JavaScript is disabled in your browser. Please enable JavaScript to view this website.
AB248754

Anti-RPL13 antibody [EPR8828] - BSA and Azide free

Be the first to review this product! Submit a review

|

(1 Publication)

Rabbit Recombinant Monoclonal RPL13 antibody. Carrier free. Suitable for IHC-P, ICC/IF, WB and reacts with Human samples. Cited in 1 publication.

View Alternative Names

BBC1, OK/SW-cl.46, RPL13, Large ribosomal subunit protein eL13, 60S ribosomal protein L13, Breast basic conserved protein 1

4 Images
Immunohistochemistry (Formalin/PFA-fixed paraffin-embedded sections) - Anti-RPL13 antibody [EPR8828] - BSA and Azide free (AB248754)
  • IHC-P

Unknown

Immunohistochemistry (Formalin/PFA-fixed paraffin-embedded sections) - Anti-RPL13 antibody [EPR8828] - BSA and Azide free (AB248754)

This data was developed using ab134961, the same antibody clone in a different buffer formulation.

Immunohistochemical analysis of paraffin-embedded Human thyroid gland adenocarcinoma tissue labelling RPL13 with ab134961 at 1/250 dilution.

Perform heat mediated antigen retrieval with citrate buffer pH 6 before commencing with IHC staining protocol.

Immunocytochemistry/ Immunofluorescence - Anti-RPL13 antibody [EPR8828] - BSA and Azide free (AB248754)
  • ICC/IF

Unknown

Immunocytochemistry/ Immunofluorescence - Anti-RPL13 antibody [EPR8828] - BSA and Azide free (AB248754)

This data was developed using ab134961, the same antibody clone in a different buffer formulation.Immunofluorescent analysis of MCF7 cells labelling RPL13 with ab134961 at 1/250 dilution.

Western blot - Anti-RPL13 antibody [EPR8828] - BSA and Azide free (AB248754)
  • WB

Unknown

Western blot - Anti-RPL13 antibody [EPR8828] - BSA and Azide free (AB248754)

This data was developed using ab134961, the same antibody clone in a different buffer formulation.

All lanes:

Western blot - Anti-RPL13 antibody [EPR8828] (<a href='/en-us/products/primary-antibodies/rpl13-antibody-epr8828-ab134961'>ab134961</a>) at 1/1000 dilution

Lane 1:

HeLa cell lysate at 10 µg

Lane 2:

Jurkat cell lysate at 10 µg

Lane 3:

K562 cell lysate at 10 µg

Lane 4:

MCF7 cell lysate at 10 µg

Secondary

All lanes:

HRP labeled goat anti-rabbit at 1/2000 dilution

Predicted band size: 24 kDa

false

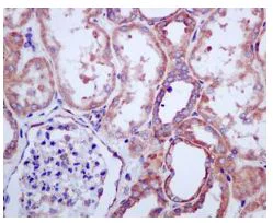
Immunohistochemistry (Formalin/PFA-fixed paraffin-embedded sections) - Anti-RPL13 antibody [EPR8828] - BSA and Azide free (AB248754)
  • IHC-P

Unknown

Immunohistochemistry (Formalin/PFA-fixed paraffin-embedded sections) - Anti-RPL13 antibody [EPR8828] - BSA and Azide free (AB248754)

This data was developed using ab134961, the same antibody clone in a different buffer formulation.

Immunohistochemical analysis of paraffin-embedded Human kidney tissue labelling RPL13 with ab134961 at 1/250 dilution.

Perform heat mediated antigen retrieval with citrate buffer pH 6 before commencing with IHC staining protocol.

Key facts

Host species

Rabbit

Clonality

Monoclonal

Clone number

EPR8828

Isotype

IgG

Carrier free

Yes

Reacts with

Human

Applications

ICC/IF, WB, IHC-P

applications

Immunogen

The exact immunogen used to generate this antibody is proprietary information.

