JavaScript is disabled in your browser. Please enable JavaScript to view this website.
AB223089

Anti-RPL23A antibody

Be the first to review this product! Submit a review

|

(1 Publication)

Rabbit Polyclonal RPL23A antibody. Suitable for WB, IHC-P, ICC/IF and reacts with Rat, Human samples. Cited in 1 publication. Immunogen corresponding to Recombinant Fragment Protein within Human 60S ribosomal protein L23a aa 1-100.

View Alternative Names

Large ribosomal subunit protein uL23, 60S ribosomal protein L23a, RPL23A

3 Images
Immunocytochemistry/ Immunofluorescence - Anti-RPL23A antibody (AB223089)
  • ICC/IF

Supplier Data

Immunocytochemistry/ Immunofluorescence - Anti-RPL23A antibody (AB223089)

A549 (human lung carcinoma cell line) cells stained for RPL23A (green) using ab223089 at 1/100 dilution in ICC/IF, followed by Alexa Fluor 488® congugated Goat Anti-Rabbit IgG (H+L).

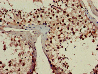
Immunohistochemistry (Formalin/PFA-fixed paraffin-embedded sections) - Anti-RPL23A antibody (AB223089)
  • IHC-P

Supplier Data

Immunohistochemistry (Formalin/PFA-fixed paraffin-embedded sections) - Anti-RPL23A antibody (AB223089)

Paraffin-embedded human testis tissue stained for RPL23A using ab223089 at 1/100 dilution in immunohistochemical analysis.

Western blot - Anti-RPL23A antibody (AB223089)
  • WB

Supplier Data

Western blot - Anti-RPL23A antibody (AB223089)

All lanes:

Western blot - Anti-RPL23A antibody (ab223089) at 1/500 dilution

All lanes:

Rat brain lysate

Secondary

All lanes:

Goat polyclonal to rabbit IgG at 1/50000 dilution

Predicted band size: 18 kDa

Observed band size: 18 kDa

false

Key facts

Host species

Rabbit

Clonality

Polyclonal

Isotype

IgG

Carrier free

No

Reacts with

Rat, Human

Applications

ICC/IF, IHC-P, WB

applications

Immunogen

Recombinant Fragment Protein within Human 60S ribosomal protein L23a aa 1-100. The exact immunogen used to generate this antibody is proprietary information.

P62750

Reactivity data

{ "title": "Reactivity Data", "filters": { "stats": ["", "Species", "Dilution Info", "Notes"], "tabs": { "all-applications": {"fullname" : "All Applications", "shortname": "All Applications"}, "WB" : {"fullname" : "Western blot", "shortname":"WB"}, "IHCP" : {"fullname" : "Immunohistochemistry (Formalin/PFA-fixed paraffin-embedded sections)", "shortname":"IHC-P"}, "ICCIF" : {"fullname" : "Immunocytochemistry/ Immunofluorescence", "shortname":"ICC/IF"} }, "product-promise": { "all": "all", "testedAndGuaranteed": "tested", "guaranteed": "expected", "predicted": "predicted", "notRecommended": "not-recommended" } }, "values": { "Human": { "WB-species-checked": "guaranteed", "WB-species-dilution-info": "", "WB-species-notes": "", "IHCP-species-checked": "testedAndGuaranteed", "IHCP-species-dilution-info": "1/20 - 1/200", "IHCP-species-notes": "<p></p>", "ICCIF-species-checked": "testedAndGuaranteed", "ICCIF-species-dilution-info": "1/50 - 1/200", "ICCIF-species-notes": "<p></p>" }, "Mouse": { "WB-species-checked": "predicted", "WB-species-dilution-info": "", "WB-species-notes": "", "IHCP-species-checked": "predicted", "IHCP-species-dilution-info": "", "IHCP-species-notes": "", "ICCIF-species-checked": "predicted", "ICCIF-species-dilution-info": "", "ICCIF-species-notes": "" }, "Rat": { "WB-species-checked": "testedAndGuaranteed", "WB-species-dilution-info": "1/500 - 1/5000", "WB-species-notes": "<p></p>", "IHCP-species-checked": "guaranteed", "IHCP-species-dilution-info": "", "IHCP-species-notes": "", "ICCIF-species-checked": "guaranteed", "ICCIF-species-dilution-info": "", "ICCIF-species-notes": "" }, "Cow": { "WB-species-checked": "predicted", "WB-species-dilution-info": "", "WB-species-notes": "", "IHCP-species-checked": "predicted", "IHCP-species-dilution-info": "", "IHCP-species-notes": "", "ICCIF-species-checked": "predicted", "ICCIF-species-dilution-info": "", "ICCIF-species-notes": "" } } }

