JavaScript is disabled in your browser. Please enable JavaScript to view this website.
AB207082

Anti-ROR gamma antibody [EPR20006]

5

(5 Reviews)

|

(46 Publications)

Anti-ROR gamma antibody [EPR20006] (ab207082) is a rabbit monoclonal antibody detecting ROR gamma in Western Blot, Flow Cytometry (Intra), Flow Cytometry, IP, IHC-P. Suitable for Mouse.

- Biophysical QC for unrivalled batch-batch consistency
- Over 30 publications

View Alternative Names

Nr1f3, Rorg, Thor, Rorc, Nuclear receptor ROR-gamma, Nuclear receptor RZR-gamma, Nuclear receptor subfamily 1 group F member 3, RAR-related orphan receptor C, Retinoid-related orphan receptor-gamma, Thymus orphan receptor, TOR

8 Images
Flow Cytometry (Intracellular) - Anti-ROR gamma antibody [EPR20006] (AB207082)
  • Flow Cyt (Intra)

Lab

Flow Cytometry (Intracellular) - Anti-ROR gamma antibody [EPR20006] (AB207082)

Flow cytometry overlay histogram showing positive mouse thymocytes on the right and negative mouse thymocytes on the left, both stained with ab207082 (red line). The cells were fixed with Cytofix and then permeabilised with CytoPerm. The cells were then incubated in 1x PBS containing 10μg/ml anti CD16/CD32 and 10% normal goat serum to block FC receptors and non-specific protein-protein interaction followed by the antibody (ab207082) (1x 106 in 100μl at 1.0μg/ml (1/2,000 dilution)) for 30 mins at 22°C.

The secondary antibody Goat Anti-Rabbit IgG H&L (Alexa Fluor® 488) preadsorbed was incubated at 1/2000 dilution for 30 mins at 22°C

Isotype control antibody (black line) was Recombinant Rabbit IgG, monoclonal [EPR25A] - Isotype Control used at the same concentration and conditions as the primary antibody. Unlabelled sample (blue line) was also used as a control.

Acquisition of >5000 events were collected using a 50 mW Blue laser (488nm) and 525/40 bandpass filter. Events were gated on CD8+ve.

Immunohistochemistry (Formalin/PFA-fixed paraffin-embedded sections) - Anti-ROR gamma antibody [EPR20006] (AB207082)
  • IHC-P

Supplier Data

Immunohistochemistry (Formalin/PFA-fixed paraffin-embedded sections) - Anti-ROR gamma antibody [EPR20006] (AB207082)

Immunohistochemical analysis of paraffin-embedded mouse thymus tissue labeling ROR gamma with ab207082 at 1/3000 dilution, followed by Goat Anti-Rabbit IgG H&L (HRP) Ready to use. Nuclear staining on the cortical region of mouse thymus shown at a high magnification (400×) (PMID : 14691482).

Counter stained with Hematoxylin.

Secondary antibody only control : Used PBS instead of primary antibody, secondary antibody is Goat Anti-Rabbit IgG H&L (HRP) Ready to use.

Perform heat mediated antigen retrieval with Tris/EDTA buffer pH 9.0 before commencing with IHC staining protocol.

Immunohistochemistry (Formalin/PFA-fixed paraffin-embedded sections) - Anti-ROR gamma antibody [EPR20006] (AB207082)
  • IHC-P

Supplier Data

Immunohistochemistry (Formalin/PFA-fixed paraffin-embedded sections) - Anti-ROR gamma antibody [EPR20006] (AB207082)

