JavaScript is disabled in your browser. Please enable JavaScript to view this website.
AB187998

Anti-RPL10A antibody

Be the first to review this product! Submit a review

|

(2 Publications)

Rabbit Polyclonal RPL10A antibody. Suitable for IHC-P, ICC/IF and reacts with Human samples. Cited in 2 publications. Immunogen corresponding to Recombinant Fragment Protein within Human RPL10A aa 100-200.

View Alternative Names

NEDD6, RPL10A, Large ribosomal subunit protein uL1, 60S ribosomal protein L10a, CSA-19, Neural precursor cell expressed developmentally down-regulated protein 6, NEDD-6

5 Images
Immunohistochemistry (Formalin/PFA-fixed paraffin-embedded sections) - Anti-RPL10A antibody (AB187998)
  • IHC-P

Supplier Data

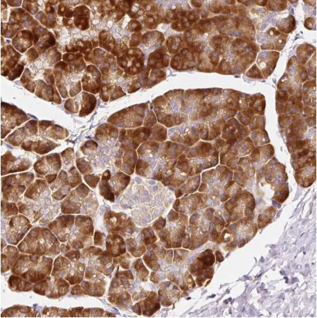
Immunohistochemistry (Formalin/PFA-fixed paraffin-embedded sections) - Anti-RPL10A antibody (AB187998)

Immunohistochemical analysis of paraffin-embedded human pancreas tissue labeling RPL10A in the cytoplasm of exocrine glandular cells with ab187998 at a 1/50 dilution.

Performed heat mediated antigen retrieval with citrate buffer pH 6 before commencing with IHC staining protocol.

Immunohistochemistry (Formalin/PFA-fixed paraffin-embedded sections) - Anti-RPL10A antibody (AB187998)
  • IHC-P

Supplier Data

Immunohistochemistry (Formalin/PFA-fixed paraffin-embedded sections) - Anti-RPL10A antibody (AB187998)

Immunohistochemical analysis of paraffin-embedded human kidney tissue labeling RPL10A in the cytoplasm of cells in tubules with ab187998 at a 1/50 dilution.

Performed heat mediated antigen retrieval with citrate buffer pH 6 before commencing with IHC staining protocol.

Immunocytochemistry/ Immunofluorescence - Anti-RPL10A antibody (AB187998)
  • ICC/IF

Supplier Data

Immunocytochemistry/ Immunofluorescence - Anti-RPL10A antibody (AB187998)

Immunocytochemical analysis of U-2 OS (Human bone osteosarcoma epithelial cell line) whole cells labeling RPL10A in the nucleoli, cytosol and endoplasmic reticulum with ab187998 at 2 μg/ml.

Immunohistochemistry (Formalin/PFA-fixed paraffin-embedded sections) - Anti-RPL10A antibody (AB187998)
  • IHC-P

Supplier Data

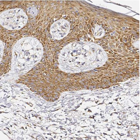
Immunohistochemistry (Formalin/PFA-fixed paraffin-embedded sections) - Anti-RPL10A antibody (AB187998)

Immunohistochemical analysis of paraffin-embedded human skin tissue labeling RPL10A in the cytoplasm of squamous epithelial cells with ab187998 at a 1/50 dilution.

Performed heat mediated antigen retrieval with citrate buffer pH 6 before commencing with IHC staining protocol.

Immunohistochemistry (Formalin/PFA-fixed paraffin-embedded sections) - Anti-RPL10A antibody (AB187998)
  • IHC-P

Supplier Data

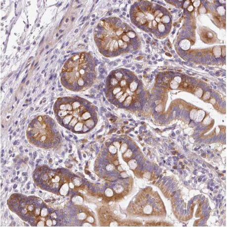
Immunohistochemistry (Formalin/PFA-fixed paraffin-embedded sections) - Anti-RPL10A antibody (AB187998)

Immunohistochemical analysis of paraffin-embedded human small intestine tissue labeling RPL10A in the cytoplasm of glandular cells with ab187998 at a 1/50 dilution.

Performed heat mediated antigen retrieval with citrate buffer pH 6 before commencing with IHC staining protocol.

Key facts

Host species

Rabbit

Clonality

Polyclonal

Isotype

IgG

Carrier free

No

Reacts with

Human

Applications

ICC/IF, IHC-P

applications

Immunogen

Recombinant Fragment Protein within Human RPL10A aa 100-200. The exact immunogen used to generate this antibody is proprietary information.

