JavaScript is disabled in your browser. Please enable JavaScript to view this website.
AB289552

Anti-ROR gamma antibody [Q31-378]

Be the first to review this product! Submit a review

|

(1 Publication)

Mouse Recombinant Monoclonal ROR gamma antibody. Suitable for IP, WB, IHC-P, Flow Cyt (Intra) and reacts with Mouse samples. Cited in 1 publication.

View Alternative Names

Nr1f3, Rorg, Thor, Rorc, Nuclear receptor ROR-gamma, Nuclear receptor RZR-gamma, Nuclear receptor subfamily 1 group F member 3, RAR-related orphan receptor C, Retinoid-related orphan receptor-gamma, Thymus orphan receptor, TOR

6 Images
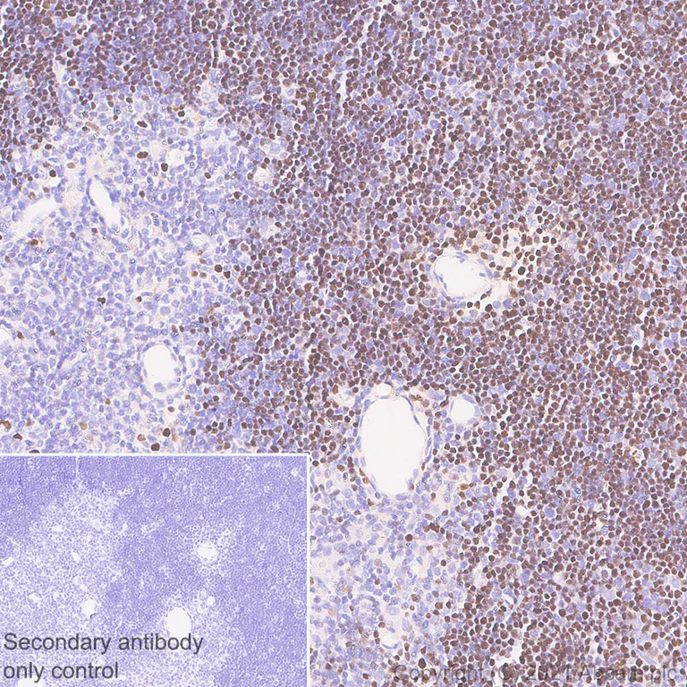
Immunohistochemistry (Formalin/PFA-fixed paraffin-embedded sections) - Anti-ROR gamma antibody [Q31-378] (AB289552)
  • IHC-P

Supplier Data

Immunohistochemistry (Formalin/PFA-fixed paraffin-embedded sections) - Anti-ROR gamma antibody [Q31-378] (AB289552)

Immunohistochemical analysis of paraffin-embedded mouse spleen tissue labeling ROR gamma with ab289552 at 1/10000 dilution, followed by the use of LeicaDS9800 (Bond™ Polymer Refine Detection). Nuclear staining on mouse spleen. The section was incubated with ab289552 for 30 mins at room temperature.
The immunostaining was performed on a Leica Biosystems BOND® RX instrument. Counter stained with Hematoxylin.

Secondary antibody only control : Used PBS instead of primary antibody, secondary antibody is LeicaDS9800 (Bond™ Polymer Refine Detection).

Heat mediated antigen retrieval with Tris-EDTA buffer (pH 9.0, epitope retrieval solution2) for 20 mins was used.

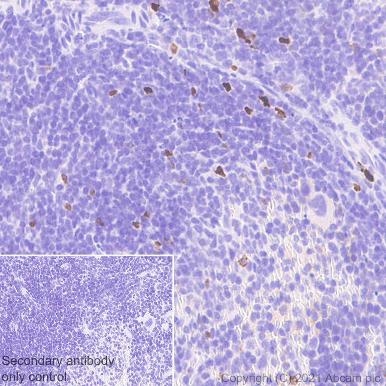
Immunohistochemistry (Formalin/PFA-fixed paraffin-embedded sections) - Anti-ROR gamma antibody [Q31-378] (AB289552)
  • IHC-P

Supplier Data

Immunohistochemistry (Formalin/PFA-fixed paraffin-embedded sections) - Anti-ROR gamma antibody [Q31-378] (AB289552)

Immunohistochemical analysis of paraffin-embedded mouse thymus tissue labeling ROR gamma with ab289552 at 1/10000 dilution, followed by the use of LeicaDS9800 (Bond™ Polymer Refine Detection). Nuclear staining on mouse thymus. The section was incubated with ab289552 for 30 mins at room temperature.
The immunostaining was performed on a Leica Biosystems BOND® RX instrument. Counter stained with Hematoxylin.

