JavaScript is disabled in your browser. Please enable JavaScript to view this website.
AB247754

Anti-RPA32/RPA2 antibody [EPR2876(2)] - BSA and Azide free

4

(1 Review)

|

(1 Publication)

Rabbit Recombinant Monoclonal RPA32/RPA2 antibody. Carrier free. Suitable for ChIC/CUT&RUN-seq, IHC-P, WB, ICC/IF, Flow Cyt (Intra) and reacts with Human, Rat samples. Cited in 1 publication.

View Alternative Names

REPA2, RPA32, RPA34, RPA2, Replication protein A 32 kDa subunit, RP-A p32, Replication factor A protein 2, Replication protein A 34 kDa subunit, RF-A protein 2, RP-A p34

8 Images
Flow Cytometry (Intracellular) - Anti-RPA32/RPA2 antibody [EPR2876(2)] - BSA and Azide free (AB247754)
  • Flow Cyt (Intra)

Unknown

Flow Cytometry (Intracellular) - Anti-RPA32/RPA2 antibody [EPR2876(2)] - BSA and Azide free (AB247754)

This data was developed using ab109084, the same antibody clone in a different buffer formulation.

Intracellular Flow Cytometry analysis of HeLa (human cervix adenocarcinoma epithelial cell) cells labeling RPA32/RPA2 with purified ab109084 at 1/460 dilution (1.01 μg/ml) - Red. Cells were fixed with 4% paraformaldehyde . A Goat anti rabbit IgG (Alexa Fluor® 488, ab150077) secondary antibody was used at 1/2000 dilution. Isotype control - Rabbit monoclonal IgG (ab172730) - Black. Unlabeled control - Blue. Untreated cells - Green

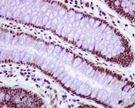
Immunohistochemistry (Formalin/PFA-fixed paraffin-embedded sections) - Anti-RPA32/RPA2 antibody [EPR2876(2)] - BSA and Azide free (AB247754)
  • IHC-P

Unknown

Immunohistochemistry (Formalin/PFA-fixed paraffin-embedded sections) - Anti-RPA32/RPA2 antibody [EPR2876(2)] - BSA and Azide free (AB247754)

This data was developed using ab109084, the same antibody clone in a different buffer formulation.

ab109084 at 1/250 dilution staining RPA32/RPA2 in Human colon by Immunohistochemistry, Paraffin-embedded tissue.

Perform heat mediated antigen retrieval with citrate buffer pH 6 before commencing with IHC staining protocol.

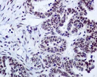
Immunohistochemistry (Formalin/PFA-fixed paraffin-embedded sections) - Anti-RPA32/RPA2 antibody [EPR2876(2)] - BSA and Azide free (AB247754)
  • IHC-P

Unknown

Immunohistochemistry (Formalin/PFA-fixed paraffin-embedded sections) - Anti-RPA32/RPA2 antibody [EPR2876(2)] - BSA and Azide free (AB247754)

This data was developed using ab109084, the same antibody clone in a different buffer formulation.

ab109084 at 1/250 dilution staining RPA32/RPA2 in Human ovary carcinoma by Immunohistochemistry, Paraffin-embedded tissue.

Perform heat mediated antigen retrieval with citrate buffer pH 6 before commencing with IHC staining protocol.

Immunocytochemistry/ Immunofluorescence - Anti-RPA32/RPA2 antibody [EPR2876(2)] - BSA and Azide free (AB247754)
  • ICC/IF

Unknown

Immunocytochemistry/ Immunofluorescence - Anti-RPA32/RPA2 antibody [EPR2876(2)] - BSA and Azide free (AB247754)

This data was developed using ab109084, the same antibody clone in a different buffer formulation.

