JavaScript is disabled in your browser. Please enable JavaScript to view this website.
AB184956

Anti-RP105 antibody [EPR14720]

Be the first to review this product! Submit a review

|

(4 Publications)

Rabbit Recombinant Monoclonal RP105 antibody. Suitable for WB, ICC/IF, IHC-P and reacts with Human, Mouse samples. Cited in 4 publications.

View Alternative Names

CD180, LY64, RP105, CD180 antigen, Lymphocyte antigen 64, Radioprotective 105 kDa protein

9 Images
Immunocytochemistry/ Immunofluorescence - Anti-RP105 antibody [EPR14720] (AB184956)
  • ICC/IF

Lab

Immunocytochemistry/ Immunofluorescence - Anti-RP105 antibody [EPR14720] (AB184956)

Immunofluorescent analysis of 80% Methanol, 0.1% Triton X-100 permeabilized WEHI-231 (mouse B cell lymphoma B lymphocyte) cells with ab184956 at 1/50 dilution concentration followed by ab150081 Goat Anti-Rabbit IgG H&L (Alexa Fluor® 488) preadsorbed antibody at 1/1000 (2 μg/ml dilution (Green). Image showing cytoplasmic staining in WEHI-231 cell line (shown in green). ab7291 Anti-alpha Tubulin antibody [DM1A] was used to counterstain tubulin at 1/1000 dilution (Magenta) and ab150120 Goat Anti-Mouse IgG H&L (Alexa Fluor® 594) was used as secondary counterstain at 1/1000 dilution. The nuclear counterstain was DAPI (Blue). Image was taken with a confocal microscope (Leica-Microsystems, TCS SP8). Negative control : NIH/3T3.

Immunocytochemistry/ Immunofluorescence - Anti-RP105 antibody [EPR14720] (AB184956)
  • ICC/IF

Supplier Data

Immunocytochemistry/ Immunofluorescence - Anti-RP105 antibody [EPR14720] (AB184956)

Immunocytochemical analysis of Ramos cells labeling RP105 with ab184956 at 1/100 dilution and Goat anti rabbit IgG (Alexa Fluor®488) at 1/200 dilution. Counterstained with DAPI. Cells fixation : -20°C Acetone.

Immunohistochemistry (Formalin/PFA-fixed paraffin-embedded sections) - Anti-RP105 antibody [EPR14720] (AB184956)
  • IHC-P

Supplier Data

Immunohistochemistry (Formalin/PFA-fixed paraffin-embedded sections) - Anti-RP105 antibody [EPR14720] (AB184956)

Immunohistochemical analysis of paraffin-embedded human spleen tissue labeling RP105 with ab184956 at 1/500 dilution and HRP Polymer to Rabbit IgG. Counterstained with Hematoxylin.

Perform heat mediated antigen retrieval with EDTA buffer pH 9 before commencing with IHC staining protocol.

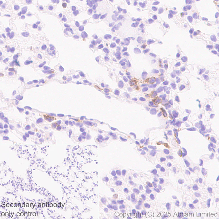
Immunohistochemistry (Formalin/PFA-fixed paraffin-embedded sections) - Anti-RP105 antibody [EPR14720] (AB184956)
  • IHC-P

Lab

Immunohistochemistry (Formalin/PFA-fixed paraffin-embedded sections) - Anti-RP105 antibody [EPR14720] (AB184956)

Immunohistochemical analysis of formalin fixed paraffin embedded mouse lung labelling RP105 with ab184956 at a concentration of 1/2000 dilution. The immunostaining was performed on a Leica Biosystems BOND® RX instrument. Heat mediated antigen retrieval was performed with Tris-EDTA buffer (pH 9.0, Epitope Retrieval Solution2) for 20 mins. The primary antibody Anti-RP105 antibody [EPR14720] was incubated for 30 mins at room temperature. Sections were counterstained with Hematoxylin II. Positive staining on mouse lung.

