JavaScript is disabled in your browser. Please enable JavaScript to view this website.
AB189925

Anti-ROS1 antibody [EPMGHR2]

2

(1 Review)

|

(3 Publications)

Anti-ROS1 antibody [EPMGHR2] (ab189925) is a rabbit monoclonal antibody detecting ROS1 in Western Blot, IHC-P. Suitable for Human.

- Biophysical QC for unrivalled batch-batch consistency

View Alternative Names

MCF3, ROS, ROS1, Proto-oncogene tyrosine-protein kinase ROS, Proto-oncogene c-Ros, Proto-oncogene c-Ros-1, Receptor tyrosine kinase c-ros oncogene 1, c-Ros receptor tyrosine kinase

4 Images
Immunohistochemistry (Formalin/PFA-fixed paraffin-embedded sections) - Anti-ROS1 antibody [EPMGHR2] (AB189925)
  • IHC-P

Lab

Immunohistochemistry (Formalin/PFA-fixed paraffin-embedded sections) - Anti-ROS1 antibody [EPMGHR2] (AB189925)

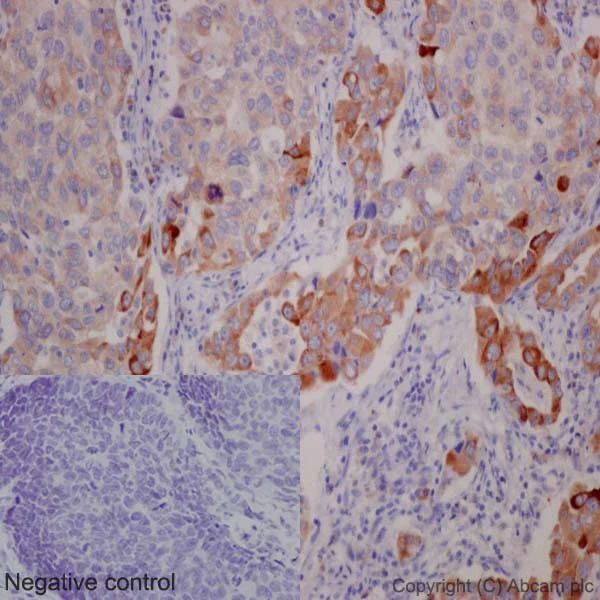
Immunohistochemistry (Formalin/PFA-fixed paraffin-embedded sections) analysis of human lung carcinoma tissue sections labeling ROS1 with Purified ab189925 at 1 : 300 dilution (5.23 μg/ml). Heat mediated antigen retrieval was performed using EDTA Buffer, pH9.0. Tissue was counterstained with hematoxylin. ImmunoHistoProbe one step HRP Polymer (ready to use) secondary antibody was used at 1 : 0 dilution. PBS instead of the primary antibody was used as the negative control.

Immunohistochemistry (Formalin/PFA-fixed paraffin-embedded sections) - Anti-ROS1 antibody [EPMGHR2] (AB189925)
  • IHC-P

Supplier Data

Immunohistochemistry (Formalin/PFA-fixed paraffin-embedded sections) - Anti-ROS1 antibody [EPMGHR2] (AB189925)

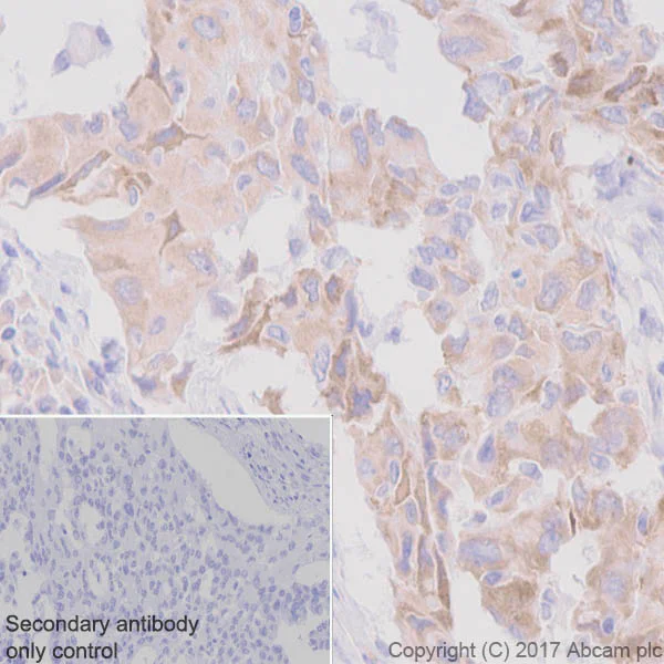
Immunohistochemical analysis of paraffin-embedded Human lung carcinoma tissue labeling ROS1 with unpurified ab189925 at 1/250 dilution followed by prediluted HRP Polymer for Rabbit IgG. Counter stained with hematoxylin. (Inset : negative control).

