JavaScript is disabled in your browser. Please enable JavaScript to view this website.
AB86863

Anti-RPL5 antibody

Be the first to review this product! Submit a review

|

(18 Publications)

Rabbit Polyclonal RPL5 antibody. Suitable for IHC-P, IP, WB, ICC/IF and reacts with Human samples. Cited in 18 publications.

View Alternative Names

MSTP030, RPL5, Large ribosomal subunit protein uL18, 60S ribosomal protein L5

5 Images
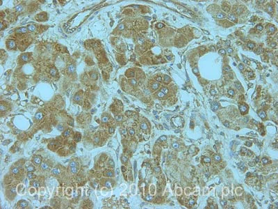
Immunohistochemistry (Formalin/PFA-fixed paraffin-embedded sections) - Anti-RPL5 antibody (AB86863)
  • IHC-P

Unknown

Immunohistochemistry (Formalin/PFA-fixed paraffin-embedded sections) - Anti-RPL5 antibody (AB86863)

IHC image of RPL5 staining in human liver carcinoma formalin fixed paraffin embedded tissue section, performed on a Leica BondTM system using the standard protocol F. The section was pre-treated using heat mediated antigen retrieval with sodium citrate buffer (pH6, epitope retrieval solution 1) for 20 mins. The section was then incubated with ab86863, 1µg/ml, for 15 mins at room temperature and detected using an HRP conjugated compact polymer system. DAB was used as the chromogen. The section was then counterstained with haematoxylin and mounted with DPX.

Immunocytochemistry/ Immunofluorescence - Anti-RPL5 antibody (AB86863)
  • ICC/IF

Unknown

Immunocytochemistry/ Immunofluorescence - Anti-RPL5 antibody (AB86863)

ICC/IF image of ab86863 stained HepG2 cells. The cells were 4% PFA fixed (10 min) and then incubated in 1%BSA / 10% normal goat serum / 0.3M glycine in 0.1% PBS-Tween for 1h to permeabilise the cells and block non-specific protein-protein interactions. The cells were then incubated with the antibody (ab86863, 5µg/ml) overnight at +4°C. The secondary antibody (green) was Alexa Fluor® 488 goat anti-rabbit IgG (H+L) used at a 1/1000 dilution for 1h. Alexa Fluor® 594 WGA was used to label plasma membranes (red) at a 1/200 dilution for 1h. DAPI was used to stain the cell nuclei (blue) at a concentration of 1.43µM. This antibody also gave a positive result in 4% PFA fixed (10 min) HeLa cells at 5µg/ml, and in 100% methanol fixed (5 min) HeLa, HepG2 and MCF7 cells at 5µg/ml

Immunoprecipitation - Anti-RPL5 antibody (AB86863)
  • IP

Unknown

Immunoprecipitation - Anti-RPL5 antibody (AB86863)

RPL5 was immunoprecipitated using 0.5mg HepG2 whole cell extract, 5µg of Rabbit polyclonal to RPL5 and 50µl of protein G magnetic beads (+). No antibody was added to the control (-).
The antibody was incubated under agitation with Protein G beads for 10min, HepG2 whole cell extract lysate diluted in RIPA buffer was added to each sample and incubated for a further 10min under agitation.
Proteins were eluted by addition of 40µl SDS loading buffer and incubated for 10min at 70oC; 10µl of each sample was separated on a SDS PAGE gel, transferred to a nitrocellulose membrane, blocked with 5% BSA and probed with ab86863.
Secondary : Mouse monoclonal [SB62a] Secondary Antibody to Rabbit IgG light chain (HRP) (ab99697).
Band : 34kDa, non specific band - 68kDa as present in test (lane 1) and control (lane 2); 68kDa : We are unsure as to the identity of this extra band; RPL5

All lanes:

Immunoprecipitation - Anti-RPL5 antibody (ab86863)

Predicted band size: 34 kDa

false

Western blot - Anti-RPL5 antibody (AB86863)
  • WB

Unknown

Western blot - Anti-RPL5 antibody (AB86863)

All lanes:

Western blot - Anti-RPL5 antibody (ab86863) at 1 µg/mL

Lane 1:

Liver (Human)Tissue Lysate - Fetal tissue at 10 µg

Lane 2:

HepG2 (Human hepatocellular liver carcinoma cell line) Whole Cell Lysate at 10 µg

Lane 3:

MEL-1 (Human embryonic stem cell, male cell line) Whole Cell Lysate (<a href='/en-us/products/unavailable/mel-1-human-embryonic-stem-cell-male-cell-line-whole-cell-lysate-ab27198'>ab27198</a>) at 10 µg

Lane 4:

Jurkat (Human T cell lymphoblast-like cell line) Whole Cell Lysate at 10 µg

Secondary

All lanes:

Goat polyclonal to Rabbit IgG - H&L - Pre-Adsorbed (HRP) at 1/3000 dilution

Predicted band size: 34 kDa

Observed band size: 34 kDa,68 kDa

true

Exposure time: 1min

Western blot - Anti-RPL5 antibody (AB86863)
  • WB

CiteAb

Western blot - Anti-RPL5 antibody (AB86863)

RPL5 western blot using anti-RPL5 antibody ab86863. Publication image and figure legend from Hao, Q., Wang, J., et al., 2020, Cell Death Dis, PubMed 32198344.

ab86863 was used in this publication in western blot. This may not be the same as the application(s) guaranteed by Abcam. For a full list of applications guaranteed by Abcam for ab86863 please see the product overview.