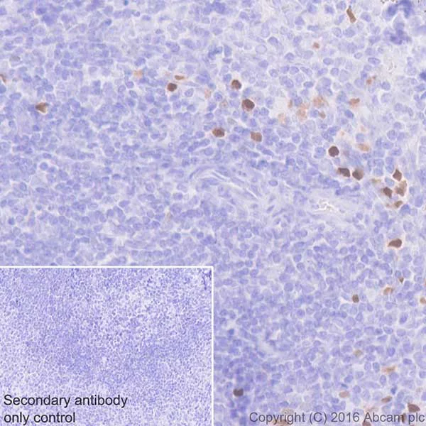
Immunohistochemical analysis of paraffin-embedded mouse thymus tissue labeling ROR gamma with ab207082 at 1/3000 dilution, followed by Goat Anti-Rabbit IgG H&L (HRP) Ready to use. Nuclear staining on mouse thymus cortex, located in the left and right of the image, with sporadic nuclear staining on medulla, middle region (PMID : 14691482).

Counter stained with Hematoxylin.

Secondary antibody only control : Used PBS instead of primary antibody, secondary antibody is Goat Anti-Rabbit IgG H&L (HRP) Ready to use.

Perform heat mediated antigen retrieval with Tris/EDTA buffer pH 9.0 before commencing with IHC staining protocol.

Immunohistochemistry (Formalin/PFA-fixed paraffin-embedded sections) - Anti-ROR gamma antibody [EPR20006] (AB207082)
  • IHC-P

Supplier Data

Immunohistochemistry (Formalin/PFA-fixed paraffin-embedded sections) - Anti-ROR gamma antibody [EPR20006] (AB207082)

Immunohistochemical analysis of paraffin-embedded mouse spleen tissue labeling ROR gamma with ab207082 at 1/3000 dilution, followed by Goat Anti-Rabbit IgG H&L (HRP) Ready to use. Sporadic nuclear staining on mouse spleen (PMID : 14691482).

Counter stained with Hematoxylin.

Secondary antibody only control : Used PBS instead of primary antibody, secondary antibody is Goat Anti-Rabbit IgG H&L (HRP) Ready to use.

Perform heat mediated antigen retrieval with Tris/EDTA buffer pH 9.0 before commencing with IHC staining protocol.

Flow Cytometry (Intracellular) - Anti-ROR gamma antibody [EPR20006] (AB207082)
  • Flow Cyt (Intra)

Supplier Data

Flow Cytometry (Intracellular) - Anti-ROR gamma antibody [EPR20006] (AB207082)

Intracellular flow cytometric analysis of 4% paraformaldehyde-fixed Mouse thymocytes labeling ROR gamma with ab207082 at 1/50 dilution. Goat anti rabbit IgG (Alexa Fluorr® 488) at 1/2000 dilution was used as the secondary antibody.

Note : Cell surface staining with PE conjugated anti-mouse CD8 and Alexa Fluorr® 647 conjugated anti mouse CD4 antibodies, followed by fixation with 4% PFA for 10 min and intracellular staining with ab207082. The image shows thymocytes in the CD4+CD8+ (red) or the CD4+CD8- (black, negative control) gate.

Immunoprecipitation - Anti-ROR gamma antibody [EPR20006] (AB207082)
  • IP

Supplier Data

Immunoprecipitation - Anti-ROR gamma antibody [EPR20006] (AB207082)

ROR gamma was immunoprecipitated from 0.35 mg of Mouse thymus lysate with ab207082 at 1/30 dilution. Western blot was performed from the immunoprecipitate using ab207082 at 1/1000 dilution. VeriBlot for IP Detection Reagent (HRP) (ab131366), was used for detection at 1/10000 dilution.

Lane 1 : Mouse thymus lysate, 10 μg (Input).

Lane 2 : ab207082 IP in Mouse thymus lysate.

Lane 3 : Rabbit monoclonal IgG (ab172730) instead of ab207082 inMouse thymus lysate.

Blocking and dilution buffer and concentration : 5% NFDM/TBST.

Exposure time : 10 seconds.