Perform heat mediated antigen retrieval with Tris/EDTA buffer pH 9.0 before commencing with IHC staining protocol.

Western blot - Anti-ROS1 antibody [EPMGHR2] (AB189925)
  • WB

Lab

Western blot - Anti-ROS1 antibody [EPMGHR2] (AB189925)

Blocking buffer and concentration : 5% NFDM/TBST Diluting buffer and concentration : 5% NFDM /TBST We advise using U-118MG (FIG-ROS1 fusion) or HCC78 (SLC34A2-ROS1 fusion) as a positive cell line by WB. We have been unable to identify a positive control cell line for endogenous full-length ROS1. The identity of the lower MW band at approximately 60kDa is unknown.

All lanes:

Western blot - Anti-ROS1 antibody [EPMGHR2] (ab189925) at 1/1000 dilution

Lane 1:

U-118 MG (Human brain glioblastoma) whole cell lysate at 20 µg

Lane 2:

Saos-2 (Human osteosarcoma epithelial) whole cell lysate at 20 µg

Lane 3:

SW1353 (Human chondrosarcoma fibroblast) whole cell lysate at 20 µg

Secondary

All lanes:

Western blot - Goat Anti-Rabbit IgG H&L (HRP) (<a href='/en-us/products/secondary-antibodies/goat-rabbit-igg-h-l-hrp-ab97051'>ab97051</a>) at 1/20000 dilution

Predicted band size: 264 kDa

Observed band size: 100 kDa

false

Exposure time: 180s

Western blot - Anti-ROS1 antibody [EPMGHR2] (AB189925)
  • WB

Supplier Data

Western blot - Anti-ROS1 antibody [EPMGHR2] (AB189925)

Blocking and diluting buffer and concentration : 5% NFDM/TBST.

U-118MG cells carry the FIG-ROS1 fusion (PMID : 12661006). Tyrosine phosphorylated ROS1 is downregulated in response to crizotinib treatment (PMID : 24971615)

In Western blot, Anti-GAPDH antibody [EPR16891] - Loading Control (ab181602) staining at 1/200000 dilution.

All lanes:

Western blot - Anti-Phospho-ROS1 (Tyr2274/2334) antibody [EPR28163-133] (<a href='/en-us/products/primary-antibodies/phospho-ros1-tyr2274-2334-antibody-epr28163-133-ab324617'>ab324617</a>) at 1/1000 dilution

Lane 1:

Untreated U-118 MG (human brain glioblastoma cell) whole cell lysate (untreated membrane) at 50 µg

Lane 2:

U-118 MG treated with 250 nM crizotinib for 4 hours whole cell lysate (untreated membrane) at 50 µg

Lane 3:

Untreated U-118 MG whole cell lysate (alkaline phosphatase treated membrane) at 50 µg

Lane 4:

U-118 MG treated with 250 nM crizotinib for 4 hours whole cell lysate (alkaline phosphatase treated membrane) at 50 µg

Secondary

All lanes:

Western blot - Goat Anti-Rabbit IgG H&L (HRP) (<a href='/en-us/products/secondary-antibodies/goat-rabbit-igg-h-l-hrp-ab97051'>ab97051</a>) at 1/20000 dilution

Observed band size: 110 kDa,36 kDa

false

Exposure time: 180s

Key facts

Host species

Rabbit

Clonality

Monoclonal

Clone number

EPMGHR2

Isotype

IgG

Carrier free

No

Reacts with

Human

Applications

WB, IHC-P

applications

Immunogen

The exact immunogen used to generate this antibody is proprietary information.

Reactivity data

{ "title": "Reactivity Data", "filters": { "stats": ["", "Species", "Dilution Info", "Notes"], "tabs": { "all-applications": {"fullname" : "All Applications", "shortname": "All Applications"}, "WB" : {"fullname" : "Western blot", "shortname":"WB"}, "IHCP" : {"fullname" : "Immunohistochemistry (Formalin/PFA-fixed paraffin-embedded sections)", "shortname":"IHC-P"} }, "product-promise": { "all": "all", "testedAndGuaranteed": "tested", "guaranteed": "expected", "predicted": "predicted", "notRecommended": "not-recommended" } }, "values": { "Human": { "WB-species-checked": "testedAndGuaranteed", "WB-species-dilution-info": "1/1000", "WB-species-notes": "<p></p>", "IHCP-species-checked": "testedAndGuaranteed", "IHCP-species-dilution-info": "1/300", "IHCP-species-notes": "<p><strong>For unpurified use at 1/100-1/250. </strong></p>" } } }

Product details

What is this antibody validated in?
Anti-ROS1 antibody [EPMGHR2] (ab189925) is a rabbit recombinant monoclonal antibody and is validated for use in Western Blot (WB), Immunohistochemistry (IHC-P) in Human samples.

