JavaScript is disabled in your browser. Please enable JavaScript to view this website.
AB325434

Anti-RPL26+RPL26L antibody [EPR28600-70]

Be the first to review this product! Submit a review

|

(0 Publication)

Rabbit Recombinant Monoclonal RPL26 antibody. Suitable for WB, IP, ICC/IF and reacts with Transfected cell lysate - Human, Human, Mouse, Rat samples.

View Alternative Names

Large ribosomal subunit protein uL24, 60S ribosomal protein L26, RPL26

6 Images
Immunocytochemistry/ Immunofluorescence - Anti-RPL26+RPL26L antibody [EPR28600-70] (AB325434)
  • ICC/IF

Lab

Immunocytochemistry/ Immunofluorescence - Anti-RPL26+RPL26L antibody [EPR28600-70] (AB325434)

Immunofluorescent analysis of 4% Paraformaldehyde-fixed, 0.1% TritonX-100 permeabilized HEK-293 (human embryonic kidney epithelial cell) cells labelling RPL26 with ab325434 at 1/200 (2.535 μg/ml) dilution , followed by ab150081 Goat Anti-Rabbit IgG H&L (Alexa Fluor® 488) preadsorbed antibody at 1/1000 dilution (Green).

Confocal image showing cytoplasmic and weak nuclear staining in HEK-293 cell line (shown in green). The counterstain was observed in magenta. Nuclear DNA was labelled with DAPI (shown in blue). Image was taken with a confocal microscope (Leica-Microsystems, TCS SP8).

ab7291 Anti-alpha Tubulin mouse monoclonal antibody was used to counterstain tubulin at 1/1000 dilution (Magenta). The Nuclear counterstain was DAPI (Blue).

Secondary antibody only control : Secondary antibody is ab150081 Goat Anti-Rabbit IgG H&L (Alexa Fluor® 488) preadsorbed at 1/1000 dilution.

Immunoprecipitation - Anti-RPL26+RPL26L antibody [EPR28600-70] (AB325434)
  • IP

Lab

Immunoprecipitation - Anti-RPL26+RPL26L antibody [EPR28600-70] (AB325434)

RPL26 was immunoprecipitated from 0.35 mg HEK-293 (human embryonic kidney epithelial cell) whole cell lysate with ab325434 at 1/30 dilution (2μg in 0.35mg lysates). Western blot was performed on the immunoprecipitate using ab325434 at 1/1000 dilution. VeriBlot for IP secondary antibody(HRP)(ab131366) was used at 1/5000 dilution.

Lane 1 : HEK-293 (human embryonic kidney epithelial cell) whole cell lysate
Lane 2 : ab325434 IP in HEK-293 (human embryonic kidney epithelial cell) whole cell lysate
Lane 3 : Rabbit monoclonal IgG (ab172730) instead of ab325434 in HEK-293 whole cell lysate

Blocking and dilution buffer and concentration : 5% NFDM/TBST.

Exposure time : 180 seconds.

All lanes:

Immunoprecipitation - Anti-RPL26+RPL26L antibody [EPR28600-70] (ab325434) at 1/1000 dilution

Lane 1:

HEK-293 (human embryonic kidney epithelial cell) whole cell lysate at 10 µg

Lane 2:

ab325434 at 1/30 IP in HEK-293 (human embryonic kidney epithelial cell) whole cell lysate

Lane 3:

Rabbit monoclonal IgG (<a href='/en-us/products/primary-antibodies/rabbit-igg-monoclonal-epr25a-isotype-control-ab172730'>ab172730</a>) instead of ab325434 in HEK-293 whole cell lysate

Secondary

All lanes:

Immunoprecipitation - VeriBlot for IP Detection Reagent (HRP) (<a href='/en-us/products/reagents/veriblot-for-ip-detection-reagent-hrp-ab131366'>ab131366</a>) at 1/5000 dilution

Observed band size: 17 kDa

false

Exposure time: 180s

Immunocytochemistry/ Immunofluorescence - Anti-RPL26+RPL26L antibody [EPR28600-70] (AB325434)
  • ICC/IF

Lab

Immunocytochemistry/ Immunofluorescence - Anti-RPL26+RPL26L antibody [EPR28600-70] (AB325434)

Immunofluorescent analysis of 4% Paraformaldehyde-fixed, 0.1% TritonX-100 permeabilized RBL-2H3 (rat Peripheral blood basophil) cells labelling RPL26 with ab325434 at 1/200 (2.535 μg/ml) dilution , followed by ab150081 Goat Anti-Rabbit IgG H&L (Alexa Fluor® 488) preadsorbed antibody at 1/1000 dilution (Green).