All lanes:

Immunoprecipitation - Anti-ROR gamma antibody [EPR20006] (ab207082)

Predicted band size: 58 kDa

Observed band size: 58 kDa

false

Western blot - Anti-ROR gamma antibody [EPR20006] (AB207082)
  • WB

Supplier Data

Western blot - Anti-ROR gamma antibody [EPR20006] (AB207082)

Blocking/Dilution buffer : 5% NFDM/TBST.

The expression profile is consistent with the literature : PMID 14691482; PMID 9881970.

All lanes:

Western blot - Anti-ROR gamma antibody [EPR20006] (ab207082) at 1/2000 dilution

Lane 1:

Mouse thymus lysate at 20 µg

Lane 2:

Mouse liver lysate at 20 µg

Secondary

All lanes:

Western blot - Goat Anti-Rabbit IgG H&L (HRP) (<a href='/en-us/products/secondary-antibodies/goat-rabbit-igg-h-l-hrp-ab97051'>ab97051</a>) at 1/100000 dilution

Predicted band size: 58 kDa

Observed band size: 58 kDa

false

Exposure time: 3s

Western blot - Anti-ROR gamma antibody [EPR20006] (AB207082)
  • WB

Supplier Data

Western blot - Anti-ROR gamma antibody [EPR20006] (AB207082)

Blocking/Dilution buffer : 5% NFDM/TBST.

Exposure time : Lane 1 : 3 seconds; Lane 2/3 : 3 minutes.

Lane 1:

Western blot - Anti-ROR gamma antibody [EPR20006] (ab207082) at 1/10000 dilution

Lanes 2 - 3:

Western blot - Anti-ROR gamma antibody [EPR20006] (ab207082) at 1/1000 dilution

Lane 1:

His-tagged mouse ROR gamma recombinant protein (aa 1-266) at 0.01 µg

Lane 2:

His-tagged mouse ROR alpha recombinant protein (aa 48-215) at 0.01 µg

Lane 3:

His-tagged mouse ROR beta recombinant protein (aa 9-140) at 0.01 µg

Secondary

All lanes:

Western blot - Goat Anti-Rabbit IgG H&L (HRP) (<a href='/en-us/products/secondary-antibodies/goat-rabbit-igg-h-l-hrp-ab97051'>ab97051</a>) at 1/100000 dilution

Predicted band size: 58 kDa

Observed band size: 35 kDa

false

Key facts

Host species

Rabbit

Clonality

Monoclonal

Clone number

EPR20006

Isotype

IgG

Carrier free

No

Reacts with

Mouse

Applications

IHC-P, WB, Flow Cyt (Intra), IP

applications

Immunogen

The exact immunogen used to generate this antibody is proprietary information.

Specificity

Our data suggests that this antibody is specific to ROR gamma isoform 2 which is known as ROR gammaT.

Reactivity data

{ "title": "Reactivity Data", "filters": { "stats": ["", "Species", "Dilution Info", "Notes"], "tabs": { "all-applications": {"fullname" : "All Applications", "shortname": "All Applications"}, "IP" : {"fullname" : "Immunoprecipitation", "shortname":"IP"}, "WB" : {"fullname" : "Western blot", "shortname":"WB"}, "IHCP" : {"fullname" : "Immunohistochemistry (Formalin/PFA-fixed paraffin-embedded sections)", "shortname":"IHC-P"}, "FlowCytIntra" : {"fullname" : "Flow Cytometry (Intracellular)", "shortname":"Flow Cyt (Intra)"} }, "product-promise": { "all": "all", "testedAndGuaranteed": "tested", "guaranteed": "expected", "predicted": "predicted", "notRecommended": "not-recommended" } }, "values": { "Mouse": { "IP-species-checked": "testedAndGuaranteed", "IP-species-dilution-info": "1/30", "IP-species-notes": "<p></p>", "WB-species-checked": "testedAndGuaranteed", "WB-species-dilution-info": "1/2000", "WB-species-notes": "<p></p>", "IHCP-species-checked": "testedAndGuaranteed", "IHCP-species-dilution-info": "1/3000", "IHCP-species-notes": "<p>Antigen Retrieval Buffer (100X Tris-EDTA Buffer, pH 9.0) (<a href='/en-us/products/buffers/antigen-retrieval-buffer-100x-tris-edta-buffer-ph-90-ab93684'>ab93684</a>)</p>", "FlowCytIntra-species-checked": "testedAndGuaranteed", "FlowCytIntra-species-dilution-info": "1/2090", "FlowCytIntra-species-notes": "<p></p>" } } }

