JavaScript is disabled in your browser. Please enable JavaScript to view this website.
AB218105

Anti-ROR2 antibody [EPR19980]

Be the first to review this product! Submit a review

|

(5 Publications)

Knockout Tested Rabbit Recombinant Monoclonal ROR2 antibody. Suitable for IHC-P, WB and reacts with Human samples. Cited in 5 publications.

View Alternative Names

NTRKR2, ROR2, Tyrosine-protein kinase transmembrane receptor ROR2

7 Images
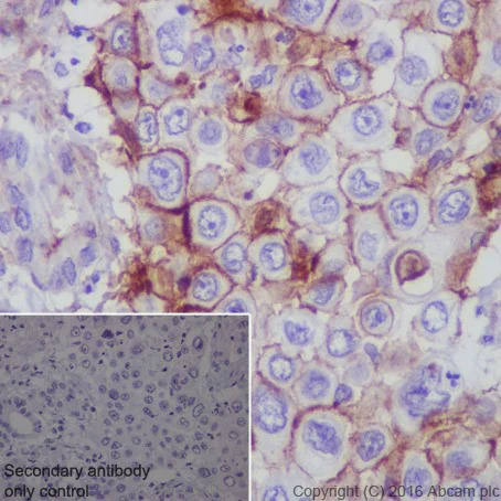
Immunohistochemistry (Formalin/PFA-fixed paraffin-embedded sections) - Anti-ROR2 antibody [EPR19980] (AB218105)
  • IHC-P

Supplier Data

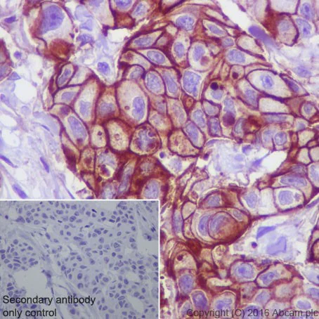
Immunohistochemistry (Formalin/PFA-fixed paraffin-embedded sections) - Anti-ROR2 antibody [EPR19980] (AB218105)

Immunohistochemical analysis of paraffin-embedded human bladder cancer tissue labeling ROR2 with ab218105 at 1/500 dilution followed by Goat Anti-Rabbit IgG H&L (HRP) Ready to use.

Membranous staining on human bladder cancer is observed.

Counter stained with Hematoxylin.

Secondary antibody only control : Used PBS instead of primary antibody secondary antibody is Goat Anti-Rabbit IgG H&L (HRP) Ready to use.

Perform heat mediated antigen retrieval with Tris/EDTA buffer pH 9.0 before commencing with IHC staining protocol.

Immunohistochemistry (Formalin/PFA-fixed paraffin-embedded sections) - Anti-ROR2 antibody [EPR19980] (AB218105)
  • IHC-P

Supplier Data

Immunohistochemistry (Formalin/PFA-fixed paraffin-embedded sections) - Anti-ROR2 antibody [EPR19980] (AB218105)

Immunohistochemical analysis of paraffin-embedded human breast cancer tissue labeling ROR2 with ab218105 at 1/500 dilution followed by Goat Anti-Rabbit IgG H&L (HRP) Ready to use.

Membranous staining on human breast cancer is observed.

Counter stained with Hematoxylin.

Secondary antibody only control : Used PBS instead of primary antibody secondary antibody is Goat Anti-Rabbit IgG H&L (HRP) Ready to use.

Perform heat mediated antigen retrieval with Tris/EDTA buffer pH 9.0 before commencing with IHC staining protocol.

Immunohistochemistry (Formalin/PFA-fixed paraffin-embedded sections) - Anti-ROR2 antibody [EPR19980] (AB218105)
  • IHC-P

Supplier Data

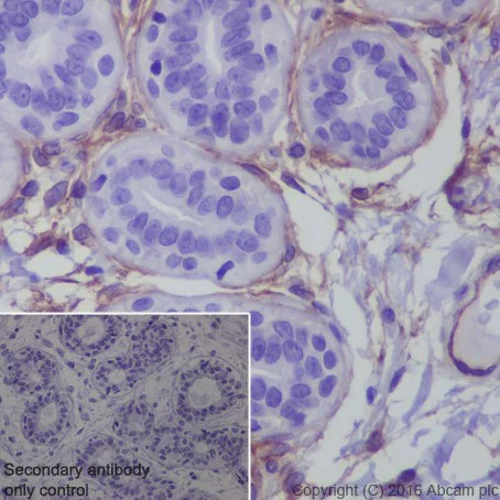
Immunohistochemistry (Formalin/PFA-fixed paraffin-embedded sections) - Anti-ROR2 antibody [EPR19980] (AB218105)

Immunohistochemical analysis of paraffin-embedded human breast tissue labeling ROR2 with ab218105 at 1/500 dilution followed by Goat Anti-Rabbit IgG H&L (HRP) Ready to use.

