JavaScript is disabled in your browser. Please enable JavaScript to view this website.
AB111161

Anti-RPA32/RPA2 antibody [MA34]

Be the first to review this product! Submit a review

|

(3 Publications)

Mouse Monoclonal RPA32/RPA2 antibody. Suitable for WB, IHC-P, ICC/IF and reacts with Rat, Human samples. Cited in 3 publications.

View Alternative Names

REPA2, RPA32, RPA34, RPA2, Replication protein A 32 kDa subunit, RP-A p32, Replication factor A protein 2, Replication protein A 34 kDa subunit, RF-A protein 2, RP-A p34

7 Images
Immunohistochemistry (Formalin/PFA-fixed paraffin-embedded sections) - Anti-RPA32/RPA2 antibody [MA34] (AB111161)
  • IHC-P

Supplier Data

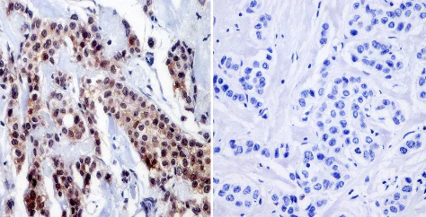
Immunohistochemistry (Formalin/PFA-fixed paraffin-embedded sections) - Anti-RPA32/RPA2 antibody [MA34] (AB111161)

Immunohistochemistry was performed on cancer biopsies of deparaffinized Human breast carcinoma tissue. To expose target proteins heat induced antigen retrieval was performed using 10mM sodium citrate (pH6.0) buffer and microwaved for 8-15 minutes. Following antigen retrieval tissues were blocked in 3% BSA-PBS for 30 minutes at room temperature and probed with a RPA32/RPA2 monoclonal antibody (ab111161) at a dilution of 1/20 or without primary antibody (negative control) overnight at 4°C in a humidified chamber. Tissues were washed with PBST and endogenous peroxidase activity was quenched with a peroxidase suppressor. Detection was performed using a biotin-conjugated secondary antibody and SA-HRP followed by colorimetric detection using DAB. Tissues were counterstained with hematoxylin and prepped for mounting.

Immunohistochemistry (Formalin/PFA-fixed paraffin-embedded sections) - Anti-RPA32/RPA2 antibody [MA34] (AB111161)
  • IHC-P

Supplier Data

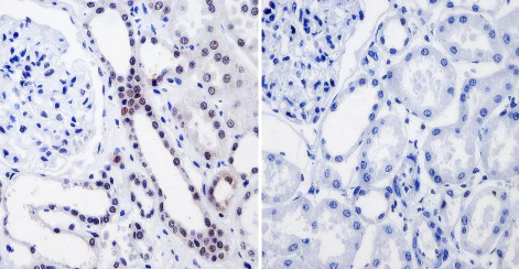
Immunohistochemistry (Formalin/PFA-fixed paraffin-embedded sections) - Anti-RPA32/RPA2 antibody [MA34] (AB111161)

Immunohistochemistry was performed on normal biopsies of deparaffinized Human kidney tissue. To expose target proteins heat induced antigen retrieval was performed using 10mM sodium citrate (pH6.0) buffer and microwaved for 8-15 minutes. Following antigen retrieval tissues were blocked in 3% BSA-PBS for 30 minutes at room temperature and probed with a RPA32/RPA2 monoclonal antibody (ab111161) at a dilution of 1/20 or without primary antibody (negative control) overnight at 4°C in a humidified chamber. Tissues were washed with PBST and endogenous peroxidase activity was quenched with a peroxidase suppressor. Detection was performed using a biotin-conjugated secondary antibody and SA-HRP followed by colorimetric detection using DAB. Tissues were counterstained with hematoxylin and prepped for mounting.

Immunohistochemistry (Formalin/PFA-fixed paraffin-embedded sections) - Anti-RPA32/RPA2 antibody [MA34] (AB111161)
  • IHC-P

Supplier Data

Immunohistochemistry (Formalin/PFA-fixed paraffin-embedded sections) - Anti-RPA32/RPA2 antibody [MA34] (AB111161)

Immunohistochemistry was performed on normal biopsies of deparaffinized Human tonsil tissue. To expose target proteins heat induced antigen retrieval was performed using 10mM sodium citrate (pH6.0) buffer and microwaved for 8-15 minutes. Following antigen retrieval tissues were blocked in 3% BSA-PBS for 30 minutes at room temperature and probed with a RPA32/RPA2 monoclonal antibody (ab111161) at a dilution of 1/20 or without primary antibody (negative control) overnight at 4°C in a humidified chamber. Tissues were washed with PBST and endogenous peroxidase activity was quenched with a peroxidase suppressor. Detection was performed using a biotin-conjugated secondary antibody and SA-HRP followed by colorimetric detection using DAB. Tissues were counterstained with hematoxylin and prepped for mounting.