Immunohistochemistry (Formalin/PFA-fixed paraffin-embedded sections) - Anti-RP105 antibody [EPR14720] (AB184956)
  • IHC-P

Lab

Immunohistochemistry (Formalin/PFA-fixed paraffin-embedded sections) - Anti-RP105 antibody [EPR14720] (AB184956)

Immunohistochemical analysis of formalin fixed paraffin embedded mouse skeletal muscle labelling RP105 with ab184956 at a concentration of 1/2000 dilution. The immunostaining was performed on a Leica Biosystems BOND® RX instrument. Heat mediated antigen retrieval was performed with Tris-EDTA buffer (pH 9.0, Epitope Retrieval Solution2) for 20 mins. The primary antibody Anti-RP105 antibody [EPR14720] was incubated for 30 mins at room temperature. Sections were counterstained with Hematoxylin II. Low expression tissue : nearly no staining on mouse skeletal muscle.

Immunohistochemistry (Formalin/PFA-fixed paraffin-embedded sections) - Anti-RP105 antibody [EPR14720] (AB184956)
  • IHC-P

Lab

Immunohistochemistry (Formalin/PFA-fixed paraffin-embedded sections) - Anti-RP105 antibody [EPR14720] (AB184956)

Immunohistochemical analysis of formalin fixed paraffin embedded mouse spleen labelling RP105 with ab184956 at a concentration of 1/2000 dilution. The immunostaining was performed on a Leica Biosystems BOND® RX instrument. Heat mediated antigen retrieval was performed with Tris-EDTA buffer (pH 9.0, Epitope Retrieval Solution2) for 20 mins. The primary antibody Anti-RP105 antibody [EPR14720] was incubated for 30 mins at room temperature. Sections were counterstained with Hematoxylin II. Positive staining on mouse spleen.

Western blot - Anti-RP105 antibody [EPR14720] (AB184956)
  • WB

Supplier Data

Western blot - Anti-RP105 antibody [EPR14720] (AB184956)

All lanes:

Western blot - Anti-RP105 antibody [EPR14720] (ab184956) at 1/2000 dilution

All lanes:

Daudi cell lysate at 10 µg

Secondary

All lanes:

Goat Anti-Rabbit IgG, (H+L), Peroxidase conjugated at 1/1000 dilution

Predicted band size: 74 kDa

Observed band size: 90 kDa

false

Western blot - Anti-RP105 antibody [EPR14720] (AB184956)
  • WB

Supplier Data

Western blot - Anti-RP105 antibody [EPR14720] (AB184956)

All lanes:

Western blot - Anti-RP105 antibody [EPR14720] (ab184956) at 1/2000 dilution

Lane 1:

Human lymph node lysate at 20 µg

Lane 2:

Ramos cell lysate at 20 µg

Secondary

All lanes:

Goat Anti-Rabbit IgG, (H+L), Peroxidase conjugated at 1/1000 dilution

Predicted band size: 74 kDa

Observed band size: 90 kDa

false

Western blot - Anti-RP105 antibody [EPR14720] (AB184956)
  • WB

Lab

Western blot - Anti-RP105 antibody [EPR14720] (AB184956)

In Western blot, anti-GAPDH antibody (ab181602) loading control staining at 1/200000 dilution.

Blocking and diluting buffer and concentration : 5% NFDM/TBST.