Positive membranous staining on human breast stroma cells; negative staining on epithelium cells.

Counter stained with Hematoxylin.

Secondary antibody only control : Used PBS instead of primary antibody secondary antibody is Goat Anti-Rabbit IgG H&L (HRP) Ready to use.

Perform heat mediated antigen retrieval with Tris/EDTA buffer pH 9.0 before commencing with IHC staining protocol.

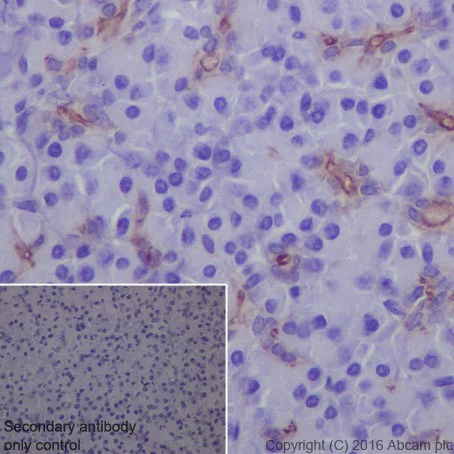
Immunohistochemistry (Formalin/PFA-fixed paraffin-embedded sections) - Anti-ROR2 antibody [EPR19980] (AB218105)
  • IHC-P

Supplier Data

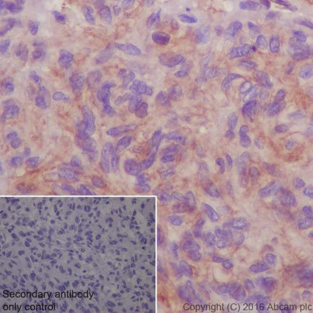
Immunohistochemistry (Formalin/PFA-fixed paraffin-embedded sections) - Anti-ROR2 antibody [EPR19980] (AB218105)

Immunohistochemical analysis of paraffin-embedded human pancreas tissue labeling ROR2 with ab218105 at 1/500 dilution followed by Goat Anti-Rabbit IgG H&L (HRP) Ready to use.

Positive membranous staining on human pancreas blood vessels; negative staining on epithelium cell.

Counter stained with Hematoxylin.

Secondary antibody only control : Used PBS instead of primary antibody secondary antibody is Goat Anti-Rabbit IgG H&L (HRP) Ready to use.

Perform heat mediated antigen retrieval with Tris/EDTA buffer pH 9.0 before commencing with IHC staining protocol.

Immunohistochemistry (Formalin/PFA-fixed paraffin-embedded sections) - Anti-ROR2 antibody [EPR19980] (AB218105)
  • IHC-P

Supplier Data

Immunohistochemistry (Formalin/PFA-fixed paraffin-embedded sections) - Anti-ROR2 antibody [EPR19980] (AB218105)

Immunohistochemical analysis of paraffin-embedded human pancreatic cancer tissue labeling ROR2 with ab218105 at 1/500 dilution followed by Goat Anti-Rabbit IgG H&L (HRP) Ready to use.

Membranous staining on human pancreatic cancer is observed.

Counter stained with Hematoxylin.

Secondary antibody only control : Used PBS instead of primary antibody secondary antibody is Goat Anti-Rabbit IgG H&L (HRP) Ready to use.

Perform heat mediated antigen retrieval with Tris/EDTA buffer pH 9.0 before commencing with IHC staining protocol.

Immunohistochemistry (Formalin/PFA-fixed paraffin-embedded sections) - Anti-ROR2 antibody [EPR19980] (AB218105)
  • IHC-P

Supplier Data

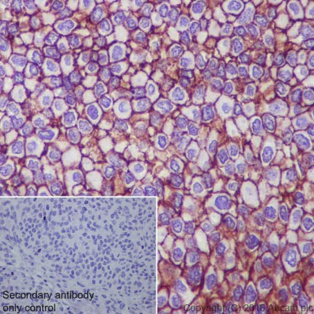
Immunohistochemistry (Formalin/PFA-fixed paraffin-embedded sections) - Anti-ROR2 antibody [EPR19980] (AB218105)

Immunohistochemical analysis of paraffin-embedded human gastrointestinal stromal tumors labeling ROR2 with ab218105 at 1/500 dilution followed by Goat Anti-Rabbit IgG H&L (HRP) Ready to use.

