JavaScript is disabled in your browser. Please enable JavaScript to view this website.
AB154882

Anti-RPL3 antibody

Be the first to review this product! Submit a review

|

(2 Publications)

Rabbit Polyclonal RPL3 antibody. Suitable for IHC-P, WB, ICC/IF and reacts with Human samples. Cited in 2 publications. Immunogen corresponding to Recombinant Fragment Protein within Human RPL3 aa 1-200.

View Alternative Names

OK/SW-cl.32, RPL3, Large ribosomal subunit protein uL3, 60S ribosomal protein L3, HIV-1 TAR RNA-binding protein B, TARBP-B

3 Images
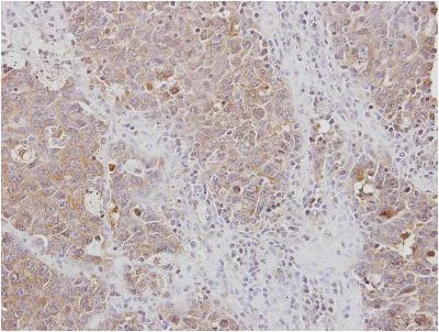
Immunohistochemistry (Formalin/PFA-fixed paraffin-embedded sections) - Anti-RPL3 antibody (AB154882)
  • IHC-P

Unknown

Immunohistochemistry (Formalin/PFA-fixed paraffin-embedded sections) - Anti-RPL3 antibody (AB154882)

Immunohistochemical analysis of paraffin embedded Human AdCA xenograft tissue, labeling RPL3 using ab154882 at 1/100 dilution.

Immunocytochemistry/ Immunofluorescence - Anti-RPL3 antibody (AB154882)
  • ICC/IF

Unknown

Immunocytochemistry/ Immunofluorescence - Anti-RPL3 antibody (AB154882)

Immunofluorescence analysis of methanol fixed A549 cells, labeling RPL3 using ab154882 at 1/500 dilution. Lower image costained with Hoerchst 33342.

Western blot - Anti-RPL3 antibody (AB154882)
  • WB

Unknown

Western blot - Anti-RPL3 antibody (AB154882)

10% SDS PAGE

All lanes:

Western blot - Anti-RPL3 antibody (ab154882) at 1/1000 dilution

All lanes:

A549 whole cell lysate at 30 µg

Predicted band size: 46 kDa

false

Key facts

Host species

Rabbit

Clonality

Polyclonal

Isotype

IgG

Carrier free

No

Reacts with

Human

Applications

ICC/IF, IHC-P, WB

applications

Immunogen

Recombinant Fragment Protein within Human RPL3 aa 1-200. The exact immunogen used to generate this antibody is proprietary information.

P39023

Reactivity data

{ "title": "Reactivity Data", "filters": { "stats": ["", "Species", "Dilution Info", "Notes"], "tabs": { "all-applications": {"fullname" : "All Applications", "shortname": "All Applications"}, "IHCP" : {"fullname" : "Immunohistochemistry (Formalin/PFA-fixed paraffin-embedded sections)", "shortname":"IHC-P"}, "WB" : {"fullname" : "Western blot", "shortname":"WB"}, "ICCIF" : {"fullname" : "Immunocytochemistry/ Immunofluorescence", "shortname":"ICC/IF"} }, "product-promise": { "all": "all", "testedAndGuaranteed": "tested", "guaranteed": "expected", "predicted": "predicted", "notRecommended": "not-recommended" } }, "values": { "Human": { "IHCP-species-checked": "testedAndGuaranteed", "IHCP-species-dilution-info": "1/100 - 1/1000", "IHCP-species-notes": "<p></p> Perform heat-mediated antigen retrieval with citrate buffer pH 6 before commencing with IHC staining protocol.", "WB-species-checked": "testedAndGuaranteed", "WB-species-dilution-info": "1/500 - 1/3000", "WB-species-notes": "<p></p>", "ICCIF-species-checked": "testedAndGuaranteed", "ICCIF-species-dilution-info": "1/100 - 1/1000", "ICCIF-species-notes": "<p></p>" }, "Chicken": { "IHCP-species-checked": "predicted", "IHCP-species-dilution-info": "", "IHCP-species-notes": "", "WB-species-checked": "predicted", "WB-species-dilution-info": "", "WB-species-notes": "", "ICCIF-species-checked": "predicted", "ICCIF-species-dilution-info": "", "ICCIF-species-notes": "" }, "Cow": { "IHCP-species-checked": "predicted", "IHCP-species-dilution-info": "", "IHCP-species-notes": "", "WB-species-checked": "predicted", "WB-species-dilution-info": "", "WB-species-notes": "", "ICCIF-species-checked": "predicted", "ICCIF-species-dilution-info": "", "ICCIF-species-notes": "" }, "Monkey": { "IHCP-species-checked": "predicted", "IHCP-species-dilution-info": "", "IHCP-species-notes": "", "WB-species-checked": "predicted", "WB-species-dilution-info": "", "WB-species-notes": "", "ICCIF-species-checked": "predicted", "ICCIF-species-dilution-info": "", "ICCIF-species-notes": "" }, "Xenopus laevis": { "IHCP-species-checked": "predicted", "IHCP-species-dilution-info": "", "IHCP-species-notes": "", "WB-species-checked": "predicted", "WB-species-dilution-info": "", "WB-species-notes": "", "ICCIF-species-checked": "predicted", "ICCIF-species-dilution-info": "", "ICCIF-species-notes": "" }, "Xenopus tropicalis": { "IHCP-species-checked": "predicted", "IHCP-species-dilution-info": "", "IHCP-species-notes": "", "WB-species-checked": "predicted", "WB-species-dilution-info": "", "WB-species-notes": "", "ICCIF-species-checked": "predicted", "ICCIF-species-dilution-info": "", "ICCIF-species-notes": "" }, "Zebrafish": { "IHCP-species-checked": "predicted", "IHCP-species-dilution-info": "", "IHCP-species-notes": "", "WB-species-checked": "predicted", "WB-species-dilution-info": "", "WB-species-notes": "", "ICCIF-species-checked": "predicted", "ICCIF-species-dilution-info": "", "ICCIF-species-notes": "" } } }

