JavaScript is disabled in your browser. Please enable JavaScript to view this website.
AB317199

Anti-RPL32 antibody [HL2331]

Be the first to review this product! Submit a review

|

(0 Publication)

Rabbit Monoclonal RPL32 antibody. Suitable for IHC-P, ICC/IF, WB and reacts with Mouse, Rat, Dog, Human, Zebrafish samples. Immunogen corresponding to Recombinant Full Length Protein corresponding to Human RPL32.

View Alternative Names

PP9932, RPL32, Large ribosomal subunit protein eL32, 60S ribosomal protein L32

8 Images
Immunocytochemistry/ Immunofluorescence - Anti-RPL32 antibody [HL2331] (AB317199)
  • ICC/IF

Supplier Data

Immunocytochemistry/ Immunofluorescence - Anti-RPL32 antibody [HL2331] (AB317199)

ab317199 detects RPL32 protein at cytoplasm by immunofluorescent analysis. Sample : HeLa cells were fixed in 4% paraformaldehyde at RT for 15 min. Green : RPL32 stained by ab317199 diluted at 1 : 500. Blue : Fluoroshield with DAPI.

Immunohistochemistry (Formalin/PFA-fixed paraffin-embedded sections) - Anti-RPL32 antibody [HL2331] (AB317199)
  • IHC-P

Supplier Data

Immunohistochemistry (Formalin/PFA-fixed paraffin-embedded sections) - Anti-RPL32 antibody [HL2331] (AB317199)

ab317199 detects RPL32 protein at cytoplasm by immunohistochemical analysis. Sample : Paraffin-embedded rat brain. RPL32 stained by ab317199 diluted at 1 : 100. Antigen Retrieval : Citrate buffer pH 6.0 15 min.

Immunohistochemistry (Formalin/PFA-fixed paraffin-embedded sections) - Anti-RPL32 antibody [HL2331] (AB317199)
  • IHC-P

Supplier Data

Immunohistochemistry (Formalin/PFA-fixed paraffin-embedded sections) - Anti-RPL32 antibody [HL2331] (AB317199)

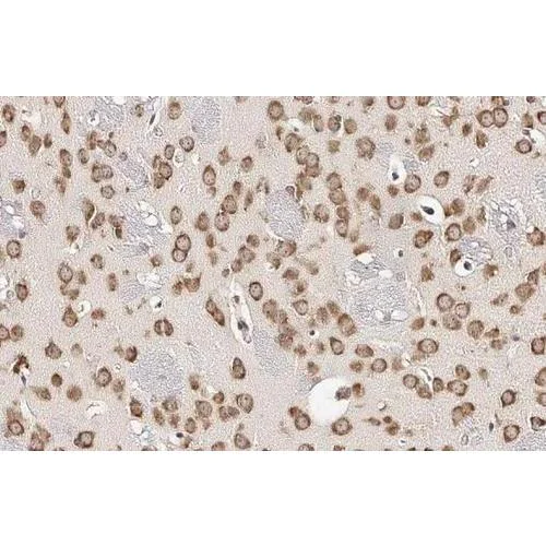
ab317199 detects RPL32 protein at cytoplasm by immunohistochemical analysis. Sample : Paraffin-embedded mouse brain. RPL32 stained by ab317199 diluted at 1 : 100. Antigen Retrieval : Citrate buffer pH 6.0 15 min.

Western blot - Anti-RPL32 antibody [HL2331] (AB317199)
  • WB

Supplier Data

Western blot - Anti-RPL32 antibody [HL2331] (AB317199)

Various whole cell extracts (30 ug) were separated by 15% SDS-PAGE and the membrane was blotted with ab317199 diluted at 1 : 1000. The HRP-conjugated anti-rabbit IgG antibody was used to detect the primary antibody.

All lanes:

Western blot - Anti-RPL32 antibody [HL2331] (ab317199) at 1/1000 dilution

Lane 1:

293T whole cell extracts at 30 µg

Lane 2:

A413 whole cell extracts at 30 µg

Lane 3:

HeLa whole cell extracts at 30 µg

Lane 4:

HepG2 whole cell extracts at 30 µg

Secondary

All lanes:

HRP-conjugated anti-rabbit IgG antibody

false

Western blot - Anti-RPL32 antibody [HL2331] (AB317199)
  • WB

Supplier Data

Western blot - Anti-RPL32 antibody [HL2331] (AB317199)

Various tissue extracts (50 ug) were separated by 15% SDS-PAGE and the membrane was blotted with ab317199 diluted at 1 : 1000. The HRP-conjugated anti-rabbit IgG antibody was used to detect the primary antibody.

