JavaScript is disabled in your browser. Please enable JavaScript to view this website.
AB278099

Anti-ROR alpha/RORA antibody [EPR23719-48]

4

(1 Review)

|

(3 Publications)

Rabbit Recombinant Monoclonal ROR alpha/RORA antibody. Suitable for IP, IHC-Fr, IHC-P and reacts with Human, Mouse, Rat samples. Cited in 3 publications.

View Alternative Names

NR1F1, RZRA, RORA, Nuclear receptor ROR-alpha, Nuclear receptor RZR-alpha, Nuclear receptor subfamily 1 group F member 1, RAR-related orphan receptor A, Retinoid-related orphan receptor-alpha

7 Images
Immunoprecipitation - Anti-ROR alpha/RORA antibody [EPR23719-48] (AB278099)
  • IP

Lab

Immunoprecipitation - Anti-ROR alpha/RORA antibody [EPR23719-48] (AB278099)

ROR alpha/RORA was immunoprecipitated from SH-SY5Y (human neuroblastoma epithelial cell), whole cell lysate with ab278099 at 1/30 dilution (2µg in 0.35mg lysates). Western blot was performed on the immunoprecipitate using ab278099 at 1/1000 dilution. VeriBlot for IP Detection Reagent (HRP)(ab131366) was used at 1/5000 dilution. Lane 1 (Input) : SH-SY5Y (human neuroblastoma epithelial cell), whole cell lysate, 10 μg Lane 2 (+) : SH-SY5Y whole cell lysate Lane 3 (-) : Rabbit monoclonal IgG (ab172730) instead of ab278099 in SH-SY5Y whole cell lysate Blocking and dilution buffer and concentration : 5% NFDM/TBST. Exposure time : 180 seconds

All lanes:

Immunoprecipitation - Anti-ROR alpha/RORA antibody [EPR23719-48] (ab278099) at 1/1000 dilution

Lane 1:

SH-SY5Y (human neuroblastoma epithelial cell), whole cell lysate at 10 µg

Lane 2:

SH-SY5Y whole cell lysate

Lane 3:

Rabbit monoclonal IgG (<a href='/en-us/products/primary-antibodies/rabbit-igg-monoclonal-epr25a-isotype-control-ab172730'>ab172730</a>) instead of ab278099 in SH-SY5Y whole cell lysate

Secondary

All lanes:

Immunoprecipitation - VeriBlot for IP Detection Reagent (HRP) (<a href='/en-us/products/reagents/veriblot-for-ip-detection-reagent-hrp-ab131366'>ab131366</a>) at 1/5000 dilution

Predicted band size: 63 kDa

Observed band size: 58 kDa

false

Exposure time: 180s

Immunohistochemistry (Frozen sections) - Anti-ROR alpha/RORA antibody [EPR23719-48] (AB278099)
  • IHC-Fr

Supplier Data

Immunohistochemistry (Frozen sections) - Anti-ROR alpha/RORA antibody [EPR23719-48] (AB278099)

Immunohistochemical analysis of 4% PFA-fixed, 0.2% Triton X-100 permeabilized frozen Mouse cerebellum tissue labeling ROR alpha/RORA with ab278099 at 1/50 dilution followed by ab150077 Goat Anti-Rabbit IgG H&L (Alexa Fluor® 488) at 1/1000 dilution (Green). Positive staining on mouse cerebellum is observed. The nuclear counterstain was DAPI (Blue).

Secondary antibody control : Secondary antibody is ab150077 Goat Anti-Rabbit IgG H&L (Alexa Fluor® 488)at 1/1000 dilution.

Heat mediated antigen retrieval using sodium citrate buffer (10mM citrate pH 6.0 + 0.05% Tween-20).