Cytoplasmic membrane staining on human gastrointestinal stromal tumors is observed.

Counter stained with Hematoxylin.

Secondary antibody only control : Used PBS instead of primary antibody secondary antibody is Goat Anti-Rabbit IgG H&L (HRP) Ready to use.

Perform heat mediated antigen retrieval with Tris/EDTA buffer pH 9.0 before commencing with IHC staining protocol.

Western blot - Anti-ROR2 antibody [EPR19980] (AB218105)
  • WB

Lab

Western blot - Anti-ROR2 antibody [EPR19980] (AB218105)

Western blot : Anti-ROR2 antibody [EPR19980] (ab218105) staining at 1/1000 dilution, shown in green; Mouse anti-Alpha Tubulin [DM1A] (ab7291) loading control staining at 1/20000 dilution, shown in magenta. In Western blot, ab218105 was shown to bind specifically to ROR2. A band was observed at 105-130 kDa in wild-type HAP1 cell lysates with no signal observed at this size in ROR2 knockout cell line. To generate this image, wild-type and ROR2 knockout HAP1 cell lysates were analysed. First, samples were run on an SDS-PAGE gel then transferred onto a nitrocellulose membrane. Membranes were blocked in 3 % milk in TBS-0.1 % Tween® 20 (TBS-T) before incubation with primary antibodies overnight at 4 °C. Blots were washed four times in TBS-T, incubated with secondary antibodies for 1 h at room temperature, washed again four times then imaged. Secondary antibodies used were Goat anti-Rabbit IgG H&L 800CW and Goat anti-Mouse IgG H&L 680RD at 1/20000 dilution.

All lanes:

Western blot - Anti-ROR2 antibody [EPR19980] (ab218105) at 1/1000 dilution

Lane 1:

Wild-type HAP1 cell lysate at 20 µg

Lane 2:

ROR2 knockout HAP1 cell lysate at 20 µg

Lane 2:

Western blot - Human ROR2 knockout Raji cell line (<a href='/en-us/products/cell-lines/human-ror2-knockout-raji-cell-line-ab290368'>ab290368</a>)

Lane 3:

HeLa cell lysate at 20 µg

Lane 4:

HepG2 cell lysate at 20 µg

Secondary

All lanes:

Goat anti-Rabbit IgG H&L 800CW and Goat anti-Mouse IgG H&L 680RD at 1/20000 dilution

Observed band size: 105-130 kDa

false

  • Carrier free

    Anti-ROR2 antibody [EPR19980] - BSA and Azide free

Key facts

Host species

Rabbit

Clonality

Monoclonal

Clone number

EPR19980

Isotype

IgG

Carrier free

No

Reacts with

Human

Applications

WB, IHC-P

applications

Immunogen

The exact immunogen used to generate this antibody is proprietary information.

Reactivity data

{ "title": "Reactivity Data", "filters": { "stats": ["", "Species", "Dilution Info", "Notes"], "tabs": { "all-applications": {"fullname" : "All Applications", "shortname": "All Applications"}, "IHCP" : {"fullname" : "Immunohistochemistry (Formalin/PFA-fixed paraffin-embedded sections)", "shortname":"IHC-P"}, "WB" : {"fullname" : "Western blot", "shortname":"WB"} }, "product-promise": { "all": "all", "testedAndGuaranteed": "tested", "guaranteed": "expected", "predicted": "predicted", "notRecommended": "not-recommended" } }, "values": { "Human": { "IHCP-species-checked": "testedAndGuaranteed", "IHCP-species-dilution-info": "1/500", "IHCP-species-notes": "<p>Antigen Retrieval Buffer (100X Tris-EDTA Buffer, pH 9.0) (<a href='/en-us/products/buffers/antigen-retrieval-buffer-100x-tris-edta-buffer-ph-90-ab93684'>ab93684</a>)</p>", "WB-species-checked": "testedAndGuaranteed", "WB-species-dilution-info": "", "WB-species-notes": "<p></p>" } } }

Product details

Patented technology
Our RabMAb® technology is a patented hybridoma-based technology for making rabbit monoclonal antibodies. For details on our patents, please refer to RabMAb® patents.

