JavaScript is disabled in your browser. Please enable JavaScript to view this website.
AB137046

Anti-RPL26L1 antibody [EPR8478]

Be the first to review this product! Submit a review

|

(3 Publications)

Rabbit Recombinant Monoclonal RPL26L1 antibody. Suitable for IHC-P, WB, ICC/IF and reacts with Human, Mouse, Rat samples. Cited in 3 publications.

View Alternative Names

RPL26P1, RPL26L1, Ribosomal protein uL24-like, 60S ribosomal protein L26-like 1, Large ribosomal subunit protein uL24-like 1

4 Images
Immunocytochemistry/ Immunofluorescence - Anti-RPL26L1 antibody [EPR8478] (AB137046)
  • ICC/IF

Unknown

Immunocytochemistry/ Immunofluorescence - Anti-RPL26L1 antibody [EPR8478] (AB137046)

Immunofluorescence analysis of HepG2 cells labelling RPL26L1 with ab137046 at 1/100 dilution.

Immunohistochemistry (Formalin/PFA-fixed paraffin-embedded sections) - Anti-RPL26L1 antibody [EPR8478] (AB137046)
  • IHC-P

Unknown

Immunohistochemistry (Formalin/PFA-fixed paraffin-embedded sections) - Anti-RPL26L1 antibody [EPR8478] (AB137046)

Immunohistochemical analysis of paraffin embedded Human kidney tissue labelling RPL26L1 with ab137046 at 1/250 dilution.

Perform heat mediated antigen retrieval with citrate buffer pH 6 before commencing with IHC staining protocol.

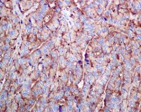
Immunohistochemistry (Formalin/PFA-fixed paraffin-embedded sections) - Anti-RPL26L1 antibody [EPR8478] (AB137046)
  • IHC-P

Unknown

Immunohistochemistry (Formalin/PFA-fixed paraffin-embedded sections) - Anti-RPL26L1 antibody [EPR8478] (AB137046)

Immunohistochemical analysis of paraffin embedded Human papillary adenocarcinoma of thyroid gland tissue labelling RPL26L1 with ab137046 at 1/250 dilution.

Perform heat mediated antigen retrieval with citrate buffer pH 6 before commencing with IHC staining protocol.

Western blot - Anti-RPL26L1 antibody [EPR8478] (AB137046)
  • WB

Unknown

Western blot - Anti-RPL26L1 antibody [EPR8478] (AB137046)

All lanes:

Western blot - Anti-RPL26L1 antibody [EPR8478] (ab137046) at 1/1000 dilution

Lane 1:

293T cell lysate at 10 µg

Lane 2:

HepG2 cell lysate at 10 µg

Lane 3:

HeLa cell lysate at 10 µg

Secondary

All lanes:

HRP conjugated Goat anti Rabbit IgG at 1/2000 dilution

Predicted band size: 17 kDa

false

  • Carrier free

    Anti-RPL26L1 antibody [EPR8478] - BSA and Azide free

Key facts

Host species

Rabbit

Clonality

Monoclonal

Clone number

EPR8478

Isotype

IgG

Carrier free

No

Reacts with

Human

Applications

ICC/IF, IHC-P, WB

applications

Immunogen

The exact immunogen used to generate this antibody is proprietary information.

Reactivity data

{ "title": "Reactivity Data", "filters": { "stats": ["", "Species", "Dilution Info", "Notes"], "tabs": { "all-applications": {"fullname" : "All Applications", "shortname": "All Applications"}, "IHCP" : {"fullname" : "Immunohistochemistry (Formalin/PFA-fixed paraffin-embedded sections)", "shortname":"IHC-P"}, "IP" : {"fullname" : "Immunoprecipitation", "shortname":"IP"}, "FlowCyt" : {"fullname" : "Flow Cytometry", "shortname":"Flow Cyt"}, "WB" : {"fullname" : "Western blot", "shortname":"WB"}, "ICCIF" : {"fullname" : "Immunocytochemistry/ Immunofluorescence", "shortname":"ICC/IF"} }, "product-promise": { "all": "all", "testedAndGuaranteed": "tested", "guaranteed": "expected", "predicted": "predicted", "notRecommended": "not-recommended" } }, "values": { "Human": { "IHCP-species-checked": "testedAndGuaranteed", "IHCP-species-dilution-info": "1/250 - 1/500", "IHCP-species-notes": "<p></p>", "IP-species-checked": "notRecommended", "IP-species-dilution-info": "", "IP-species-notes": "<p></p>", "FlowCyt-species-checked": "notRecommended", "FlowCyt-species-dilution-info": "", "FlowCyt-species-notes": "<p></p>", "WB-species-checked": "testedAndGuaranteed", "WB-species-dilution-info": "1/1000 - 1/10000", "WB-species-notes": "<p></p>", "ICCIF-species-checked": "testedAndGuaranteed", "ICCIF-species-dilution-info": "1/100 - 1/250", "ICCIF-species-notes": "<p></p>" }, "Mouse": { "IHCP-species-checked": "predicted", "IHCP-species-dilution-info": "", "IHCP-species-notes": "", "IP-species-checked": "notRecommended", "IP-species-dilution-info": "", "IP-species-notes": "", "FlowCyt-species-checked": "notRecommended", "FlowCyt-species-dilution-info": "", "FlowCyt-species-notes": "", "WB-species-checked": "guaranteed", "WB-species-dilution-info": "", "WB-species-notes": "<p></p>", "ICCIF-species-checked": "predicted", "ICCIF-species-dilution-info": "", "ICCIF-species-notes": "" }, "Rat": { "IHCP-species-checked": "predicted", "IHCP-species-dilution-info": "", "IHCP-species-notes": "", "IP-species-checked": "notRecommended", "IP-species-dilution-info": "", "IP-species-notes": "", "FlowCyt-species-checked": "notRecommended", "FlowCyt-species-dilution-info": "", "FlowCyt-species-notes": "", "WB-species-checked": "guaranteed", "WB-species-dilution-info": "", "WB-species-notes": "<p></p>", "ICCIF-species-checked": "predicted", "ICCIF-species-dilution-info": "", "ICCIF-species-notes": "" } } }