Product details

What is this antibody validated in?
Anti-ROR gamma antibody [EPR20006] (ab207082) is a rabbit recombinant monoclonal antibody and is validated for use in Western Blot (WB), Flow Cytometry (Intra), Flow Cytometry (Flow Cyt), Immunoprecipitation (IP), Immunohistochemistry (IHC-P) in Mouse samples.

What is the molecular weight of ROR gamma?
Anti-ROR gamma [EPR20006] (ab207082) specifically detects a band for ROR gamma (UniProt: P51450) at a molecular weight of 58kDa.

Trusted by the scientific community
Anti-ROR gamma [EPR20006] (ab207082) was first used in a scientific publication in 2017 and has been cited over 30 times in peer-reviewed journals.

Trial sizes available!
Test your antibody or perform pre-screening before committing to a larger quantity. Sold in 10µl. Discover our selection of trial-size antibodies.

Other related products
We have a range of other formats of antibody clone [EPR20006] also available for your convenience: ab207082, Carrier free - ab232516, Alexa Fluor® 594 - ab283626, Alexa Fluor® 488 - ab317656, Alexa Fluor® 647 - ab317657, Alexa Fluor® 555 - ab322171

Patented technology
Our RabMAb® technology is a patented hybridoma-based technology for making rabbit monoclonal antibodies. For details on our patents, please refer to RabMAb® patents.

What are the advantages of a recombinant monoclonal antibody?
This product is a recombinant monoclonal antibody, which offers several advantages including:

  • - High batch-to-batch consistency and reproducibility
  • - Improved sensitivity and specificity
  • - Long-term security of supply
  • - Animal-free batch production

For more information, read more on recombinant antibodies.

Properties and storage information

Form
Liquid
Purification technique
Affinity purification Protein A
Storage buffer
pH: 7.2 - 7.4 Preservative: 0.01% Sodium azide Constituents: PBS, 40% Glycerol (glycerin, glycerine), 0.05% BSA
Shipped at conditions
Blue Ice
Appropriate short-term storage duration
1-2 weeks
Appropriate short-term storage conditions
+4°C
Appropriate long-term storage conditions
-20°C
Aliquoting information
Upon delivery aliquot
Storage information
Avoid freeze / thaw cycle

Product protocols

For this product, it's our understanding that no specific protocols are required. You can visit:

Target data

Nuclear receptor that binds DNA as a monomer to ROR response elements (RORE) containing a single core motif half-site 5'-AGGTCA-3' preceded by a short A-T-rich sequence. Key regulator of cellular differentiation, immunity, peripheral circadian rhythm as well as lipid, steroid, xenobiotics and glucose metabolism. Considered to have intrinsic transcriptional activity, have some natural ligands like oxysterols that act as agonists (25-hydroxycholesterol) or inverse agonists (7-oxygenated sterols), enhancing or repressing the transcriptional activity, respectively. Recruits distinct combinations of cofactors to target gene regulatory regions to modulate their transcriptional expression, depending on the tissue, time and promoter contexts (PubMed : 17666523, PubMed : 19381306, PubMed : 19965867, PubMed : 21853531, PubMed : 22789990, PubMed : 23723244). Regulates the circadian expression of clock genes such as CRY1, BMAL1 and NR1D1 in peripheral tissues and in a tissue-selective manner (PubMed : 22753030). Competes with NR1D1 for binding to their shared DNA response element on some clock genes such as BMAL1, CRY1 and NR1D1 itself, resulting in NR1D1-mediated repression or RORC-mediated activation of the expression, leading to the circadian pattern of clock genes expression. Therefore influences the period length and stability of the clock (PubMed : 22753030). Involved in the regulation of the rhythmic expression of genes involved in glucose and lipid metabolism, including PLIN2 and AVPR1A. Negative regulator of adipocyte differentiation through the regulation of early phase genes expression, such as MMP3. Controls adipogenesis as well as adipocyte size and modulates insulin sensitivity in obesity. In liver, has specific and redundant functions with RORA as positive or negative modulator of expression of genes encoding phase I and Phase II proteins involved in the metabolism of lipids, steroids and xenobiotics, such as SULT1E1 (PubMed : 21853531). Also plays also a role in the regulation of hepatocyte glucose metabolism through the regulation of G6PC1 and PCK1. Regulates the rhythmic expression of PROX1 and promotes its nuclear localization.. Isoform 2. Essential for thymopoiesis and the development of several secondary lymphoid tissues, including lymph nodes and Peyer's patches (PubMed : 10602018, PubMed : 14691482, PubMed : 16148126). Required for the generation of LTi (lymphoid tissue inducer) cells. Regulates thymocyte survival through DNA-binding on ROREs of target gene promoter regions and recruitment of coactivaros via the AF-2. Also plays a key role, downstream of IL6 and TGFB and synergistically with RORA, for lineage specification of uncommitted CD4(+) T-helper (T(H)) cells into T(H)17 cells, antagonizing the T(H)1 program. Probably regulates IL17 and IL17F expression on T(H) by binding to the essential enhancer conserved non-coding sequence 2 (CNS2) in the IL17-IL17F locus (PubMed : 16990136, PubMed : 18164222, PubMed : 26607793). May also play a role in the pre-TCR activation cascade leading to the maturation of alpha/beta T-cells and may participate in the regulation of DNA accessibility in the TCR-J(alpha) locus (PubMed : 10602018, PubMed : 14691482, PubMed : 16148126, PubMed : 16990136, PubMed : 18164222, PubMed : 9881970). Plays an indispensable role in the induction of IFN-gamma dependent anti-mycobacterial systemic immunity (By similarity).
See full target information Rorc

Publications (46)

Recent publications for all applications. Explore the full list and refine your search

Journal of neuroinflammation 22:207 PubMed40859333

2025

Disrupted betaine metabolism drives Th17 cell differentiation, mediating methamphetamine-induced depressive behaviors in male mice.

Applications

Unspecified application

Species

Unspecified reactive species

Rongji Hui,Jiabao Xu,Hongchen Ma,Tao Feng,Congcong Hou,Xintao Wang,Mingyang Jin,Feng Yu,Yan Shi,Bing Xie,Ludi Zhang,Bin Cong,Chunling Ma,Di Wen

Diabetes, metabolic syndrome and obesity : targets and therapy 18:703-713 PubMed40061492

2025

Circulating Interleukin-22 Is a Biomarker for Newly Diagnosed Type 2 Diabetes Mellitus and Associated with Hypoglycemic Effect of Sitagliptin.

Applications

Unspecified application

Species

Unspecified reactive species

Peiye Sun,Yuxi Xiao,Yuan Dong,Yixiang Feng,Hongting Zheng,Xiaoyu Liao

Cell reports. Medicine 5:101840 PubMed39626672

2024

Chemical activation of mitochondrial ClpP to modulate energy metabolism of CD4 T cell for inflammatory bowel diseases treatment.

Applications

Unspecified application

Species

Unspecified reactive species

Jiangnan Zhang,Yunhan Jiang,Dongmei Fan,Zhiqiang Qiu,Xinlian He,Song Liu,Linjie Li,Zhengyi Dai,Lidan Zhang,Ziyi Shu,Lili Li,Hu Zhang,Tao Yang,Youfu Luo

Molecular medicine (Cambridge, Mass.) 30:233 PubMed39592944

2024

TWEAK/Fn14 disrupts Th17/Treg balance and aggravates conjunctivitis by inhibiting the Nrf2/HO-1 pathway in allergic conjunctivitis mice.