Immunohistochemistry (Frozen sections) - Anti-ROR alpha/RORA antibody [EPR23719-48] (AB278099)
  • IHC-Fr

Supplier Data

Immunohistochemistry (Frozen sections) - Anti-ROR alpha/RORA antibody [EPR23719-48] (AB278099)

Immunohistochemical analysis of 4% PFA-fixed, 0.2% Triton X-100 permeabilized frozen Mouse kidney tissue labeling ROR alpha/RORA with ab278099 at 1/50 dilution followed by ab150077 Goat Anti-Rabbit IgG H&L (Alexa Fluor® 488) at 1/1000 dilution (Green). Negative control : no staining on mouse kidney (PMID : 9226375) is observed. The nuclear counterstain was DAPI (Blue).

Secondary antibody control : Secondary antibody is ab150077 Goat Anti-Rabbit IgG H&L (Alexa Fluor® 488)at 1/1000 dilution.

Heat mediated antigen retrieval using sodium citrate buffer (10mM citrate pH 6.0 + 0.05% Tween-20).

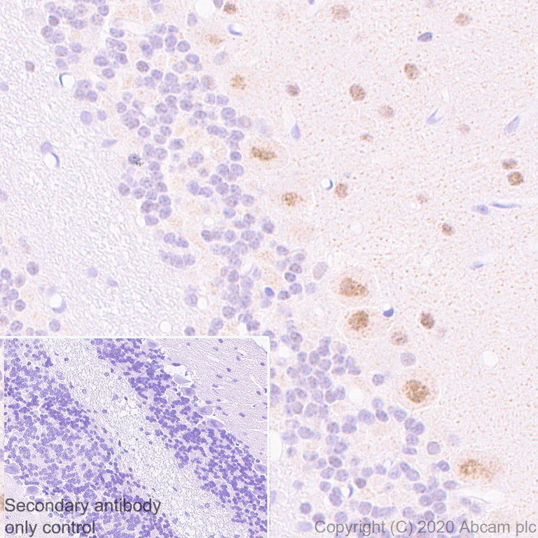
Immunohistochemistry (Formalin/PFA-fixed paraffin-embedded sections) - Anti-ROR alpha/RORA antibody [EPR23719-48] (AB278099)
  • IHC-P

Supplier Data

Immunohistochemistry (Formalin/PFA-fixed paraffin-embedded sections) - Anti-ROR alpha/RORA antibody [EPR23719-48] (AB278099)

Immunohistochemical analysis of paraffin-embedded Mouse cerebellum tissue labeling ROR alpha/RORA with ab278099 at 1/800 dilution followed by a ready to use Rabbit specific IHC polymer detection kit HRP/DAB (ab209101). Nuclear staining on mouse cerebellum ( PMID : 14966198). The section was incubated with ab278099 for 30 mins at room temperature. The immunostaining was performed on a Leica Biosystems BOND® RX instrument Counterstained with Hematoxylin.

Secondary antibody only control : Secondary antibody is a ready to use Rabbit specific IHC polymer detection kit HRP/DAB (ab209101).

Heat mediated antigen retrieval with Tris-EDTA buffer (pH 9.0, epitope retrieval solution2) for 20 mins

Immunohistochemistry (Formalin/PFA-fixed paraffin-embedded sections) - Anti-ROR alpha/RORA antibody [EPR23719-48] (AB278099)
  • IHC-P

Supplier Data

Immunohistochemistry (Formalin/PFA-fixed paraffin-embedded sections) - Anti-ROR alpha/RORA antibody [EPR23719-48] (AB278099)

Immunohistochemical analysis of paraffin-embedded Rat cerebellum tissue labeling ROR alpha/RORA with ab278099 at 1/800 dilution followed by a ready to use Rabbit specific IHC polymer detection kit HRP/DAB (ab209101). Nuclear staining on rat cerebellum. The section was incubated with ab278099 for 30 mins at room temperature. The immunostaining was performed on a Leica Biosystems BOND® RX instrument Counterstained with Hematoxylin.

Secondary antibody only control : Secondary antibody is a ready to use Rabbit specific IHC polymer detection kit HRP/DAB (ab209101).

