JavaScript is disabled in your browser. Please enable JavaScript to view this website.
AB87277

Anti-RPA32/RPA2 (phospho S4 + S8) antibody

4

(5 Reviews)

|

(23 Publications)

Rabbit Polyclonal RPA32/RPA2 phospho S4 + S8 antibody. Suitable for IHC-P and reacts with Mouse, Human samples. Cited in 23 publications. Immunogen corresponding to Synthetic Peptide within Human RPA2 phospho S4 + S8.

View Alternative Names

REPA2, RPA32, RPA34, RPA2, Replication protein A 32 kDa subunit, RP-A p32, Replication factor A protein 2, Replication protein A 34 kDa subunit, RF-A protein 2, RP-A p34

3 Images
Immunohistochemistry (Formalin/PFA-fixed paraffin-embedded sections) - Anti-RPA32/RPA2 (phospho S4 + S8) antibody (AB87277)
  • IHC-P

Unknown

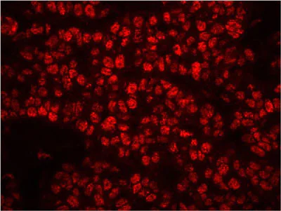
Immunohistochemistry (Formalin/PFA-fixed paraffin-embedded sections) - Anti-RPA32/RPA2 (phospho S4 + S8) antibody (AB87277)

Immunohistochemistry analysis of Human breast carcinoma using ab87277 at 1/100 dilution. Detection : Red-fluorescent goat anti-rabbit IgG at 1/100 dilution.

Immunohistochemistry (Formalin/PFA-fixed paraffin-embedded sections) - Anti-RPA32/RPA2 (phospho S4 + S8) antibody (AB87277)
  • IHC-P

Supplier Data

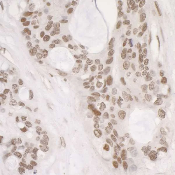
Immunohistochemistry (Formalin/PFA-fixed paraffin-embedded sections) - Anti-RPA32/RPA2 (phospho S4 + S8) antibody (AB87277)

Immunohistochemical analysis of formalin-fixed, paraffin-embedded human ovarian cancer tissue, labeling RPA32 with ab87277 at a 1/250 dilution. Detection : DAB.

Immunohistochemistry (Formalin/PFA-fixed paraffin-embedded sections) - Anti-RPA32/RPA2 (phospho S4 + S8) antibody (AB87277)
  • IHC-P

Supplier Data

Immunohistochemistry (Formalin/PFA-fixed paraffin-embedded sections) - Anti-RPA32/RPA2 (phospho S4 + S8) antibody (AB87277)

Immunohistochemical analysis of formalin-fixed, paraffin-embedded mouse renal cancer tissue, labeling RPA32 with ab87277 at a 1/250 dilution. Detection : DAB.

Key facts

Host species

Rabbit

Clonality

Polyclonal

Isotype

IgG

Carrier free

No

Reacts with

Mouse, Human

Applications

IHC-P

applications

Immunogen

Synthetic Peptide within Human RPA2 phospho S4 + S8. The exact immunogen used to generate this antibody is proprietary information.

P15927

Reactivity data

{ "title": "Reactivity Data", "filters": { "stats": ["", "Species", "Dilution Info", "Notes"], "tabs": { "all-applications": {"fullname" : "All Applications", "shortname": "All Applications"}, "IHCP" : {"fullname" : "Immunohistochemistry (Formalin/PFA-fixed paraffin-embedded sections)", "shortname":"IHC-P"} }, "product-promise": { "all": "all", "testedAndGuaranteed": "tested", "guaranteed": "expected", "predicted": "predicted", "notRecommended": "not-recommended" } }, "values": { "Human": { "IHCP-species-checked": "testedAndGuaranteed", "IHCP-species-dilution-info": "1/100 - 1/500", "IHCP-species-notes": "<p>Epitope exposure with tris-EDTA pH9.0 buffer will enhance staining.</p>" }, "Mouse": { "IHCP-species-checked": "testedAndGuaranteed", "IHCP-species-dilution-info": "1/100 - 1/500", "IHCP-species-notes": "<p>Epitope exposure with tris-EDTA pH9.0 buffer will enhance staining.</p>" }, "Bat": { "IHCP-species-checked": "predicted", "IHCP-species-dilution-info": "", "IHCP-species-notes": "" }, "Gorilla": { "IHCP-species-checked": "predicted", "IHCP-species-dilution-info": "", "IHCP-species-notes": "" }, "Orangutan": { "IHCP-species-checked": "predicted", "IHCP-species-dilution-info": "", "IHCP-species-notes": "" }, "Rhesus monkey": { "IHCP-species-checked": "predicted", "IHCP-species-dilution-info": "", "IHCP-species-notes": "" } } }

