JavaScript is disabled in your browser. Please enable JavaScript to view this website.
AB170930

Anti-RPL30 antibody [EPR11624]

Be the first to review this product! Submit a review

|

(4 Publications)

Rabbit Recombinant Monoclonal RPL30 antibody. Suitable for IHC-P, IP, WB, ICC/IF and reacts with Human samples. Cited in 4 publications.

View Alternative Names

Large ribosomal subunit protein eL30, 60S ribosomal protein L30, RPL30

5 Images
Immunocytochemistry/ Immunofluorescence - Anti-RPL30 antibody [EPR11624] (AB170930)
  • ICC/IF

Supplier Data

Immunocytochemistry/ Immunofluorescence - Anti-RPL30 antibody [EPR11624] (AB170930)

Immunofluorescence analysis of HepG2 cells labeling RPL30 with ab170930 at 1/100 dilution.

Immunohistochemistry (Formalin/PFA-fixed paraffin-embedded sections) - Anti-RPL30 antibody [EPR11624] (AB170930)
  • IHC-P

Supplier Data

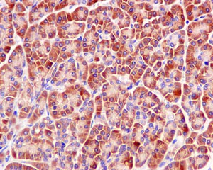
Immunohistochemistry (Formalin/PFA-fixed paraffin-embedded sections) - Anti-RPL30 antibody [EPR11624] (AB170930)

Immunohistochemical analysis of paraffin-embedded Human pancreas tissue labeling RPL30 with ab170930 at 1/100 dilution.

Perform heat mediated antigen retrieval with citrate buffer pH 6 before commencing with IHC staining protocol.

Immunohistochemistry (Formalin/PFA-fixed paraffin-embedded sections) - Anti-RPL30 antibody [EPR11624] (AB170930)
  • IHC-P

Supplier Data

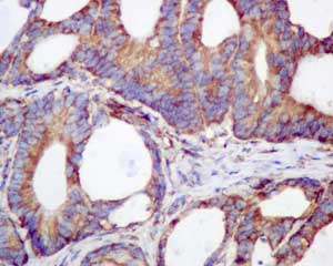
Immunohistochemistry (Formalin/PFA-fixed paraffin-embedded sections) - Anti-RPL30 antibody [EPR11624] (AB170930)

Immunohistochemical analysis of paraffin-embedded Human gastric carcinoma tissue labeling RPL30 with ab170930 at 1/100 dilution.

Perform heat mediated antigen retrieval with citrate buffer pH 6 before commencing with IHC staining protocol.

Immunoprecipitation - Anti-RPL30 antibody [EPR11624] (AB170930)
  • IP

Supplier Data

Immunoprecipitation - Anti-RPL30 antibody [EPR11624] (AB170930)

Western blot analysis on immunoprecipitation pellet from Jurkat cell lysate using ab170930 at 1/10 dilution.

All lanes:

Immunoprecipitation - Anti-RPL30 antibody [EPR11624] (ab170930)

Predicted band size: 13 kDa

false

Western blot - Anti-RPL30 antibody [EPR11624] (AB170930)
  • WB

Supplier Data

Western blot - Anti-RPL30 antibody [EPR11624] (AB170930)

All lanes:

Western blot - Anti-RPL30 antibody [EPR11624] (ab170930) at 1/10000 dilution

Lane 1:

A549 cell lysates at 10 µg

Lane 2:

HepG2 cell lysates at 10 µg

Lane 3:

Jurkat cell lysates at 10 µg

Lane 4:

PC-3 cell lysates at 10 µg

Predicted band size: 13 kDa

false

  • Carrier free

    Anti-RPL30 antibody [EPR11624] - BSA and Azide free

Key facts

Host species

Rabbit

Clonality

Monoclonal

Clone number

EPR11624

Isotype

IgG

Carrier free

No

Reacts with

Human

Applications

WB, IP, ICC/IF, IHC-P

applications

Immunogen

The exact immunogen used to generate this antibody is proprietary information.

