JavaScript is disabled in your browser. Please enable JavaScript to view this website.
AB248784

Anti-RPL26L1 antibody [EPR8478] - BSA and Azide free

Be the first to review this product! Submit a review

|

(1 Publication)

Rabbit Recombinant Monoclonal RPL26L1 antibody. Carrier free. Suitable for IHC-P, ICC/IF, WB and reacts with Human samples. Cited in 1 publication.

View Alternative Names

RPL26P1, RPL26L1, Ribosomal protein uL24-like, 60S ribosomal protein L26-like 1, Large ribosomal subunit protein uL24-like 1

4 Images
Immunohistochemistry (Formalin/PFA-fixed paraffin-embedded sections) - Anti-RPL26L1 antibody [EPR8478] - BSA and Azide free (AB248784)
  • IHC-P

Unknown

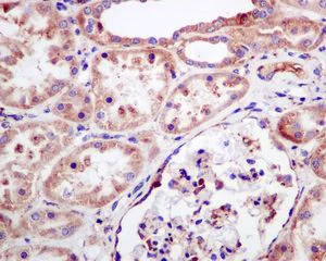
Immunohistochemistry (Formalin/PFA-fixed paraffin-embedded sections) - Anti-RPL26L1 antibody [EPR8478] - BSA and Azide free (AB248784)

This data was developed using ab137046, the same antibody clone in a different buffer formulation.

Immunohistochemical analysis of paraffin embedded Human kidney tissue labelling RPL26L1 with ab137046 at 1/250 dilution.

Perform heat mediated antigen retrieval with citrate buffer pH 6 before commencing with IHC staining protocol.

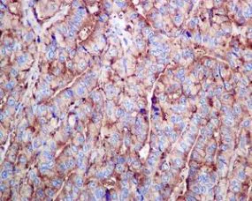
Immunohistochemistry (Formalin/PFA-fixed paraffin-embedded sections) - Anti-RPL26L1 antibody [EPR8478] - BSA and Azide free (AB248784)
  • IHC-P

Unknown

Immunohistochemistry (Formalin/PFA-fixed paraffin-embedded sections) - Anti-RPL26L1 antibody [EPR8478] - BSA and Azide free (AB248784)

This data was developed using ab137046, the same antibody clone in a different buffer formulation.

Immunohistochemical analysis of paraffin embedded Human papillary adenocarcinoma of thyroid gland tissue labelling RPL26L1 with ab137046 at 1/250 dilution.

Perform heat mediated antigen retrieval with citrate buffer pH 6 before commencing with IHC staining protocol.

Immunocytochemistry/ Immunofluorescence - Anti-RPL26L1 antibody [EPR8478] - BSA and Azide free (AB248784)
  • ICC/IF

Unknown

Immunocytochemistry/ Immunofluorescence - Anti-RPL26L1 antibody [EPR8478] - BSA and Azide free (AB248784)

This data was developed using ab137046, the same antibody clone in a different buffer formulation.Immunofluorescence analysis of HepG2 cells labelling RPL26L1 with ab137046 at 1/100 dilution.

Western blot - Anti-RPL26L1 antibody [EPR8478] - BSA and Azide free (AB248784)
  • WB

Unknown

Western blot - Anti-RPL26L1 antibody [EPR8478] - BSA and Azide free (AB248784)

This data was developed using ab137046, the same antibody clone in a different buffer formulation.

All lanes:

Western blot - Anti-RPL26L1 antibody [EPR8478] (<a href='/en-us/products/primary-antibodies/rpl26l1-antibody-epr8478-ab137046'>ab137046</a>) at 1/1000 dilution

Lane 1:

293T cell lysate at 10 µg

Lane 2:

HepG2 cell lysate at 10 µg

Lane 3:

HeLa cell lysate at 10 µg

Secondary

All lanes:

HRP conjugated Goat anti Rabbit IgG at 1/2000 dilution

Predicted band size: 17 kDa

false

Key facts

Host species

Rabbit

Clonality

Monoclonal

Clone number

EPR8478

Isotype

IgG

Carrier free

Yes

Reacts with

Human

Applications

ICC/IF, IHC-P, WB

applications

Immunogen

The exact immunogen used to generate this antibody is proprietary information.

Reactivity data

{ "title": "Reactivity Data", "filters": { "stats": ["", "Species", "Dilution Info", "Notes"], "tabs": { "all-applications": {"fullname" : "All Applications", "shortname": "All Applications"}, "IHCP" : {"fullname" : "Immunohistochemistry (Formalin/PFA-fixed paraffin-embedded sections)", "shortname":"IHC-P"}, "ICCIF" : {"fullname" : "Immunocytochemistry/ Immunofluorescence", "shortname":"ICC/IF"}, "IP" : {"fullname" : "Immunoprecipitation", "shortname":"IP"}, "FlowCyt" : {"fullname" : "Flow Cytometry", "shortname":"Flow Cyt"}, "WB" : {"fullname" : "Western blot", "shortname":"WB"} }, "product-promise": { "all": "all", "testedAndGuaranteed": "tested", "guaranteed": "expected", "predicted": "predicted", "notRecommended": "not-recommended" } }, "values": { "Human": { "IHCP-species-checked": "testedAndGuaranteed", "IHCP-species-dilution-info": "", "IHCP-species-notes": "<p></p> Perform heat-mediated antigen retrieval with citrate buffer pH 6 before commencing with IHC staining protocol.", "ICCIF-species-checked": "testedAndGuaranteed", "ICCIF-species-dilution-info": "", "ICCIF-species-notes": "<p></p>", "IP-species-checked": "notRecommended", "IP-species-dilution-info": "", "IP-species-notes": "<p></p>", "FlowCyt-species-checked": "notRecommended", "FlowCyt-species-dilution-info": "", "FlowCyt-species-notes": "<p></p>", "WB-species-checked": "testedAndGuaranteed", "WB-species-dilution-info": "", "WB-species-notes": "<p></p>" }, "Mouse": { "IHCP-species-checked": "predicted", "IHCP-species-dilution-info": "", "IHCP-species-notes": "", "ICCIF-species-checked": "predicted", "ICCIF-species-dilution-info": "", "ICCIF-species-notes": "", "IP-species-checked": "notRecommended", "IP-species-dilution-info": "", "IP-species-notes": "", "FlowCyt-species-checked": "notRecommended", "FlowCyt-species-dilution-info": "", "FlowCyt-species-notes": "", "WB-species-checked": "predicted", "WB-species-dilution-info": "", "WB-species-notes": "" }, "Rat": { "IHCP-species-checked": "predicted", "IHCP-species-dilution-info": "", "IHCP-species-notes": "", "ICCIF-species-checked": "predicted", "ICCIF-species-dilution-info": "", "ICCIF-species-notes": "", "IP-species-checked": "notRecommended", "IP-species-dilution-info": "", "IP-species-notes": "", "FlowCyt-species-checked": "notRecommended", "FlowCyt-species-dilution-info": "", "FlowCyt-species-notes": "", "WB-species-checked": "predicted", "WB-species-dilution-info": "", "WB-species-notes": "" } } }