Product details

Concentration is optimized for IHC and not determined

Properties and storage information

Form
Liquid
Purification technique
Affinity purification Immunogen
Purification notes
Affinity purified using the peptide immobilized on solid support.
Storage buffer
pH: 6.8 - 7.4 Preservative: 0.09% Sodium azide Constituents: Tris buffered saline, 0.1% BSA
Shipped at conditions
Blue Ice
Appropriate short-term storage conditions
+4°C
Appropriate long-term storage conditions
+4°C
Aliquoting information
Upon delivery aliquot
Storage information
Avoid freeze / thaw cycle

Product protocols

For this product, it's our understanding that no specific protocols are required. You can visit:

Target data

As part of the heterotrimeric replication protein A complex (RPA/RP-A), binds and stabilizes single-stranded DNA intermediates that form during DNA replication or upon DNA stress. It prevents their reannealing and in parallel, recruits and activates different proteins and complexes involved in DNA metabolism. Thereby, it plays an essential role both in DNA replication and the cellular response to DNA damage. In the cellular response to DNA damage, the RPA complex controls DNA repair and DNA damage checkpoint activation. Through recruitment of ATRIP activates the ATR kinase a master regulator of the DNA damage response. It is required for the recruitment of the DNA double-strand break repair factors RAD51 and RAD52 to chromatin in response to DNA damage. Also recruits to sites of DNA damage proteins like XPA and XPG that are involved in nucleotide excision repair and is required for this mechanism of DNA repair. Also plays a role in base excision repair (BER) probably through interaction with UNG. Also recruits SMARCAL1/HARP, which is involved in replication fork restart, to sites of DNA damage. May also play a role in telomere maintenance. RPA stimulates 5'-3' helicase activity of BRIP1/FANCJ (PubMed : 17596542).
See full target information RPA2 phospho S4 + S8

Publications (23)

Recent publications for all applications. Explore the full list and refine your search

Nature aging 5:1739-1749 PubMed40836125

2025

Induced somatic mutation accumulation during skeletal muscle regeneration reduces muscle strength.

Applications

Unspecified application

Species

Unspecified reactive species

Peter Vrtačnik,Lara G Merino,Santhilal Subhash,Hafdís T Helgadóttir,Matthieu Bardin,Fabiana Stefani,Depin Wang,Ping Chen,Irene Franco,Gwladys Revêchon,Maria Eriksson

Cell death & disease 16:320 PubMed40254670

2025

CITK modulates BRCA1 recruitment at DNA double strand breaks sites through HDAC6.

Applications

Unspecified application

Species

Unspecified reactive species

Giorgia Iegiani,Gianmarco Pallavicini,Alex Pezzotta,Alessia Brix,Alessia Ferraro,Marta Gai,Enrica Boda,Stephanie L Bielas,Anna Pistocchi,Ferdinando Di Cunto

Nature communications 15:7776 PubMed39237529

2024

RAD52 resolves transcription-replication conflicts to mitigate R-loop induced genome instability.

