JavaScript is disabled in your browser. Please enable JavaScript to view this website.
AB79398

Anti-RPA70 antibody [EPR3472]

5

(6 Reviews)

|

(86 Publications)

Anti-RPA70 antibody [EPR3472] (ab79398) is a rabbit monoclonal antibody detecting RPA70 in Western Blot, Flow Cytometry (Intra), Flow Cytometry, IP, IHC-P, ICC/IF. Suitable for Human.

- Biophysical QC for unrivalled batch-batch consistency
- Over 70 publications
- Trusted since 2009

View Alternative Names

REPA1, RPA70, RPA1, Replication protein A 70 kDa DNA-binding subunit, RP-A p70, Replication factor A protein 1, Single-stranded DNA-binding protein, RF-A protein 1

11 Images
Immunocytochemistry/ Immunofluorescence - Anti-RPA70 antibody [EPR3472] (AB79398)
  • ICC/IF

AbReview46343****

Immunocytochemistry/ Immunofluorescence - Anti-RPA70 antibody [EPR3472] (AB79398)

Unpurified ab79398 staining RPA70 in U-2 OS (Human bone osteosarcoma epithelial cell line) cells by ICC/IF (Immunocytochemistry/immunofluorescence).

Cells were fixed with paraformaldehyde, permeabilized with 0.5% Triton X-100 in PBS and blocked with 2% BSA for 1 hour at 25°C. Samples were incubated with primary antibody (1/500 in PBS + 0.5% Tween-20) for 2 hours at 25°C. A Cy3®-conjugated goat anti-rabbit IgG monoclonal (1/250) was used as the secondary antibody.

This image is courtesy of an Abreview submitted by Remi Buisson.

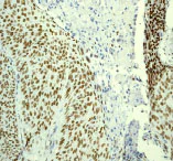
Immunohistochemistry (Formalin/PFA-fixed paraffin-embedded sections) - Anti-RPA70 antibody [EPR3472] (AB79398)
  • IHC-P

Unknown

Immunohistochemistry (Formalin/PFA-fixed paraffin-embedded sections) - Anti-RPA70 antibody [EPR3472] (AB79398)

Immunohistochemistry (Formalin/PFA-fixed paraffin-embedded sections) analysis of human cervical squamous cell carcinoma labelling RPA70 with unpurified ab79398 at a dilution of 1/100. Perform heat mediated antigen retrieval before commencing with IHC staining protocol.

Flow Cytometry (Intracellular) - Anti-RPA70 antibody [EPR3472] (AB79398)
  • Flow Cyt (Intra)

Unknown

Flow Cytometry (Intracellular) - Anti-RPA70 antibody [EPR3472] (AB79398)

Overlay histogram showing HeLa (Human epithelial cell line from cervix adenocarcinoma) cells stained with unpurifiedab79398 (red line).

The cells were fixed with 80% methanol (5 min) and then permeabilized with 0.1% PBS-Tween for 20 min. The cells were then incubated in 1x PBS / 10% normal goat serum / 0.3M glycine to block non-specific protein-protein interactions followed by the antibody (unpurified ab79398, 1/100 dilution) for 30 min at 22°C. The secondary antibody used was DyLight® 488 goat anti-rabbit IgG (H+L) (ab96899) at 1/500 dilution for 30 min at 22°C.

Isotype control antibody (black line) was rabbit IgG (monoclonal) (1μg/1x106 cells) used under the same conditions.

Acquisition of >5,000 events was performed.

Immunohistochemistry (Formalin/PFA-fixed paraffin-embedded sections) - Anti-RPA70 antibody [EPR3472] (AB79398)
  • IHC-P

Unknown

Immunohistochemistry (Formalin/PFA-fixed paraffin-embedded sections) - Anti-RPA70 antibody [EPR3472] (AB79398)

Immunohistochemistry (Formalin/PFA-fixed paraffin-embedded sections) analysis of human cervix carcinoma tissue labeling RPA70 with purified ab79398 at 1/100.

Heat mediated antigen retrieval was performed using Tris/EDTA buffer pH 9. ab97051, a HRP-conjugated goat anti-rabbit IgG (H+L) was used as the secondary antibody (1/500).

Negative control using PBS instead of primary antibody. Counterstained with hematoxylin.