Product details

ab248784 is the carrier-free version of ab137046.

Patented technology
Our RabMAb® technology is a patented hybridoma-based technology for making rabbit monoclonal antibodies. For details on our patents, please refer to RabMAb® patents.

What are the advantages of a recombinant monoclonal antibody?
This product is a recombinant monoclonal antibody, which offers several advantages including:

  • - High batch-to-batch consistency and reproducibility
  • - Improved sensitivity and specificity
  • - Long-term security of supply
  • - Animal-free batch production

For more information, read more on recombinant antibodies.

Conjugation ready
Our carrier-free antibodies are typically supplied in a PBS-only formulation, purified and free of BSA, sodium azide and glycerol. This conjugation-ready format is designed for use with fluorochromes, metal isotopes, oligonucleotides, and enzymes, which makes them ideal for antibody labelling, functional and cell-based assays, flow-based assays (e.g. mass cytometry) and Multiplex Imaging applications.

Use our conjugation kits for antibody conjugates that are ready-to-use in as little as 20 minutes with 1 minute hands-on-time and 100% antibody recovery: available for fluorescent dyes, HRP, biotin and gold.

Compatibility
This product is compatible with the Maxpar® Antibody Labeling Kit from Fluidigm, without the need for antibody preparation. Maxpar® is a trademark of Fluidigm Canada Inc.

Properties and storage information

Form
Liquid
Purification technique
Affinity purification Protein A
Storage buffer
pH: 7.2 - 7.4 Constituents: PBS
Shipped at conditions
Blue Ice
Appropriate short-term storage conditions
+4°C
Appropriate long-term storage conditions
+4°C
Storage information
Do Not Freeze

Supplementary information

This supplementary information is collated from multiple sources and compiled automatically.

RPL26L1 also known as ribosomal protein L26-like 1 is a protein that functions in the translation process within cells. This protein has a mass of approximately 17.4 kDa and is part of the ribosomal machinery specifically associated with the 60S ribosomal subunit. Expression of RPL26L1 is found in tissues with high protein synthesis demand including the liver and testis indicating its role in protein production.
Biological function summary

RPL26L1 acts as a component of the ribosome contributing to protein biosynthesis by facilitating the assembly of ribosomes and ensuring the synchronized translation of mRNA into polypeptides. RPL26L1 participates in forming a ribonucleoprotein complex essential for maintaining the structural stability of ribosomes during translation. This function is critical for efficient cell growth and protein expression.

Pathways

Ribosome-associated activities see RPL26L1 play a significant part in the mRNA translation pathway. Involvement in the translation initiation process links RPL26L1 closely with other ribosomal proteins such as RPL26 which is involved in regulating mRNA translation initiation and elongation. Together these proteins ensure the fidelity and efficiency of protein synthesis connecting RPL26L1 to the foundational processes of gene expression.

Disruptions in RPL26L1 function can relate to conditions such as Diamond-Blackfan anemia a rare genetic disorder linked to faulty ribosomal proteins. In this context RPL26L1 interaction with proteins like RPS19 reflects its role in the pathology of diseases that originate from ribosomal protein malfunctions. Maintaining appropriate RPL26L1 function is essential for ribosomal integrity and overall cellular health.

Product protocols

For this product, it's our understanding that no specific protocols are required. You can visit:

Publications (1)

Recent publications for all applications. Explore the full list and refine your search

NPJ precision oncology 7:95 PubMed37723227

2023

Targeted single-cell proteomic analysis identifies new liquid biopsy biomarkers associated with multiple myeloma.

Applications

Unspecified application

Species

Unspecified reactive species

Sonia M Setayesh,Libere J Ndacayisaba,Kate E Rappard,Valerie Hennes,Luz Yurany Moreno Rueda,Guilin Tang,Pei Lin,Robert Z Orlowski,David E Symer,Elisabet E Manasanch,Stephanie N Shishido,Peter Kuhn
View all publications

Product promise

We are committed to supporting your work with high-quality reagents, and we're here for you every step of the way. In the unlikely event that one of our products does not perform as expected, you're protected by our Product Promise.
For full details, please see our Terms & Conditions

Please note: All products are 'FOR RESEARCH USE ONLY. NOT FOR USE IN DIAGNOSTIC OR THERAPEUTIC PROCEDURES'.

For licensing inquiries, please contact partnerships@abcam.com