Immunocytochemistry/ Immunofluorescence analysis of HeLa (human cervix adenocarcinoma epithelial cell) cells labeling RPA32/RPA2 with purified ab109084 at 1 : 50 (9.34 μg/ml). Cells were fixed in 100% Methanol and permeabilized with None. Cells were counterstained with ab195889 Anti-alpha Tubulin antibody [DM1A] - Microtubule Marker (Alexa Fluor® 594) 1 : 200 (2.5 μg/ml). Goat anti rabbit IgG (Alexa Fluor® 488, ab150077) was used as the secondary antibody at 1 : 1000 (2 μg/ml) dilution. DAPI nuclear counterstain. PBS instead of the primary antibody was used as the secondary antibody only control.

Flow Cytometry (Intracellular) - Anti-RPA32/RPA2 antibody [EPR2876(2)] - BSA and Azide free (AB247754)
  • Flow Cyt (Intra)

Unknown

Flow Cytometry (Intracellular) - Anti-RPA32/RPA2 antibody [EPR2876(2)] - BSA and Azide free (AB247754)

This data was developed using ab109084, the same antibody clone in a different buffer formulation.

Intracellular Flow Cytometry analysis of C6 (rat glial tumor glial cell) cells labeling RPA32/RPA2 with purified ab109084 at 1/460 dilution (1.01 μg/ml) - Red. Cells were fixed with 4% paraformaldehyde . A Goat anti rabbit IgG (Alexa Fluor® 488, ab150077) secondary antibody was used at 1/2000 dilution. Isotype control - Rabbit monoclonal IgG (ab172730) - Black. Unlabeled control - Blue. Untreated cells - Green

Immunocytochemistry/ Immunofluorescence - Anti-RPA32/RPA2 antibody [EPR2876(2)] - BSA and Azide free (AB247754)
  • ICC/IF

Unknown

Immunocytochemistry/ Immunofluorescence - Anti-RPA32/RPA2 antibody [EPR2876(2)] - BSA and Azide free (AB247754)

This data was developed using ab109084, the same antibody clone in a different buffer formulation.

Immunocytochemistry/ Immunofluorescence analysis of C6 (rat glial tumor glial cell) cells labeling RPA32/RPA2 with purified ab109084 at 1 : 50 (9.34 μg/ml). Cells were fixed in 100% Methanol and permeabilized with None. Cells were counterstained with ab195889 Anti-alpha Tubulin antibody [DM1A] - Microtubule Marker (Alexa Fluor® 594) 1 : 200 (2.5 μg/ml). Goat anti rabbit IgG (Alexa Fluor® 488, ab150077) was used as the secondary antibody at 1 : 1000 (2 μg/ml) dilution. DAPI nuclear counterstain. PBS instead of the primary antibody was used as the secondary antibody only control.

Western blot - Anti-RPA32/RPA2 antibody [EPR2876(2)] - BSA and Azide free (AB247754)
  • WB

Unknown

Western blot - Anti-RPA32/RPA2 antibody [EPR2876(2)] - BSA and Azide free (AB247754)

This data was developed using ab109084, the same antibody clone in a different buffer formulation.

All lanes:

Western blot - Anti-RPA32/RPA2 antibody [EPR2876(2)] (<a href='/en-us/products/primary-antibodies/rpa32-rpa2-antibody-epr28762-ab109084'>ab109084</a>) at 1/1000 dilution

Lane 1:

HeLa cell lysate at 10 µg

Lane 2:

HUVEC cell lysate at 10 µg

Lane 3:

HepG2 cell lysate at 10 µg

Lane 4:

MCF7 cell lysate at 10 µg

Predicted band size: 29 kDa

false

ChIC/CUT&RUN sequencing - Anti-RPA32/RPA2 antibody [EPR2876(2)] - BSA and Azide free (AB247754)
  • ChIC/CUT&RUN-seq

Supplier Data

ChIC/CUT&RUN sequencing - Anti-RPA32/RPA2 antibody [EPR2876(2)] - BSA and Azide free (AB247754)