Immunocytochemistry/ Immunofluorescence - Anti-RPA70 antibody [EPR3472] (AB79398)
  • ICC/IF

Unknown

Immunocytochemistry/ Immunofluorescence - Anti-RPA70 antibody [EPR3472] (AB79398)

Immunocytochemistry/Immunofluorescence analysis of A549 (Human lung carcinoma cell line) cells labeling RPA70 with purified ab79398 at 1/200.

Cells were fixed with 4% paraformaldehyde and permeabilized with 0.1% Triton X-100. ab150077, an Alexa Fluor® 488-conjugated goat anti-rabbit IgG (1/500) was used as the secondary antibody. DAPI (blue) was used as the nuclear counterstain. ab7291, a mouse anti-tubulin (1/1000) and ab150120, an Alexa Fluor® 594-conjugated goat anti-mouse IgG (1/500) were also used.

Control 1 : primary antibody (1/200) and secondary antibody, ab150120, an Alexa Fluor® 594-conjugated goat anti-mouse IgG (1/500).

Control 2 : ab7291 (1/1000) and secondary antibody, ab150077, an Alexa Fluor® 488-conjugated goat anti-rabbit IgG (1/500).

Flow Cytometry (Intracellular) - Anti-RPA70 antibody [EPR3472] (AB79398)
  • Flow Cyt (Intra)

Unknown

Flow Cytometry (Intracellular) - Anti-RPA70 antibody [EPR3472] (AB79398)

Intracellular Flow Cytometry analysis of HeLa (Human epithelial cell line from cervix adenocarcinoma) cells labeling RPA70 with purified ab79398 at 1/80 (red).

Cells were fixed with 2% paraformaldehyde. A FITC-conjugated goat anti-rabbit IgG (1/150) was used as the secondary antibody. Black - Isotype control, rabbit monoclonal IgG. Blue - Unlabeled control, cells without incubation with primary and secondary antibodies.

Immunoprecipitation - Anti-RPA70 antibody [EPR3472] (AB79398)
  • IP

Unknown

Immunoprecipitation - Anti-RPA70 antibody [EPR3472] (AB79398)

ab79398 (purified) at 1/20 immunoprecipitating RPA70 in HeLa (Human epithelial cell line from cervix adenocarcinoma) whole cell lysate.

Lane 1 (input) : HeLa whole cell lysate (10 μg)

Lane 2 (+) : ab79398 + HeLa whole cell lysate (10 μg).

Lane 3 (-) : Rabbit monoclonal IgG (ab172730) instead of ab79398 in HeLa whole cell lysate.

For western blotting, an HRP-conjugated anti-rabbit IgG, specific to the non-reduced form of IgG was used as the secondary antibody (1/1500).

Blocking/Dilution buffer : 5% NFDM/TBST.

All lanes:

Immunoprecipitation - Anti-RPA70 antibody [EPR3472] (ab79398)

Predicted band size: 68 kDa

Observed band size: 70 kDa

false

Western blot - Anti-RPA70 antibody [EPR3472] (AB79398)
  • WB

Lab

Western blot - Anti-RPA70 antibody [EPR3472] (AB79398)

Blocking/Dilution buffer : 5% NFDM/TBST.

All lanes:

Western blot - Anti-RPA70 antibody [EPR3472] (ab79398) at 1/1000 dilution

All lanes:

A549 (Human lung carcinoma cell line) cell lysate at 20 µg

Secondary

All lanes:

Peroxidase-conjugated goat anti-rabbit IgG, (H+L) at 1/1000 dilution

Predicted band size: 68 kDa

Observed band size: 70 kDa

false

Western blot - Anti-RPA70 antibody [EPR3472] (AB79398)
  • WB

Unknown

Western blot - Anti-RPA70 antibody [EPR3472] (AB79398)

All lanes:

Western blot - Anti-RPA70 antibody [EPR3472] (ab79398) at 1/5000 dilution

Lane 1:

A549 (Human lung carcinoma cell line) cell lysate at 10 µg

Lane 2:

HeLa (Human epithelial cell line from cervix adenocarcinoma) cell lysate at 10 µg

Secondary

All lanes:

HRP-conjugated goat anti-rabbit IgG at 1/2000 dilution

Predicted band size: 68 kDa

Observed band size: 70 kDa

false

Western blot - Anti-RPA70 antibody [EPR3472] (AB79398)
  • WB

Lab

Western blot - Anti-RPA70 antibody [EPR3472] (AB79398)

Blocking/Dilution buffer : 5% NFDM/TBST.

