JavaScript is disabled in your browser. Please enable JavaScript to view this website.
AB229967

Anti-RPIA/PRI antibody

Be the first to review this product! Submit a review

|

(1 Publication)

Rabbit Polyclonal RPIA/PRI antibody. Suitable for WB, IHC-P and reacts with Mouse, Human samples. Cited in 1 publication. Immunogen corresponding to Recombinant Fragment Protein within Human RPIA aa 50 to C-terminus.

View Alternative Names

RPI, RPIA, Ribose-5-phosphate isomerase, Phosphoriboisomerase

3 Images
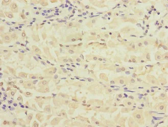
Immunohistochemistry (Formalin/PFA-fixed paraffin-embedded sections) - Anti-RPIA/PRI antibody (AB229967)
  • IHC-P

Supplier Data

Immunohistochemistry (Formalin/PFA-fixed paraffin-embedded sections) - Anti-RPIA/PRI antibody (AB229967)

Paraffin-embedded human gastric cancer tissue stained for RPIA/PRI using ab229967 at 1/100 dilution in immunohistochemical analysis.

Immunohistochemistry (Formalin/PFA-fixed paraffin-embedded sections) - Anti-RPIA/PRI antibody (AB229967)
  • IHC-P

Supplier Data

Immunohistochemistry (Formalin/PFA-fixed paraffin-embedded sections) - Anti-RPIA/PRI antibody (AB229967)

Paraffin-embedded human placenta tissue stained for RPIA/PRI using ab229967 at 1/100 dilution in immunohistochemical analysis.

Western blot - Anti-RPIA/PRI antibody (AB229967)
  • WB

Supplier Data

Western blot - Anti-RPIA/PRI antibody (AB229967)

All lanes:

Western blot - Anti-RPIA/PRI antibody (ab229967) at 1/1000 dilution

All lanes:

Mouse kidney tissue

Secondary

All lanes:

Goat polyclonal to rabbit IgG at 1/10000 dilution

Predicted band size: 33 kDa

Observed band size: 33 kDa

false

Key facts

Host species

Rabbit

Clonality

Polyclonal

Isotype

IgG

Carrier free

No

Reacts with

Mouse, Human

Applications

WB, IHC-P

applications

Immunogen

Recombinant Fragment Protein within Human RPIA aa 50 to C-terminus. The exact immunogen used to generate this antibody is proprietary information.

P49247

Reactivity data

{ "title": "Reactivity Data", "filters": { "stats": ["", "Species", "Dilution Info", "Notes"], "tabs": { "all-applications": {"fullname" : "All Applications", "shortname": "All Applications"}, "WB" : {"fullname" : "Western blot", "shortname":"WB"}, "IHCP" : {"fullname" : "Immunohistochemistry (Formalin/PFA-fixed paraffin-embedded sections)", "shortname":"IHC-P"} }, "product-promise": { "all": "all", "testedAndGuaranteed": "tested", "guaranteed": "expected", "predicted": "predicted", "notRecommended": "not-recommended" } }, "values": { "Human": { "WB-species-checked": "guaranteed", "WB-species-dilution-info": "", "WB-species-notes": "", "IHCP-species-checked": "testedAndGuaranteed", "IHCP-species-dilution-info": "1/20 - 1/200", "IHCP-species-notes": "<p></p>" }, "Mouse": { "WB-species-checked": "testedAndGuaranteed", "WB-species-dilution-info": "1/1000 - 1/5000", "WB-species-notes": "<p></p>", "IHCP-species-checked": "guaranteed", "IHCP-species-dilution-info": "", "IHCP-species-notes": "" }, "Cow": { "WB-species-checked": "predicted", "WB-species-dilution-info": "", "WB-species-notes": "", "IHCP-species-checked": "predicted", "IHCP-species-dilution-info": "", "IHCP-species-notes": "" }, "Pig": { "WB-species-checked": "predicted", "WB-species-dilution-info": "", "WB-species-notes": "", "IHCP-species-checked": "predicted", "IHCP-species-dilution-info": "", "IHCP-species-notes": "" } } }

Properties and storage information

Form
Liquid
Purification technique
Affinity purification Immunogen
Storage buffer
pH: 7.3 Preservative: 0.02% Sodium azide Constituents: PBS, 50% Glycerol (glycerin, glycerine)
Shipped at conditions
Blue Ice
Appropriate short-term storage duration
1-2 weeks
Appropriate short-term storage conditions
+4°C
Appropriate long-term storage conditions
-20°C
Aliquoting information
Upon delivery aliquot
Storage information
Avoid freeze / thaw cycle

Product protocols

For this product, it's our understanding that no specific protocols are required. You can visit:

Target data

Catalyzes the reversible conversion of ribose-5-phosphate to ribulose 5-phosphate and participates in the first step of the non-oxidative branch of the pentose phosphate pathway.
See full target information RPIA

Publications (1)

Recent publications for all applications. Explore the full list and refine your search

The EMBO journal 43:2636-2660 PubMed38778156

2024

The immune response to RNA suppresses nucleic acid synthesis by limiting ribose 5-phosphate.

Applications

Unspecified application

Species

Unspecified reactive species

Pushpak Bhattacharjee,Die Wang,Dovile Anderson,Joshua N Buckler,Eveline de Geus,Feng Yan,Galina Polekhina,Ralf Schittenhelm,Darren J Creek,Lawrence D Harris,Anthony J Sadler
View all publications

Product promise

We are committed to supporting your work with high-quality reagents, and we're here for you every step of the way. In the unlikely event that one of our products does not perform as expected, you're protected by our Product Promise.
For full details, please see our Terms & Conditions

Please note: All products are 'FOR RESEARCH USE ONLY. NOT FOR USE IN DIAGNOSTIC OR THERAPEUTIC PROCEDURES'.

For licensing inquiries, please contact partnerships@abcam.com