JavaScript is disabled in your browser. Please enable JavaScript to view this website.
AB318976

Anti-RPL11 antibody [EPR28901-64]

Be the first to review this product! Submit a review

|

(1 Publication)

Rabbit Recombinant Monoclonal RPL11 antibody. Suitable for WB, IP and reacts with Human, Mouse, Rat samples. Cited in 1 publication.

View Alternative Names

Large ribosomal subunit protein uL5, 60S ribosomal protein L11, CLL-associated antigen KW-12, RPL11

5 Images
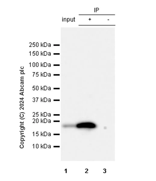
Immunoprecipitation - Anti-RPL11 antibody [EPR28901-64] (AB318976)
  • IP

Supplier Data

Immunoprecipitation - Anti-RPL11 antibody [EPR28901-64] (AB318976)

RPL11 was immunoprecipitated from 0.35 mg HeLa (human cervical adenocarcinoma epithelial cell) whole cell lysate with ab318976 at 1/30 dilution (2ug in 0.35mg lysates). Western blot was performed on the immunoprecipitate using ab318976 at 1/1000 dilution. VeriBlot for IP secondary antibody(HRP)(ab131366) was used at 1/5000 dilution.

Lane 1 : HeLa (human cervical adenocarcinoma epithelial cell) whole cell lysate
Lane 2 : ab318976 IP in HeLa (human cervical adenocarcinoma epithelial cell) whole cell lysate
Lane 3 : Rabbit monoclonal IgG (ab172730) instead of ab318976 in HeLa whole cell lysate

All lanes:

Immunoprecipitation - Anti-RPL11 antibody [EPR28901-64] (ab318976) at 1/30 dilution

All lanes:

HeLa (human cervical adenocarcinoma epithelial cell) whole cell lysate

Secondary

All lanes:

Immunoprecipitation - VeriBlot for IP Detection Reagent (HRP) (<a href='/en-us/products/reagents/veriblot-for-ip-detection-reagent-hrp-ab131366'>ab131366</a>) at 1/5000 dilution

false

Exposure time: 10s

Immunoprecipitation - Anti-RPL11 antibody [EPR28901-64] (AB318976)
  • IP

Supplier Data

Immunoprecipitation - Anti-RPL11 antibody [EPR28901-64] (AB318976)

RPL11 was immunoprecipitated from 0.35 mg Mouse liver tissue lysate with ab318976 at 1/30 dilution (2ug in 0.35mg lysates). Western blot was performed on the immunoprecipitate using ab318976 at 1/1000 dilution. VeriBlot for IP secondary antibody(HRP)(ab131366) was used at 1/5000 dilution.

Lane 1 : Mouse liver tissue lysate 10ug
Lane 2 : ab318976 IP in Mouse liver tissue lysate
Lane 3 : Rabbit monoclonal IgG (ab172730) instead of ab318976 in mouse liver tissue lysate

All lanes:

Immunoprecipitation - Anti-RPL11 antibody [EPR28901-64] (ab318976) at 1/30 dilution

All lanes:

Mouse liver tissue lysate 10ug

Secondary

All lanes:

Immunoprecipitation - VeriBlot for IP Detection Reagent (HRP) (<a href='/en-us/products/reagents/veriblot-for-ip-detection-reagent-hrp-ab131366'>ab131366</a>) at 1/5000 dilution

false

Exposure time: 10s

Western blot - Anti-RPL11 antibody [EPR28901-64] (AB318976)
  • WB

Supplier Data

Western blot - Anti-RPL11 antibody [EPR28901-64] (AB318976)

Low expression : brain, cerebellum.

Lanes 1-3 are applied with Goat Anti-Rabbit IgG (HRP) with minimal cross-reactivity with human IgG at 1/2000 and lanes 4-8 are applied with Goat Anti-Rabbit IgG, (H+L), Peroxidase conjugated (ab97051) at 1/100000.

In Western blot, Anti-GAPDH antibody [EPR16891] - Loading Control (ab181602) staining at 1/200000 dilution.

Exposure time : Lanes 1-3 : 37 seconds; Lanes 4-8 : 26 seconds.