Confocal image showing cytoplasmic and weak nuclear staining in RBL-2H3 cell line (shown in green). The counterstain was observed in magenta. Nuclear DNA was labelled with DAPI (shown in blue). Image was taken with a confocal microscope (Leica-Microsystems, TCS SP8).

ab7291 Anti-alpha Tubulin mouse monoclonal antibody was used to counterstain tubulin at 1/1000 dilution (Magenta). The Nuclear counterstain was DAPI (Blue).

Secondary antibody only control : Secondary antibody is ab150081 Goat Anti-Rabbit IgG H&L (Alexa Fluor® 488) preadsorbed at 1/1000 dilution.

Immunocytochemistry/ Immunofluorescence - Anti-RPL26+RPL26L antibody [EPR28600-70] (AB325434)
  • ICC/IF

Lab

Immunocytochemistry/ Immunofluorescence - Anti-RPL26+RPL26L antibody [EPR28600-70] (AB325434)

Immunofluorescent analysis of 4% Paraformaldehyde-fixed, 0.1% TritonX-100 permeabilized NIH/3T3 (mouse embryonic fibroblast) cells labelling RPL26 with ab325434 at 1/200 (2.535 μg/ml) dilution , followed by ab150081 Goat Anti-Rabbit IgG H&L (Alexa Fluor® 488) preadsorbed antibody at 1/1000 dilution (Green).

Confocal image showing cytoplasmic and weak nuclear staining in NIH/3T3 cell line (shown in green). The counterstain was observed in magenta. Nuclear DNA was labelled with DAPI (shown in blue). Image was taken with a confocal microscope (Leica-Microsystems, TCS SP8).

ab7291 Anti-alpha Tubulin mouse monoclonal antibody was used to counterstain tubulin at 1/1000 dilution (Magenta). The Nuclear counterstain was DAPI (Blue).

Secondary antibody only control : Secondary antibody is ab150081 Goat Anti-Rabbit IgG H&L (Alexa Fluor® 488) preadsorbed at 1/1000 dilution.

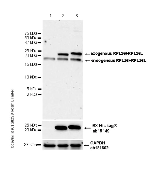
Western blot - Anti-RPL26+RPL26L antibody [EPR28600-70] (AB325434)
  • WB

Lab

Western blot - Anti-RPL26+RPL26L antibody [EPR28600-70] (AB325434)

Blocking and diluting buffer and concentration : 5% NFDM/TBST.

In Western blot, Anti-GAPDH antibody [EPR16891] - Loading Control (ab181602) (1 : 200000) (36KDa); Anti-6X His tag® antibody [AD1.1.10](ab15149)(1 : 1000)(16KDa).

All lanes:

Western blot - Anti-RPL26+RPL26L antibody [EPR28600-70] (ab325434) at 1/1000 dilution

Lane 1:

293T cells transfected with an empty vector containing a his-tag, whole cell lysate at 20 µg

Lane 2:

293T cells transfected with a human RPL26 expression vector containing a his-tag, whole cell lysate at 20 µg

Lane 3:

293T cells transfected with a human RPL26L expression vector containing a his-tag, whole cell lysate at 20 µg

Secondary

All lanes:

Western blot - Goat Anti-Rabbit IgG H&L (HRP) (<a href='/en-us/products/secondary-antibodies/goat-rabbit-igg-h-l-hrp-ab97051'>ab97051</a>) at 1/20000 dilution

Observed band size: 17 kDa,36 kDa,16 kDa

false

Exposure time: 180s

Western blot - Anti-RPL26+RPL26L antibody [EPR28600-70] (AB325434)
  • WB

Lab

Western blot - Anti-RPL26+RPL26L antibody [EPR28600-70] (AB325434)

Blocking and diluting buffer and concentration : 5% NFDM/TBST.

In Western blot, Anti-GAPDH antibody [EPR16891] - Loading Control (ab181602) (1 : 200000) (36KDa).

All lanes:

Western blot - Anti-RPL26+RPL26L antibody [EPR28600-70] (ab325434) at 1/1000 dilution

Lane 1:

HEK-293 (human embryonic kidney epithelial cell) transfected with scrambled siRNA control whole cell lysate at 20 µg

Lane 2:

HEK-293 transfected with siRNA specifically targeting RPL26 whole cell lysate at 20 µg

Secondary

All lanes:

Western blot - Goat Anti-Rabbit IgG H&L (HRP) (<a href='/en-us/products/secondary-antibodies/goat-rabbit-igg-h-l-hrp-ab97051'>ab97051</a>) at 1/20000 dilution

Observed band size: 17 kDa,36 kDa

false

Exposure time: 59s

Key facts

Host species

Rabbit

Clonality

Monoclonal

Clone number

EPR28600-70

Isotype

IgG

Carrier free

No

Reacts with

Human, Mouse, Rat

Applications

IP, WB, ICC/IF

applications

Immunogen

The exact immunogen used to generate this antibody is proprietary information.

