JavaScript is disabled in your browser. Please enable JavaScript to view this website.
AB12320

Anti-RPA70 antibody

Be the first to review this product! Submit a review

|

(9 Publications)

Rabbit Polyclonal RPA70 antibody. Suitable for WB, IHC-P and reacts with Human, Mouse samples. Cited in 9 publications. Immunogen corresponding to Synthetic Peptide within Human RPA1.

View Alternative Names

REPA1, RPA70, RPA1, Replication protein A 70 kDa DNA-binding subunit, RP-A p70, Replication factor A protein 1, Single-stranded DNA-binding protein, RF-A protein 1

2 Images
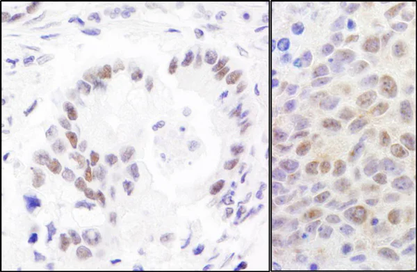
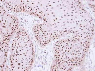
Immunohistochemistry (Formalin/PFA-fixed paraffin-embedded sections) - Anti-RPA70 antibody (AB12320)
  • IHC-P

Unknown

Immunohistochemistry (Formalin/PFA-fixed paraffin-embedded sections) - Anti-RPA70 antibody (AB12320)

Immunohistochemistry (Formalin/PFA-fixed paraffin-embedded sections) analysis of human stomach carcinoma (left) and mouse CT26 colon carcinoma (right) tissues labelling RPA70 with ab12320 at 1/1000 (1 µg/ml). Detection : DAB.

Western blot - Anti-RPA70 antibody (AB12320)
  • WB

Unknown

Western blot - Anti-RPA70 antibody (AB12320)

Detection of Human RPA70 by Western Blot. Samples : Whole cell lysate (10, 50 and 100 mcg/lane in lanes 1, 2 and 3, respectively) from HeLa cells. Antibody : ab12320 used at the indicated concentrations. Detection : Chemiluminescence with a 10 second exposure.

Detection of Human RPA70 by Western Blot.
Samples : Whole cell lysate (10, 50 and 100 mcg/lane in lanes 1, 2 and 3, respectively) from HeLa cells.
Antibody : ab12320 used at the indicated concentrations.
Detection : Chemiluminescence with a 10 second exposure.

All lanes:

Western blot - Anti-RPA70 antibody (ab12320)

Predicted band size: 68 kDa

false

Key facts

Host species

Rabbit

Clonality

Polyclonal

Isotype

IgG

Carrier free

No

Reacts with

Mouse, Human

Applications

IHC-P, WB

applications

Immunogen

Synthetic Peptide within Human RPA1. The exact immunogen used to generate this antibody is proprietary information.

P27694

Reactivity data

{ "title": "Reactivity Data", "filters": { "stats": ["", "Species", "Dilution Info", "Notes"], "tabs": { "all-applications": {"fullname" : "All Applications", "shortname": "All Applications"}, "WB" : {"fullname" : "Western blot", "shortname":"WB"}, "IHCP" : {"fullname" : "Immunohistochemistry (Formalin/PFA-fixed paraffin-embedded sections)", "shortname":"IHC-P"} }, "product-promise": { "all": "all", "testedAndGuaranteed": "tested", "guaranteed": "expected", "predicted": "predicted", "notRecommended": "not-recommended" } }, "values": { "Human": { "WB-species-checked": "testedAndGuaranteed", "WB-species-dilution-info": "1/5000 - 1/25000", "WB-species-notes": "<p></p>", "IHCP-species-checked": "testedAndGuaranteed", "IHCP-species-dilution-info": "1/500 - 1/2000", "IHCP-species-notes": "<p></p>" }, "Mouse": { "WB-species-checked": "guaranteed", "WB-species-dilution-info": "", "WB-species-notes": "", "IHCP-species-checked": "testedAndGuaranteed", "IHCP-species-dilution-info": "1/500 - 1/2000", "IHCP-species-notes": "<p></p> Perform heat-mediated antigen retrieval with Tris/EDTA buffer pH 9.0 before commencing with IHC staining protocol." }, "Chimpanzee": { "WB-species-checked": "predicted", "WB-species-dilution-info": "", "WB-species-notes": "", "IHCP-species-checked": "predicted", "IHCP-species-dilution-info": "", "IHCP-species-notes": "" }, "Gorilla": { "WB-species-checked": "predicted", "WB-species-dilution-info": "", "WB-species-notes": "", "IHCP-species-checked": "predicted", "IHCP-species-dilution-info": "", "IHCP-species-notes": "" }, "Opossum": { "WB-species-checked": "predicted", "WB-species-dilution-info": "", "WB-species-notes": "", "IHCP-species-checked": "predicted", "IHCP-species-dilution-info": "", "IHCP-species-notes": "" }, "Orangutan": { "WB-species-checked": "predicted", "WB-species-dilution-info": "", "WB-species-notes": "", "IHCP-species-checked": "predicted", "IHCP-species-dilution-info": "", "IHCP-species-notes": "" }, "Rabbit": { "WB-species-checked": "predicted", "WB-species-dilution-info": "", "WB-species-notes": "", "IHCP-species-checked": "predicted", "IHCP-species-dilution-info": "", "IHCP-species-notes": "" }, "Rhesus monkey": { "WB-species-checked": "predicted", "WB-species-dilution-info": "", "WB-species-notes": "", "IHCP-species-checked": "predicted", "IHCP-species-dilution-info": "", "IHCP-species-notes": "" } } }