Secondary antibody only control : Used PBS instead of primary antibody, secondary antibody is LeicaDS9800 (Bond™ Polymer Refine Detection).

Heat mediated antigen retrieval with Tris-EDTA buffer (pH 9.0, epitope retrieval solution2) for 20 mins was used.

Flow Cytometry (Intracellular) - Anti-ROR gamma antibody [Q31-378] (AB289552)
  • Flow Cyt (Intra)

Supplier Data

Flow Cytometry (Intracellular) - Anti-ROR gamma antibody [Q31-378] (AB289552)

Flow cytometric analysis of 2% paraformaldehyde-fixed, 0.1% Tween-20-permeabilized mouse thymocytes labeling ROR gamma with ab289552 at 1/1000 dilution (Right) compared with Mouse monoclonal IgG isotype control (Left). Goat anti-Mouse IgG (Alexa Fluor® 488, ab150113) at 1/2000 dilution was used as secondary antibody.

Cells were surface stained with APC/Fire™ 750 conjugated CD4. Then fixed with 2% PFA for 10min followed by intracellularly stained with isotype control.

Flow Cytometry (Intracellular) - Anti-ROR gamma antibody [Q31-378] (AB289552)
  • Flow Cyt (Intra)

Supplier Data

Flow Cytometry (Intracellular) - Anti-ROR gamma antibody [Q31-378] (AB289552)

Flow cytometric analysis of 2% paraformaldehyde-fixed, 0.1% Tween-20-permeabilized mouse thymocytes labeling ROR gamma with ab289552 at 1/1000 dilution (Right) compared with Mouse monoclonal IgG isotype control (Left). Goat anti-Mouse IgG (Alexa Fluor® 488, ab150113) at 1/2000 dilution was used as secondary antibody.

Cells were surface stained with Alexa Fluor® 647 conjugated CD8. Then fixed with 2% PFA for 10min followed by intracellularly stained with isotype control.

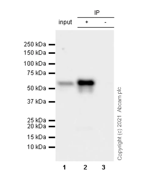
Immunoprecipitation - Anti-ROR gamma antibody [Q31-378] (AB289552)
  • IP

Supplier Data

Immunoprecipitation - Anti-ROR gamma antibody [Q31-378] (AB289552)

ROR gamma was immunoprecipitated from mouse thymus lysate with ab289552 at 1/30 dilution. Western blot was performed from the immunoprecipitate using ab289552 at 1/1000 dilution. VeriBlot for IP secondary antibody (HRP) (ab131366), was used as secondary antibody at 1/5000 dilution.

Lane 1 : Mouse thymus lysate 10 μg (Input).

Lane 2 : Mouse thymus lysate

Lane 3 : Mouse IgG2a (ab18413) monoclonal instead of ab289552 in mouse thymus lysate

Blocking and dilution buffer : 5% NFDM/TBST.

Exposure time : 23 seconds.

All lanes:

Immunoprecipitation - Anti-ROR gamma antibody [Q31-378] (ab289552)

Predicted band size: 58 kDa

false

Exposure time: 23s

Western blot - Anti-ROR gamma antibody [Q31-378] (AB289552)
  • WB

Supplier Data

Western blot - Anti-ROR gamma antibody [Q31-378] (AB289552)

5% NFDM/TBST was used as a blocking and diluting buffer.

The expression profile is consistent with the literature : PMID 14691482 and 9881970.

