JavaScript is disabled in your browser. Please enable JavaScript to view this website.
AB87272

Anti-RPA70 antibody

Be the first to review this product! Submit a review

|

(8 Publications)

Rabbit Polyclonal RPA70 antibody. Suitable for IHC-P and reacts with Mouse, Human samples. Cited in 8 publications. Immunogen corresponding to Synthetic Peptide within Human RPA1 aa 350-400.

View Alternative Names

REPA1, RPA70, RPA1, Replication protein A 70 kDa DNA-binding subunit, RP-A p70, Replication factor A protein 1, Single-stranded DNA-binding protein, RF-A protein 1

2 Images
Immunohistochemistry (Formalin/PFA-fixed paraffin-embedded sections) - Anti-RPA70 antibody (AB87272)
  • IHC-P

Unknown

Immunohistochemistry (Formalin/PFA-fixed paraffin-embedded sections) - Anti-RPA70 antibody (AB87272)

ab87272 at 1/250 dilution staining RPA70 in formalin-fixed, paraffin-embedded Human testicular seminoma tissue.
Detection : DAB staining.

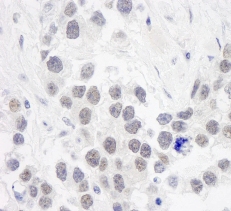
Immunohistochemistry (Formalin/PFA-fixed paraffin-embedded sections) - Anti-RPA70 antibody (AB87272)
  • IHC-P

Unknown

Immunohistochemistry (Formalin/PFA-fixed paraffin-embedded sections) - Anti-RPA70 antibody (AB87272)

ab87272 at 1/250 dilution staining RPA70 in formalin-fixed, paraffin-embedded Mouse colon carcinoma tissue.
Detection : DAB staining.

Key facts

Host species

Rabbit

Clonality

Polyclonal

Isotype

IgG

Carrier free

No

Reacts with

Mouse, Human

Applications

IHC-P

applications

Immunogen

Synthetic Peptide within Human RPA1 aa 350-400. The exact immunogen used to generate this antibody is proprietary information.

P27694

Reactivity data

{ "title": "Reactivity Data", "filters": { "stats": ["", "Species", "Dilution Info", "Notes"], "tabs": { "all-applications": {"fullname" : "All Applications", "shortname": "All Applications"}, "IHCP" : {"fullname" : "Immunohistochemistry (Formalin/PFA-fixed paraffin-embedded sections)", "shortname":"IHC-P"} }, "product-promise": { "all": "all", "testedAndGuaranteed": "tested", "guaranteed": "expected", "predicted": "predicted", "notRecommended": "not-recommended" } }, "values": { "Human": { "IHCP-species-checked": "testedAndGuaranteed", "IHCP-species-dilution-info": "1/100 - 1/500", "IHCP-species-notes": "<p>Antigen retrieval with tris-EDTA buffer pH 9.0 recommended. Likely to work with frozen sections.</p> Antigen retrieval is not essential but may optimise staining." }, "Mouse": { "IHCP-species-checked": "testedAndGuaranteed", "IHCP-species-dilution-info": "1/100 - 1/500", "IHCP-species-notes": "<p>Antigen retrieval with tris-EDTA buffer pH 9.0 recommended. Likely to work with frozen sections.</p> Antigen retrieval is not essential but may optimise staining." }, "Chimpanzee": { "IHCP-species-checked": "predicted", "IHCP-species-dilution-info": "", "IHCP-species-notes": "" }, "Gorilla": { "IHCP-species-checked": "predicted", "IHCP-species-dilution-info": "", "IHCP-species-notes": "" }, "Opossum": { "IHCP-species-checked": "predicted", "IHCP-species-dilution-info": "", "IHCP-species-notes": "" }, "Orangutan": { "IHCP-species-checked": "predicted", "IHCP-species-dilution-info": "", "IHCP-species-notes": "" }, "Rabbit": { "IHCP-species-checked": "predicted", "IHCP-species-dilution-info": "", "IHCP-species-notes": "" }, "Rhesus monkey": { "IHCP-species-checked": "predicted", "IHCP-species-dilution-info": "", "IHCP-species-notes": "" } } }

Properties and storage information

Form
Liquid
Purification technique
Affinity purification Immunogen
Storage buffer
pH: 6.8 - 7.4 Preservative: 0.09% Sodium azide Constituents: Tris buffered saline, 0.1% BSA
Shipped at conditions
Blue Ice
Appropriate short-term storage conditions
+4°C
Appropriate long-term storage conditions
+4°C
Aliquoting information
Upon delivery aliquot
Storage information
Avoid freeze / thaw cycle

Product protocols

For this product, it's our understanding that no specific protocols are required. You can visit:

Target data

As part of the heterotrimeric replication protein A complex (RPA/RP-A), binds and stabilizes single-stranded DNA intermediates that form during DNA replication or upon DNA stress. It prevents their reannealing and in parallel, recruits and activates different proteins and complexes involved in DNA metabolism (PubMed : 17596542, PubMed : 27723717, PubMed : 27723720). Thereby, it plays an essential role both in DNA replication and the cellular response to DNA damage (PubMed : 9430682). In the cellular response to DNA damage, the RPA complex controls DNA repair and DNA damage checkpoint activation. Through recruitment of ATRIP activates the ATR kinase a master regulator of the DNA damage response (PubMed : 24332808). It is required for the recruitment of the DNA double-strand break repair factors RAD51 and RAD52 to chromatin in response to DNA damage (PubMed : 17765923). Also recruits to sites of DNA damage proteins like XPA and XPG that are involved in nucleotide excision repair and is required for this mechanism of DNA repair (PubMed : 7697716). Also plays a role in base excision repair (BER) probably through interaction with UNG (PubMed : 9765279). Also recruits SMARCAL1/HARP, which is involved in replication fork restart, to sites of DNA damage. Plays a role in telomere maintenance (PubMed : 17959650, PubMed : 34767620). As part of the alternative replication protein A complex, aRPA, binds single-stranded DNA and probably plays a role in DNA repair. Compared to the RPA2-containing, canonical RPA complex, may not support chromosomal DNA replication and cell cycle progression through S-phase. The aRPA may not promote efficient priming by DNA polymerase alpha but could support DNA synthesis by polymerase delta in presence of PCNA and replication factor C (RFC), the dual incision/excision reaction of nucleotide excision repair and RAD51-dependent strand exchange (PubMed : 19996105). RPA stimulates 5'-3' helicase activity of the BRIP1/FANCJ (PubMed : 17596542).
See full target information RPA1

Publications (8)

Recent publications for all applications. Explore the full list and refine your search

Biology of reproduction 103:333-342 PubMed32463099

2020

A cell-based high-content screen identifies isocotoin as a small molecule inhibitor of the meiosis-specific MEIOB-SPATA22 complex†.

Applications

Unspecified application

Species

Unspecified reactive species

Yang Xu,Rong Liu,N Adrian Leu,Lei Zhang,Ilsiya Ibragmova,David C Schultz,P Jeremy Wang

Cell reports 31:107686 PubMed32460033

2020

Meiosis-Specific C19orf57/4930432K21Rik/BRME1 Modulates Localization of RAD51 and DMC1 to DSBs in Mouse Meiotic Recombination.

Applications

WB

Species

Mouse

Kazumasa Takemoto,Naoki Tani,Yuki Takada-Horisawa,Sayoko Fujimura,Nobuhiro Tanno,Mariko Yamane,Kaho Okamura,Michihiko Sugimoto,Kimi Araki,Kei-Ichiro Ishiguro

Nucleic acids research 47:11755-11770 PubMed31724724

2019

FBXO47 regulates telomere-inner nuclear envelope integration by stabilizing TRF2 during meiosis.

Applications

Unspecified application

Species

Unspecified reactive species

Rong Hua,Huafang Wei,Chao Liu,Yue Zhang,Siyu Liu,Yueshuai Guo,Yiqiang Cui,Xin Zhang,Xuejiang Guo,Wei Li,Mingxi Liu

Development (Cambridge, England) 146: PubMed31533924

2019

WDR62 is involved in spindle assembly by interacting with CEP170 in spermatogenesis.

Applications

Unspecified application

Species

Unspecified reactive species

Yan Qin,Yang Zhou,Zhiming Shen,Binyang Xu,Min Chen,Yaqiong Li,Min Chen,Axel Behrens,Jingjing Zhou,Xin Qi,Wenxiang Meng,Yaqing Wang,Fei Gao

PLoS genetics 14:e1007657 PubMed30365547

2018

CXXC1 is not essential for normal DNA double-strand break formation and meiotic recombination in mouse.

Applications

Unspecified application

Species

Unspecified reactive species

Hui Tian,Timothy Billings,Petko M Petkov

Nucleic acids research 44:9681-9697 PubMed27431324

2016

H2B ubiquitination regulates meiotic recombination by promoting chromatin relaxation.

Applications

Unspecified application

Species

Unspecified reactive species

Zhiliang Xu,Zhenhua Song,Guoping Li,Huayu Tu,Weixiao Liu,Yujiao Liu,Pan Wang,Yuanting Wang,Xiuhong Cui,Chao Liu,Yongliang Shang,Dirk G de Rooij,Fei Gao,Wei Li

Nature communications 4:2788 PubMed24240703

2013

MEIOB exhibits single-stranded DNA-binding and exonuclease activities and is essential for meiotic recombination.

Applications

Unspecified application

Species

Unspecified reactive species

Mengcheng Luo,Fang Yang,N Adrian Leu,Jessica Landaiche,Mary Ann Handel,Ricardo Benavente,Sophie La Salle,P Jeremy Wang

PLoS genetics 6:e1001190 PubMed21079677

2010

Hormad1 mutation disrupts synaptonemal complex formation, recombination, and chromosome segregation in mammalian meiosis.

Applications

ICC/IF

Species

Mouse

Yong-Hyun Shin,Youngsok Choi,Serpil Uckac Erdin,Svetlana A Yatsenko,Malgorzata Kloc,Fang Yang,P Jeremy Wang,Marvin L Meistrich,Aleksandar Rajkovic
View all publications

Product promise

We are committed to supporting your work with high-quality reagents, and we're here for you every step of the way. In the unlikely event that one of our products does not perform as expected, you're protected by our Product Promise.
For full details, please see our Terms & Conditions

Please note: All products are 'FOR RESEARCH USE ONLY. NOT FOR USE IN DIAGNOSTIC OR THERAPEUTIC PROCEDURES'.

For licensing inquiries, please contact partnerships@abcam.com