Properties and storage information

Form
Liquid
Purification technique
Affinity purification Immunogen
Purification notes
Purified using the peptide immobilized on solid support.
Storage buffer
pH: 7 - 8 Preservative: 0.1% Sodium azide Constituents: PBS, 1.815% Tris, 1.764% Sodium citrate
Shipped at conditions
Blue Ice
Appropriate short-term storage conditions
+4°C
Appropriate long-term storage conditions
+4°C
Aliquoting information
Upon delivery aliquot
Storage information
Avoid freeze / thaw cycle

Product protocols

For this product, it's our understanding that no specific protocols are required. You can visit:

Target data

As part of the heterotrimeric replication protein A complex (RPA/RP-A), binds and stabilizes single-stranded DNA intermediates that form during DNA replication or upon DNA stress. It prevents their reannealing and in parallel, recruits and activates different proteins and complexes involved in DNA metabolism (PubMed : 17596542, PubMed : 27723717, PubMed : 27723720). Thereby, it plays an essential role both in DNA replication and the cellular response to DNA damage (PubMed : 9430682). In the cellular response to DNA damage, the RPA complex controls DNA repair and DNA damage checkpoint activation. Through recruitment of ATRIP activates the ATR kinase a master regulator of the DNA damage response (PubMed : 24332808). It is required for the recruitment of the DNA double-strand break repair factors RAD51 and RAD52 to chromatin in response to DNA damage (PubMed : 17765923). Also recruits to sites of DNA damage proteins like XPA and XPG that are involved in nucleotide excision repair and is required for this mechanism of DNA repair (PubMed : 7697716). Also plays a role in base excision repair (BER) probably through interaction with UNG (PubMed : 9765279). Also recruits SMARCAL1/HARP, which is involved in replication fork restart, to sites of DNA damage. Plays a role in telomere maintenance (PubMed : 17959650, PubMed : 34767620). As part of the alternative replication protein A complex, aRPA, binds single-stranded DNA and probably plays a role in DNA repair. Compared to the RPA2-containing, canonical RPA complex, may not support chromosomal DNA replication and cell cycle progression through S-phase. The aRPA may not promote efficient priming by DNA polymerase alpha but could support DNA synthesis by polymerase delta in presence of PCNA and replication factor C (RFC), the dual incision/excision reaction of nucleotide excision repair and RAD51-dependent strand exchange (PubMed : 19996105). RPA stimulates 5'-3' helicase activity of the BRIP1/FANCJ (PubMed : 17596542).
See full target information RPA1

Publications (9)

Recent publications for all applications. Explore the full list and refine your search

Science advances 11:eadw2756 PubMed40834068

2025

RPA1 protects DNA damage-induced PANoptosis in limb development.