Immunocytochemistry/ Immunofluorescence - Anti-RPA32/RPA2 antibody [MA34] (AB111161)
  • ICC/IF

Supplier Data

Immunocytochemistry/ Immunofluorescence - Anti-RPA32/RPA2 antibody [MA34] (AB111161)

Immunofluorescent analysis of RPA32/RPA2 in A431 cells. Cells were grown on chamber slides and fixed with formaldehyde prior to staining. Cells were probed without (control) or with a RPA32/RPA2 monoclonal antibody (ab111161) at a dilution of 1/200 overnight at 4°C and incubated with a DyLight-488 conjugated secondary antibody. RPA32/RPA2 staining (green) F-Actin staining with Phalloidin (red) and nuclei with DAPI (blue) is shown. Images were taken at 60X magnification.

Immunocytochemistry/ Immunofluorescence - Anti-RPA32/RPA2 antibody [MA34] (AB111161)
  • ICC/IF

Supplier Data

Immunocytochemistry/ Immunofluorescence - Anti-RPA32/RPA2 antibody [MA34] (AB111161)

Immunofluorescent analysis of RPA32/RPA2 in HeLa cells. Cells were grown on chamber slides and fixed with formaldehyde prior to staining. Cells were probed without (control) or with a RPA32/RPA2 monoclonal antibody (ab111161) at a dilution of 1/200 overnight at 4°C and incubated with a DyLight-488 conjugated secondary antibody. RPA32/RPA2 staining (green) F-Actin staining with Phalloidin (red) and nuclei with DAPI (blue) is shown. Images were taken at 60X magnification.

Immunocytochemistry/ Immunofluorescence - Anti-RPA32/RPA2 antibody [MA34] (AB111161)
  • ICC/IF

Supplier Data

Immunocytochemistry/ Immunofluorescence - Anti-RPA32/RPA2 antibody [MA34] (AB111161)

Immunofluorescent analysis of RPA32/RPA2 in C6 cells. Cells were grown on chamber slides and fixed with formaldehyde prior to staining. Cells were probed without (control) or with a RPA32/RPA2 monoclonal antibody (ab111161) at a dilution of 1/200 overnight at 4°C and incubated with a DyLight-488 conjugated secondary antibody. RPA32/RPA2 staining (green) F-Actin staining with Phalloidin (red) and nuclei with DAPI (blue) is shown. Images were taken at 60X magnification.

Western blot - Anti-RPA32/RPA2 antibody [MA34] (AB111161)
  • WB

Unknown

Western blot - Anti-RPA32/RPA2 antibody [MA34] (AB111161)

All lanes:

Western blot - Anti-RPA32/RPA2 antibody [MA34] (ab111161) at 1/500 dilution

All lanes:

Purified RPA32/RPA2 protein

Predicted band size: 29 kDa

false

Key facts

Host species

Mouse

Clonality

Monoclonal

Clone number

MA34

Isotype

IgM

Carrier free

No

Reacts with

Rat, Human

Applications

IHC-P, WB, ICC/IF

applications

Immunogen

The exact immunogen used to generate this antibody is proprietary information.