Negative control : NIH/3T3 Low expression : brain and skeletal muscle

All lanes:

Western blot - Anti-RP105 antibody [EPR14720] (ab184956) at 1/1000 dilution

Lane 1:

WEHI-231 (mouse B cell lymphoma B lymphocyte ) whole cell lysate at 20 µg

Lane 2:

RAW 264.7 (mouse Abelson murine leukemia virus-induced tumor macrophage) whole cell lysate at 20 µg

Lane 3:

NIH/3T3 (mouse embryonic fibroblast) whole cell lysate at 20 µg

Lane 4:

Mouse spleen tissue lysate at 20 µg

Lane 5:

Mouse bone marrow tissue lysate at 20 µg

Lane 6:

Mouse brain tissue lysate at 20 µg

Lane 7:

Mouse skeletal muscle tissue lysate at 20 µg

Secondary

All lanes:

Western blot - Goat Anti-Rabbit IgG H&L (HRP) (<a href='/en-us/products/secondary-antibodies/goat-rabbit-igg-h-l-hrp-ab97051'>ab97051</a>) at 1/100000 dilution

Observed band size: 90 kDa,36 kDa

false

Exposure time: 90s

  • Carrier free

    Anti-RP105 antibody [EPR14720] - BSA and Azide free

Key facts

Host species

Rabbit

Clonality

Monoclonal

Clone number

EPR14720

Isotype

IgG

Carrier free

No

Reacts with

Mouse, Human

Applications

IHC-P, ICC/IF, WB

applications

Immunogen

The exact immunogen used to generate this antibody is proprietary information.

Reactivity data

{ "title": "Reactivity Data", "filters": { "stats": ["", "Species", "Dilution Info", "Notes"], "tabs": { "all-applications": {"fullname" : "All Applications", "shortname": "All Applications"}, "IP" : {"fullname" : "Immunoprecipitation", "shortname":"IP"}, "FlowCyt" : {"fullname" : "Flow Cytometry", "shortname":"Flow Cyt"}, "WB" : {"fullname" : "Western blot", "shortname":"WB"}, "ICCIF" : {"fullname" : "Immunocytochemistry/ Immunofluorescence", "shortname":"ICC/IF"}, "IHCP" : {"fullname" : "Immunohistochemistry (Formalin/PFA-fixed paraffin-embedded sections)", "shortname":"IHC-P"} }, "product-promise": { "all": "all", "testedAndGuaranteed": "tested", "guaranteed": "expected", "predicted": "predicted", "notRecommended": "not-recommended" } }, "values": { "Human": { "IP-species-checked": "notRecommended", "IP-species-dilution-info": "", "IP-species-notes": "<p></p>", "FlowCyt-species-checked": "notRecommended", "FlowCyt-species-dilution-info": "", "FlowCyt-species-notes": "<p></p>", "WB-species-checked": "testedAndGuaranteed", "WB-species-dilution-info": "1/1000 - 1/2000", "WB-species-notes": "<p></p>", "ICCIF-species-checked": "testedAndGuaranteed", "ICCIF-species-dilution-info": "1/100", "ICCIF-species-notes": "<p></p>", "IHCP-species-checked": "testedAndGuaranteed", "IHCP-species-dilution-info": "1/500", "IHCP-species-notes": "<p></p> Perform heat-mediated antigen retrieval with Tris/EDTA buffer pH 9.0 before commencing with IHC staining protocol." }, "Mouse": { "IP-species-checked": "notRecommended", "IP-species-dilution-info": "", "IP-species-notes": "", "FlowCyt-species-checked": "notRecommended", "FlowCyt-species-dilution-info": "", "FlowCyt-species-notes": "", "WB-species-checked": "testedAndGuaranteed", "WB-species-dilution-info": "1/1000", "WB-species-notes": "<p></p>", "ICCIF-species-checked": "testedAndGuaranteed", "ICCIF-species-dilution-info": "1/50", "ICCIF-species-notes": "<p></p>", "IHCP-species-checked": "testedAndGuaranteed", "IHCP-species-dilution-info": "1/2000", "IHCP-species-notes": "<p></p> Perform heat-mediated antigen retrieval with Tris/EDTA buffer pH 9.0 before commencing with IHC staining protocol." } } }

Product details

Patented technology
Our RabMAb® technology is a patented hybridoma-based technology for making rabbit monoclonal antibodies. For details on our patents, please refer to RabMAb® patents.

