 and PCK1. In adipose tissue, plays a role as negative regulator of adipocyte differentiation, probably acting through dual mechanisms. May suppress CEBPB-dependent adipogenesis through direct interaction and PPARG-dependent adipogenesis through competition for DNA-binding. Downstream of IL6 and TGFB and synergistically with RORC isoform 2, is implicated in the lineage specification of uncommitted CD4(+) T-helper (T(H)) cells into T(H)17 cells, antagonizing the T(H)1 program. Probably regulates IL17 and IL17F expression on T(H) by binding to the essential enhancer conserved non-coding sequence 2 (CNS2) in the IL17-IL17F locus. Involved in hypoxia signaling by interacting with and activating the transcriptional activity of HIF1A. May inhibit cell growth in response to cellular stress. May exert an anti-inflammatory role by inducing CHUK expression and inhibiting NF-kappa-B signaling.
See full target information RORA

Publications (12)

Recent publications for all applications. Explore the full list and refine your search

Frontiers in immunology 16:1592737 PubMed40799648

2025

RORα-activated mitophagy attenuating hypoxic-ischemic encephalopathy via suppression of microglial cGAS-STING axis.

Applications

Unspecified application

Species

Unspecified reactive species

Lei Song,Haiyan Shen,Fei Hong,Weiyan Zhang,Hongyi Lu

Molecular cancer 24:40 PubMed39901247

2025

Cancer cells avoid ferroptosis induced by immune cells via fatty acid binding proteins.

Applications

Unspecified application

Species

Unspecified reactive species

Maria Angelica Freitas-Cortez,Fatemeh Masrorpour,Hong Jiang,Iqbal Mahmud,Yue Lu,Ailing Huang,Lisa K Duong,Qi Wang,Tiffany A Voss,Claudia S Kettlun Leyton,Bo Wei,Wai-Kin Chan,Kevin Lin,Jie Zhang,Efrosini Tsouko,Shonik Ganjoo,Hampartsoum B Barsoumian,Thomas S Riad,Yun Hu,Carola Leuschner,Nahum Puebla-Osorio,Jing Wang,Jian Hu,Michael A Davies,Vinay K Puduvalli,Cyrielle Billon,Thomas P Burris,Philip L Lorenzi,Boyi Gan,James W Welsh

Frontiers in pharmacology 15:1427985 PubMed39411067

2024

Xiaoyin-anshen formula alleviates psoriasis complicated by sleep disturbances by regulating melatonin, antioxidant enzymes, and pro-inflammatory cytokines in mice.

Applications

Unspecified application

Species

Unspecified reactive species

Zebing Zhu,Qiang Yin,Xingwu Duan

Experimental and therapeutic medicine 28:357 PubMed39071901

2024

GATA2‑miR‑374a axis promotes vascular smooth muscle cells proliferation, migration via targeting circTADA2A/RORA axis.

Applications

Unspecified application

Species

Unspecified reactive species

Wenxian Tu,Meina Feng,Qin Zhou,Yunfeng Wang,Mingye Wan,Danqun Gong,Jin Li,Yuanmin Du

International journal of biological sciences 20:2454-2475 PubMed38725854

2024

Paris saponin VII reverses resistance to PARP inhibitors by regulating ovarian cancer tumor angiogenesis and glycolysis through the RORα/ECM1/VEGFR2 signaling axis.

Applications

Unspecified application

Species

Unspecified reactive species

Mengfei Wang,Chenyue Yuan,Zong Wu,Meng Xu,Ziqi Chen,Jialiang Yao,Zujun Que,Jianhui Tian,Elaine Lai-Han Leung,Ziliang Wang

Cellular and molecular biology (Noisy-le-Grand, France) 69:104-110 PubMed38063109

2023

Exosomes-derived miR-548am-5p promotes colorectal cancer progression.

Applications

Unspecified application

Species

Unspecified reactive species

Fangfang Li,Minglei Zhang,Xiaodong Yin,Wei Zhang,Haiyang Li,Chao Gao

Nutrients 15: PubMed37764703

2023

The Circadian Nobiletin-ROR Axis Suppresses Adipogenic Differentiation and IκBα/NF-κB Signaling in Adipocytes.

Applications

Unspecified application

Species

Unspecified reactive species

Eunju Kim,Kazuaki Mawatari,Seung-Hee Yoo,Zheng Chen

Brain and behavior 13:e3030 PubMed37143406

2023

Exercise preconditioning attenuates cerebral ischemia-induced neuronal apoptosis, Th17/Treg imbalance, and inflammation in rats by inhibiting the JAK2/STAT3 pathway.

Applications

Unspecified application

Species

Unspecified reactive species

Yuan Shan,Le Wang,Jingying Sun,Sha Chang,Wei Di,Hua Lv

Cellular and molecular gastroenterology and hepatology 15:355-372 PubMed36397300

2022

GLIS2 Prevents Hepatic Fibrosis by Competitively Binding HDAC3 to Inhibit Hepatic Stellate Cell Activation.

Applications

Unspecified application

Species

Unspecified reactive species

Haoye Zhang,Pengcheng Zhou,Wu Xing,Limin Chen,Yangmei Zhou,Hui Yang,Kangkang Fu,Zhenguo Liu

Innate immunity 28:164-173 PubMed35635221

2022

Circ_0066881 targets miR-144-5p/RORA axis to alleviate LPS-induced apoptotic and inflammatory damages in human periodontal ligament cells.

Applications

Unspecified application

Species

Unspecified reactive species

Qin Li,Zhaopeng Hu,Fang Yang,Yi Peng
View all publications

Product promise

We are committed to supporting your work with high-quality reagents, and we're here for you every step of the way. In the unlikely event that one of our products does not perform as expected, you're protected by our Product Promise.
For full details, please see our Terms & Conditions

Please note: All products are 'FOR RESEARCH USE ONLY. NOT FOR USE IN DIAGNOSTIC OR THERAPEUTIC PROCEDURES'.

For licensing inquiries, please contact partnerships@abcam.com