Applications

Unspecified application

Species

Unspecified reactive species

Yang Yang,Yuezhi Zhang,Jingfan Fu,Xiaolong Yin

American journal of translational research 16:3990-4000 PubMed39262729

2024

Correlation of Th17/Treg associated transcription factors with clinicopathological features of colorectal cancer and their prognostic significance.

Applications

Unspecified application

Species

Unspecified reactive species

Jianqiang Pan,Zhengrong Su,Zhihong Liu,Xingwei Zhong

Cell death & disease 15:640 PubMed39251573

2024

Mesenchymal stromal cells restrain the Th17 cell response via L-amino-acid oxidase within lymph nodes.

Applications

Unspecified application

Species

Unspecified reactive species

Qi Ni,Le Zhen,Zhu Zeng,Jingwen Yang,Yukai Wang,Huanke Xu,Qixiang Zhang,Yongcheng Zhu,Yu Tao,Jing Wang,Qing Liu,Kezheng Yi,Yang Chen,Qian Chen,Guangji Wang,Fang Zhou,Yunlong Shan

International journal of molecular sciences 25: PubMed38203712

2024

Red Cabbage Juice-Mediated Gut Microbiota Modulation Improves Intestinal Epithelial Homeostasis and Ameliorates Colitis.

Applications

Unspecified application

Species

Unspecified reactive species

Emily Jean Wilson,Nagabhishek Sirpu Natesh,Parsa Ghadermazi,Ramesh Pothuraju,Dipakkumar R Prajapati,Sanjit Pandey,Jussuf T Kaifi,John R Dodam,Jeffrey N Bryan,Christian L Lorson,Aude A Watrelot,Jason M Foster,Thomas J Mansell,Siu Hung Joshua Chan,Surinder K Batra,Jeyamkondan Subbiah,Satyanarayana Rachagani

Frontiers in immunology 14:1277351 PubMed38090578

2023

Altered intestinal microbiota enhances adenoid hypertrophy by disrupting the immune balance.

Applications

Unspecified application

Species

Unspecified reactive species

Wenxin Liu,Huier Jiang,Xiling Liu,Yue Zheng,Yanan Liu,Fen Pan,Fangyuan Yu,Zhi Li,Meizhen Gu,Qingqing Du,Xiaoyan Li,Hong Zhang,Dingding Han

Cancer cell international 23:227 PubMed37779195

2023

HK3 stimulates immune cell infiltration to promote glioma deterioration.

Applications

Unspecified application

Species

Unspecified reactive species

Shupeng Li,Ziwei Li,Xinyu Wang,Junzhe Zhong,Daohan Yu,Hao Chen,Wenbin Ma,Lingling Liu,Minghuang Ye,Ruofei Shen,Chuanlu Jiang,Xiangqi Meng,Jinquan Cai

Cellular & molecular immunology 20:1352-1366 PubMed37752225

2023

Thiostrepton alleviates experimental colitis by promoting RORγt ubiquitination and modulating dysbiosis.

Applications

Unspecified application

Species

Unspecified reactive species

Ya Luo,Cheng Liu,Yuan Luo,Xianglian Zhang,Jing Li,Changjiang Hu,Shiming Yang
View all publications

Product promise

We are committed to supporting your work with high-quality reagents, and we're here for you every step of the way. In the unlikely event that one of our products does not perform as expected, you're protected by our Product Promise.
For full details, please see our Terms & Conditions

Please note: All products are 'FOR RESEARCH USE ONLY. NOT FOR USE IN DIAGNOSTIC OR THERAPEUTIC PROCEDURES'.

For licensing inquiries, please contact partnerships@abcam.com