What are the advantages of a recombinant monoclonal antibody?
This product is a recombinant monoclonal antibody, which offers several advantages including:

  • - High batch-to-batch consistency and reproducibility
  • - Improved sensitivity and specificity
  • - Long-term security of supply
  • - Animal-free batch production

For more information, read more on recombinant antibodies.

Properties and storage information

Form
Liquid
Purification technique
Affinity purification Protein A
Storage buffer
pH: 7.2 - 7.4 Preservative: 0.01% Sodium azide Constituents: PBS, 40% Glycerol (glycerin, glycerine), 0.05% BSA
Shipped at conditions
Blue Ice
Appropriate short-term storage duration
1-2 weeks
Appropriate short-term storage conditions
+4°C
Appropriate long-term storage conditions
-20°C
Aliquoting information
Upon delivery aliquot
Storage information
Avoid freeze / thaw cycle

Product protocols

For this product, it's our understanding that no specific protocols are required. You can visit:

Target data

Tyrosine-protein kinase receptor which may be involved in the early formation of the chondrocytes. It seems to be required for cartilage and growth plate development (By similarity). Phosphorylates YWHAB, leading to induction of osteogenesis and bone formation (PubMed : 17717073). In contrast, has also been shown to have very little tyrosine kinase activity in vitro. May act as a receptor for wnt ligand WNT5A which may result in the inhibition of WNT3A-mediated signaling (PubMed : 25029443).
See full target information ROR2

Publications (5)

Recent publications for all applications. Explore the full list and refine your search

Molecular carcinogenesis 64:552-564 PubMed39763297

2025

A-to-I-Edited miR-1304-3p Inhibits Glycolysis and Tumor Growth of Esophageal Squamous Cell Carcinoma by Inactivating Wnt5a/ROR2 Signaling.

Applications

Unspecified application

Species

Unspecified reactive species

Peng Chen,Hang Zhou,Xian Yang,Yuzhen Zheng,Yujie Chen,Peiyuan Wang,Hao He,Shuoyan Liu,Feng Wang

Journal of biochemical and molecular toxicology 38:e70010 PubMed39428718

2024

WNT1/ROR2 pathway enhances the Triple-Negative breast cancer invasion, migration, and Epithelial-Mesenchymal transition.

Applications

Unspecified application

Species

Unspecified reactive species

Xin Jin,Chunlan Fu,Yusa Chen,Canguang Jin,Gaopei Jin,Junfeng Yan

Journal of cellular and molecular medicine 27:3539-3552 PubMed37749917

2023

ROR2 deficit may induce the tetralogy of Fallot via down-regulating of β-catenin/SOX3/HSPA6 in vitro and in vivo.

Applications

Unspecified application

Species

Unspecified reactive species

Rui Guo,Yiran Zhou Guo,Qing Zhou,Guoju Li,Zhanghui Du,Yefei Shi,Quansheng Xing

Molecular cancer 21:65 PubMed35246138

2022

De novo generation of the NPM-ALK fusion recapitulates the pleiotropic phenotypes of ALK+ ALCL pathogenesis and reveals the ROR2 receptor as target for tumor cells.

Applications

Unspecified application

Species

Unspecified reactive species

Loélia Babin,Alice Darchen,Elie Robert,Zakia Aid,Rosalie Borry,Claire Soudais,Marion Piganeau,Anne De Cian,Carine Giovannangeli,Olivia Bawa,Charlotte Rigaud,Jean-Yves Scoazec,Lucile Couronné,Layla Veleanu,Agata Cieslak,Vahid Asnafi,David Sibon,Laurence Lamant,Fabienne Meggetto,Thomas Mercher,Erika Brunet

American journal of physiology. Renal physiology : PubMed30623724

2019

TGF-β1 modifies histone acetylation and acetyl-coenzyme A metabolism in renal myofibroblasts.

Applications

Unspecified application

Species

Unspecified reactive species

Edward R Smith,Belinda Wigg,Stephen Holt,Timothy David Hewitson
View all publications

Product promise

We are committed to supporting your work with high-quality reagents, and we're here for you every step of the way. In the unlikely event that one of our products does not perform as expected, you're protected by our Product Promise.
For full details, please see our Terms & Conditions

Please note: All products are 'FOR RESEARCH USE ONLY. NOT FOR USE IN DIAGNOSTIC OR THERAPEUTIC PROCEDURES'.

For licensing inquiries, please contact partnerships@abcam.com