JavaScript is disabled in your browser. Please enable JavaScript to view this website.
AB251556

Anti-ROR2 antibody [EPR19980] - BSA and Azide free

Be the first to review this product! Submit a review

|

(0 Publication)

Knockout Tested Rabbit Recombinant Monoclonal ROR2 antibody. Carrier free. Suitable for IHC-P, WB and reacts with Human samples.

View Alternative Names

NTRKR2, ROR2, Tyrosine-protein kinase transmembrane receptor ROR2

7 Images
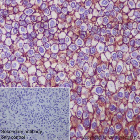
Immunohistochemistry (Formalin/PFA-fixed paraffin-embedded sections) - Anti-ROR2 antibody [EPR19980] - BSA and Azide free (AB251556)
  • IHC-P

Supplier Data

Immunohistochemistry (Formalin/PFA-fixed paraffin-embedded sections) - Anti-ROR2 antibody [EPR19980] - BSA and Azide free (AB251556)

This data was developed using ab218105, the same antibody clone in a different buffer formulation.

Immunohistochemical analysis of paraffin-embedded human bladder cancer tissue labeling ROR2 with ab218105 at 1/500 dilution, followed by Goat Anti-Rabbit IgG H&L (HRP) Ready to use.

Membranous staining on human bladder cancer is observed.

Counter stained with Hematoxylin.

Secondary antibody only control : Used PBS instead of primary antibody, secondary antibody is Goat Anti-Rabbit IgG H&L (HRP) Ready to use.

Perform heat mediated antigen retrieval with Tris/EDTA buffer pH 9.0 before commencing with IHC staining protocol.

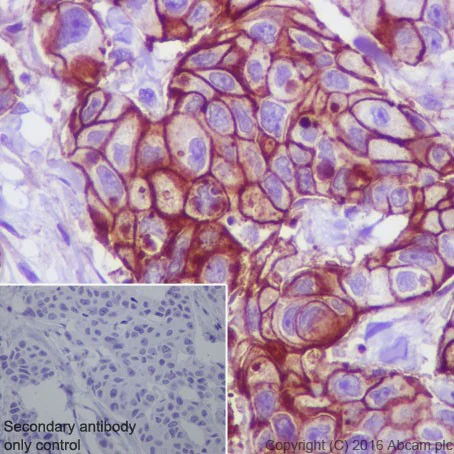
Immunohistochemistry (Formalin/PFA-fixed paraffin-embedded sections) - Anti-ROR2 antibody [EPR19980] - BSA and Azide free (AB251556)
  • IHC-P

Supplier Data

Immunohistochemistry (Formalin/PFA-fixed paraffin-embedded sections) - Anti-ROR2 antibody [EPR19980] - BSA and Azide free (AB251556)

This data was developed using ab218105, the same antibody clone in a different buffer formulation.

Immunohistochemical analysis of paraffin-embedded human breast cancer tissue labeling ROR2 with ab218105 at 1/500 dilution, followed by Goat Anti-Rabbit IgG H&L (HRP) Ready to use.

Membranous staining on human breast cancer is observed.

Counter stained with Hematoxylin.

Secondary antibody only control : Used PBS instead of primary antibody, secondary antibody is Goat Anti-Rabbit IgG H&L (HRP) Ready to use.

Perform heat mediated antigen retrieval with Tris/EDTA buffer pH 9.0 before commencing with IHC staining protocol.

Immunohistochemistry (Formalin/PFA-fixed paraffin-embedded sections) - Anti-ROR2 antibody [EPR19980] - BSA and Azide free (AB251556)
  • IHC-P

Supplier Data

Immunohistochemistry (Formalin/PFA-fixed paraffin-embedded sections) - Anti-ROR2 antibody [EPR19980] - BSA and Azide free (AB251556)

This data was developed using ab218105, the same antibody clone in a different buffer formulation.

Immunohistochemical analysis of paraffin-embedded human breast tissue labeling ROR2 with ab218105 at 1/500 dilution, followed by Goat Anti-Rabbit IgG H&L (HRP) Ready to use.

Positive membranous staining on human breast stroma cells; negative staining on epithelium cells.

Counter stained with Hematoxylin.

Secondary antibody only control : Used PBS instead of primary antibody, secondary antibody is Goat Anti-Rabbit IgG H&L (HRP) Ready to use.

Perform heat mediated antigen retrieval with Tris/EDTA buffer pH 9.0 before commencing with IHC staining protocol.

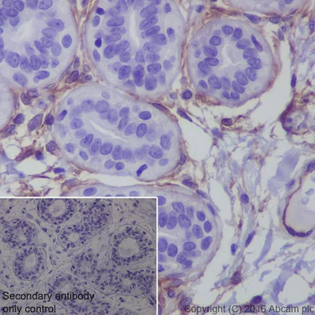
Immunohistochemistry (Formalin/PFA-fixed paraffin-embedded sections) - Anti-ROR2 antibody [EPR19980] - BSA and Azide free (AB251556)
  • IHC-P

Supplier Data

Immunohistochemistry (Formalin/PFA-fixed paraffin-embedded sections) - Anti-ROR2 antibody [EPR19980] - BSA and Azide free (AB251556)

This data was developed using ab218105, the same antibody clone in a different buffer formulation.