Reactivity data

{ "title": "Reactivity Data", "filters": { "stats": ["", "Species", "Dilution Info", "Notes"], "tabs": { "all-applications": {"fullname" : "All Applications", "shortname": "All Applications"}, "WB" : {"fullname" : "Western blot", "shortname":"WB"}, "IHCP" : {"fullname" : "Immunohistochemistry (Formalin/PFA-fixed paraffin-embedded sections)", "shortname":"IHC-P"}, "ICCIF" : {"fullname" : "Immunocytochemistry/ Immunofluorescence", "shortname":"ICC/IF"} }, "product-promise": { "all": "all", "testedAndGuaranteed": "tested", "guaranteed": "expected", "predicted": "predicted", "notRecommended": "not-recommended" } }, "values": { "Human": { "WB-species-checked": "guaranteed", "WB-species-dilution-info": "1/500", "WB-species-notes": "<p></p>", "IHCP-species-checked": "testedAndGuaranteed", "IHCP-species-dilution-info": "1/10 - 1/100", "IHCP-species-notes": "<p></p>", "ICCIF-species-checked": "testedAndGuaranteed", "ICCIF-species-dilution-info": "1/100 - 1/1000", "ICCIF-species-notes": "<p></p>" }, "Rat": { "WB-species-checked": "guaranteed", "WB-species-dilution-info": "1/500", "WB-species-notes": "<p></p>", "IHCP-species-checked": "guaranteed", "IHCP-species-dilution-info": "", "IHCP-species-notes": "", "ICCIF-species-checked": "testedAndGuaranteed", "ICCIF-species-dilution-info": "1/100 - 1/1000", "ICCIF-species-notes": "<p></p>" } } }

Properties and storage information

Form
Liquid
Purification technique
Affinity purification Protein G
Storage buffer
Preservative: 0.05% Sodium azide Constituents: PBS, 0.1% BSA
Shipped at conditions
Blue Ice
Appropriate short-term storage duration
1-2 weeks
Appropriate short-term storage conditions
+4°C
Appropriate long-term storage conditions
-20°C
Aliquoting information
Upon delivery aliquot
Storage information
Avoid freeze / thaw cycle

Product protocols

For this product, it's our understanding that no specific protocols are required. You can visit:

Target data

As part of the heterotrimeric replication protein A complex (RPA/RP-A), binds and stabilizes single-stranded DNA intermediates that form during DNA replication or upon DNA stress. It prevents their reannealing and in parallel, recruits and activates different proteins and complexes involved in DNA metabolism. Thereby, it plays an essential role both in DNA replication and the cellular response to DNA damage. In the cellular response to DNA damage, the RPA complex controls DNA repair and DNA damage checkpoint activation. Through recruitment of ATRIP activates the ATR kinase a master regulator of the DNA damage response. It is required for the recruitment of the DNA double-strand break repair factors RAD51 and RAD52 to chromatin in response to DNA damage. Also recruits to sites of DNA damage proteins like XPA and XPG that are involved in nucleotide excision repair and is required for this mechanism of DNA repair. Also plays a role in base excision repair (BER) probably through interaction with UNG. Also recruits SMARCAL1/HARP, which is involved in replication fork restart, to sites of DNA damage. May also play a role in telomere maintenance. RPA stimulates 5'-3' helicase activity of BRIP1/FANCJ (PubMed : 17596542).
See full target information RPA2

Publications (3)

Recent publications for all applications. Explore the full list and refine your search

Frontiers in cell and developmental biology 13:1562403 PubMed40181825

2025

Meiotic dynamics in a unique Australian marsupial provide new insights into the evolution of neo-sex chromosomes in the early stages of differentiation.

Applications

Unspecified application

Species

Unspecified reactive species

Laia Marín-Gual,Carolyn J Hogg,J King Chang,Andrew J Pask,Marilyn B Renfree,Paul D Waters,Aurora Ruiz-Herrera

International journal of molecular sciences 25: PubMed39125953

2024

CDC20 Holds Novel Regulation Mechanism in RPA1 during Different Stages of DNA Damage to Induce Radio-Chemoresistance.

Applications

Unspecified application

Species

Unspecified reactive species

Yang Gao,Pengbo Wen,Chenran Shao,Cheng Ye,Yuji Chen,Junyu You,Zhongjing Su

American journal of cancer research 6:533-43 PubMed27186422

2016

Successful establishment of patient-derived tumor xenografts from gastrointestinal stromal tumor-a single center experience.

Applications

Unspecified application

Species

Unspecified reactive species

Quan Jiang,Han-Xing Tong,Yong Zhang,Ying-Yong Hou,Jing-Lei Li,Jiong-Yuan Wang,Yu-Hong Zhou,Wei-Qi Lu
View all publications

Product promise

We are committed to supporting your work with high-quality reagents, and we're here for you every step of the way. In the unlikely event that one of our products does not perform as expected, you're protected by our Product Promise.
For full details, please see our Terms & Conditions

Please note: All products are 'FOR RESEARCH USE ONLY. NOT FOR USE IN DIAGNOSTIC OR THERAPEUTIC PROCEDURES'.

For licensing inquiries, please contact partnerships@abcam.com