What are the advantages of a recombinant monoclonal antibody?
This product is a recombinant monoclonal antibody, which offers several advantages including:

  • - High batch-to-batch consistency and reproducibility
  • - Improved sensitivity and specificity
  • - Long-term security of supply
  • - Animal-free batch production

For more information, read more on recombinant antibodies.

Properties and storage information

Form
Liquid
Purification technique
Affinity purification Protein A
Storage buffer
pH: 7.2 Preservative: 0.01% Sodium azide Constituents: PBS, 40% Glycerol (glycerin, glycerine), 0.05% BSA
Shipped at conditions
Blue Ice
Appropriate short-term storage duration
1-2 weeks
Appropriate short-term storage conditions
+4°C
Appropriate long-term storage conditions
-20°C
Aliquoting information
Upon delivery aliquot
Storage information
Avoid freeze / thaw cycle

Product protocols

For this product, it's our understanding that no specific protocols are required. You can visit:

Target data

May cooperate with MD-1 and TLR4 to mediate the innate immune response to bacterial lipopolysaccharide (LPS) in B-cells. Leads to NF-kappa-B activation. Also involved in the life/death decision of B-cells (By similarity).
See full target information CD180

Publications (4)

Recent publications for all applications. Explore the full list and refine your search

Cell death discovery 11:290 PubMed40595455

2025

Modulatory role of radioprotective 105 in mitigating oxidative stress and ferroptosis via the HO-1/SLC7A11/GPX4 axis in sepsis-mediated renal injury.

Applications

Unspecified application

Species

Unspecified reactive species

Hong Duo,Yanwei Yang,Jun Luo,Yumeng Cao,Qian Liu,Jiarui Zhang,Siqi Du,Jian You,Guqin Zhang,Qifa Ye,Huaqin Pan

Alzheimer's & dementia : the journal of the Alzheimer's Association 21:e70030 PubMed40047257

2025

Genetic and pharmacologic enhancement of SUMO2 conjugation prevents and reverses cognitive impairment and synaptotoxicity in a preclinical model of Alzheimer's disease.

Applications

Unspecified application

Species

Unspecified reactive species

Luana Fioriti,Nadeeja Wijesekara,Elentina K Argyrousi,Shinsuke Matsuzaki,Hironori Takamura,Kanayo Satoh,Kyung Han,Hiroto Yamauchi,Agnieszka Staniszewski,Erica Acquarone,Franca Orsini,Annacarla Martucci,Taiichi Katayama,Ottavio Arancio,Paul E Fraser

JCI insight 7: PubMed36136452

2022

Deficiency of inhibitory TLR4 homolog RP105 exacerbates fibrosis.

Applications

Unspecified application

Species

Unspecified reactive species

Wenxia Wang,Swarna Bale,Bharath Yalavarthi,Priyanka Verma,Pei-Suen Tsou,Ken M Calderone,Dibyendu Bhattacharyya,Gary J Fisher,John Varga,Swati Bhattacharyya

Journal of cellular biochemistry 120:16888-16899 PubMed31104313

2019

Inhibition of myeloid differentiation 1 specifically in colon with antisense oligonucleotide exacerbates dextran sodium sulfate-induced colitis.

Applications

Unspecified application

Species

Unspecified reactive species

Xiaoxing Chen,Huaqin Pan,Jin Li,Guqin Zhang,Shizhe Cheng,Na Zuo,Qiu Zhao,Zhiyong Peng
View all publications

Product promise

We are committed to supporting your work with high-quality reagents, and we're here for you every step of the way. In the unlikely event that one of our products does not perform as expected, you're protected by our Product Promise.
For full details, please see our Terms & Conditions

Please note: All products are 'FOR RESEARCH USE ONLY. NOT FOR USE IN DIAGNOSTIC OR THERAPEUTIC PROCEDURES'.

For licensing inquiries, please contact partnerships@abcam.com