JavaScript is disabled in your browser. Please enable JavaScript to view this website.
AB180501

Anti-RPC39 antibody [EPR13200]

Be the first to review this product! Submit a review

|

(1 Publication)

Rabbit Recombinant Monoclonal RPC39 antibody. Suitable for WB and reacts with Human samples. Cited in 1 publication.

View Alternative Names

DNA-directed RNA polymerase III subunit RPC6, RNA polymerase III subunit C6, DNA-directed RNA polymerase III subunit F, RNA polymerase III 39 kDa subunit, RPC39, POLR3F

1 Images
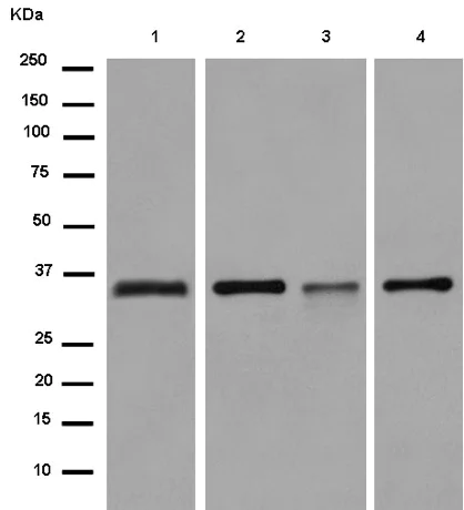
Western blot - Anti-RPC39 antibody [EPR13200] (AB180501)
  • WB

Supplier Data

Western blot - Anti-RPC39 antibody [EPR13200] (AB180501)

All lanes:

Western blot - Anti-RPC39 antibody [EPR13200] (ab180501) at 1/1000 dilution

Lane 1:

BxPC-3 lysate at 20 µg

Lane 2:

Hela lysate at 20 µg

Lane 3:

A431 lysate at 20 µg

Lane 4:

HepG2 lysate at 20 µg

Secondary

All lanes:

Goat Anti-Rabbit IgG, (H+L), Peroxidase conjugated at 1/1000 dilution

Predicted band size: 36 kDa

Observed band size: 36 kDa

false

  • Carrier free

    Anti-RPC39 antibody [EPR13200] - BSA and Azide free

Key facts

Host species

Rabbit

Clonality

Monoclonal

Clone number

EPR13200

Isotype

IgG

Carrier free

No

Reacts with

Human

Applications

WB

applications

Immunogen

The exact immunogen used to generate this antibody is proprietary information.

Reactivity data

{ "title": "Reactivity Data", "filters": { "stats": ["", "Species", "Dilution Info", "Notes"], "tabs": { "all-applications": {"fullname" : "All Applications", "shortname": "All Applications"}, "WB" : {"fullname" : "Western blot", "shortname":"WB"} }, "product-promise": { "all": "all", "testedAndGuaranteed": "tested", "guaranteed": "expected", "predicted": "predicted", "notRecommended": "not-recommended" } }, "values": { "Human": { "WB-species-checked": "testedAndGuaranteed", "WB-species-dilution-info": "1/1000 - 1/10000", "WB-species-notes": "<p></p>" }, "Mouse": { "WB-species-checked": "predicted", "WB-species-dilution-info": "", "WB-species-notes": "" }, "Rat": { "WB-species-checked": "predicted", "WB-species-dilution-info": "", "WB-species-notes": "" } } }

Product details

Patented technology
Our RabMAb® technology is a patented hybridoma-based technology for making rabbit monoclonal antibodies. For details on our patents, please refer to RabMAb® patents.

What are the advantages of a recombinant monoclonal antibody?
This product is a recombinant monoclonal antibody, which offers several advantages including:

  • - High batch-to-batch consistency and reproducibility
  • - Improved sensitivity and specificity
  • - Long-term security of supply
  • - Animal-free batch production

For more information, read more on recombinant antibodies.

Properties and storage information

Form
Liquid
Purification technique
Affinity purification Protein A
Storage buffer
Preservative: 0.01% Sodium azide Constituents: PBS, 40% Glycerol (glycerin, glycerine), 0.05% BSA
Shipped at conditions
Blue Ice
Appropriate short-term storage duration
1-2 weeks
Appropriate short-term storage conditions
+4°C
Appropriate long-term storage conditions
-20°C
Aliquoting information
Upon delivery aliquot
Storage information
Avoid freeze / thaw cycle

Product protocols

For this product, it's our understanding that no specific protocols are required. You can visit:

Target data

DNA-dependent RNA polymerase catalyzes the transcription of DNA into RNA using the four ribonucleoside triphosphates as substrates (PubMed : 20413673, PubMed : 21358628, PubMed : 33558764, PubMed : 34675218). Specific peripheric component of RNA polymerase III (Pol III) which synthesizes small non-coding RNAs including 5S rRNA, snRNAs, tRNAs and miRNAs from at least 500 distinct genomic loci. Part of POLR3C/RPC3-POLR3F/RPC6-POLR3G/RPC7 heterotrimer that coordinates the dynamics of Pol III stalk and clamp modules during the transition from apo to elongation state (PubMed : 20413673, PubMed : 33558764, PubMed : 33558766). Pol III plays a key role in sensing and limiting infection by intracellular bacteria and DNA viruses, including varicella zoster virus. Acts as a nuclear and cytosolic DNA sensor detecting AT-rich DNA, involved in innate immune response. Can sense non-self dsDNA that serves as template for transcription into dsRNA. The non-self RNA polymerase III transcripts, such as Epstein-Barr virus-encoded RNAs (EBERs) induce type I interferon and NF-kappa-B through the RIG-I pathway (PubMed : 19609254, PubMed : 19631370, PubMed : 30211253). Preferentially binds double-stranded DNA (dsDNA) (PubMed : 21358628).
See full target information POLR3F

Publications (1)

Recent publications for all applications. Explore the full list and refine your search

Nature genetics 49:180-185 PubMed28067913

2017

Impaired H3K36 methylation defines a subset of head and neck squamous cell carcinomas.

Applications

Unspecified application

Species

Unspecified reactive species

Simon Papillon-Cavanagh,Chao Lu,Tenzin Gayden,Leonie G Mikael,Denise Bechet,Christina Karamboulas,Laurie Ailles,Jason Karamchandani,Dylan M Marchione,Benjamin A Garcia,Ilan Weinreb,David Goldstein,Peter W Lewis,Octavia Maria Dancu,Sandeep Dhaliwal,William Stecho,Christopher J Howlett,Joe S Mymryk,John W Barrett,Anthony C Nichols,C David Allis,Jacek Majewski,Nada Jabado
View all publications

Product promise

We are committed to supporting your work with high-quality reagents, and we're here for you every step of the way. In the unlikely event that one of our products does not perform as expected, you're protected by our Product Promise.
For full details, please see our Terms & Conditions

Please note: All products are 'FOR RESEARCH USE ONLY. NOT FOR USE IN DIAGNOSTIC OR THERAPEUTIC PROCEDURES'.

For licensing inquiries, please contact partnerships@abcam.com