All lanes:

Western blot - Anti-RPL32 antibody [HL2331] (ab317199) at 1/1000 dilution

Lane 1:

Mouse testis tissue extracts at 50 µg

Lane 2:

Rat testis tissue extracts at 50 µg

Secondary

All lanes:

HRP-conjugated anti-rabbit IgG antibody

false

Immunohistochemistry (Formalin/PFA-fixed paraffin-embedded sections) - Anti-RPL32 antibody [HL2331] (AB317199)
  • IHC-P

Supplier Data

Immunohistochemistry (Formalin/PFA-fixed paraffin-embedded sections) - Anti-RPL32 antibody [HL2331] (AB317199)

ab317199 detects RPL32 protein by immunohistochemical analysis. Sample : Paraffin-embedded dog tissues. RPL32 stained by ab317199 diluted at 1 : 100. Antigen Retrieval : Citrate buffer pH 6.0 15 min.

Western blot - Anti-RPL32 antibody [HL2331] (AB317199)
  • WB

Supplier Data

Western blot - Anti-RPL32 antibody [HL2331] (AB317199)

Whole zebrafish extract (30 ug) was separated by 15% SDS-PAGE and the membrane was blotted with ab317199 diluted at 1 : 1000. The HRP-conjugated anti-rabbit IgG antibody was used to detect the primary antibody.

All lanes:

Western blot - Anti-RPL32 antibody [HL2331] (ab317199) at 1/1000 dilution

All lanes:

Whole zebrafish extract at 30 µg

Secondary

All lanes:

HRP-conjugated anti-rabbit IgG antibody

false

Western blot - Anti-RPL32 antibody [HL2331] (AB317199)
  • WB

Supplier Data

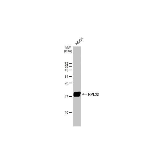
Western blot - Anti-RPL32 antibody [HL2331] (AB317199)

Whole cell extract (30 ug) was separated by 15% SDS-PAGE and the membrane was blotted with ab317199 diluted at 1 : 1000. The HRP-conjugated anti-rabbit IgG antibody was used to detect the primary antibody.

All lanes:

Western blot - Anti-RPL32 antibody [HL2331] (ab317199) at 1/1000 dilution

All lanes:

MDCK whole cell extract at 30 µg

Secondary

All lanes:

HRP-conjugated anti-rabbit IgG antibody

false

Key facts

Host species

Rabbit

Clonality

Monoclonal

Clone number

HL2331

Isotype

IgG

Carrier free

No

Reacts with

Human, Mouse, Rat, Dog, Zebrafish

Applications

ICC/IF, WB, IHC-P

applications

Immunogen

Recombinant Full Length Protein corresponding to Human RPL32.

