JavaScript is disabled in your browser. Please enable JavaScript to view this website.
AB236906

Anti-RPL27/RPL27A antibody

Be the first to review this product! Submit a review

|

(1 Publication)

Rabbit Polyclonal RPL27/RPL27A antibody. Suitable for WB, IHC-P, ICC/IF and reacts with Human samples. Cited in 1 publication. Immunogen corresponding to Recombinant Full Length Protein corresponding to Human RPL27.

View Alternative Names

Large ribosomal subunit protein eL27, 60S ribosomal protein L27, RPL27

3 Images
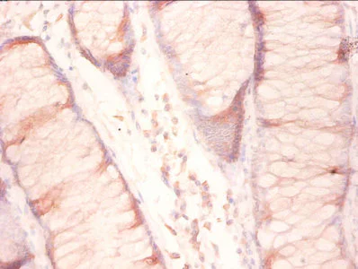
Immunohistochemistry (Formalin/PFA-fixed paraffin-embedded sections) - Anti-RPL27/RPL27A antibody (AB236906)
  • IHC-P

Supplier Data

Immunohistochemistry (Formalin/PFA-fixed paraffin-embedded sections) - Anti-RPL27/RPL27A antibody (AB236906)

Paraffin-embedded human colon cancer tissue stained for RPL27/RPL27A using ab236906 at 1/50 dilution in immunohistochemical analysis.

Immunocytochemistry/ Immunofluorescence - Anti-RPL27/RPL27A antibody (AB236906)
  • ICC/IF

Supplier Data

Immunocytochemistry/ Immunofluorescence - Anti-RPL27/RPL27A antibody (AB236906)

HeLa (human epithelial cell line from cervix adenocarcinoma) cells labeling RPL27/RPL27A using ab236906 at 1/100 dilution in ICC/IF, followed by Alexa Fluor 488® conjugated Goat Anti-Rabbit IgG (H+L).

Western blot - Anti-RPL27/RPL27A antibody (AB236906)
  • WB

Supplier Data

Western blot - Anti-RPL27/RPL27A antibody (AB236906)

All lanes:

Western blot - Anti-RPL27/RPL27A antibody (ab236906) at 1/500 dilution

Lane 1:

EC109 whole cell lysate

Lane 2:

HEK-293T (human epithelial cell line from embryonic kidney transformed with large T antigen) cell lysate

Secondary

All lanes:

Goat polyclonal to rabbit IgG at 1/15000 dilution

Predicted band size: 16 kDa

false

Key facts

Host species

Rabbit

Clonality

Polyclonal

Isotype

IgG

Carrier free

No

Reacts with

Human

Applications

IHC-P, ICC/IF, WB

applications

Immunogen

Recombinant Full Length Protein corresponding to Human RPL27.

P61353

Reactivity data

{ "title": "Reactivity Data", "filters": { "stats": ["", "Species", "Dilution Info", "Notes"], "tabs": { "all-applications": {"fullname" : "All Applications", "shortname": "All Applications"}, "WB" : {"fullname" : "Western blot", "shortname":"WB"}, "IHCP" : {"fullname" : "Immunohistochemistry (Formalin/PFA-fixed paraffin-embedded sections)", "shortname":"IHC-P"}, "ICCIF" : {"fullname" : "Immunocytochemistry/ Immunofluorescence", "shortname":"ICC/IF"} }, "product-promise": { "all": "all", "testedAndGuaranteed": "tested", "guaranteed": "expected", "predicted": "predicted", "notRecommended": "not-recommended" } }, "values": { "Human": { "WB-species-checked": "testedAndGuaranteed", "WB-species-dilution-info": "1/500 - 1/2000", "WB-species-notes": "<p></p>", "IHCP-species-checked": "testedAndGuaranteed", "IHCP-species-dilution-info": "1/20 - 1/200", "IHCP-species-notes": "<p></p>", "ICCIF-species-checked": "testedAndGuaranteed", "ICCIF-species-dilution-info": "1/50 - 1/200", "ICCIF-species-notes": "<p></p>" }, "Mouse": { "WB-species-checked": "predicted", "WB-species-dilution-info": "", "WB-species-notes": "", "IHCP-species-checked": "predicted", "IHCP-species-dilution-info": "", "IHCP-species-notes": "", "ICCIF-species-checked": "predicted", "ICCIF-species-dilution-info": "", "ICCIF-species-notes": "" }, "Rat": { "WB-species-checked": "predicted", "WB-species-dilution-info": "", "WB-species-notes": "", "IHCP-species-checked": "predicted", "IHCP-species-dilution-info": "", "IHCP-species-notes": "", "ICCIF-species-checked": "predicted", "ICCIF-species-dilution-info": "", "ICCIF-species-notes": "" }, "Chicken": { "WB-species-checked": "predicted", "WB-species-dilution-info": "", "WB-species-notes": "", "IHCP-species-checked": "predicted", "IHCP-species-dilution-info": "", "IHCP-species-notes": "", "ICCIF-species-checked": "predicted", "ICCIF-species-dilution-info": "", "ICCIF-species-notes": "" }, "Cow": { "WB-species-checked": "predicted", "WB-species-dilution-info": "", "WB-species-notes": "", "IHCP-species-checked": "predicted", "IHCP-species-dilution-info": "", "IHCP-species-notes": "", "ICCIF-species-checked": "predicted", "ICCIF-species-dilution-info": "", "ICCIF-species-notes": "" }, "Cynomolgus monkey": { "WB-species-checked": "predicted", "WB-species-dilution-info": "", "WB-species-notes": "", "IHCP-species-checked": "predicted", "IHCP-species-dilution-info": "", "IHCP-species-notes": "", "ICCIF-species-checked": "predicted", "ICCIF-species-dilution-info": "", "ICCIF-species-notes": "" }, "Dog": { "WB-species-checked": "predicted", "WB-species-dilution-info": "", "WB-species-notes": "", "IHCP-species-checked": "predicted", "IHCP-species-dilution-info": "", "IHCP-species-notes": "", "ICCIF-species-checked": "predicted", "ICCIF-species-dilution-info": "", "ICCIF-species-notes": "" }, "Pig": { "WB-species-checked": "predicted", "WB-species-dilution-info": "", "WB-species-notes": "", "IHCP-species-checked": "predicted", "IHCP-species-dilution-info": "", "IHCP-species-notes": "", "ICCIF-species-checked": "predicted", "ICCIF-species-dilution-info": "", "ICCIF-species-notes": "" }, "Zebrafish": { "WB-species-checked": "predicted", "WB-species-dilution-info": "", "WB-species-notes": "", "IHCP-species-checked": "predicted", "IHCP-species-dilution-info": "", "IHCP-species-notes": "", "ICCIF-species-checked": "predicted", "ICCIF-species-dilution-info": "", "ICCIF-species-notes": "" } } }

