JavaScript is disabled in your browser. Please enable JavaScript to view this website.
AB174269

Anti-RPL4 antibody [EPR12304]

4

(1 Review)

|

(2 Publications)

Rabbit Recombinant Monoclonal RPL4 antibody. Suitable for IHC-P, WB and reacts with Human samples. Cited in 2 publications.

View Alternative Names

RPL1, RPL4, Large ribosomal subunit protein uL4, 60S ribosomal protein L1, 60S ribosomal protein L4

3 Images
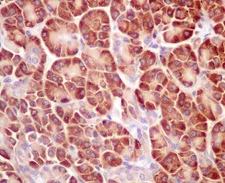
Immunohistochemistry (Formalin/PFA-fixed paraffin-embedded sections) - Anti-RPL4 antibody [EPR12304] (AB174269)
  • IHC-P

Supplier Data

Immunohistochemistry (Formalin/PFA-fixed paraffin-embedded sections) - Anti-RPL4 antibody [EPR12304] (AB174269)

Immunohistochemical analysis of paraffin-embedded Human pancreas tissue labeling RPL4 with ab174269 at a 1/100 dilution.

Perform heat mediated antigen retrieval with citrate buffer pH 6 before commencing with IHC staining protocol.

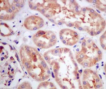
Immunohistochemistry (Formalin/PFA-fixed paraffin-embedded sections) - Anti-RPL4 antibody [EPR12304] (AB174269)
  • IHC-P

Supplier Data

Immunohistochemistry (Formalin/PFA-fixed paraffin-embedded sections) - Anti-RPL4 antibody [EPR12304] (AB174269)

Immunohistochemical analysis of paraffin-embedded Human kidney tissue labeling RPL4 with ab174269 at a 1/100 dilution.

Perform heat mediated antigen retrieval with citrate buffer pH 6 before commencing with IHC staining protocol.

Western blot - Anti-RPL4 antibody [EPR12304] (AB174269)
  • WB

Supplier Data

Western blot - Anti-RPL4 antibody [EPR12304] (AB174269)

All lanes:

Western blot - Anti-RPL4 antibody [EPR12304] (ab174269) at 1/1000 dilution

Lane 1:

K562 cell lysates at 10 µg

Lane 2:

Jurkat cell lysates at 10 µg

Predicted band size: 48 kDa

false

  • Carrier free

    Anti-RPL4 antibody [EPR12304] - BSA and Azide free

Key facts

Host species

Rabbit

Clonality

Monoclonal

Clone number

EPR12304

Isotype

IgG

Carrier free

No

Reacts with

Human

Applications

IHC-P, WB

applications

Immunogen

The exact immunogen used to generate this antibody is proprietary information.

Reactivity data

{ "title": "Reactivity Data", "filters": { "stats": ["", "Species", "Dilution Info", "Notes"], "tabs": { "all-applications": {"fullname" : "All Applications", "shortname": "All Applications"}, "IHCP" : {"fullname" : "Immunohistochemistry (Formalin/PFA-fixed paraffin-embedded sections)", "shortname":"IHC-P"}, "IP" : {"fullname" : "Immunoprecipitation", "shortname":"IP"}, "FlowCyt" : {"fullname" : "Flow Cytometry", "shortname":"Flow Cyt"}, "WB" : {"fullname" : "Western blot", "shortname":"WB"}, "ICCIF" : {"fullname" : "Immunocytochemistry/ Immunofluorescence", "shortname":"ICC/IF"} }, "product-promise": { "all": "all", "testedAndGuaranteed": "tested", "guaranteed": "expected", "predicted": "predicted", "notRecommended": "not-recommended" } }, "values": { "Human": { "IHCP-species-checked": "testedAndGuaranteed", "IHCP-species-dilution-info": "1/100 - 1/250", "IHCP-species-notes": "<p></p>", "IP-species-checked": "notRecommended", "IP-species-dilution-info": "", "IP-species-notes": "<p></p>", "FlowCyt-species-checked": "notRecommended", "FlowCyt-species-dilution-info": "", "FlowCyt-species-notes": "<p></p>", "WB-species-checked": "testedAndGuaranteed", "WB-species-dilution-info": "1/1000 - 1/10000", "WB-species-notes": "<p></p>", "ICCIF-species-checked": "notRecommended", "ICCIF-species-dilution-info": "", "ICCIF-species-notes": "<p></p>" }, "Mouse": { "IHCP-species-checked": "predicted", "IHCP-species-dilution-info": "", "IHCP-species-notes": "", "IP-species-checked": "notRecommended", "IP-species-dilution-info": "", "IP-species-notes": "", "FlowCyt-species-checked": "notRecommended", "FlowCyt-species-dilution-info": "", "FlowCyt-species-notes": "", "WB-species-checked": "predicted", "WB-species-dilution-info": "", "WB-species-notes": "", "ICCIF-species-checked": "notRecommended", "ICCIF-species-dilution-info": "", "ICCIF-species-notes": "" }, "Rat": { "IHCP-species-checked": "predicted", "IHCP-species-dilution-info": "", "IHCP-species-notes": "", "IP-species-checked": "notRecommended", "IP-species-dilution-info": "", "IP-species-notes": "", "FlowCyt-species-checked": "notRecommended", "FlowCyt-species-dilution-info": "", "FlowCyt-species-notes": "", "WB-species-checked": "predicted", "WB-species-dilution-info": "", "WB-species-notes": "", "ICCIF-species-checked": "notRecommended", "ICCIF-species-dilution-info": "", "ICCIF-species-notes": "" } } }

Product details

Patented technology
Our RabMAb® technology is a patented hybridoma-based technology for making rabbit monoclonal antibodies. For details on our patents, please refer to RabMAb® patents.