All lanes:

Western blot - Anti-RPA70 antibody [EPR3472] (ab79398) at 1/4000 dilution

Lane 1:

HEK-293 (Human epithelial cell line from embryonic kidney) cell lysate at 20 µg

Lane 2:

HeLa (Human epithelial cell line from cervix adenocarcinoma) cell lysate at 20 µg

Secondary

All lanes:

Peroxidase-conjugated goat anti-rabbit IgG, (H+L) at 1/1000 dilution

Predicted band size: 68 kDa

Observed band size: 70 kDa

false

Western blot - Anti-RPA70 antibody [EPR3472] (AB79398)
  • WB

CiteAb

Western blot - Anti-RPA70 antibody [EPR3472] (AB79398)

RPA70 western blot using anti-RPA70 antibody [EPR3472] ab79398. Publication image and figure legend from Pedersen, H., Anne Adanma Obara, E., et al., 2020, Int J Mol Sci, PubMed 32111042.

ab79398 was used in this publication in western blot. This may not be the same as the application(s) guaranteed by Abcam. For a full list of applications guaranteed by Abcam for ab79398 please see the product overview.

RPA expression is crucial for the maintenance of glioblastoma cancer stem-like cells. (A) Immunoblot analysis of RPA70, RPA32 and RPA14 in a panel of GBM primary cell lines (4121, G01, G06, G40, G07, G16 and G20) and two normal human astrocyte cell lines (NHA33, NHA26). β-Actin was used as a loading control. (B) Immunoblot analysis of RPA70, RPA32 and RPA14 expression in matched pairs of glioblastoma cancer stem-like cells (GSCs) and differentiated GBM cells (DGCs) isolated from 4121, G01, G06 and G40 primary GBM cell lines. α-Tubulin or Glyceraldehyde 3-phosphate dehydrogenase (GAPDH) was used as a loading control. (C) Immunoblot analysis validating knockdown efficiencies of lentiviral shRNAs targeting RPA70, RPA32 and RPA14 in G01-GSCs. α-Tubulin was used as a loading control. (D) CellTiter-Glo luminescent viability assay (Promega) of G01-GSCs transduced with lentiviral shRNA targeting RPA70, RPA32 or RPA14 assessed 72 h after virus wash. Data are presented as mean ± SD. Statistical significance was tested using a two-way ANOVA with post-hoc Sidak's multiple comparisons test, where *** p < 0.001. N = 3. (E) CellTiter-Glo luminescent viability assay (Promega) of G01-GSCs transduced with lentiviral shRNA targeting RPA70, RPA32 or RPA14 alone or 24 h after irradiation (3 Gy; COMBO) or sham-irradiated and assessed for viability 72 h later. (E) Extreme limiting dilution assay (ELDA) of G01-GSCs transduced with lentiviral shRNA targeting of RPA70 (2 independent shRNAs) shows significantly impaired self-renewal of G01-GSCs after 10 days. Data are presented as mean ± SD. Statistical significance was tested using a two-way ANOVA with post-hoc Sidak's multiple comparisons test, where * p < 0.05, ** p < 0.01, *** p < 0.001. N = 3.

false

Key facts

Host species

Rabbit

Clonality

Monoclonal

Clone number

EPR3472

Isotype

IgG

Carrier free

No

Reacts with

Human

Applications

IP, ICC/IF, WB, Flow Cyt (Intra), IHC-P

applications

Immunogen

The exact immunogen used to generate this antibody is proprietary information.

