JavaScript is disabled in your browser. Please enable JavaScript to view this website.
AB234829

Anti-RPL4 antibody

Be the first to review this product! Submit a review

|

(2 Publications)

Rabbit Polyclonal RPL4 antibody. Suitable for WB, IHC-P, ICC/IF and reacts with Human samples. Cited in 2 publications. Immunogen corresponding to Recombinant Fragment Protein within Human RPL4 aa 1-100.

View Alternative Names

RPL1, RPL4, Large ribosomal subunit protein uL4, 60S ribosomal protein L1, 60S ribosomal protein L4

3 Images
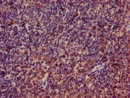
Immunohistochemistry (Formalin/PFA-fixed paraffin-embedded sections) - Anti-RPL4 antibody (AB234829)
  • IHC-P

Supplier Data

Immunohistochemistry (Formalin/PFA-fixed paraffin-embedded sections) - Anti-RPL4 antibody (AB234829)

Paraffin-embedded human lymph node tissue stained for RPL4 using ab234829 at 1/100 dilution in immunohistochemical analysis.

Immunocytochemistry/ Immunofluorescence - Anti-RPL4 antibody (AB234829)
  • ICC/IF

Supplier Data

Immunocytochemistry/ Immunofluorescence - Anti-RPL4 antibody (AB234829)

HepG2 (human liver hepatocellular carcinoma cell line) cells labeling RPL4 (green) using ab234829 at 1/100 dilution in ICC/IF. Secondary antibody was an Alexa Fluor® 488-conjugated Goat Anti-Rabbit IgG (H+L).

Western blot - Anti-RPL4 antibody (AB234829)
  • WB

Supplier Data

Western blot - Anti-RPL4 antibody (AB234829)

All lanes:

Western blot - Anti-RPL4 antibody (ab234829) at 1/500 dilution

Lane 1:

A-375 (human malignant melanoma cell line) whole cell lysate

Lane 2:

HeLa (human epithelial cell line from cervix adenocarcinoma) whole cell lysate

Secondary

All lanes:

Goat anti-rabbit polyclonal IgG at 1/50000 dilution

Predicted band size: 48 kDa

false

Key facts

Host species

Rabbit

Clonality

Polyclonal

Isotype

IgG

Carrier free

No

Reacts with

Human

Applications

WB, ICC/IF, IHC-P

applications

Immunogen

Recombinant Fragment Protein within Human RPL4 aa 1-100. The exact immunogen used to generate this antibody is proprietary information.

P36578

Reactivity data

{ "title": "Reactivity Data", "filters": { "stats": ["", "Species", "Dilution Info", "Notes"], "tabs": { "all-applications": {"fullname" : "All Applications", "shortname": "All Applications"}, "WB" : {"fullname" : "Western blot", "shortname":"WB"}, "IHCP" : {"fullname" : "Immunohistochemistry (Formalin/PFA-fixed paraffin-embedded sections)", "shortname":"IHC-P"}, "ICCIF" : {"fullname" : "Immunocytochemistry/ Immunofluorescence", "shortname":"ICC/IF"} }, "product-promise": { "all": "all", "testedAndGuaranteed": "tested", "guaranteed": "expected", "predicted": "predicted", "notRecommended": "not-recommended" } }, "values": { "Human": { "WB-species-checked": "testedAndGuaranteed", "WB-species-dilution-info": "1/500 - 1/5000", "WB-species-notes": "<p></p>", "IHCP-species-checked": "testedAndGuaranteed", "IHCP-species-dilution-info": "1/20 - 1/200", "IHCP-species-notes": "<p></p>", "ICCIF-species-checked": "testedAndGuaranteed", "ICCIF-species-dilution-info": "1/50 - 1/200", "ICCIF-species-notes": "<p></p>" }, "Mouse": { "WB-species-checked": "predicted", "WB-species-dilution-info": "", "WB-species-notes": "", "IHCP-species-checked": "predicted", "IHCP-species-dilution-info": "", "IHCP-species-notes": "", "ICCIF-species-checked": "predicted", "ICCIF-species-dilution-info": "", "ICCIF-species-notes": "" }, "Rat": { "WB-species-checked": "predicted", "WB-species-dilution-info": "", "WB-species-notes": "", "IHCP-species-checked": "predicted", "IHCP-species-dilution-info": "", "IHCP-species-notes": "", "ICCIF-species-checked": "predicted", "ICCIF-species-dilution-info": "", "ICCIF-species-notes": "" }, "Cow": { "WB-species-checked": "predicted", "WB-species-dilution-info": "", "WB-species-notes": "", "IHCP-species-checked": "predicted", "IHCP-species-dilution-info": "", "IHCP-species-notes": "", "ICCIF-species-checked": "predicted", "ICCIF-species-dilution-info": "", "ICCIF-species-notes": "" }, "Dog": { "WB-species-checked": "predicted", "WB-species-dilution-info": "", "WB-species-notes": "", "IHCP-species-checked": "predicted", "IHCP-species-dilution-info": "", "IHCP-species-notes": "", "ICCIF-species-checked": "predicted", "ICCIF-species-dilution-info": "", "ICCIF-species-notes": "" }, "Orangutan": { "WB-species-checked": "predicted", "WB-species-dilution-info": "", "WB-species-notes": "", "IHCP-species-checked": "predicted", "IHCP-species-dilution-info": "", "IHCP-species-notes": "", "ICCIF-species-checked": "predicted", "ICCIF-species-dilution-info": "", "ICCIF-species-notes": "" } } }