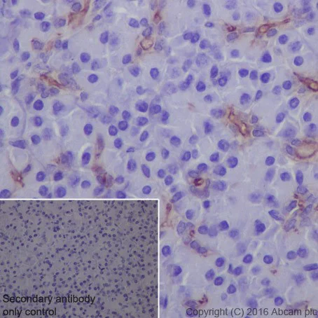
Immunohistochemical analysis of paraffin-embedded human pancreas tissue labeling ROR2 with ab218105 at 1/500 dilution, followed by Goat Anti-Rabbit IgG H&L (HRP) Ready to use.

Positive membranous staining on human pancreas blood vessels; negative staining on epithelium cell.

Counter stained with Hematoxylin.

Secondary antibody only control : Used PBS instead of primary antibody, secondary antibody is Goat Anti-Rabbit IgG H&L (HRP) Ready to use.

Perform heat mediated antigen retrieval with Tris/EDTA buffer pH 9.0 before commencing with IHC staining protocol.

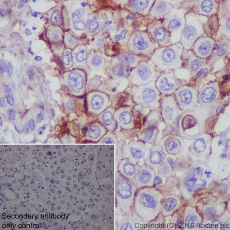
Immunohistochemistry (Formalin/PFA-fixed paraffin-embedded sections) - Anti-ROR2 antibody [EPR19980] - BSA and Azide free (AB251556)
  • IHC-P

Supplier Data

Immunohistochemistry (Formalin/PFA-fixed paraffin-embedded sections) - Anti-ROR2 antibody [EPR19980] - BSA and Azide free (AB251556)

This data was developed using ab218105, the same antibody clone in a different buffer formulation.

Immunohistochemical analysis of paraffin-embedded human pancreatic cancer tissue labeling ROR2 with ab218105 at 1/500 dilution, followed by Goat Anti-Rabbit IgG H&L (HRP) Ready to use.

Membranous staining on human pancreatic cancer is observed.

Counter stained with Hematoxylin.

Secondary antibody only control : Used PBS instead of primary antibody, secondary antibody is Goat Anti-Rabbit IgG H&L (HRP) Ready to use.

Perform heat mediated antigen retrieval with Tris/EDTA buffer pH 9.0 before commencing with IHC staining protocol.

Immunohistochemistry (Formalin/PFA-fixed paraffin-embedded sections) - Anti-ROR2 antibody [EPR19980] - BSA and Azide free (AB251556)
  • IHC-P

Supplier Data

Immunohistochemistry (Formalin/PFA-fixed paraffin-embedded sections) - Anti-ROR2 antibody [EPR19980] - BSA and Azide free (AB251556)

This data was developed using ab218105, the same antibody clone in a different buffer formulation.

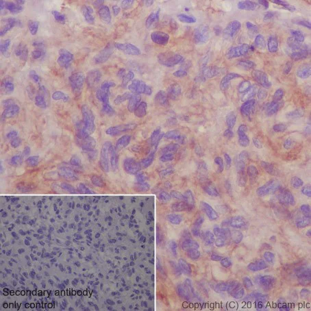
Immunohistochemical analysis of paraffin-embedded human gastrointestinal stromal tumors labeling ROR2 with ab218105 at 1/500 dilution, followed by Goat Anti-Rabbit IgG H&L (HRP) Ready to use.

Cytoplasmic membrane staining on human gastrointestinal stromal tumors is observed.

Counter stained with Hematoxylin.

Secondary antibody only control : Used PBS instead of primary antibody, secondary antibody is Goat Anti-Rabbit IgG H&L (HRP) Ready to use.

Perform heat mediated antigen retrieval with Tris/EDTA buffer pH 9.0 before commencing with IHC staining protocol.

Western blot - Anti-ROR2 antibody [EPR19980] - BSA and Azide free (AB251556)
  • WB

Lab

Western blot - Anti-ROR2 antibody [EPR19980] - BSA and Azide free (AB251556)

This data was developed using the same antibody clone in a different buffer formulation (ab218105 ).

Western blot : Anti-ROR2 antibody [EPR19980] (ab218105) staining at 1/1000 dilution, shown in green; Mouse anti-Alpha Tubulin [DM1A] (ab7291) loading control staining at 1/20000 dilution, shown in magenta. In Western blot, ab218105 was shown to bind specifically to ROR2. A band was observed at 105-130 kDa in wild-type HAP1 cell lysates with no signal observed at this size in ROR2 knockout cell line. To generate this image, wild-type and ROR2 knockout HAP1 cell lysates were analysed. First, samples were run on an SDS-PAGE gel then transferred onto a nitrocellulose membrane. Membranes were blocked in 3 % milk in TBS-0.1 % Tween® 20 (TBS-T) before incubation with primary antibodies overnight at 4 °C. Blots were washed four times in TBS-T, incubated with secondary antibodies for 1 h at room temperature, washed again four times then imaged. Secondary antibodies used were Goat anti-Rabbit IgG H&L 800CW and Goat anti-Mouse IgG H&L 680RD at 1/20000 dilution.