Reactivity data

{ "title": "Reactivity Data", "filters": { "stats": ["", "Species", "Dilution Info", "Notes"], "tabs": { "all-applications": {"fullname" : "All Applications", "shortname": "All Applications"}, "IHCP" : {"fullname" : "Immunohistochemistry (Formalin/PFA-fixed paraffin-embedded sections)", "shortname":"IHC-P"}, "IP" : {"fullname" : "Immunoprecipitation", "shortname":"IP"}, "FlowCyt" : {"fullname" : "Flow Cytometry", "shortname":"Flow Cyt"}, "WB" : {"fullname" : "Western blot", "shortname":"WB"}, "ICCIF" : {"fullname" : "Immunocytochemistry/ Immunofluorescence", "shortname":"ICC/IF"} }, "product-promise": { "all": "all", "testedAndGuaranteed": "tested", "guaranteed": "expected", "predicted": "predicted", "notRecommended": "not-recommended" } }, "values": { "Human": { "IHCP-species-checked": "testedAndGuaranteed", "IHCP-species-dilution-info": "1/100 - 1/250", "IHCP-species-notes": "<p></p>", "IP-species-checked": "testedAndGuaranteed", "IP-species-dilution-info": "1/10 - 1/100", "IP-species-notes": "<p></p>", "FlowCyt-species-checked": "notRecommended", "FlowCyt-species-dilution-info": "", "FlowCyt-species-notes": "<p></p>", "WB-species-checked": "testedAndGuaranteed", "WB-species-dilution-info": "1/10000 - 1/50000", "WB-species-notes": "<p></p>", "ICCIF-species-checked": "testedAndGuaranteed", "ICCIF-species-dilution-info": "1/100 - 1/250", "ICCIF-species-notes": "<p></p>" }, "Mouse": { "IHCP-species-checked": "predicted", "IHCP-species-dilution-info": "", "IHCP-species-notes": "", "IP-species-checked": "predicted", "IP-species-dilution-info": "", "IP-species-notes": "", "FlowCyt-species-checked": "notRecommended", "FlowCyt-species-dilution-info": "", "FlowCyt-species-notes": "", "WB-species-checked": "predicted", "WB-species-dilution-info": "", "WB-species-notes": "", "ICCIF-species-checked": "predicted", "ICCIF-species-dilution-info": "", "ICCIF-species-notes": "" }, "Rat": { "IHCP-species-checked": "predicted", "IHCP-species-dilution-info": "", "IHCP-species-notes": "", "IP-species-checked": "predicted", "IP-species-dilution-info": "", "IP-species-notes": "", "FlowCyt-species-checked": "notRecommended", "FlowCyt-species-dilution-info": "", "FlowCyt-species-notes": "", "WB-species-checked": "predicted", "WB-species-dilution-info": "", "WB-species-notes": "", "ICCIF-species-checked": "predicted", "ICCIF-species-dilution-info": "", "ICCIF-species-notes": "" } } }

Product details

Patented technology
Our RabMAb® technology is a patented hybridoma-based technology for making rabbit monoclonal antibodies. For details on our patents, please refer to RabMAb® patents.

What are the advantages of a recombinant monoclonal antibody?
This product is a recombinant monoclonal antibody, which offers several advantages including:

  • - High batch-to-batch consistency and reproducibility
  • - Improved sensitivity and specificity
  • - Long-term security of supply
  • - Animal-free batch production

For more information, read more on recombinant antibodies.

Properties and storage information

Form
Liquid
Purification technique
Affinity purification Protein A
Storage buffer
pH: 7.2 - 7.4 Preservative: 0.01% Sodium azide Constituents: PBS, 50% Tissue culture supernatant, 40% Glycerol (glycerin, glycerine), 0.05% BSA
Shipped at conditions
Blue Ice
Appropriate short-term storage duration
1-2 weeks
Appropriate short-term storage conditions
+4°C
Appropriate long-term storage conditions
-20°C
Aliquoting information
Upon delivery aliquot
Storage information
Avoid freeze / thaw cycle

Supplementary information

This supplementary information is collated from multiple sources and compiled automatically.