Applications

Unspecified application

Species

Unspecified reactive species

Qi Yin,Shuanglin Peng,Zhong Zhang,Shuang Jiang,Xuan Li,Denghao Huang,Yang Li,Jian Zhou,Jingang Xiao,Ling Ye,Yuxin Yin,Quan Yuan

Advanced science (Weinheim, Baden-Wurttemberg, Germany) 10:e2206344 PubMed36721037

2023

Loss of RPA1 Impairs Peripheral T Cell Homeostasis and Exacerbates Inflammatory Damage through Triggering T Cell Necroptosis.

Applications

Unspecified application

Species

Unspecified reactive species

Jia Song,Xin Zhang,Yue Yin,Mengfan Guo,Xuyang Zhao,Likun Wang,Caixia Ren,Yuxin Yin,Xuehui Zhang,Xuliang Deng,Dan Lu

Cell reports 40:111071 PubMed35830798

2022

RPA1 controls chromatin architecture and maintains lipid metabolic homeostasis.

Applications

Unspecified application

Species

Unspecified reactive species

Qi Yin,Yang Li,Zhe Zhou,Xiang Li,Minghao Li,Chengyang Liu,Di Dong,Guangxi Wang,Minglu Zhu,Jingyi Yang,Yan Jin,Limei Guo,Yuxin Yin

NAR cancer 3:zcab018 PubMed34027408

2021

Targeting IDH1/2 mutant cancers with combinations of ATR and PARP inhibitors.

Applications

Unspecified application

Species

Unspecified reactive species

Amrita Sule,Jinny Van Doorn,Ranjini K Sundaram,Sachita Ganesa,Juan C Vasquez,Ranjit S Bindra

International journal of molecular sciences 21: PubMed33371439

2020

TGFβ1 Suppressed Matrix Mineralization of Osteoblasts Differentiation by Regulating SMURF1-C/EBPβ-DKK1 Axis.

Applications

Unspecified application

Species

Unspecified reactive species

Bora Nam,Hyosun Park,Young Lim Lee,Younseo Oh,Jinsung Park,So Yeon Kim,Subin Weon,Sung Hoon Choi,Jae-Hyuk Yang,Sungsin Jo,Tae-Hwan Kim

Frontiers in genetics 11:855 PubMed32849834

2020

Radioresistance, DNA Damage and DNA Repair in Cells With Moderate Overexpression of RPA1.

Applications

Unspecified application

Species

Unspecified reactive species

Ilya O Velegzhaninov,Elena S Belykh,Elena E Rasova,Yana I Pylina,Dmitry M Shadrin,Dmitry Yu Klokov

Molecular biology of the cell 18:2455-62 PubMed17442890

2007

A Mutation in the SH2 domain of STAT2 prolongs tyrosine phosphorylation of STAT1 and promotes type I IFN-induced apoptosis.

Applications

WB

Species

Human

Anthony J Scarzello,Ana L Romero-Weaver,Stephen G Maher,Timothy D Veenstra,Ming Zhou,Angel Qin,Raymond P Donnelly,Faruk Sheikh,Ana M Gamero

Cancer research 66:8109-15 PubMed16912188

2006

Deficiency in the repair of DNA damage by homologous recombination and sensitivity to poly(ADP-ribose) polymerase inhibition.

Applications

Unspecified application

Species

Unspecified reactive species

Nuala McCabe,Nicholas C Turner,Christopher J Lord,Katarzyna Kluzek,Aneta Bialkowska,Sally Swift,Sabrina Giavara,Mark J O'Connor,Andrew N Tutt,Małgorzata Z Zdzienicka,Graeme C M Smith,Alan Ashworth

Proceedings of the National Academy of Sciences of 103:8768-73 PubMed16731627

2006

Suppression of the DNA repair defects of BRCA2-deficient cells with heterologous protein fusions.

Applications

WB

Species

Human

Hiroshi Saeki,Nicolas Siaud,Nicole Christ,Wouter W Wiegant,Paul P W van Buul,Mingguang Han,Malgorzata Z Zdzienicka,Jeremy M Stark,Maria Jasin
View all publications

Product promise

We are committed to supporting your work with high-quality reagents, and we're here for you every step of the way. In the unlikely event that one of our products does not perform as expected, you're protected by our Product Promise.
For full details, please see our Terms & Conditions

Please note: All products are 'FOR RESEARCH USE ONLY. NOT FOR USE IN DIAGNOSTIC OR THERAPEUTIC PROCEDURES'.

For licensing inquiries, please contact partnerships@abcam.com