All lanes:

Western blot - Anti-ROR gamma antibody [Q31-378] (ab289552) at 1/1000 dilution

Lane 1:

Mouse thymus tissue lysate at 20 µg

Lane 2:

Mouse spleen tissue lysate at 20 µg

Secondary

All lanes:

Peroxidase-Conjugated Goat anti-Mouse IgG (H+L) at 1/10000 dilution

Predicted band size: 58 kDa

Observed band size: 50 kDa

false

Exposure time: 10s

  • Carrier free

    Anti-ROR gamma antibody [Q31-378] - BSA and Azide free

Key facts

Host species

Mouse

Clonality

Monoclonal

Clone number

Q31-378

Isotype

IgG2a

Carrier free

No

Reacts with

Mouse

Applications

Flow Cyt (Intra), IP, IHC-P, WB

applications

Immunogen

The exact immunogen used to generate this antibody is proprietary information.

Reactivity data

{ "title": "Reactivity Data", "filters": { "stats": ["", "Species", "Dilution Info", "Notes"], "tabs": { "all-applications": {"fullname" : "All Applications", "shortname": "All Applications"}, "IP" : {"fullname" : "Immunoprecipitation", "shortname":"IP"}, "WB" : {"fullname" : "Western blot", "shortname":"WB"}, "IHCP" : {"fullname" : "Immunohistochemistry (Formalin/PFA-fixed paraffin-embedded sections)", "shortname":"IHC-P"}, "FlowCytIntra" : {"fullname" : "Flow Cytometry (Intracellular)", "shortname":"Flow Cyt (Intra)"} }, "product-promise": { "all": "all", "testedAndGuaranteed": "tested", "guaranteed": "expected", "predicted": "predicted", "notRecommended": "not-recommended" } }, "values": { "Human": { "IP-species-checked": "notRecommended", "IP-species-dilution-info": "", "IP-species-notes": "", "WB-species-checked": "notRecommended", "WB-species-dilution-info": "1/1000", "WB-species-notes": "<p></p>", "IHCP-species-checked": "notRecommended", "IHCP-species-dilution-info": "1/10000", "IHCP-species-notes": "<p></p>", "FlowCytIntra-species-checked": "notRecommended", "FlowCytIntra-species-dilution-info": "", "FlowCytIntra-species-notes": "" }, "Mouse": { "IP-species-checked": "testedAndGuaranteed", "IP-species-dilution-info": "1/30", "IP-species-notes": "<p></p>", "WB-species-checked": "testedAndGuaranteed", "WB-species-dilution-info": "1/1000", "WB-species-notes": "<p></p>", "IHCP-species-checked": "testedAndGuaranteed", "IHCP-species-dilution-info": "1/10000", "IHCP-species-notes": "<p></p>", "FlowCytIntra-species-checked": "testedAndGuaranteed", "FlowCytIntra-species-dilution-info": "1/1000", "FlowCytIntra-species-notes": "<p></p>" }, "Rat": { "IP-species-checked": "notRecommended", "IP-species-dilution-info": "", "IP-species-notes": "", "WB-species-checked": "notRecommended", "WB-species-dilution-info": "", "WB-species-notes": "", "IHCP-species-checked": "notRecommended", "IHCP-species-dilution-info": "1/10000", "IHCP-species-notes": "<p></p>", "FlowCytIntra-species-checked": "notRecommended", "FlowCytIntra-species-dilution-info": "", "FlowCytIntra-species-notes": "" } } }

Product details

What are the advantages of a recombinant monoclonal antibody?
This product is a recombinant monoclonal antibody, which offers several advantages including:

  • - High batch-to-batch consistency and reproducibility
  • - Improved sensitivity and specificity
  • - Long-term security of supply
  • - Animal-free batch production

For more information, read more on recombinant antibodies.

Properties and storage information

Form
Liquid
Purification technique
Affinity purification Protein A
Storage buffer
pH: 7.2 - 7.4 Preservative: 0.01% Sodium azide Constituents: PBS, 40% Glycerol (glycerin, glycerine), 0.05% BSA
Shipped at conditions
Blue Ice
Appropriate short-term storage duration
1-2 weeks
Appropriate short-term storage conditions
+4°C
Appropriate long-term storage conditions
-20°C
Aliquoting information
Upon delivery aliquot
Storage information
Avoid freeze / thaw cycle

Product protocols

For this product, it's our understanding that no specific protocols are required. You can visit:

Target data

Nuclear receptor that binds DNA as a monomer to ROR response elements (RORE) containing a single core motif half-site 5'-AGGTCA-3' preceded by a short A-T-rich sequence. Key regulator of cellular differentiation, immunity, peripheral circadian rhythm as well as lipid, steroid, xenobiotics and glucose metabolism. Considered to have intrinsic transcriptional activity, have some natural ligands like oxysterols that act as agonists (25-hydroxycholesterol) or inverse agonists (7-oxygenated sterols), enhancing or repressing the transcriptional activity, respectively. Recruits distinct combinations of cofactors to target gene regulatory regions to modulate their transcriptional expression, depending on the tissue, time and promoter contexts (PubMed : 17666523, PubMed : 19381306, PubMed : 19965867, PubMed : 21853531, PubMed : 22789990, PubMed : 23723244). Regulates the circadian expression of clock genes such as CRY1, BMAL1 and NR1D1 in peripheral tissues and in a tissue-selective manner (PubMed : 22753030). Competes with NR1D1 for binding to their shared DNA response element on some clock genes such as BMAL1, CRY1 and NR1D1 itself, resulting in NR1D1-mediated repression or RORC-mediated activation of the expression, leading to the circadian pattern of clock genes expression. Therefore influences the period length and stability of the clock (PubMed : 22753030). Involved in the regulation of the rhythmic expression of genes involved in glucose and lipid metabolism, including PLIN2 and AVPR1A. Negative regulator of adipocyte differentiation through the regulation of early phase genes expression, such as MMP3. Controls adipogenesis as well as adipocyte size and modulates insulin sensitivity in obesity. In liver, has specific and redundant functions with RORA as positive or negative modulator of expression of genes encoding phase I and Phase II proteins involved in the metabolism of lipids, steroids and xenobiotics, such as SULT1E1 (PubMed : 21853531). Also plays also a role in the regulation of hepatocyte glucose metabolism through the regulation of G6PC1 and PCK1. Regulates the rhythmic expression of PROX1 and promotes its nuclear localization.. Isoform 2. Essential for thymopoiesis and the development of several secondary lymphoid tissues, including lymph nodes and Peyer's patches (PubMed : 10602018, PubMed : 14691482, PubMed : 16148126). Required for the generation of LTi (lymphoid tissue inducer) cells. Regulates thymocyte survival through DNA-binding on ROREs of target gene promoter regions and recruitment of coactivaros via the AF-2. Also plays a key role, downstream of IL6 and TGFB and synergistically with RORA, for lineage specification of uncommitted CD4(+) T-helper (T(H)) cells into T(H)17 cells, antagonizing the T(H)1 program. Probably regulates IL17 and IL17F expression on T(H) by binding to the essential enhancer conserved non-coding sequence 2 (CNS2) in the IL17-IL17F locus (PubMed : 16990136, PubMed : 18164222, PubMed : 26607793). May also play a role in the pre-TCR activation cascade leading to the maturation of alpha/beta T-cells and may participate in the regulation of DNA accessibility in the TCR-J(alpha) locus (PubMed : 10602018, PubMed : 14691482, PubMed : 16148126, PubMed : 16990136, PubMed : 18164222, PubMed : 9881970). Plays an indispensable role in the induction of IFN-gamma dependent anti-mycobacterial systemic immunity (By similarity).
See full target information Rorc

Publications (1)

Recent publications for all applications. Explore the full list and refine your search

Allergologia et immunopathologia 53:74-81 PubMed40088025

2025

Lysine hydroxylase 1 (PLOD1) regulates glucose metabolism and promotes Th17 cell differentiation in psoriasis.

Applications

Unspecified application

Species

Unspecified reactive species

Zhen Yue,Wanlu Zhang,Gege Zhu,Huiya Sun,Congjun Jiang
View all publications

Product promise

We are committed to supporting your work with high-quality reagents, and we're here for you every step of the way. In the unlikely event that one of our products does not perform as expected, you're protected by our Product Promise.
For full details, please see our Terms & Conditions

Please note: All products are 'FOR RESEARCH USE ONLY. NOT FOR USE IN DIAGNOSTIC OR THERAPEUTIC PROCEDURES'.

For licensing inquiries, please contact partnerships@abcam.com