ChIC/CUT&RUN was performed using a pAG-MNAse at a final concentration of 700 ng/mL, 2.5 x 10^5 HeLa (Human cervix adenocarcinoma epithelial cell line) cells and 5µg of ab109084 [EPR2876(2)]. The resulting DNA was sequenced on the Illumina NovaSeq 6000 to a depth of 10 million reads. The negative IgG control ab172730 is also shown. Additional screenshots of mapped reads can be found in the Protocol booklet in the Product Protocol section. The University of Geneva owns patents relevant to ChIC (Chromatin Immuno-Cleavage) methods. This data was developed using ab109084, the same antibody clone in a different buffer formulation.

Key facts

Host species

Rabbit

Clonality

Monoclonal

Clone number

EPR2876(2)

Isotype

IgG

Carrier free

Yes

Reacts with

Rat, Human

Applications

Flow Cyt (Intra), ChIC/CUT&RUN-seq, IHC-P, WB, ICC/IF

applications

Immunogen

The exact immunogen used to generate this antibody is proprietary information.

Reactivity data

{ "title": "Reactivity Data", "filters": { "stats": ["", "Species", "Dilution Info", "Notes"], "tabs": { "all-applications": {"fullname" : "All Applications", "shortname": "All Applications"}, "ChICCUTRUNseq" : {"fullname" : "ChIC/CUT&RUN sequencing", "shortname":"ChIC/CUT&RUN-seq"}, "IHCP" : {"fullname" : "Immunohistochemistry (Formalin/PFA-fixed paraffin-embedded sections)", "shortname":"IHC-P"}, "IP" : {"fullname" : "Immunoprecipitation", "shortname":"IP"}, "WB" : {"fullname" : "Western blot", "shortname":"WB"}, "ICCIF" : {"fullname" : "Immunocytochemistry/ Immunofluorescence", "shortname":"ICC/IF"}, "FlowCytIntra" : {"fullname" : "Flow Cytometry (Intracellular)", "shortname":"Flow Cyt (Intra)"} }, "product-promise": { "all": "all", "testedAndGuaranteed": "tested", "guaranteed": "expected", "predicted": "predicted", "notRecommended": "not-recommended" } }, "values": { "Human": { "ChICCUTRUNseq-species-checked": "testedAndGuaranteed", "ChICCUTRUNseq-species-dilution-info": "", "ChICCUTRUNseq-species-notes": "<p></p>", "IHCP-species-checked": "testedAndGuaranteed", "IHCP-species-dilution-info": "", "IHCP-species-notes": "<p>Antigen retrieval is recommended.</p>", "IP-species-checked": "notRecommended", "IP-species-dilution-info": "", "IP-species-notes": "<p></p>", "WB-species-checked": "testedAndGuaranteed", "WB-species-dilution-info": "", "WB-species-notes": "<p></p>", "ICCIF-species-checked": "testedAndGuaranteed", "ICCIF-species-dilution-info": "", "ICCIF-species-notes": "<p></p>", "FlowCytIntra-species-checked": "testedAndGuaranteed", "FlowCytIntra-species-dilution-info": "", "FlowCytIntra-species-notes": "<p></p>" }, "Rat": { "ChICCUTRUNseq-species-checked": "guaranteed", "ChICCUTRUNseq-species-dilution-info": "", "ChICCUTRUNseq-species-notes": "", "IHCP-species-checked": "guaranteed", "IHCP-species-dilution-info": "", "IHCP-species-notes": "", "IP-species-checked": "notRecommended", "IP-species-dilution-info": "", "IP-species-notes": "<p></p>", "WB-species-checked": "guaranteed", "WB-species-dilution-info": "", "WB-species-notes": "", "ICCIF-species-checked": "testedAndGuaranteed", "ICCIF-species-dilution-info": "", "ICCIF-species-notes": "<p></p>", "FlowCytIntra-species-checked": "testedAndGuaranteed", "FlowCytIntra-species-dilution-info": "", "FlowCytIntra-species-notes": "<p></p>" } } }

Product details

ab247754 is the carrier-free version of ab109084.