Product details

Patented technology
Our RabMAb® technology is a patented hybridoma-based technology for making rabbit monoclonal antibodies. For details on our patents, please refer to RabMAb® patents.

What are the advantages of a recombinant monoclonal antibody?
This product is a recombinant monoclonal antibody, which offers several advantages including:

  • - High batch-to-batch consistency and reproducibility
  • - Improved sensitivity and specificity
  • - Long-term security of supply
  • - Animal-free batch production

For more information, read more on recombinant antibodies.

Properties and storage information

Form
Liquid
Purification technique
Affinity purification Protein A
Storage buffer
pH: 7.2 - 7.4 Preservative: 0.01% Sodium azide Constituents: PBS, 50% Tissue culture supernatant, 40% Glycerol (glycerin, glycerine), 0.05% BSA
Shipped at conditions
Blue Ice
Appropriate short-term storage conditions
+4°C
Appropriate long-term storage conditions
-20°C
Aliquoting information
Upon delivery aliquot
Storage information
Avoid freeze / thaw cycle

Supplementary information

This supplementary information is collated from multiple sources and compiled automatically.

RPL26L1 also known as ribosomal protein L26-like 1 is a protein that functions in the translation process within cells. This protein has a mass of approximately 17.4 kDa and is part of the ribosomal machinery specifically associated with the 60S ribosomal subunit. Expression of RPL26L1 is found in tissues with high protein synthesis demand including the liver and testis indicating its role in protein production.
Biological function summary

RPL26L1 acts as a component of the ribosome contributing to protein biosynthesis by facilitating the assembly of ribosomes and ensuring the synchronized translation of mRNA into polypeptides. RPL26L1 participates in forming a ribonucleoprotein complex essential for maintaining the structural stability of ribosomes during translation. This function is critical for efficient cell growth and protein expression.

Pathways

Ribosome-associated activities see RPL26L1 play a significant part in the mRNA translation pathway. Involvement in the translation initiation process links RPL26L1 closely with other ribosomal proteins such as RPL26 which is involved in regulating mRNA translation initiation and elongation. Together these proteins ensure the fidelity and efficiency of protein synthesis connecting RPL26L1 to the foundational processes of gene expression.

Disruptions in RPL26L1 function can relate to conditions such as Diamond-Blackfan anemia a rare genetic disorder linked to faulty ribosomal proteins. In this context RPL26L1 interaction with proteins like RPS19 reflects its role in the pathology of diseases that originate from ribosomal protein malfunctions. Maintaining appropriate RPL26L1 function is essential for ribosomal integrity and overall cellular health.

Product protocols

For this product, it's our understanding that no specific protocols are required. You can visit:

Publications (3)

Recent publications for all applications. Explore the full list and refine your search

Nature communications 16:3348 PubMed40199901

2025

Spatially resolved atlas of breast cancer uncovers intercellular machinery of venular niche governing lymphocyte extravasation.

Applications

Unspecified application

Species

Unspecified reactive species

Xin Wang,Zhanyu Wang,Qijun Liao,Pei Yuan,Junpu Mei,Yin Zhang,Chao Wu,Xiyu Kang,Sufei Zheng,Chenxuan Yang,Jiaxiang Liu,Qingyao Shang,Jiangtao Li,Bingning Wang,Liangyu Li,Hui Liu,Weining Hu,Zhensheng Dong,Jie Zhao,Linying Wang,Tao Liu,Yusheng Den,Chengrui Wang,Lijuan Han,Qianjun Chen,Huanming Yang,Xun Xu,Jie He,Zhen Yue,Nan Sun,Xiaodong Fang,Jianming Ying

Cell 184:4886-4903.e21 PubMed34433013

2021

Dual film-like organelles enable spatial separation of orthogonal eukaryotic translation.

Applications

Unspecified application

Species

Unspecified reactive species

Christopher D Reinkemeier,Edward A Lemke

Science (New York, N.Y.) 363: PubMed30923194

2019

Designer membraneless organelles enable codon reassignment of selected mRNAs in eukaryotes.

Applications

Unspecified application

Species

Unspecified reactive species

Christopher D Reinkemeier,Gemma Estrada Girona,Edward A Lemke
View all publications

Product promise

We are committed to supporting your work with high-quality reagents, and we're here for you every step of the way. In the unlikely event that one of our products does not perform as expected, you're protected by our Product Promise.
For full details, please see our Terms & Conditions

Please note: All products are 'FOR RESEARCH USE ONLY. NOT FOR USE IN DIAGNOSTIC OR THERAPEUTIC PROCEDURES'.

For licensing inquiries, please contact partnerships@abcam.com