P62910

Reactivity data

{ "title": "Reactivity Data", "filters": { "stats": ["", "Species", "Dilution Info", "Notes"], "tabs": { "all-applications": {"fullname" : "All Applications", "shortname": "All Applications"}, "IHCP" : {"fullname" : "Immunohistochemistry (Formalin/PFA-fixed paraffin-embedded sections)", "shortname":"IHC-P"}, "ICCIF" : {"fullname" : "Immunocytochemistry/ Immunofluorescence", "shortname":"ICC/IF"}, "WB" : {"fullname" : "Western blot", "shortname":"WB"} }, "product-promise": { "all": "all", "testedAndGuaranteed": "tested", "guaranteed": "expected", "predicted": "predicted", "notRecommended": "not-recommended" } }, "values": { "Human": { "IHCP-species-checked": "guaranteed", "IHCP-species-dilution-info": "", "IHCP-species-notes": "", "ICCIF-species-checked": "testedAndGuaranteed", "ICCIF-species-dilution-info": "1/500", "ICCIF-species-notes": "<p></p>", "WB-species-checked": "testedAndGuaranteed", "WB-species-dilution-info": "1/500 - 1/3000", "WB-species-notes": "<p></p>" }, "Mouse": { "IHCP-species-checked": "testedAndGuaranteed", "IHCP-species-dilution-info": "1/100", "IHCP-species-notes": "<p></p> Perform heat-mediated antigen retrieval with citrate buffer pH 6 before commencing with IHC staining protocol.", "ICCIF-species-checked": "guaranteed", "ICCIF-species-dilution-info": "", "ICCIF-species-notes": "", "WB-species-checked": "testedAndGuaranteed", "WB-species-dilution-info": "1/500 - 1/3000", "WB-species-notes": "<p></p>" }, "Rat": { "IHCP-species-checked": "testedAndGuaranteed", "IHCP-species-dilution-info": "1/100", "IHCP-species-notes": "<p></p> Perform heat-mediated antigen retrieval with citrate buffer pH 6 before commencing with IHC staining protocol.", "ICCIF-species-checked": "guaranteed", "ICCIF-species-dilution-info": "", "ICCIF-species-notes": "", "WB-species-checked": "testedAndGuaranteed", "WB-species-dilution-info": "1/500 - 1/3000", "WB-species-notes": "<p></p>" }, "Dog": { "IHCP-species-checked": "testedAndGuaranteed", "IHCP-species-dilution-info": "1/100", "IHCP-species-notes": "<p></p> Perform heat-mediated antigen retrieval with citrate buffer pH 6 before commencing with IHC staining protocol.", "ICCIF-species-checked": "guaranteed", "ICCIF-species-dilution-info": "", "ICCIF-species-notes": "", "WB-species-checked": "testedAndGuaranteed", "WB-species-dilution-info": "1/500 - 1/3000", "WB-species-notes": "<p></p>" }, "Zebrafish": { "IHCP-species-checked": "guaranteed", "IHCP-species-dilution-info": "", "IHCP-species-notes": "", "ICCIF-species-checked": "guaranteed", "ICCIF-species-dilution-info": "", "ICCIF-species-notes": "", "WB-species-checked": "testedAndGuaranteed", "WB-species-dilution-info": "1/500 - 1/3000", "WB-species-notes": "<p></p>" } } }

Properties and storage information

Supplementary information

This supplementary information is collated from multiple sources and compiled automatically.

RPL32 also known as 60S ribosomal protein L32 is a component of the 60S large ribosomal subunit. Weighing approximately 13.5 kDa RPL32 plays a role in the assembly and function of ribosomes which are essential for protein synthesis. This protein is expressed ubiquitously in various tissues reflecting the constant need for ribosomal function across different cell types.
Biological function summary

Ribosomes are the machinery for translating mRNA into proteins in the cell. RPL32 forms part of the ribosomal complex engaging in the critical process of assembling amino acids into polypeptide chains. By contributing to ribosome stability and efficiency RPL32 ensures the fidelity and throughput of protein synthesis which is important for cellular growth and maintenance.

Pathways

Protein synthesis involves ribosome-mediated translation where RPL32 acts in coordination with other ribosomal proteins and rRNA. It integrates into the translation pathway working with key proteins like RPL10 and RPL5 to facilitate ribosomal activity. The interaction of these proteins influences the performance of ribosomes in synthesizing functional proteins needed for cellular processes including metabolism and stress response.

Disruptions in RPL32 function can lead to disease states connected to dysregulated protein synthesis. Research implicates RPL32 in certain malignancies particularly where ribosomal dysfunction contributes to unchecked cellular proliferation. Moreover RPL32 abnormalities show correlation with disorders like Diamond-Blackfan anemia which involves defective ribosomal function. The protein's relationship with other ribosomal constituents such as RPL24 suggests a complex network of interactions that can impact disease outcomes.

Product protocols

For this product, it's our understanding that no specific protocols are required. You can visit:

Target data

Component of the large ribosomal subunit (PubMed : 23636399, PubMed : 32669547). The ribosome is a large ribonucleoprotein complex responsible for the synthesis of proteins in the cell (PubMed : 23636399, PubMed : 32669547).
See full target information RPL32

Product promise

We are committed to supporting your work with high-quality reagents, and we're here for you every step of the way. In the unlikely event that one of our products does not perform as expected, you're protected by our Product Promise.
For full details, please see our Terms & Conditions

Please note: All products are 'FOR RESEARCH USE ONLY. NOT FOR USE IN DIAGNOSTIC OR THERAPEUTIC PROCEDURES'.

For licensing inquiries, please contact partnerships@abcam.com