P62906

Reactivity data

{ "title": "Reactivity Data", "filters": { "stats": ["", "Species", "Dilution Info", "Notes"], "tabs": { "all-applications": {"fullname" : "All Applications", "shortname": "All Applications"}, "IHCP" : {"fullname" : "Immunohistochemistry (Formalin/PFA-fixed paraffin-embedded sections)", "shortname":"IHC-P"}, "ICCIF" : {"fullname" : "Immunocytochemistry/ Immunofluorescence", "shortname":"ICC/IF"} }, "product-promise": { "all": "all", "testedAndGuaranteed": "tested", "guaranteed": "expected", "predicted": "predicted", "notRecommended": "not-recommended" } }, "values": { "Human": { "IHCP-species-checked": "testedAndGuaranteed", "IHCP-species-dilution-info": "1/50 - 1/200", "IHCP-species-notes": "<p></p>", "ICCIF-species-checked": "testedAndGuaranteed", "ICCIF-species-dilution-info": "0.25-2 µg/mL", "ICCIF-species-notes": "<p>Fixation/Permeabilization: PFA/Triton X-100</p>" }, "Mouse": { "IHCP-species-checked": "predicted", "IHCP-species-dilution-info": "", "IHCP-species-notes": "", "ICCIF-species-checked": "predicted", "ICCIF-species-dilution-info": "", "ICCIF-species-notes": "" }, "Rat": { "IHCP-species-checked": "predicted", "IHCP-species-dilution-info": "", "IHCP-species-notes": "", "ICCIF-species-checked": "predicted", "ICCIF-species-dilution-info": "", "ICCIF-species-notes": "" } } }

Properties and storage information

Form
Liquid
Purification technique
Affinity purification Immunogen
Storage buffer
pH: 7.2 Preservative: 0.02% Sodium azide Constituents: PBS, 40% Glycerol (glycerin, glycerine)
Shipped at conditions
Blue Ice
Appropriate short-term storage duration
1-2 weeks
Appropriate short-term storage conditions
+4°C
Appropriate long-term storage conditions
-20°C
Aliquoting information
Upon delivery aliquot
Storage information
Avoid freeze / thaw cycle

Product protocols

For this product, it's our understanding that no specific protocols are required. You can visit:

Target data

Component of the large ribosomal subunit (PubMed : 12962325, PubMed : 23636399, PubMed : 32669547). The ribosome is a large ribonucleoprotein complex responsible for the synthesis of proteins in the cell (PubMed : 12962325, PubMed : 23636399, PubMed : 32669547).
See full target information RPL10A

Publications (2)

Recent publications for all applications. Explore the full list and refine your search

PLoS genetics 17:e1009932 PubMed34843464

2021

Maternal starvation primes progeny response to nutritional stress.

Applications

Unspecified application

Species

Unspecified reactive species

Kelly Voo,Jeralyn Wen Hui Ching,Joseph Wee Hao Lim,Seow Neng Chan,Amanda Yunn Ee Ng,Jasmine Yi Ying Heng,Shiao See Lim,Jun Wei Pek

Nucleic acids research 47:3127-3141 PubMed30605522

2019

YB-1, an abundant core mRNA-binding protein, has the capacity to form an RNA nucleoprotein filament: a structural analysis.

Applications

Unspecified application

Species

Unspecified reactive species

Dmitry A Kretov,Marie-Jeanne Clément,Guillaume Lambert,Dominique Durand,Dmitry N Lyabin,Guillaume Bollot,Cyril Bauvais,Anastasiia Samsonova,Karina Budkina,Rachid C Maroun,Loic Hamon,Ahmed Bouhss,Ewen Lescop,Flavio Toma,Patrick A Curmi,Alexandre Maucuer,Lev P Ovchinnikov,David Pastré
View all publications

Product promise

We are committed to supporting your work with high-quality reagents, and we're here for you every step of the way. In the unlikely event that one of our products does not perform as expected, you're protected by our Product Promise.
For full details, please see our Terms & Conditions

Please note: All products are 'FOR RESEARCH USE ONLY. NOT FOR USE IN DIAGNOSTIC OR THERAPEUTIC PROCEDURES'.

For licensing inquiries, please contact partnerships@abcam.com