All lanes:

Western blot - Anti-RPL11 antibody [EPR28901-64] (ab318976) at 1/1000 dilution

Lane 1:

Human liver cancer tissue lysate at 20 µg

Lane 2:

Human cerebellum tissue lysate at 20 µg

Lane 3:

Human pancreas tissue lysate at 20 µg

Lane 4:

Mouse liver tissue lysate at 20 µg

Lane 5:

Mouse brain tissue lysate at 20 µg

Lane 6:

Mouse pancreas tissue lysate at 20 µg

Lane 7:

Rat liver tissue lysate at 20 µg

Lane 8:

Rat pancreas tissue lysate at 20 µg

Secondary

Lanes 1 - 3:

Goat Anti-Rabbit IgG (HRP) with minimal cross-reactivity with human IgG at 1/2000 dilution

Lanes 4 - 8:

Western blot - Goat Anti-Rabbit IgG H&L (HRP) (<a href='/en-us/products/secondary-antibodies/goat-rabbit-igg-h-l-hrp-ab97051'>ab97051</a>) at 1/100000 dilution

Observed band size: 18 kDa,36 kDa

false

Western blot - Anti-RPL11 antibody [EPR28901-64] (AB318976)
  • WB

Supplier Data

Western blot - Anti-RPL11 antibody [EPR28901-64] (AB318976)

All lanes:

Western blot - Anti-RPL11 antibody [EPR28901-64] (ab318976) at 1/1000 dilution

Lane 1:

HepG2 (human hepatocellar carcinoma epithelial cell) whole cell lysate at 20 µg

Lane 2:

Jurkat (human T cell leukemia T lymphocyte from peripheral blood) whole cell lysate at 20 µg

Lane 3:

BxPC-3 (human pancreas adenocarcinoma epithelial cell) whole cell lysate at 20 µg

Lane 4:

A549 (human lung carcinoma epithelial cell) whole cell lysate at 20 µg

Lane 5:

NIH/3T3 (mouse embryonic fibroblast) whole cell lysate at 20 µg

Lane 6:

C6 (rat glial tumor glial cell) whole cell lysate at 20 µg

Secondary

All lanes:

Western blot - Goat Anti-Rabbit IgG H&L (HRP) (<a href='/en-us/products/secondary-antibodies/goat-rabbit-igg-h-l-hrp-ab97051'>ab97051</a>) at 1/100000 dilution

Observed band size: 18 kDa

false

Exposure time: 26s

Western blot - Anti-RPL11 antibody [EPR28901-64] (AB318976)
  • WB

Supplier Data

Western blot - Anti-RPL11 antibody [EPR28901-64] (AB318976)

In Western blot, Anti-GAPDH antibody [EPR16891] - Loading Control (ab181602) staining at 1/200000 dilution.

All lanes:

Western blot - Anti-RPL11 antibody [EPR28901-64] (ab318976) at 1/1000 dilution

Lane 1:

HeLa (human cervical adenocarcinoma epithelial cell) transfected with scrambled siRNA control whole cell lysate at 10 µg

Lane 2:

HeLa transfected with siRNA specifically targeting RPL11 whole cell lysate at 10 µg

Secondary

All lanes:

Western blot - Goat Anti-Rabbit IgG H&L (HRP) (<a href='/en-us/products/secondary-antibodies/goat-rabbit-igg-h-l-hrp-ab97051'>ab97051</a>) at 1/100000 dilution

Observed band size: 18 kDa,36 kDa

false

Exposure time: 15s

  • Carrier free

    Anti-RPL11 antibody [EPR28901-64] - BSA and Azide free

Key facts

Host species

Rabbit

Clonality

Monoclonal

Clone number

EPR28901-64

Isotype

IgG

Carrier free

No

Reacts with

Human, Mouse, Rat

Applications

IP, WB

applications

Immunogen

The exact immunogen used to generate this antibody is proprietary information.

Reactivity data

{ "title": "Reactivity Data", "filters": { "stats": ["", "Species", "Dilution Info", "Notes"], "tabs": { "all-applications": {"fullname" : "All Applications", "shortname": "All Applications"}, "WB" : {"fullname" : "Western blot", "shortname":"WB"}, "IP" : {"fullname" : "Immunoprecipitation", "shortname":"IP"}, "IHCP" : {"fullname" : "Immunohistochemistry (Formalin/PFA-fixed paraffin-embedded sections)", "shortname":"IHC-P"} }, "product-promise": { "all": "all", "testedAndGuaranteed": "tested", "guaranteed": "expected", "predicted": "predicted", "notRecommended": "not-recommended" } }, "values": { "Human": { "WB-species-checked": "testedAndGuaranteed", "WB-species-dilution-info": "1/1000", "WB-species-notes": "<p></p>", "IP-species-checked": "testedAndGuaranteed", "IP-species-dilution-info": "1/30", "IP-species-notes": "<p></p>", "IHCP-species-checked": "notRecommended", "IHCP-species-dilution-info": "", "IHCP-species-notes": "<p></p>" }, "Mouse": { "WB-species-checked": "testedAndGuaranteed", "WB-species-dilution-info": "1/1000", "WB-species-notes": "<p></p>", "IP-species-checked": "testedAndGuaranteed", "IP-species-dilution-info": "1/30", "IP-species-notes": "<p></p>", "IHCP-species-checked": "notRecommended", "IHCP-species-dilution-info": "", "IHCP-species-notes": "<p></p>" }, "Rat": { "WB-species-checked": "testedAndGuaranteed", "WB-species-dilution-info": "1/1000", "WB-species-notes": "<p></p>", "IP-species-checked": "guaranteed", "IP-species-dilution-info": "", "IP-species-notes": "", "IHCP-species-checked": "notRecommended", "IHCP-species-dilution-info": "", "IHCP-species-notes": "<p></p>" } } }