Properties and storage information

Form
Liquid
Purification technique
Affinity purification Protein G
Purification notes
Purity >95%.
Storage buffer
pH: 7.4 Preservative: 0.03% Proclin 300 Constituents: PBS, 50% Glycerol (glycerin, glycerine)
Shipped at conditions
Blue Ice
Appropriate short-term storage duration
1-2 weeks
Appropriate short-term storage conditions
+4°C
Appropriate long-term storage conditions
-20°C
Aliquoting information
Upon delivery aliquot
Storage information
Avoid freeze / thaw cycle

Supplementary information

This supplementary information is collated from multiple sources and compiled automatically.

RPL27 and RPL27A also known as ribosomal protein L27 and L27A are components of the large ribosomal subunit and weigh approximately 16 kDa. They function mechanically as integral parts of the ribosome which is important for protein synthesis. These proteins occur widely in the cytoplasm of eukaryotic cells contributing to the assembly of ribosomes which are vital for translating mRNA into polypeptides.
Biological function summary

RPL27 and RPL27A function as essential components of the ribosomal machinery that drives protein translation. Both proteins contribute to ribosome biogenesis an important process in cellular protein synthesis. As part of the large 60S ribosomal subunit they participate in the formation and stabilization of the ribosomal structure enabling efficient mRNA translation. These ribosomal proteins work within a complex that includes other ribosomal proteins and ribosomal RNA (rRNA) to facilitate the synthesis of proteins necessary for cell growth and function.

Pathways

RPL27 and RPL27A play significant roles in the translation pathway an essential part of gene expression. They are involved in the initiation elongation and termination phases of protein synthesis. The function of these proteins parallels that of other ribosomal proteins like RPL23 which helps in joining amino acids to form polypeptides. Additionally RPL27 and RPL27A integrate into pathways managing cellular responses to stress by regulating the production of proteins under different conditions such as during nutrient availability or cell proliferation signaling.

Alterations in RPL27 and RPL27A levels or mutations can associate with conditions like Diamond-Blackfan anemia and certain cancers. These proteins have links to oncogenesis as irregularities in ribosome biogenesis can lead to abnormal cell growth and cancer development. In addition their interaction with other ribosomal proteins such as RPL5 in these contexts indicates a broader impact on cellular homeostasis and susceptibility to disease. Understanding the role of these proteins in disease may provide insights into novel therapeutic approaches.

Product protocols

For this product, it's our understanding that no specific protocols are required. You can visit:

Target data

Component of the large ribosomal subunit (PubMed : 12962325, PubMed : 23636399, PubMed : 25901680, PubMed : 25957688, PubMed : 32669547). Required for proper rRNA processing and maturation of 28S and 5.8S rRNAs (PubMed : 25424902).
See full target information RPL27

Publications (1)

Recent publications for all applications. Explore the full list and refine your search

Experimental and therapeutic medicine 24:614 PubMed36160886

2022

TMEM14A aggravates the progression of human ovarian cancer cells by enhancing the activity of glycolysis.

Applications

Unspecified application

Species

Unspecified reactive species

Qingmei Zhang,Xiaohong Wang,Xuan Zhang,Jingfen Zhan,Binbin Zhang,Jin Jia,Jie Chen
View all publications

Product promise

We are committed to supporting your work with high-quality reagents, and we're here for you every step of the way. In the unlikely event that one of our products does not perform as expected, you're protected by our Product Promise.
For full details, please see our Terms & Conditions

Please note: All products are 'FOR RESEARCH USE ONLY. NOT FOR USE IN DIAGNOSTIC OR THERAPEUTIC PROCEDURES'.

For licensing inquiries, please contact partnerships@abcam.com