Reactivity data

{ "title": "Reactivity Data", "filters": { "stats": ["", "Species", "Dilution Info", "Notes"], "tabs": { "all-applications": {"fullname" : "All Applications", "shortname": "All Applications"}, "WB" : {"fullname" : "Western blot", "shortname":"WB"}, "IP" : {"fullname" : "Immunoprecipitation", "shortname":"IP"}, "ICCIF" : {"fullname" : "Immunocytochemistry/ Immunofluorescence", "shortname":"ICC/IF"} }, "product-promise": { "all": "all", "testedAndGuaranteed": "tested", "guaranteed": "expected", "predicted": "predicted", "notRecommended": "not-recommended" } }, "values": { "Human": { "WB-species-checked": "testedAndGuaranteed", "WB-species-dilution-info": "1/1000", "WB-species-notes": "<p></p>", "IP-species-checked": "testedAndGuaranteed", "IP-species-dilution-info": "1/30", "IP-species-notes": "<p></p>", "ICCIF-species-checked": "testedAndGuaranteed", "ICCIF-species-dilution-info": "1/200", "ICCIF-species-notes": "<p></p>" }, "Mouse": { "WB-species-checked": "testedAndGuaranteed", "WB-species-dilution-info": "1/1000", "WB-species-notes": "<p></p>", "IP-species-checked": "guaranteed", "IP-species-dilution-info": "", "IP-species-notes": "", "ICCIF-species-checked": "testedAndGuaranteed", "ICCIF-species-dilution-info": "1/200", "ICCIF-species-notes": "<p></p>" }, "Rat": { "WB-species-checked": "testedAndGuaranteed", "WB-species-dilution-info": "1/1000", "WB-species-notes": "<p></p>", "IP-species-checked": "guaranteed", "IP-species-dilution-info": "", "IP-species-notes": "", "ICCIF-species-checked": "testedAndGuaranteed", "ICCIF-species-dilution-info": "1/200", "ICCIF-species-notes": "<p></p>" }, "Transfected cell lysate - Human": { "WB-species-checked": "testedAndGuaranteed", "WB-species-dilution-info": "1/1000", "WB-species-notes": "<p></p>", "IP-species-checked": "notRecommended", "IP-species-dilution-info": "", "IP-species-notes": "", "ICCIF-species-checked": "notRecommended", "ICCIF-species-dilution-info": "", "ICCIF-species-notes": "" } } }

Product details

Patented technology
Our RabMAb® technology is a patented hybridoma-based technology for making rabbit monoclonal antibodies. For details on our patents, please refer to RabMAb® patents.

What are the advantages of a recombinant monoclonal antibody?
This product is a recombinant monoclonal antibody, which offers several advantages including:

  • - High batch-to-batch consistency and reproducibility
  • - Improved sensitivity and specificity
  • - Long-term security of supply
  • - Animal-free batch production

For more information, read more on recombinant antibodies.

Properties and storage information

Form
Liquid
Purification technique
Affinity purification Protein A
Storage buffer
pH: 7.2 - 7.4 Preservative: 0.01% Sodium azide Constituents: PBS, 40% Glycerol (glycerin, glycerine), 0.05% BSA
Shipped at conditions
Blue Ice
Appropriate short-term storage duration
1-2 weeks
Appropriate short-term storage conditions
+4°C
Appropriate long-term storage conditions
-20°C
Aliquoting information
Upon delivery aliquot
Storage information
Avoid freeze / thaw cycle

Product protocols

For this product, it's our understanding that no specific protocols are required. You can visit:

Target data

Component of the large ribosomal subunit (PubMed : 23636399, PubMed : 26100019, PubMed : 32669547). The ribosome is a large ribonucleoprotein complex responsible for the synthesis of proteins in the cell (PubMed : 23636399, PubMed : 26100019, PubMed : 32669547).
See full target information RPL26

Additional targets

RPL26L1

Product promise

We are committed to supporting your work with high-quality reagents, and we're here for you every step of the way. In the unlikely event that one of our products does not perform as expected, you're protected by our Product Promise.
For full details, please see our Terms & Conditions

Please note: All products are 'FOR RESEARCH USE ONLY. NOT FOR USE IN DIAGNOSTIC OR THERAPEUTIC PROCEDURES'.

For licensing inquiries, please contact partnerships@abcam.com