Heat mediated antigen retrieval with Tris-EDTA buffer (pH 9.0, epitope retrieval solution2) for 20 mins

Immunoprecipitation - Anti-ROR alpha/RORA antibody [EPR23719-48] (AB278099)
  • IP

Supplier Data

Immunoprecipitation - Anti-ROR alpha/RORA antibody [EPR23719-48] (AB278099)

ROR alpha/RORA was immunoprecipitated from 0.35 mg Rat cerebellum tissue lysate with ab278099 at 1/30 dilution. Western blot was performed on the immunoprecipitate using ab278099 at 1/1000 dilution. VeriBlot for IP Detection Reagent (HRP)(ab131366) was used at 1/5000 dilution.

Lane 1 : Rat cerebellum tissue lysate 10ug

Lane 2 : ab278099 IP in Rat cerebellum tissue lysate

Lane 3 : Rabbit monoclonal IgG (ab172730) instead of ab278099 in rat cerebellum tissue lysate

Blocking and dilution buffer and concentration : 5% NFDM/TBST.

Exposure time : 3 minutes

All lanes:

Immunoprecipitation - Anti-ROR alpha/RORA antibody [EPR23719-48] (ab278099)

Predicted band size: 63 kDa

Observed band size: 60 kDa,65 kDa

false

Immunoprecipitation - Anti-ROR alpha/RORA antibody [EPR23719-48] (AB278099)
  • IP

Supplier Data

Immunoprecipitation - Anti-ROR alpha/RORA antibody [EPR23719-48] (AB278099)

ROR alpha/RORA was immunoprecipitated from 0.35 mg Mouse cerebellum tissue lysate with ab278099 at 1/30 dilution. Western blot was performed on the immunoprecipitate using ab278099 at 1/1000 dilution. VeriBlot for IP Detection Reagent (HRP)(ab131366) was used at 1/5000 dilution.

Lane 1 : Mouse cerebellum tissue lysate 10ug

Lane 2 : ab278099 IP in Mouse cerebellum tissue lysate

Lane 3 : Rabbit monoclonal IgG (ab172730) instead of ab278099 in mouse cerebellum tissue lysate

Blocking and dilution buffer and concentration : 5% NFDM/TBST.

Exposure time : 3 minutes

All lanes:

Immunoprecipitation - Anti-ROR alpha/RORA antibody [EPR23719-48] (ab278099)

Predicted band size: 63 kDa

Observed band size: 60 kDa,65 kDa

false

  • Carrier free

    Anti-ROR alpha/RORA antibody [EPR23719-48] - BSA and Azide free

Key facts

Host species

Rabbit

Clonality

Monoclonal

Clone number

EPR23719-48

Isotype

IgG

Carrier free

No

Reacts with

Human, Mouse, Rat

Applications

IHC-P, IHC-Fr, IP

applications

Immunogen

The exact immunogen used to generate this antibody is proprietary information.