All lanes:

Western blot - Anti-ROR2 antibody [EPR19980] (<a href='/en-us/products/primary-antibodies/ror2-antibody-epr19980-ab218105'>ab218105</a>) at 1/1000 dilution

Lane 1:

Wild-type HAP1 cell lysate at 20 µg

Lane 2:

ROR2 knockout HAP1 cell lysate at 20 µg

Lane 2:

Western blot - Human ROR2 knockout Raji cell line (<a href='/en-us/products/cell-lines/human-ror2-knockout-raji-cell-line-ab290368'>ab290368</a>)

Lane 3:

HeLa cell lysate at 20 µg

Lane 4:

HepG2 cell lysate at 20 µg

Secondary

All lanes:

Goat anti-Rabbit IgG H&L 800CW and Goat anti-Mouse IgG H&L 680RD at 1/20000 dilution

Observed band size: 105-130 kDa

false

Key facts

Host species

Rabbit

Clonality

Monoclonal

Clone number

EPR19980

Isotype

IgG

Carrier free

Yes

Reacts with

Human

Applications

WB, IHC-P

applications

Immunogen

The exact immunogen used to generate this antibody is proprietary information.

Reactivity data

{ "title": "Reactivity Data", "filters": { "stats": ["", "Species", "Dilution Info", "Notes"], "tabs": { "all-applications": {"fullname" : "All Applications", "shortname": "All Applications"}, "IHCP" : {"fullname" : "Immunohistochemistry (Formalin/PFA-fixed paraffin-embedded sections)", "shortname":"IHC-P"}, "WB" : {"fullname" : "Western blot", "shortname":"WB"} }, "product-promise": { "all": "all", "testedAndGuaranteed": "tested", "guaranteed": "expected", "predicted": "predicted", "notRecommended": "not-recommended" } }, "values": { "Human": { "IHCP-species-checked": "testedAndGuaranteed", "IHCP-species-dilution-info": "", "IHCP-species-notes": "<p>Antigen Retrieval Buffer (100X Tris-EDTA Buffer, pH 9.0) (<a href='/en-us/products/buffers/antigen-retrieval-buffer-100x-tris-edta-buffer-ph-90-ab93684'>ab93684</a>).</p>", "WB-species-checked": "testedAndGuaranteed", "WB-species-dilution-info": "", "WB-species-notes": "<p></p>" } } }

Product details

ab251556 is the carrier-free version of ab218105.

Patented technology
Our RabMAb® technology is a patented hybridoma-based technology for making rabbit monoclonal antibodies. For details on our patents, please refer to RabMAb® patents.

What are the advantages of a recombinant monoclonal antibody?
This product is a recombinant monoclonal antibody, which offers several advantages including:

  • - High batch-to-batch consistency and reproducibility
  • - Improved sensitivity and specificity
  • - Long-term security of supply
  • - Animal-free batch production

For more information, read more on recombinant antibodies.

Conjugation ready
Our carrier-free antibodies are typically supplied in a PBS-only formulation, purified and free of BSA, sodium azide and glycerol. This conjugation-ready format is designed for use with fluorochromes, metal isotopes, oligonucleotides, and enzymes, which makes them ideal for antibody labelling, functional and cell-based assays, flow-based assays (e.g. mass cytometry) and Multiplex Imaging applications.

Use our conjugation kits for antibody conjugates that are ready-to-use in as little as 20 minutes with 1 minute hands-on-time and 100% antibody recovery: available for fluorescent dyes, HRP, biotin and gold.

Compatibility
This product is compatible with the Maxpar® Antibody Labeling Kit from Fluidigm, without the need for antibody preparation. Maxpar® is a trademark of Fluidigm Canada Inc.

Properties and storage information

Form
Liquid
Purification technique
Affinity purification Protein A
Storage buffer
pH: 7.2 - 7.4 Constituents: PBS
Shipped at conditions
Blue Ice
Appropriate short-term storage conditions
+4°C
Appropriate long-term storage conditions
+4°C
Storage information
Do Not Freeze

Product protocols

For this product, it's our understanding that no specific protocols are required. You can visit:

Target data

Tyrosine-protein kinase receptor which may be involved in the early formation of the chondrocytes. It seems to be required for cartilage and growth plate development (By similarity). Phosphorylates YWHAB, leading to induction of osteogenesis and bone formation (PubMed : 17717073). In contrast, has also been shown to have very little tyrosine kinase activity in vitro. May act as a receptor for wnt ligand WNT5A which may result in the inhibition of WNT3A-mediated signaling (PubMed : 25029443).
See full target information ROR2

Product promise

We are committed to supporting your work with high-quality reagents, and we're here for you every step of the way. In the unlikely event that one of our products does not perform as expected, you're protected by our Product Promise.
For full details, please see our Terms & Conditions

Please note: All products are 'FOR RESEARCH USE ONLY. NOT FOR USE IN DIAGNOSTIC OR THERAPEUTIC PROCEDURES'.

For licensing inquiries, please contact partnerships@abcam.com