Properties and storage information

Form
Liquid
Purification technique
Affinity purification Protein G
Purification notes
Purity >95%.
Storage buffer
pH: 7.4 Preservative: 0.03% Proclin 300 Constituents: PBS, 50% Glycerol (glycerin, glycerine)
Shipped at conditions
Blue Ice
Appropriate short-term storage duration
1-2 weeks
Appropriate short-term storage conditions
+4°C
Appropriate long-term storage conditions
-20°C
Aliquoting information
Upon delivery aliquot
Storage information
Avoid freeze / thaw cycle

Supplementary information

This supplementary information is collated from multiple sources and compiled automatically.

RPL23A also known as Ribosomal Protein L23a is a component of the 60S subunit in the ribosome which is responsible for protein synthesis. It has a molecular mass of approximately 15 kDa. RPL23A is expressed in various tissues but shows significant expression levels in the liver and pancreas. The protein plays a mechanical role by ensuring structural stability and proper functioning of the ribosome during translation.
Biological function summary

RPL23A participates in the assembly and function of the ribosomal complex critical for translation. Within this complex RPL23A contributes to the coordination of protein synthesis by helping to align mRNA and tRNA correctly. This alignment is essential for the catalysis of peptide bond formation between amino acids allowing for the accurate synthesis of proteins.

Pathways

RPL23A is integral to the mTOR signaling pathway and the p53 signaling pathway. The mTOR pathway regulates cell growth proliferation and survival in response to nutrients growth factors and cellular energy levels with RPL23A interacting with proteins like TSC1 and TSC2. In the p53 signaling pathway RPL23A can influence cellular responses to DNA damage and stress by interacting with proteins such as MDM2.

RPL23A is implicated in cancer and Diamond-Blackfan anemia. In cancer the dysregulation of RPL23A can affect ribosome biogenesis and cell proliferation often seen in conjunction with increased levels of proteins like c-Myc. In Diamond-Blackfan anemia mutations or malfunctions in RPL23A lead to defective ribosomal function impacting erythroid progenitor cells and causing anemia with links to other ribosomal proteins such as RPS19.

Product protocols

For this product, it's our understanding that no specific protocols are required. You can visit:

Target data

Component of the large ribosomal subunit (PubMed : 23636399, PubMed : 32669547). The ribosome is a large ribonucleoprotein complex responsible for the synthesis of proteins in the cell (PubMed : 23636399, PubMed : 32669547). Binds a specific region on the 26S rRNA (PubMed : 23636399, PubMed : 32669547). May promote p53/TP53 degradation possibly through the stimulation of MDM2-mediated TP53 polyubiquitination (PubMed : 26203195).
See full target information 60S ribosomal protein L23a

Publications (1)

Recent publications for all applications. Explore the full list and refine your search

Journal of cell science 136: PubMed37232246

2023

Proximity labelling identifies pro-migratory endocytic recycling cargo and machinery of the Rab4 and Rab11 families.

Applications

Unspecified application

Species

Unspecified reactive species

Beverley Wilson,Chloe Flett,Jakub Gemperle,Craig Lawless,Matthew Hartshorn,Eleanor Hinde,Tess Harrison,Megan Chastney,Sarah Taylor,Jennifer Allen,Jim C Norman,Thomas Zacharchenko,Patrick T Caswell
View all publications

Product promise

We are committed to supporting your work with high-quality reagents, and we're here for you every step of the way. In the unlikely event that one of our products does not perform as expected, you're protected by our Product Promise.
For full details, please see our Terms & Conditions

Please note: All products are 'FOR RESEARCH USE ONLY. NOT FOR USE IN DIAGNOSTIC OR THERAPEUTIC PROCEDURES'.

For licensing inquiries, please contact partnerships@abcam.com