Reactivity data

{ "title": "Reactivity Data", "filters": { "stats": ["", "Species", "Dilution Info", "Notes"], "tabs": { "all-applications": {"fullname" : "All Applications", "shortname": "All Applications"}, "IHCP" : {"fullname" : "Immunohistochemistry (Formalin/PFA-fixed paraffin-embedded sections)", "shortname":"IHC-P"}, "IP" : {"fullname" : "Immunoprecipitation", "shortname":"IP"}, "WB" : {"fullname" : "Western blot", "shortname":"WB"}, "ICCIF" : {"fullname" : "Immunocytochemistry/ Immunofluorescence", "shortname":"ICC/IF"}, "FlowCytIntra" : {"fullname" : "Flow Cytometry (Intracellular)", "shortname":"Flow Cyt (Intra)"} }, "product-promise": { "all": "all", "testedAndGuaranteed": "tested", "guaranteed": "expected", "predicted": "predicted", "notRecommended": "not-recommended" } }, "values": { "Human": { "IHCP-species-checked": "testedAndGuaranteed", "IHCP-species-dilution-info": "1/100 - 1/250", "IHCP-species-notes": "<p>See IHC antigen retrieval protocols.</p> Perform heat-mediated antigen retrieval before commencing with IHC staining protocol.", "IP-species-checked": "testedAndGuaranteed", "IP-species-dilution-info": "1/10 - 1/20", "IP-species-notes": "<p></p>", "WB-species-checked": "testedAndGuaranteed", "WB-species-dilution-info": "1/1000", "WB-species-notes": "<p><strong>For unpurified use at 1/2000 - 1/5000.</strong></p>", "ICCIF-species-checked": "testedAndGuaranteed", "ICCIF-species-dilution-info": "1/100 - 1/250", "ICCIF-species-notes": "<p></p>", "FlowCytIntra-species-checked": "testedAndGuaranteed", "FlowCytIntra-species-dilution-info": "1/80", "FlowCytIntra-species-notes": "<p>For unpurified use at 1/50.<a href='/en-us/products/primary-antibodies/rabbit-igg-monoclonal-epr25a-isotype-control-ab172730'>ab172730</a> - Rabbit monoclonal IgG, is suitable for use as an isotype control with this antibody.</p>" } } }

Product details

What is this antibody validated in?
Anti-RPA70 antibody [EPR3472] (ab79398) is a rabbit recombinant monoclonal antibody and is validated for use in Western Blot (WB), Flow Cytometry (Intra), Flow Cytometry (Flow Cyt), Immunoprecipitation (IP), Immunohistochemistry (IHC-P), Immunocytochemistry/immunofluorescence (ICC/IF) in Human samples.

What is the molecular weight of RPA70?
Anti-RPA70 [EPR3472] (ab79398) specifically detects a band for RPA70 (UniProt: P27694) at a molecular weight of 70kDa.

Trusted by the scientific community
Anti-RPA70 [EPR3472] (ab79398) was first used in a scientific publication in 2009 and has been cited over 70 times in peer-reviewed journals.

Reviewed by scientists
Anti-RPA70 [EPR3472] (ab79398) has over 5 independent reviews from customers.

Trial sizes available!
Test your antibody or perform pre-screening before committing to a larger quantity. Sold in 10µl. Discover our selection of trial-size antibodies.

Other related products
We have a range of other formats of antibody clone [EPR3472] also available for your convenience: ab79398, Alexa Fluor® 488 - ab199097, Alexa Fluor® 647 - ab199240, Carrier free - ab239890, PE - ab303077, APC - ab303078, HRP - ab303079, Alkaline Phosphatase - ab308863, Alexa Fluor® 594 - ab310589, Alexa Fluor® 555 - ab312119, Alexa Fluor® 568 - ab312603, Alexa Fluor® 750 - ab321735

Species reactivity
Mouse, Rat: We have preliminary internal testing data to indicate this antibody may not react with these species.
Please contact us for more information.

Patented technology
Our RabMAb® technology is a patented hybridoma-based technology for making rabbit monoclonal antibodies. For details on our patents, please refer to RabMAb® patents.

What are the advantages of a recombinant monoclonal antibody?
This product is a recombinant monoclonal antibody, which offers several advantages including:

  • - High batch-to-batch consistency and reproducibility
  • - Improved sensitivity and specificity
  • - Long-term security of supply
  • - Animal-free batch production

For more information, read more on recombinant antibodies.