Species reactivity
Mouse: We have preliminary internal testing data to indicate this antibody may not react with this species.
Please contact us for more information.

Patented technology
Our RabMAb® technology is a patented hybridoma-based technology for making rabbit monoclonal antibodies. For details on our patents, please refer to RabMAb® patents.

What are the advantages of a recombinant monoclonal antibody?
This product is a recombinant monoclonal antibody, which offers several advantages including:

  • - High batch-to-batch consistency and reproducibility
  • - Improved sensitivity and specificity
  • - Long-term security of supply
  • - Animal-free batch production

For more information, read more on recombinant antibodies.

Conjugation ready
Our carrier-free antibodies are typically supplied in a PBS-only formulation, purified and free of BSA, sodium azide and glycerol. This conjugation-ready format is designed for use with fluorochromes, metal isotopes, oligonucleotides, and enzymes, which makes them ideal for antibody labelling, functional and cell-based assays, flow-based assays (e.g. mass cytometry) and Multiplex Imaging applications.

Use our conjugation kits for antibody conjugates that are ready-to-use in as little as 20 minutes with 1 minute hands-on-time and 100% antibody recovery: available for fluorescent dyes, HRP, biotin and gold.

Compatibility
This product is compatible with the Maxpar® Antibody Labeling Kit from Fluidigm, without the need for antibody preparation. Maxpar® is a trademark of Fluidigm Canada Inc.

Properties and storage information

Form
Liquid
Purification technique
Affinity purification
Storage buffer
pH: 7.2 - 7.4 Constituents: PBS
Shipped at conditions
Blue Ice
Appropriate short-term storage conditions
+4°C
Appropriate long-term storage conditions
+4°C
Storage information
Do Not Freeze

Product protocols

For this product, it's our understanding that no specific protocols are required. You can visit:

Target data

As part of the heterotrimeric replication protein A complex (RPA/RP-A), binds and stabilizes single-stranded DNA intermediates that form during DNA replication or upon DNA stress. It prevents their reannealing and in parallel, recruits and activates different proteins and complexes involved in DNA metabolism. Thereby, it plays an essential role both in DNA replication and the cellular response to DNA damage. In the cellular response to DNA damage, the RPA complex controls DNA repair and DNA damage checkpoint activation. Through recruitment of ATRIP activates the ATR kinase a master regulator of the DNA damage response. It is required for the recruitment of the DNA double-strand break repair factors RAD51 and RAD52 to chromatin in response to DNA damage. Also recruits to sites of DNA damage proteins like XPA and XPG that are involved in nucleotide excision repair and is required for this mechanism of DNA repair. Also plays a role in base excision repair (BER) probably through interaction with UNG. Also recruits SMARCAL1/HARP, which is involved in replication fork restart, to sites of DNA damage. May also play a role in telomere maintenance. RPA stimulates 5'-3' helicase activity of BRIP1/FANCJ (PubMed : 17596542).
See full target information RPA2

Publications (1)

Recent publications for all applications. Explore the full list and refine your search

Oncology letters 26:409 PubMed37600337

2023

Renal epithelioid angiomyolipoma: A case report.

Applications

Unspecified application

Species

Unspecified reactive species

Hongyun Li,Xuebei Zhang,Qingli Zhao,Jin Wang,Xiaoqing Yang,Shengliang Huang
View all publications
chicCutRunSequencingBooklet
en

Product promise

We are committed to supporting your work with high-quality reagents, and we're here for you every step of the way. In the unlikely event that one of our products does not perform as expected, you're protected by our Product Promise.
For full details, please see our Terms & Conditions

Please note: All products are 'FOR RESEARCH USE ONLY. NOT FOR USE IN DIAGNOSTIC OR THERAPEUTIC PROCEDURES'.

For licensing inquiries, please contact partnerships@abcam.com