What is the molecular weight of ROS1?
Anti-ROS1 [EPMGHR2] (ab189925) specifically detects a band for ROS1 (UniProt: P08922) at a molecular weight of 264kDa.

Trial sizes available!
Test your antibody or perform pre-screening before committing to a larger quantity. Sold in 10µl. Discover our selection of trial-size antibodies.

Other related products
We have a range of other formats of antibody clone [EPMGHR2] also available for your convenience: ab189925, Alexa Fluor® 647 - ab225354, Alexa Fluor® 488 - ab225355, Carrier free - ab238986

Patented technology
Our RabMAb® technology is a patented hybridoma-based technology for making rabbit monoclonal antibodies. For details on our patents, please refer to RabMAb® patents.

What are the advantages of a recombinant monoclonal antibody?
This product is a recombinant monoclonal antibody, which offers several advantages including:

  • - High batch-to-batch consistency and reproducibility
  • - Improved sensitivity and specificity
  • - Long-term security of supply
  • - Animal-free batch production

For more information, read more on recombinant antibodies.

Properties and storage information

Form
Liquid
Purification technique
Affinity purification Protein A
Storage buffer
pH: 7.2 - 7.4 Preservative: 0.01% Sodium azide Constituents: PBS, 40% Glycerol (glycerin, glycerine), 0.05% BSA
Shipped at conditions
Blue Ice
Appropriate short-term storage duration
1-2 weeks
Appropriate short-term storage conditions
+4°C
Appropriate long-term storage conditions
-20°C
Aliquoting information
Upon delivery aliquot
Storage information
Avoid freeze / thaw cycle

Product protocols

For this product, it's our understanding that no specific protocols are required. You can visit:

Target data

Receptor tyrosine kinase (RTK) that plays a role in epithelial cell differentiation and regionalization of the proximal epididymal epithelium. NELL2 is an endogenous ligand for ROS1. Upon endogenous stimulation by NELL2, ROS1 activates the intracellular signaling pathway and triggers epididymal epithelial differentiation and subsequent sperm maturation (By similarity). May activate several downstream signaling pathways related to cell differentiation, proliferation, growth and survival including the PI3 kinase-mTOR signaling pathway. Mediates the phosphorylation of PTPN11, an activator of this pathway. May also phosphorylate and activate the transcription factor STAT3 to control anchorage-independent cell growth. Mediates the phosphorylation and the activation of VAV3, a guanine nucleotide exchange factor regulating cell morphology. May activate other downstream signaling proteins including AKT1, MAPK1, MAPK3, IRS1 and PLCG2.
See full target information ROS1

Publications (3)

Recent publications for all applications. Explore the full list and refine your search

Frontiers in pharmacology 16:1563865 PubMed40166471

2025

Metformin upregulates circadian gene PER2 to inhibit growth and enhance the sensitivity of glioblastoma cell lines to radiotherapy via SIRT2/G6PD pathway.

Applications

Unspecified application

Species

Unspecified reactive species

Hailiang Li,Zheng Ma,Wanfu Yang,Yifan Zhang,Jinping Sun,Haifeng Jiang,Faxuan Wang,Li Hou,Hechun Xia

BMC cancer 21:1307 PubMed34876051

2021

Ivermectin induces apoptosis of esophageal squamous cell carcinoma via mitochondrial pathway.

Applications

Unspecified application

Species

Unspecified reactive species

Nana Xu,Mengmeng Lu,Jiaxin Wang,Yujia Li,Xiaotian Yang,Xiajie Wei,Jiaoyang Si,Jingru Han,Xiaojuan Yao,Juanmei Zhang,Junqi Liu,Yanming Li,Hushan Yang,Dengke Bao

Lung Cancer (Auckland, N.Z.) 8:45-55 PubMed28740441

2017

Detection of ROS1 rearrangement in non-small cell lung cancer: current and future perspectives.

Applications

IHC

Species

Unspecified reactive species

Giulio Rossi,Genny Jocollé,Antonia Conti,Marcello Tiseo,Federica Zito Marino,Giovanni Donati,Renato Franco,Francesca Bono,Francesca Barbisan,Francesco Facchinetti
View all publications

Product promise

We are committed to supporting your work with high-quality reagents, and we're here for you every step of the way. In the unlikely event that one of our products does not perform as expected, you're protected by our Product Promise.
For full details, please see our Terms & Conditions

Please note: All products are 'FOR RESEARCH USE ONLY. NOT FOR USE IN DIAGNOSTIC OR THERAPEUTIC PROCEDURES'.

For licensing inquiries, please contact partnerships@abcam.com