Properties and storage information

Form
Liquid
Purification technique
Affinity purification Protein G
Purification notes
Purity >95%.
Storage buffer
pH: 7.4 Preservative: 0.03% Proclin 300 Constituents: PBS, 50% Glycerol (glycerin, glycerine)
Shipped at conditions
Blue Ice
Appropriate short-term storage duration
1-2 weeks
Appropriate short-term storage conditions
+4°C
Appropriate long-term storage conditions
-20°C
Aliquoting information
Upon delivery aliquot
Storage information
Avoid freeze / thaw cycle

Supplementary information

This supplementary information is collated from multiple sources and compiled automatically.

RPL4 also known as 60S ribosomal protein L4 is a protein that plays an essential role in the ribosome the molecular machine responsible for protein synthesis. The protein has a mass of approximately 47 kDa. RPL4 contributes to ribosomal structure and function participating in the assembly of the large 60S subunit of the ribosome. This protein is ubiquitously expressed in human tissues indicating a broad involvement in cellular processes requiring protein production across different organs.
Biological function summary

RPL4 functions as a component of the ribosomal complex. By forming part of the 60S subunit it assists in translating mRNA into polypeptides during protein synthesis. This protein also interacts with ribosomal RNA (rRNA) and other ribosomal proteins to maintain the structural integrity of the ribosome. As a member of the larger ribosomal machinery RPL4 helps coordinate the interplay between translation and cellular growth ensuring that cells produce proteins at the necessary rate for various physiological needs.

Pathways

RPL4 plays a significant role in the protein synthesis pathway. It links with other ribosomal proteins such as RPL5 and RPS6 within the translation machinery. This relationship integrates RPL4 into the mRNA translation pathway important for gene expression regulation. Additionally RPL4 participates in the ribosome biogenesis process where it collaborates with proteins like NPM1 to generate mature ribosomal subunits. Through these interactions RPL4 supports both the synthesis and assembly of ribosomes impacting cell growth and proliferation pathways.

Abnormalities in RPL4 are associated with certain cancers including gastric cancer. Mutations or dysregulation of RPL4 may influence tumor progression by altering protein synthesis rates. The protein also relates to Diamond-Blackfan anemia (DBA) a rare blood disorder characterized by faulty ribosome function. In DBA RPL4 dysfunction can lead to reduced red blood cell production connecting it to other ribosomal proteins like RPS19 also implicated in the disorder. Both diseases underline the importance of RPL4 in maintaining healthy cellular and physiological functions.

Product protocols

For this product, it's our understanding that no specific protocols are required. You can visit:

Target data

Component of the large ribosomal subunit. The ribosome is a large ribonucleoprotein complex responsible for the synthesis of proteins in the cell.
See full target information RPL4

Publications (2)

Recent publications for all applications. Explore the full list and refine your search

Cells 11: PubMed36552777

2022

Multiomics Analysis of a -Mutated PCD Organoid Model Revealed the Key Role of the TGF-β/BMP and Notch Pathways in Epithelial Differentiation and the Immune Response in -Mutated Patients.

Applications

Unspecified application

Species

Unspecified reactive species

Wenhao Yang,Lina Chen,Juncen Guo,Fang Shi,Qingxin Yang,Liang Xie,Danli Lu,Yingna Li,Jiaxin Luo,Li Wang,Li Qiu,Ting Chen,Yan Li,Rui Zhang,Lu Chen,Wenming Xu,Hanmin Liu

Frontiers in cell and developmental biology 9:618899 PubMed33644057

2021

Cisplatin-Resistant Gastric Cancer Cells Promote the Chemoresistance of Cisplatin-Sensitive Cells via the Exosomal RPS3-Mediated PI3K-Akt-Cofilin-1 Signaling Axis.

Applications

Unspecified application

Species

Unspecified reactive species

Meng-Yao Sun,Bo Xu,Qiu-Xue Wu,Wen-Lian Chen,Si Cai,Hui Zhang,Qing-Feng Tang
View all publications

Product promise

We are committed to supporting your work with high-quality reagents, and we're here for you every step of the way. In the unlikely event that one of our products does not perform as expected, you're protected by our Product Promise.
For full details, please see our Terms & Conditions

Please note: All products are 'FOR RESEARCH USE ONLY. NOT FOR USE IN DIAGNOSTIC OR THERAPEUTIC PROCEDURES'.

For licensing inquiries, please contact partnerships@abcam.com