Applications

Unspecified application

Species

Unspecified reactive species

Manisha Jalan,Aman Sharma,Xin Pei,Nils Weinhold,Erika S Buechelmaier,Yingjie Zhu,Sana Ahmed-Seghir,Abhirami Ratnakumar,Melody Di Bona,Niamh McDermott,Joan Gomez-Aguilar,Kyrie S Anderson,Charlotte K Y Ng,Pier Selenica,Samuel F Bakhoum,Jorge S Reis-Filho,Nadeem Riaz,Simon N Powell

Science advances 10:eadk8908 PubMed38781342

2024

CK2-dependent degradation of CBX3 dictates replication fork stalling and PARP inhibitor sensitivity.

Applications

Unspecified application

Species

Unspecified reactive species

Jian Ma,Dianyun Ren,Zixi Wang,Wei Li,Lei Li,Tianjie Liu,Qi Ye,Yuzeshi Lei,Yanlin Jian,Bohan Ma,Yizeng Fan,Jing Liu,Yang Gao,Xin Jin,Haojie Huang,Lei Li

Nature communications 13:5133 PubMed36050397

2022

Crosstalk between SUMOylation and ubiquitylation controls DNA end resection by maintaining MRE11 homeostasis on chromatin.

Applications

Unspecified application

Species

Unspecified reactive species

Tao Zhang,Han Yang,Zenan Zhou,Yongtai Bai,Jiadong Wang,Weibin Wang

Nature communications 13:4285 PubMed35879372

2022

DNA nicks induce mutational signatures associated with BRCA1 deficiency.

Applications

Unspecified application

Species

Unspecified reactive species

Yi-Li Feng,Qian Liu,Ruo-Dan Chen,Si-Cheng Liu,Zhi-Cheng Huang,Kun-Ming Liu,Xiao-Ying Yang,An-Yong Xie

Cancer research 82:2156-2170 PubMed35247877

2022

Tumor Intrinsic PD-L1 Promotes DNA Repair in Distinct Cancers and Suppresses PARP Inhibitor-Induced Synthetic Lethality.

Applications

Unspecified application

Species

Unspecified reactive species

Anand V R Kornepati,Jacob T Boyd,Clare E Murray,Julia Saifetiarova,Bárbara de la Peña Avalos,Cody M Rogers,Haiyan Bai,Alvaro S Padron,Yiji Liao,Carlos Ontiveros,Robert S Svatek,Robert Hromas,Rong Li,Yanfen Hu,Jose R Conejo-Garcia,Ratna K Vadlamudi,Weixing Zhao,Eloïse Dray,Patrick Sung,Tyler J Curiel

Nature 601:268-273 PubMed34937945

2021

HELQ is a dual-function DSB repair enzyme modulated by RPA and RAD51.

Applications

Unspecified application

Species

Unspecified reactive species

Roopesh Anand,Erika Buechelmaier,Ondrej Belan,Matthew Newton,Aleksandra Vancevska,Artur Kaczmarczyk,Tohru Takaki,David S Rueda,Simon N Powell,Simon J Boulton

Molecular and cellular biology 42:e0052421 PubMed34928169

2021

Replication Protein A Phosphorylation Facilitates RAD52-Dependent Homologous Recombination in BRCA-Deficient Cells.

Applications

Unspecified application

Species

Unspecified reactive species

Alison C Carley,Manisha Jalan,Shyamal Subramanyam,Rohini Roy,Gloria E O Borgstahl,Simon N Powell

Molecular cell 81:4243-4257.e6 PubMed34473946

2021

A basal-level activity of ATR links replication fork surveillance and stress response.

Applications

Unspecified application

Species

Unspecified reactive species

Yandong Yin,Wei Ting Chelsea Lee,Dipika Gupta,Huijun Xue,Peter Tonzi,James A Borowiec,Tony T Huang,Mauro Modesti,Eli Rothenberg
View all publications

Product promise

We are committed to supporting your work with high-quality reagents, and we're here for you every step of the way. In the unlikely event that one of our products does not perform as expected, you're protected by our Product Promise.
For full details, please see our Terms & Conditions

Please note: All products are 'FOR RESEARCH USE ONLY. NOT FOR USE IN DIAGNOSTIC OR THERAPEUTIC PROCEDURES'.

For licensing inquiries, please contact partnerships@abcam.com