JavaScript is disabled in your browser. Please enable JavaScript to view this website.
AB180604

Anti-RPF2 antibody [EP10252]

Be the first to review this product! Submit a review

|

(2 Publications)

Rabbit Monoclonal RPF2 antibody. Suitable for WB, ICC/IF, IHC-P and reacts with Human samples. Cited in 2 publications.

View Alternative Names

BXDC1, RPF2, Ribosome production factor 2 homolog, Brix domain-containing protein 1, Ribosome biogenesis protein RPF2 homolog

3 Images
Immunocytochemistry/ Immunofluorescence - Anti-RPF2 antibody [EP10252] (AB180604)
  • ICC/IF

Supplier Data

Immunocytochemistry/ Immunofluorescence - Anti-RPF2 antibody [EP10252] (AB180604)

Immunofluorescent analysis of 4% paraformaldehyde-fixed 293T cells labeling RPF2 with ab180604 at 1/100 dilution, followed by Goat anti rabbit IgG (Alexa Fluor® 555) at 1/200 dilution (left panel). Dapi stain (right panel).

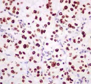
Immunohistochemistry (Formalin/PFA-fixed paraffin-embedded sections) - Anti-RPF2 antibody [EP10252] (AB180604)
  • IHC-P

Supplier Data

Immunohistochemistry (Formalin/PFA-fixed paraffin-embedded sections) - Anti-RPF2 antibody [EP10252] (AB180604)

Immunohistochemical analysis of paraffin-embedded Human kidney cell carcinoma labeling RPF2 with ab180604 at 1/50 dilution, followed by prediluted ImmunoHistoprobe (Ready to use) HRP Polymer for Rabbit IgG. Counter stained with Hematoxylin.

Perform heat mediated antigen retrieval with EDTA buffer pH 9 before commencing with IHC staining protocol.

Western blot - Anti-RPF2 antibody [EP10252] (AB180604)
  • WB

Supplier Data

Western blot - Anti-RPF2 antibody [EP10252] (AB180604)

All lanes:

Western blot - Anti-RPF2 antibody [EP10252] (ab180604) at 1/20000 dilution

Lane 1:

293T cell lysate at 20 µg

Lane 2:

HeLa cell lysate at 20 µg

Lane 3:

A549 cell lysate at 20 µg

Secondary

All lanes:

Goat Anti-Rabbit IgG, (H+L), Peroxidase conjugate at 1/1000 dilution

Predicted band size: 36 kDa

Observed band size: 36 kDa

false

  • Carrier free

    Anti-RPF2 antibody [EP10252] - BSA and Azide free

Key facts

Host species

Rabbit

Clonality

Monoclonal

Clone number

EP10252

Isotype

IgG

Carrier free

No

Reacts with

Human

Applications

IHC-P, ICC/IF, WB

applications

Immunogen

The exact immunogen used to generate this antibody is proprietary information.

Reactivity data

{ "title": "Reactivity Data", "filters": { "stats": ["", "Species", "Dilution Info", "Notes"], "tabs": { "all-applications": {"fullname" : "All Applications", "shortname": "All Applications"}, "WB" : {"fullname" : "Western blot", "shortname":"WB"}, "ICCIF" : {"fullname" : "Immunocytochemistry/ Immunofluorescence", "shortname":"ICC/IF"}, "IHCP" : {"fullname" : "Immunohistochemistry (Formalin/PFA-fixed paraffin-embedded sections)", "shortname":"IHC-P"} }, "product-promise": { "all": "all", "testedAndGuaranteed": "tested", "guaranteed": "expected", "predicted": "predicted", "notRecommended": "not-recommended" } }, "values": { "Human": { "WB-species-checked": "testedAndGuaranteed", "WB-species-dilution-info": "1/10000 - 1/50000", "WB-species-notes": "<p></p>", "ICCIF-species-checked": "testedAndGuaranteed", "ICCIF-species-dilution-info": "1/100", "ICCIF-species-notes": "<p></p>", "IHCP-species-checked": "testedAndGuaranteed", "IHCP-species-dilution-info": "1/50", "IHCP-species-notes": "<p></p> Perform heat-mediated antigen retrieval with Tris/EDTA buffer pH 9.0 before commencing with IHC staining protocol." } } }

Product details

Patented technology
Our RabMAb® technology is a patented hybridoma-based technology for making rabbit monoclonal antibodies. For details on our patents, please refer to RabMAb® patents.

Properties and storage information

Form
Liquid
Purity
Tissue culture supernatant
Storage buffer
Preservative: 0.01% Sodium azide Constituents: PBS, 40% Glycerol (glycerin, glycerine), 0.05% BSA
Shipped at conditions
Blue Ice
Appropriate short-term storage duration
1-2 weeks
Appropriate short-term storage conditions
+4°C
Appropriate long-term storage conditions
-20°C
Aliquoting information
Upon delivery aliquot
Storage information
Avoid freeze / thaw cycle

Product protocols

For this product, it's our understanding that no specific protocols are required. You can visit:

Target data

Involved in ribosomal large subunit assembly. May regulate the localization of the 5S RNP/5S ribonucleoprotein particle to the nucleolus.
See full target information RPF2

Publications (2)

Recent publications for all applications. Explore the full list and refine your search

Nature communications 15:4739 PubMed38834613

2024

Orthogonal proteogenomic analysis identifies the druggable PA2G4-MYC axis in 3q26 AML.

Applications

Unspecified application

Species

Unspecified reactive species

Matteo Marchesini,Andrea Gherli,Elisa Simoncini,Lucas Moron Dalla Tor,Anna Montanaro,Natthakan Thongon,Federica Vento,Chiara Liverani,Elisa Cerretani,Anna D'Antuono,Luca Pagliaro,Raffaella Zamponi,Chiara Spadazzi,Elena Follini,Benedetta Cambò,Mariateresa Giaimo,Angela Falco,Gabriella Sammarelli,Giannalisa Todaro,Sabrina Bonomini,Valentina Adami,Silvano Piazza,Claudia Corbo,Bruno Lorusso,Federica Mezzasoma,Costanza Anna Maria Lagrasta,Maria Paola Martelli,Roberta La Starza,Antonio Cuneo,Franco Aversa,Cristina Mecucci,Federico Quaini,Simona Colla,Giovanni Roti

Oncology reports 51: PubMed37997821

2023

RPF2 mediates the CARM1‑MYCN axis to promote chemotherapy resistance in colorectal cancer cells.

Applications

Unspecified application

Species

Unspecified reactive species

Macheng Lu,Xingqian Hu,Cong Cheng,Yuan Zhang,Longchang Huang,Xiangpeng Kong,Zengyao Li,Qiuhua Zhang,Ye Zhang
View all publications

Product promise

We are committed to supporting your work with high-quality reagents, and we're here for you every step of the way. In the unlikely event that one of our products does not perform as expected, you're protected by our Product Promise.
For full details, please see our Terms & Conditions

Please note: All products are 'FOR RESEARCH USE ONLY. NOT FOR USE IN DIAGNOSTIC OR THERAPEUTIC PROCEDURES'.

For licensing inquiries, please contact partnerships@abcam.com