Reactivity data

{ "title": "Reactivity Data", "filters": { "stats": ["", "Species", "Dilution Info", "Notes"], "tabs": { "all-applications": {"fullname" : "All Applications", "shortname": "All Applications"}, "IHCP" : {"fullname" : "Immunohistochemistry (Formalin/PFA-fixed paraffin-embedded sections)", "shortname":"IHC-P"}, "ICCIF" : {"fullname" : "Immunocytochemistry/ Immunofluorescence", "shortname":"ICC/IF"}, "IP" : {"fullname" : "Immunoprecipitation", "shortname":"IP"}, "FlowCyt" : {"fullname" : "Flow Cytometry", "shortname":"Flow Cyt"}, "WB" : {"fullname" : "Western blot", "shortname":"WB"} }, "product-promise": { "all": "all", "testedAndGuaranteed": "tested", "guaranteed": "expected", "predicted": "predicted", "notRecommended": "not-recommended" } }, "values": { "Human": { "IHCP-species-checked": "testedAndGuaranteed", "IHCP-species-dilution-info": "", "IHCP-species-notes": "<p></p>", "ICCIF-species-checked": "testedAndGuaranteed", "ICCIF-species-dilution-info": "", "ICCIF-species-notes": "<p></p>", "IP-species-checked": "notRecommended", "IP-species-dilution-info": "", "IP-species-notes": "<p></p>", "FlowCyt-species-checked": "notRecommended", "FlowCyt-species-dilution-info": "", "FlowCyt-species-notes": "<p></p>", "WB-species-checked": "testedAndGuaranteed", "WB-species-dilution-info": "", "WB-species-notes": "<p></p>" }, "Mouse": { "IHCP-species-checked": "predicted", "IHCP-species-dilution-info": "", "IHCP-species-notes": "", "ICCIF-species-checked": "predicted", "ICCIF-species-dilution-info": "", "ICCIF-species-notes": "", "IP-species-checked": "notRecommended", "IP-species-dilution-info": "", "IP-species-notes": "", "FlowCyt-species-checked": "notRecommended", "FlowCyt-species-dilution-info": "", "FlowCyt-species-notes": "", "WB-species-checked": "predicted", "WB-species-dilution-info": "", "WB-species-notes": "" }, "Rat": { "IHCP-species-checked": "predicted", "IHCP-species-dilution-info": "", "IHCP-species-notes": "", "ICCIF-species-checked": "predicted", "ICCIF-species-dilution-info": "", "ICCIF-species-notes": "", "IP-species-checked": "notRecommended", "IP-species-dilution-info": "", "IP-species-notes": "", "FlowCyt-species-checked": "notRecommended", "FlowCyt-species-dilution-info": "", "FlowCyt-species-notes": "", "WB-species-checked": "predicted", "WB-species-dilution-info": "", "WB-species-notes": "" } } }

Product details

ab248754 is the carrier-free version of ab134961.

Patented technology
Our RabMAb® technology is a patented hybridoma-based technology for making rabbit monoclonal antibodies. For details on our patents, please refer to RabMAb® patents.

What are the advantages of a recombinant monoclonal antibody?
This product is a recombinant monoclonal antibody, which offers several advantages including:

  • - High batch-to-batch consistency and reproducibility
  • - Improved sensitivity and specificity
  • - Long-term security of supply
  • - Animal-free batch production

For more information, read more on recombinant antibodies.

Conjugation ready
Our carrier-free antibodies are typically supplied in a PBS-only formulation, purified and free of BSA, sodium azide and glycerol. This conjugation-ready format is designed for use with fluorochromes, metal isotopes, oligonucleotides, and enzymes, which makes them ideal for antibody labelling, functional and cell-based assays, flow-based assays (e.g. mass cytometry) and Multiplex Imaging applications.

Use our conjugation kits for antibody conjugates that are ready-to-use in as little as 20 minutes with 1 minute hands-on-time and 100% antibody recovery: available for fluorescent dyes, HRP, biotin and gold.

Compatibility
This product is compatible with the Maxpar® Antibody Labeling Kit from Fluidigm, without the need for antibody preparation. Maxpar® is a trademark of Fluidigm Canada Inc.

Properties and storage information

Form
Liquid
Purification technique
Affinity purification Protein A
Storage buffer
pH: 7.2 - 7.4 Constituents: PBS
Shipped at conditions
Blue Ice
Appropriate short-term storage conditions
+4°C
Appropriate long-term storage conditions
+4°C
Storage information
Do Not Freeze

Product protocols

For this product, it's our understanding that no specific protocols are required. You can visit:

Target data

Component of the ribosome, a large ribonucleoprotein complex responsible for the synthesis of proteins in the cell (PubMed : 23636399, PubMed : 31630789, PubMed : 32669547). The small ribosomal subunit (SSU) binds messenger RNAs (mRNAs) and translates the encoded message by selecting cognate aminoacyl-transfer RNA (tRNA) molecules (Probable). The large subunit (LSU) contains the ribosomal catalytic site termed the peptidyl transferase center (PTC), which catalyzes the formation of peptide bonds, thereby polymerizing the amino acids delivered by tRNAs into a polypeptide chain (Probable). The nascent polypeptides leave the ribosome through a tunnel in the LSU and interact with protein factors that function in enzymatic processing, targeting, and the membrane insertion of nascent chains at the exit of the ribosomal tunnel (Probable). As part of the LSU, it is probably required for its formation and the maturation of rRNAs (PubMed : 31630789). Plays a role in bone development (PubMed : 31630789).
See full target information RPL13

Publications (1)

Recent publications for all applications. Explore the full list and refine your search

NPJ precision oncology 7:95 PubMed37723227

2023

Targeted single-cell proteomic analysis identifies new liquid biopsy biomarkers associated with multiple myeloma.

Applications

Unspecified application

Species

Unspecified reactive species

Sonia M Setayesh,Libere J Ndacayisaba,Kate E Rappard,Valerie Hennes,Luz Yurany Moreno Rueda,Guilin Tang,Pei Lin,Robert Z Orlowski,David E Symer,Elisabet E Manasanch,Stephanie N Shishido,Peter Kuhn
View all publications

Product promise

We are committed to supporting your work with high-quality reagents, and we're here for you every step of the way. In the unlikely event that one of our products does not perform as expected, you're protected by our Product Promise.
For full details, please see our Terms & Conditions

Please note: All products are 'FOR RESEARCH USE ONLY. NOT FOR USE IN DIAGNOSTIC OR THERAPEUTIC PROCEDURES'.

For licensing inquiries, please contact partnerships@abcam.com