Reactivity data

{ "title": "Reactivity Data", "filters": { "stats": ["", "Species", "Dilution Info", "Notes"], "tabs": { "all-applications": {"fullname" : "All Applications", "shortname": "All Applications"}, "IP" : {"fullname" : "Immunoprecipitation", "shortname":"IP"}, "WB" : {"fullname" : "Western blot", "shortname":"WB"}, "IHCFr" : {"fullname" : "Immunohistochemistry (Frozen sections)", "shortname":"IHC-Fr"}, "IHCP" : {"fullname" : "Immunohistochemistry (Formalin/PFA-fixed paraffin-embedded sections)", "shortname":"IHC-P"} }, "product-promise": { "all": "all", "testedAndGuaranteed": "tested", "guaranteed": "expected", "predicted": "predicted", "notRecommended": "not-recommended" } }, "values": { "Human": { "IP-species-checked": "testedAndGuaranteed", "IP-species-dilution-info": "1/30", "IP-species-notes": "<p></p>", "WB-species-checked": "notRecommended", "WB-species-dilution-info": "", "WB-species-notes": "<p></p>", "IHCFr-species-checked": "guaranteed", "IHCFr-species-dilution-info": "", "IHCFr-species-notes": "", "IHCP-species-checked": "notRecommended", "IHCP-species-dilution-info": "1/800", "IHCP-species-notes": "<p></p> Perform heat-mediated antigen retrieval with Tris/EDTA buffer pH 9.0 before commencing with IHC staining protocol." }, "Mouse": { "IP-species-checked": "testedAndGuaranteed", "IP-species-dilution-info": "1/30", "IP-species-notes": "<p></p> Perform heat-mediated antigen retrieval with Tris/EDTA buffer pH 9.0 before commencing with IHC staining protocol.", "WB-species-checked": "notRecommended", "WB-species-dilution-info": "", "WB-species-notes": "<p></p>", "IHCFr-species-checked": "testedAndGuaranteed", "IHCFr-species-dilution-info": "1/50", "IHCFr-species-notes": "<p>Heat mediated antigen retrieval using sodium citrate buffer (10mM citrate pH 6.0 + 0.05% Tween-20)</p>", "IHCP-species-checked": "testedAndGuaranteed", "IHCP-species-dilution-info": "1/800", "IHCP-species-notes": "<p></p> Perform heat-mediated antigen retrieval with Tris/EDTA buffer pH 9.0 before commencing with IHC staining protocol." }, "Rat": { "IP-species-checked": "testedAndGuaranteed", "IP-species-dilution-info": "1/30", "IP-species-notes": "<p></p> Perform heat-mediated antigen retrieval with Tris/EDTA buffer pH 9.0 before commencing with IHC staining protocol.", "WB-species-checked": "notRecommended", "WB-species-dilution-info": "", "WB-species-notes": "<p></p>", "IHCFr-species-checked": "guaranteed", "IHCFr-species-dilution-info": "", "IHCFr-species-notes": "", "IHCP-species-checked": "testedAndGuaranteed", "IHCP-species-dilution-info": "1/800", "IHCP-species-notes": "<p></p> Perform heat-mediated antigen retrieval with Tris/EDTA buffer pH 9.0 before commencing with IHC staining protocol." } } }

Product details

Patented technology
Our RabMAb® technology is a patented hybridoma-based technology for making rabbit monoclonal antibodies. For details on our patents, please refer to RabMAb® patents.

What are the advantages of a recombinant monoclonal antibody?
This product is a recombinant monoclonal antibody, which offers several advantages including:

  • - High batch-to-batch consistency and reproducibility
  • - Improved sensitivity and specificity
  • - Long-term security of supply
  • - Animal-free batch production

For more information, read more on recombinant antibodies.

Properties and storage information

Form
Liquid
Purification technique
Affinity purification Protein A
Storage buffer
Preservative: 0.01% Sodium azide Constituents: 59.94% PBS, 40% Glycerol (glycerin, glycerine), 0.05% BSA
Shipped at conditions
Blue Ice
Appropriate short-term storage duration
1-2 weeks
Appropriate short-term storage conditions
+4°C
Appropriate long-term storage conditions
-20°C
Aliquoting information
Upon delivery aliquot
Storage information
Avoid freeze / thaw cycle

Product protocols

For this product, it's our understanding that no specific protocols are required. You can visit:

Target data

Nuclear receptor that binds DNA as a monomer to ROR response elements (RORE) containing a single core motif half-site 5'-AGGTCA-3' preceded by a short A-T-rich sequence. Key regulator of embryonic development, cellular differentiation, immunity, circadian rhythm as well as lipid, steroid, xenobiotics and glucose metabolism. Considered to have intrinsic transcriptional activity, have some natural ligands like oxysterols that act as agonists (25-hydroxycholesterol) or inverse agonists (7-oxygenated sterols), enhancing or repressing the transcriptional activity, respectively. Recruits distinct combinations of cofactors to target genes regulatory regions to modulate their transcriptional expression, depending on the tissue, time and promoter contexts. Regulates genes involved in photoreceptor development including OPN1SW, OPN1SM and ARR3 and skeletal muscle development with MYOD1. Required for proper cerebellum development (PubMed : 29656859). Regulates SHH gene expression, among others, to induce granule cells proliferation as well as expression of genes involved in calcium-mediated signal transduction. Regulates the circadian expression of several clock genes, including CLOCK, BMAL1, NPAS2 and CRY1. Competes with NR1D1 for binding to their shared DNA response element on some clock genes such as BMAL1, CRY1 and NR1D1 itself, resulting in NR1D1-mediated repression or RORA-mediated activation of clock genes expression, leading to the circadian pattern of clock genes expression. Therefore influences the period length and stability of the clock. Regulates genes involved in lipid metabolism such as apolipoproteins APOA1, APOA5, APOC3 and PPARG. In liver, has specific and redundant functions with RORC as positive or negative modulator of expression of genes encoding phase I and phase II proteins involved in the metabolism of lipids, steroids and xenobiotics, such as CYP7B1 and SULT2A1. Induces a rhythmic expression of some of these genes. In addition, interplays functionally with NR1H2 and NR1H3 for the regulation of genes involved in cholesterol metabolism. Also involved in the regulation of hepatic glucose metabolism through the modulation of G6PC1 and PCK1. In adipose tissue, plays a role as negative regulator of adipocyte differentiation, probably acting through dual mechanisms. May suppress CEBPB-dependent adipogenesis through direct interaction and PPARG-dependent adipogenesis through competition for DNA-binding. Downstream of IL6 and TGFB and synergistically with RORC isoform 2, is implicated in the lineage specification of uncommitted CD4(+) T-helper (T(H)) cells into T(H)17 cells, antagonizing the T(H)1 program. Probably regulates IL17 and IL17F expression on T(H) by binding to the essential enhancer conserved non-coding sequence 2 (CNS2) in the IL17-IL17F locus. Involved in hypoxia signaling by interacting with and activating the transcriptional activity of HIF1A. May inhibit cell growth in response to cellular stress. May exert an anti-inflammatory role by inducing CHUK expression and inhibiting NF-kappa-B signaling.
See full target information RORA

Publications (3)

Recent publications for all applications. Explore the full list and refine your search

Journal of pineal research 76:e12988 PubMed38982751

2024

Melatonin Ameliorates Atherosclerotic Plaque Vulnerability by Regulating PPARδ-Associated Smooth Muscle Cell Phenotypic Switching.

Applications

Unspecified application

Species

Unspecified reactive species

Sy-Jou Chen,Hung-Che Chien,Shih-Hung Tsai,Yu-Sin Jheng,Yi Chen,Po-Shiuan Hsieh,Pi-Fen Tsui,Shu Chien,Min-Chien Tsai

Cancer cell international 24:12 PubMed38184549

2024

RORα inhibits gastric cancer proliferation through attenuating G6PD and PFKFB3 induced glycolytic activity.

Applications

Unspecified application

Species

Unspecified reactive species

Xiaoshan Wang,Junyi Zhang,Yuwei Wu,Yuqing Zhang,Siyuan Zhang,Angqing Li,Jian Wang,Zhengguang Wang

Aging 15:37-52 PubMed36626253

2023

Genetic deficiency and pharmacological modulation of RORα regulate laser-induced choroidal neovascularization.

Applications

Unspecified application

Species

Unspecified reactive species

Chi-Hsiu Liu,Felix Yemanyi,Kiran Bora,Neetu Kushwah,Alexandra K Blomfield,Theodore M Kamenecka,John Paul SanGiovanni,Ye Sun,Laura A Solt,Jing Chen
View all publications

Product promise

We are committed to supporting your work with high-quality reagents, and we're here for you every step of the way. In the unlikely event that one of our products does not perform as expected, you're protected by our Product Promise.
For full details, please see our Terms & Conditions

Please note: All products are 'FOR RESEARCH USE ONLY. NOT FOR USE IN DIAGNOSTIC OR THERAPEUTIC PROCEDURES'.

For licensing inquiries, please contact partnerships@abcam.com