RPL30 also known as 60S ribosomal protein L30 is a component of the large 60S subunit of the ribosome. It has a molecular mass of approximately 12 kDa and is commonly expressed in all cells due to its essential role in protein synthesis. RPL30 functions mechanically by interacting with ribosomal RNA (rRNA) and other ribosomal proteins to form the ribosome structure ensuring proper translation of mRNA into proteins.
Biological function summary

Ribosomal protein L30 participates in the assembly of the ribosome complex which is responsible for cellular protein production. It plays a critical part in the ribosomal structure contributing to the ribosome's stability and function during translation. By binding to rRNA RPL30 ensures accurate alignment of ribosomal components supporting efficient and accurate protein synthesis. The protein is highly conserved and is ubiquitously expressed across various tissues and cell types due to its fundamental role.

Pathways

RPL30 is integral to the ribosome biogenesis and protein synthesis pathways. The protein interacts with other ribosomal proteins such as RPL10 and RPL5 to facilitate the assembly and function of the ribosome. These pathways are essential for cellular growth and proliferation influencing various biological processes including metabolism and cell cycle regulation. RPL30 works within these pathways to aid in the coordination of protein synthesis an activity critical for maintaining cellular homeostasis.

RPL30 is associated with diseases affecting protein synthesis such as ribosomopathies. Alterations or mutations in RPL30 can lead to defects in ribosome function contributing to conditions like Diamond-Blackfan anemia. This disorder is characterized by a failure in red blood cell production which can be linked to mutations in ribosomal proteins including RPS19. The relationship between RPL30 and these diseases highlights the importance of accurate ribosome function for maintaining normal cellular activities.

Product protocols

For this product, it's our understanding that no specific protocols are required. You can visit:

Target data

Component of the large ribosomal subunit (PubMed : 23636399, PubMed : 32669547). The ribosome is a large ribonucleoprotein complex responsible for the synthesis of proteins in the cell (PubMed : 23636399, PubMed : 32669547).
See full target information 60S ribosomal protein L30

Publications (4)

Recent publications for all applications. Explore the full list and refine your search

Journal of pineal research 75:e12897 PubMed37391878

2023

Amelioration of gamma irradiation-induced salivary gland damage in mice using melatonin.

Applications

Unspecified application

Species

Unspecified reactive species

Jingming Ren,Tong Zhu,Zhouxuan Wang,Lu Lu,Saijun Fan

International journal of molecular sciences 21: PubMed32283676

2020

DDX6 Helicase Behavior and Protein Partners in Human Adipose Tissue-Derived Stem Cells during Early Adipogenesis and Osteogenesis.

Applications

Unspecified application

Species

Unspecified reactive species

Bruna Hilzendeger Marcon,Carmen K Rebelatto,Axel R Cofré,Bruno Dallagiovanna,Alejandro Correa

Cell 173:1204-1216.e26 PubMed29628141

2018

Pseudouridylation of tRNA-Derived Fragments Steers Translational Control in Stem Cells.

Applications

Unspecified application

Species

Unspecified reactive species

Nicola Guzzi,Maciej Cieśla,Phuong Cao Thi Ngoc,Stefan Lang,Sonali Arora,Marios Dimitriou,Kristyna Pimková,Mikael N E Sommarin,Roberto Munita,Michal Lubas,Yiting Lim,Kazuki Okuyama,Shamit Soneji,Göran Karlsson,Jenny Hansson,Göran Jönsson,Anders H Lund,Mikael Sigvardsson,Eva Hellström-Lindberg,Andrew C Hsieh,Cristian Bellodi

Journal of immunology (Baltimore, Md. : 1950) 199:3981-3990 PubMed29070672

2017

Broad Susceptibility of Nucleolar Proteins and Autoantigens to Complement C1 Protease Degradation.

Applications

Unspecified application

Species

Unspecified reactive species

Yitian Cai,Seng Yin Kelly Wee,Junjie Chen,Boon Heng Dennis Teo,Yee Leng Carol Ng,Khai Pang Leong,Jinhua Lu
View all publications

Product promise

We are committed to supporting your work with high-quality reagents, and we're here for you every step of the way. In the unlikely event that one of our products does not perform as expected, you're protected by our Product Promise.
For full details, please see our Terms & Conditions

Please note: All products are 'FOR RESEARCH USE ONLY. NOT FOR USE IN DIAGNOSTIC OR THERAPEUTIC PROCEDURES'.

For licensing inquiries, please contact partnerships@abcam.com