What are the advantages of a recombinant monoclonal antibody?
This product is a recombinant monoclonal antibody, which offers several advantages including:

  • - High batch-to-batch consistency and reproducibility
  • - Improved sensitivity and specificity
  • - Long-term security of supply
  • - Animal-free batch production

For more information, read more on recombinant antibodies.

Properties and storage information

Form
Liquid
Purification technique
Affinity purification Protein A
Storage buffer
pH: 7.2 - 7.4 Preservative: 0.01% Sodium azide Constituents: PBS, 50% Tissue culture supernatant, 40% Glycerol (glycerin, glycerine), 0.05% BSA
Shipped at conditions
Blue Ice
Appropriate short-term storage duration
1-2 weeks
Appropriate short-term storage conditions
+4°C
Appropriate long-term storage conditions
-20°C
Aliquoting information
Upon delivery aliquot
Storage information
Avoid freeze / thaw cycle

Supplementary information

This supplementary information is collated from multiple sources and compiled automatically.

RPL4 also known as 60S ribosomal protein L4 is a protein that plays an essential role in the ribosome the molecular machine responsible for protein synthesis. The protein has a mass of approximately 47 kDa. RPL4 contributes to ribosomal structure and function participating in the assembly of the large 60S subunit of the ribosome. This protein is ubiquitously expressed in human tissues indicating a broad involvement in cellular processes requiring protein production across different organs.
Biological function summary

RPL4 functions as a component of the ribosomal complex. By forming part of the 60S subunit it assists in translating mRNA into polypeptides during protein synthesis. This protein also interacts with ribosomal RNA (rRNA) and other ribosomal proteins to maintain the structural integrity of the ribosome. As a member of the larger ribosomal machinery RPL4 helps coordinate the interplay between translation and cellular growth ensuring that cells produce proteins at the necessary rate for various physiological needs.

Pathways

RPL4 plays a significant role in the protein synthesis pathway. It links with other ribosomal proteins such as RPL5 and RPS6 within the translation machinery. This relationship integrates RPL4 into the mRNA translation pathway important for gene expression regulation. Additionally RPL4 participates in the ribosome biogenesis process where it collaborates with proteins like NPM1 to generate mature ribosomal subunits. Through these interactions RPL4 supports both the synthesis and assembly of ribosomes impacting cell growth and proliferation pathways.

Abnormalities in RPL4 are associated with certain cancers including gastric cancer. Mutations or dysregulation of RPL4 may influence tumor progression by altering protein synthesis rates. The protein also relates to Diamond-Blackfan anemia (DBA) a rare blood disorder characterized by faulty ribosome function. In DBA RPL4 dysfunction can lead to reduced red blood cell production connecting it to other ribosomal proteins like RPS19 also implicated in the disorder. Both diseases underline the importance of RPL4 in maintaining healthy cellular and physiological functions.

Product protocols

For this product, it's our understanding that no specific protocols are required. You can visit:

Target data

Component of the large ribosomal subunit. The ribosome is a large ribonucleoprotein complex responsible for the synthesis of proteins in the cell.
See full target information RPL4

Publications (2)

Recent publications for all applications. Explore the full list and refine your search

International journal of molecular sciences 24: PubMed36614058

2022

Ribosomal Stress Couples with the Hypoxia Response in Dec1-Dependent Orthodontic Tooth Movement.

Applications

Unspecified application

Species

Unspecified reactive species

Shigeru Nakamura,Keiji Tanimoto,Ujjal K Bhawal

Cell death & disease 10:644 PubMed31501420

2019

CCT3 acts upstream of YAP and TFCP2 as a potential target and tumour biomarker in liver cancer.

Applications

Unspecified application

Species

Unspecified reactive species

Ya Liu,Xiao Zhang,Jiafei Lin,Yuxin Chen,Yongxia Qiao,Susu Guo,Yueyue Yang,Guoqing Zhu,Qiuhui Pan,Jiayi Wang,Fenyong Sun
View all publications

Product promise

We are committed to supporting your work with high-quality reagents, and we're here for you every step of the way. In the unlikely event that one of our products does not perform as expected, you're protected by our Product Promise.
For full details, please see our Terms & Conditions

Please note: All products are 'FOR RESEARCH USE ONLY. NOT FOR USE IN DIAGNOSTIC OR THERAPEUTIC PROCEDURES'.

For licensing inquiries, please contact partnerships@abcam.com