Properties and storage information

Form
Liquid
Purification technique
Affinity purification Protein A
Storage buffer
pH: 7.2 - 7.4 Preservative: 0.01% Sodium azide Constituents: PBS, 40% Glycerol (glycerin, glycerine), 0.05% BSA
Shipped at conditions
Conditional Ambient
Appropriate short-term storage duration
1-2 weeks
Appropriate short-term storage conditions
+4°C
Appropriate long-term storage conditions
-20°C
Aliquoting information
Upon delivery aliquot
Storage information
Stable for 12 months at -20°C

Product protocols

For this product, it's our understanding that no specific protocols are required. You can visit:

Target data

As part of the heterotrimeric replication protein A complex (RPA/RP-A), binds and stabilizes single-stranded DNA intermediates that form during DNA replication or upon DNA stress. It prevents their reannealing and in parallel, recruits and activates different proteins and complexes involved in DNA metabolism (PubMed : 17596542, PubMed : 27723717, PubMed : 27723720). Thereby, it plays an essential role both in DNA replication and the cellular response to DNA damage (PubMed : 9430682). In the cellular response to DNA damage, the RPA complex controls DNA repair and DNA damage checkpoint activation. Through recruitment of ATRIP activates the ATR kinase a master regulator of the DNA damage response (PubMed : 24332808). It is required for the recruitment of the DNA double-strand break repair factors RAD51 and RAD52 to chromatin in response to DNA damage (PubMed : 17765923). Also recruits to sites of DNA damage proteins like XPA and XPG that are involved in nucleotide excision repair and is required for this mechanism of DNA repair (PubMed : 7697716). Also plays a role in base excision repair (BER) probably through interaction with UNG (PubMed : 9765279). Also recruits SMARCAL1/HARP, which is involved in replication fork restart, to sites of DNA damage. Plays a role in telomere maintenance (PubMed : 17959650, PubMed : 34767620). As part of the alternative replication protein A complex, aRPA, binds single-stranded DNA and probably plays a role in DNA repair. Compared to the RPA2-containing, canonical RPA complex, may not support chromosomal DNA replication and cell cycle progression through S-phase. The aRPA may not promote efficient priming by DNA polymerase alpha but could support DNA synthesis by polymerase delta in presence of PCNA and replication factor C (RFC), the dual incision/excision reaction of nucleotide excision repair and RAD51-dependent strand exchange (PubMed : 19996105). RPA stimulates 5'-3' helicase activity of the BRIP1/FANCJ (PubMed : 17596542).
See full target information RPA1

Publications (86)

Recent publications for all applications. Explore the full list and refine your search

Nature communications 16:7832 PubMed40846865

2025

Centromere protection requires strict mitotic inactivation of the Bloom syndrome helicase complex.

Applications

Unspecified application

Species

Unspecified reactive species

María Fernández-Casañas,Eleftheria Karanika,Umit Aliyaskarova,Tomisin Olukoga,Alex D Herbert,Antony W Oliver,Matthew Day,Adrijana Crncec,Kok-Lung Chan

eLife 13: PubMed39887032

2025

Synergistic effect of inhibiting CHK2 and DNA replication on cancer cell growth.

Applications

Unspecified application

Species

Unspecified reactive species

Flavie Coquel,Sing-Zong Ho,Keng-Chang Tsai,Chun-Yen Yang,Antoine Aze,Julie Devin,Ting-Hsiang Chang,Marie Kong-Hap,Audrey Bioteau,Jerome Moreaux,Domenico Maiorano,Philippe Pourquier,Wen-Chin Yang,Yea-Lih Lin,Philippe Pasero

Nucleic acids research 52:12351-12377 PubMed39315696

2024

p53-dependent crosstalk between DNA replication integrity and redox metabolism mediated through a NRF2-PARP1 axis.

Applications

Unspecified application

Species

Unspecified reactive species

Gamal Ahmed Elfar,Obed Aning,Tsz Wai Ngai,Pearlyn Yeo,Joel Wai Kit Chan,Shang Hong Sim,Leonard Goh,Ju Yuan,Cheryl Zi Jin Phua,Joanna Zhen Zhen Yeo,Shi Ya Mak,Brian Kim Poh Goh,Pierce Kah-Hoe Chow,Wai Leong Tam,Ying Swan Ho,Chit Fang Cheok

Nature communications 15:7081 PubMed39152168

2024

DSS1 restrains BRCA2's engagement with dsDNA for homologous recombination, replication fork protection, and R-loop homeostasis.