Product details

Patented technology
Our RabMAb® technology is a patented hybridoma-based technology for making rabbit monoclonal antibodies. For details on our patents, please refer to RabMAb® patents.

What are the advantages of a recombinant monoclonal antibody?
This product is a recombinant monoclonal antibody, which offers several advantages including:

  • - High batch-to-batch consistency and reproducibility
  • - Improved sensitivity and specificity
  • - Long-term security of supply
  • - Animal-free batch production

For more information, read more on recombinant antibodies.

Properties and storage information

Form
Liquid
Purification technique
Affinity purification Protein A
Storage buffer
pH: 7.2 - 7.4 Preservative: 0.01% Sodium azide Constituents: PBS, 40% Glycerol (glycerin, glycerine), 0.05% BSA
Shipped at conditions
Blue Ice
Appropriate short-term storage duration
1-2 weeks
Appropriate short-term storage conditions
+4°C
Appropriate long-term storage conditions
-20°C
Aliquoting information
Upon delivery aliquot
Storage information
Avoid freeze / thaw cycle

Product protocols

For this product, it's our understanding that no specific protocols are required. You can visit:

Target data

Component of the ribosome, a large ribonucleoprotein complex responsible for the synthesis of proteins in the cell (PubMed : 19191325, PubMed : 32669547). The small ribosomal subunit (SSU) binds messenger RNAs (mRNAs) and translates the encoded message by selecting cognate aminoacyl-transfer RNA (tRNA) molecules (PubMed : 19191325, PubMed : 32669547). The large subunit (LSU) contains the ribosomal catalytic site termed the peptidyl transferase center (PTC), which catalyzes the formation of peptide bonds, thereby polymerizing the amino acids delivered by tRNAs into a polypeptide chain (PubMed : 19191325, PubMed : 32669547). The nascent polypeptides leave the ribosome through a tunnel in the LSU and interact with protein factors that function in enzymatic processing, targeting, and the membrane insertion of nascent chains at the exit of the ribosomal tunnel (PubMed : 19191325, PubMed : 32669547). As part of the 5S RNP/5S ribonucleoprotein particle it is an essential component of the LSU, required for its formation and the maturation of rRNAs (PubMed : 12962325, PubMed : 19061985, PubMed : 24120868). It also couples ribosome biogenesis to p53/TP53 activation. As part of the 5S RNP it accumulates in the nucleoplasm and inhibits MDM2, when ribosome biogenesis is perturbed, mediating the stabilization and the activation of TP53 (PubMed : 24120868). Promotes nucleolar location of PML (By similarity).
See full target information 60S ribosomal protein L11

Publications (1)

Recent publications for all applications. Explore the full list and refine your search

Molecular medicine (Cambridge, Mass.) 31:150 PubMed40264043

2025

SNORA47 affects stemness and chemotherapy sensitivity via EBF3/RPL11/c-Myc axis in luminal A breast cancer.

Applications

Unspecified application

Species

Unspecified reactive species

Qilin Han,Ying Zhou,Zixian Dong,Weitao Wang,Menghan Wang,Mengyang Pang,Xinyue Song,Bo Chen,Ang Zheng
View all publications

Product promise

We are committed to supporting your work with high-quality reagents, and we're here for you every step of the way. In the unlikely event that one of our products does not perform as expected, you're protected by our Product Promise.
For full details, please see our Terms & Conditions

Please note: All products are 'FOR RESEARCH USE ONLY. NOT FOR USE IN DIAGNOSTIC OR THERAPEUTIC PROCEDURES'.

For licensing inquiries, please contact partnerships@abcam.com