JavaScript is disabled in your browser. Please enable JavaScript to view this website.
AB155335

Anti-ROX antibody

Be the first to review this product! Submit a review

|

(2 Publications)

Rabbit Polyclonal ROX antibody. Suitable for WB, IHC-P and reacts with Human samples. Cited in 2 publications. Immunogen corresponding to Recombinant Fragment Protein within Human RIOX2 aa 1-200.

View Alternative Names

MDIG, MINA, MINA53, NO52, RIOX2, Ribosomal oxygenase 2, 60S ribosomal protein L27a histidine hydroxylase, Bifunctional lysine-specific demethylase and histidyl-hydroxylase MINA, Histone lysine demethylase MINA, MYC-induced nuclear antigen, Mineral dust-induced gene protein, Nucleolar protein 52, Ribosomal oxygenase MINA, ROX

2 Images
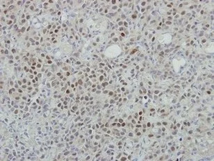
Immunohistochemistry (Formalin/PFA-fixed paraffin-embedded sections) - Anti-ROX antibody (AB155335)
  • IHC-P

Unknown

Immunohistochemistry (Formalin/PFA-fixed paraffin-embedded sections) - Anti-ROX antibody (AB155335)

Immunohistochemical analysis of paraffin embedded HBL435 xenograft, labeling ROX with ab155335 at 1/500.

Western blot - Anti-ROX antibody (AB155335)
  • WB

Unknown

Western blot - Anti-ROX antibody (AB155335)

10% SDS PAGE

All lanes:

Western blot - Anti-ROX antibody (ab155335) at 1/2000 dilution

All lanes:

Jurkat whole cell lysate at 30 µg

Predicted band size: 53 kDa

false

Key facts

Host species

Rabbit

Clonality

Polyclonal

Isotype

IgG

Carrier free

No

Reacts with

Human

Applications

IHC-P, WB

applications

Immunogen

Recombinant Fragment Protein within Human RIOX2 aa 1-200. The exact immunogen used to generate this antibody is proprietary information.

Q8IUF8

Reactivity data

{ "title": "Reactivity Data", "filters": { "stats": ["", "Species", "Dilution Info", "Notes"], "tabs": { "all-applications": {"fullname" : "All Applications", "shortname": "All Applications"}, "WB" : {"fullname" : "Western blot", "shortname":"WB"}, "IHCP" : {"fullname" : "Immunohistochemistry (Formalin/PFA-fixed paraffin-embedded sections)", "shortname":"IHC-P"} }, "product-promise": { "all": "all", "testedAndGuaranteed": "tested", "guaranteed": "expected", "predicted": "predicted", "notRecommended": "not-recommended" } }, "values": { "Human": { "WB-species-checked": "testedAndGuaranteed", "WB-species-dilution-info": "1/500 - 1/3000", "WB-species-notes": "<p></p>", "IHCP-species-checked": "testedAndGuaranteed", "IHCP-species-dilution-info": "", "IHCP-species-notes": "<p>Suggested antigen retrieval using heat mediated 10mM citrate buffer (pH 6.0) or Tris-EDTA buffer (pH 8.0).</p>" } } }

Properties and storage information

Form
Liquid
Purification technique
Affinity purification Immunogen
Storage buffer
pH: 7 Preservative: 0.01% Thimerosal (merthiolate) Constituents: 20% Glycerol (glycerin, glycerine), 1.21% Tris, 0.75% Glycine
Shipped at conditions
Blue Ice
Appropriate short-term storage conditions
+4°C
Appropriate long-term storage conditions
-20°C
Aliquoting information
Upon delivery aliquot
Storage information
Avoid freeze / thaw cycle

Product protocols

For this product, it's our understanding that no specific protocols are required. You can visit:

Target data

Oxygenase that can act as both a histone lysine demethylase and a ribosomal histidine hydroxylase. Is involved in the demethylation of trimethylated 'Lys-9' on histone H3 (H3K9me3), leading to an increase in ribosomal RNA expression. Also catalyzes the hydroxylation of 60S ribosomal protein L27a on 'His-39'. May play an important role in cell growth and survival. May be involved in ribosome biogenesis, most likely during the assembly process of pre-ribosomal particles.
See full target information RIOX2

Publications (2)

Recent publications for all applications. Explore the full list and refine your search

Cancer research 80:2599-2611 PubMed32312832

2020

ZNF143-Mediated H3K9 Trimethylation Upregulates CDC6 by Activating MDIG in Hepatocellular Carcinoma.

Applications

Unspecified application

Species

Unspecified reactive species

Lili Zhang,Qi Huo,Chao Ge,Fangyu Zhao,Qingqing Zhou,Xiaoxia Chen,Hua Tian,Taoyang Chen,Haiyang Xie,Ying Cui,Ming Yao,Hong Li,Jinjun Li

Cell death & disease 8:e2766 PubMed28471446

2017

Dysfunction of IKZF1/MYC/MDIG axis contributes to liver cancer progression through regulating H3K9me3/p21 activity.

Applications

WB

Species

Human

Qi Huo,Chao Ge,Hua Tian,Ji Sun,Meiling Cui,Hong Li,Fangyu Zhao,Taoyang Chen,Haiyang Xie,Ying Cui,Ming Yao,Jinjun Li
View all publications

Product promise

We are committed to supporting your work with high-quality reagents, and we're here for you every step of the way. In the unlikely event that one of our products does not perform as expected, you're protected by our Product Promise.
For full details, please see our Terms & Conditions

Please note: All products are 'FOR RESEARCH USE ONLY. NOT FOR USE IN DIAGNOSTIC OR THERAPEUTIC PROCEDURES'.

For licensing inquiries, please contact partnerships@abcam.com