Applications

Unspecified application

Species

Unspecified reactive species

Yuxin Huang,Wenjing Li,Tzeh Foo,Jae-Hoon Ji,Bo Wu,Nozomi Tomimatsu,Qingming Fang,Boya Gao,Melissa Long,Jingfei Xu,Rouf Maqbool,Bipasha Mukherjee,Tengyang Ni,Salvador Alejo,Yuan He,Sandeep Burma,Li Lan,Bing Xia,Weixing Zhao

Cancers 16: PubMed38893273

2024

Small-Molecule Inhibition of CBX4/7 Hypersensitises Homologous Recombination-Impaired Cancer to Radiation by Compromising CtIP-Mediated DNA End Resection.

Applications

Unspecified application

Species

Unspecified reactive species

Hugh C Osborne,Benjamin M Foster,Hazim Al-Hazmi,Stefan Meyer,Igor Larrosa,Christine K Schmidt

Science advances 10:eadm8196 PubMed38787953

2024

Human DNA topoisomerase I poisoning causes R loop-mediated genome instability attenuated by transcription factor IIS.

Applications

Unspecified application

Species

Unspecified reactive species

Renée C Duardo,Jessica Marinello,Marco Russo,Sara Morelli,Simona Pepe,Federico Guerra,Belén Gómez-González,Andrés Aguilera,Giovanni Capranico

Molecular cancer 23:101 PubMed38745269

2024

CRISPR-Cas13d screens identify KILR, a breast cancer risk-associated lncRNA that regulates DNA replication and repair.

Applications

Unspecified application

Species

Unspecified reactive species

Lu Wang,Mainá Bitar,Xue Lu,Sebastien Jacquelin,Sneha Nair,Haran Sivakumaran,Kristine M Hillman,Susanne Kaufmann,Rebekah Ziegman,Francesco Casciello,Harsha Gowda,Joseph Rosenbluh,Stacey L Edwards,Juliet D French

Nature communications 15:2890 PubMed38570537

2024

Dbf4-dependent kinase promotes cell cycle controlled resection of DNA double-strand breaks and repair by homologous recombination.

Applications

Unspecified application

Species

Unspecified reactive species

Lorenzo Galanti,Martina Peritore,Robert Gnügge,Elda Cannavo,Johannes Heipke,Maria Dilia Palumbieri,Barbara Steigenberger,Lorraine S Symington,Petr Cejka,Boris Pfander

Journal of virology 98:e0151523 PubMed38323812

2024

Human Bocavirus 1 NP1 acts as an ssDNA-binding protein to help AAV2 DNA replication and cooperates with RPA to regulate AAV2 capsid expression.

Applications

Unspecified application

Species

Unspecified reactive species

Yanqun Zhao,Wei Liu,Yanjie Li,Jing Ma,Ting Liu,Huichan Cui,Yongheng Deng,Xiaochen Liao,Zekun Wang

Nature communications 14:7430 PubMed37973845

2023

Repression of LSD1 potentiates homologous recombination-proficient ovarian cancer to PARP inhibitors through down-regulation of BRCA1/2 and RAD51.

Applications

Unspecified application

Species

Unspecified reactive species

Lei Tao,Yue Zhou,Xiangyu Pan,Yuan Luo,Jiahao Qiu,Xia Zhou,Zhiqian Chen,Yan Li,Lian Xu,Yang Zhou,Zeping Zuo,Chunqi Liu,Liang Wang,Xiaocong Liu,Xinyu Tian,Na Su,Zhengnan Yang,Yu Zhang,Kun Gou,Na Sang,Huan Liu,Jiao Zou,Yuzhou Xiao,Xi Zhong,Jing Xu,Xinyu Yang,Kai Xiao,Yanyang Liu,Shengyong Yang,Yong Peng,Junhong Han,Xiaobo Cen,Yinglan Zhao
View all publications

Product promise

We are committed to supporting your work with high-quality reagents, and we're here for you every step of the way. In the unlikely event that one of our products does not perform as expected, you're protected by our Product Promise.
For full details, please see our Terms & Conditions

Please note: All products are 'FOR RESEARCH USE ONLY. NOT FOR USE IN DIAGNOSTIC OR THERAPEUTIC PROCEDURES'.

For licensing inquiries, please contact partnerships@abcam.com