Properties and storage information

Form
Liquid
Purification technique
Affinity purification Immunogen
Storage buffer
pH: 7 Preservative: 0.01% Thimerosal (merthiolate) Constituents: 20% Glycerol (glycerin, glycerine), 1.21% Tris, 0.75% Glycine
Shipped at conditions
Blue Ice
Appropriate short-term storage conditions
+4°C
Appropriate long-term storage conditions
-20°C
Aliquoting information
Upon delivery aliquot
Storage information
Avoid freeze / thaw cycle

Supplementary information

This supplementary information is collated from multiple sources and compiled automatically.

RPL3 also known as ribosomal protein L3 is a structural component of the 60S large ribosomal subunit and plays an important role in protein synthesis. This protein is approximately 46 kDa in mass. RPL3 is expressed abundantly in tissues with high rates of protein synthesis activity like the liver and pancreas. It functions mechanically in the assembly and stability of the ribosome important for the translation process during protein biosynthesis.
Biological function summary

RPL3 is integral to the formation of the ribosome a large molecular complex essential for translating mRNA into protein chains. As a component of the ribosomal 60S subunit RPL3 associates with other ribosomal proteins and ribosomal RNA to ensure correct ribosome assembly and function. It is involved in the peptidyl transferase activity of the ribosome directly facilitating peptide bond formation between amino acids.

Pathways

The ribosomal protein function of RPL3 is an important part of the translational machinery involved in the mTOR signaling pathway and the cellular response to amino acid availability. RPL3 functioning within the ribosome works alongside proteins such as RPL5 and RPL10 which also participate in these pathways. This protein's involvement ensures efficient protein synthesis according to cellular demands and environmental signals impacting cellular metabolism and growth.

Alterations in RPL3 expression or function connect to disorders like cancer and Diamond-Blackfan anemia. In cancer changes in ribosomal protein levels can disrupt normal cell cycle control linking RPL3 to oncogenesis together with proteins like RPL22 and RPL11. In Diamond-Blackfan anemia mutations in ribosomal protein genes including RPL3 cause defective ribosome biogenesis and impaired erythropoiesis leading to anemia-related symptoms.

Product protocols

For this product, it's our understanding that no specific protocols are required. You can visit:

Target data

Component of the large ribosomal subunit (PubMed : 12962325, PubMed : 23636399, PubMed : 32669547, PubMed : 35674491). The ribosome is a large ribonucleoprotein complex responsible for the synthesis of proteins in the cell (PubMed : 12962325, PubMed : 23636399, PubMed : 32669547).
See full target information RPL3

Publications (2)

Recent publications for all applications. Explore the full list and refine your search

eLife 10: PubMed34213414

2021

The molecular basis of coupling between poly(A)-tail length and translational efficiency.

Applications

Unspecified application

Species

Unspecified reactive species

Kehui Xiang,David P Bartel

ACS chemical biology 13:712-722 PubMed29341591

2018

The Development of Benzimidazole-Based Clickable Probes for the Efficient Labeling of Cellular Protein Arginine Deiminases (PADs).

Applications

Unspecified application

Species

Unspecified reactive species

Venkatesh V Nemmara,Venkataraman Subramanian,Aaron Muth,Santanu Mondal,Ari J Salinger,Aaron J Maurais,Ronak Tilvawala,Eranthie Weerapana,Paul R Thompson
View all publications

Product promise

We are committed to supporting your work with high-quality reagents, and we're here for you every step of the way. In the unlikely event that one of our products does not perform as expected, you're protected by our Product Promise.
For full details, please see our Terms & Conditions

Please note: All products are 'FOR RESEARCH USE ONLY. NOT FOR USE IN DIAGNOSTIC OR THERAPEUTIC PROCEDURES'.

For licensing inquiries, please contact partnerships@abcam.com