Ablation of endogenous SBDS induces RPL5- and RPL11-dependent p53 stabilization.a, b Knockdown of SBDS prolongs p53 protein half-life. HCT116p53+/+ cells were transfected with control or SBDS siRNA for 48–72 hr. CHX was supplemented into the medium for the indicated time before the cells were harvested for IB analysis a. Quantification of the p53/β-actin ratios is shown in the b. c RPL5 and RPL11 are required for SBDS depletion-induced p53 activation. HCT116p53+/+ cells were transfected with the indicated siRNAs for 48–72 hr and harvested for IB analysis using the antibodies as indicated. d Knockdown of SBDS enhances the RPL11-MDM2 interaction. HCT116p53+/+ cells were transfected with control or SBDS siRNA for ~48 hr. The proteasome inhibitor MG132 was supplemented into the medium for 4 hr before the cells were harvested for co-IP-IB assays using antibodies as indicated. e Knockdown of SBDS enhances the RPL5-MDM2 interaction. The same experiments were conducted as described in d, except that the anti-RPL5 antibody was used.

false

Key facts

Host species

Rabbit

Clonality

Polyclonal

Isotype

IgG

Carrier free

No

Reacts with

Human

Applications

WB, IP, ICC/IF, IHC-P

applications

Immunogen

The exact immunogen used to generate this antibody is proprietary information.

Reactivity data

{ "title": "Reactivity Data", "filters": { "stats": ["", "Species", "Dilution Info", "Notes"], "tabs": { "all-applications": {"fullname" : "All Applications", "shortname": "All Applications"}, "IHCP" : {"fullname" : "Immunohistochemistry (Formalin/PFA-fixed paraffin-embedded sections)", "shortname":"IHC-P"}, "IP" : {"fullname" : "Immunoprecipitation", "shortname":"IP"}, "WB" : {"fullname" : "Western blot", "shortname":"WB"}, "ICCIF" : {"fullname" : "Immunocytochemistry/ Immunofluorescence", "shortname":"ICC/IF"} }, "product-promise": { "all": "all", "testedAndGuaranteed": "tested", "guaranteed": "expected", "predicted": "predicted", "notRecommended": "not-recommended" } }, "values": { "Human": { "IHCP-species-checked": "testedAndGuaranteed", "IHCP-species-dilution-info": "1 µg/mL", "IHCP-species-notes": "<p></p>", "IP-species-checked": "testedAndGuaranteed", "IP-species-dilution-info": "5 µg/mL", "IP-species-notes": "<p></p>", "WB-species-checked": "testedAndGuaranteed", "WB-species-dilution-info": "1 µg/mL", "WB-species-notes": "<p></p>", "ICCIF-species-checked": "testedAndGuaranteed", "ICCIF-species-dilution-info": "5 µg/mL", "ICCIF-species-notes": "<p></p>" } } }

Properties and storage information

Form
Liquid
Purification technique
Affinity purification Immunogen
Storage buffer
pH: 7.4 Preservative: 0.02% Sodium azide Constituents: PBS, 1% BSA
Shipped at conditions
Blue Ice
Appropriate short-term storage duration
1-2 weeks
Appropriate short-term storage conditions
+4°C
Appropriate long-term storage conditions
-20°C
Aliquoting information
Upon delivery aliquot
Storage information
Avoid freeze / thaw cycle

Supplementary information

This supplementary information is collated from multiple sources and compiled automatically.

RPL5 also known as ribosomal protein L5 or uL18 is a component of the large 60S subunit of ribosomes. Its molecular weight is approximately 34 kDa. This protein plays an important role in protein synthesis by facilitating the assembly of the 5S ribonucleoprotein complex. RPL5 is expressed ubiquitously across various tissues indicating its role in essential cellular processes.
Biological function summary

The actions of RPL5 include its involvement in the incorporation of the 5S rRNA into the ribosomal subunit in cooperation with other ribosomal proteins. RPL5 is part of the ribosomal complex which is fundamental for translating mRNA into polypeptides. By binding with 5S rRNA RPL5 ensures the structural integrity and functional competence of the ribosome which are important for gene expression and cellular homeostasis.

Pathways

RPL5 plays a critical role in the ribosome biogenesis pathway and indirectly influences the p53 pathway. It interacts with RPL11 to regulate the p53 response during ribosomal stress which connects RPL5 to the ribosomal stress checkpoint pathway. Deviations in ribosomal assembly or function can influence processes linked to cell cycle regulation and apoptosis.

Alterations in RPL5 have a link to Diamond-Blackfan anemia a disorder characterized by failed ribosome biogenesis affecting erythropoiesis. Mutations in RPL5 in association with failures in the RPL11 gene contribute to this condition by disrupting the proper assembly of ribosomes leading to impaired red blood cell production. Additionally dysregulation of the p53 pathway through RPL5 interaction may have implications in cancer development as it can affect cell growth control and apoptosis.

Product protocols

For this product, it's our understanding that no specific protocols are required. You can visit:

Target data

Component of the ribosome, a large ribonucleoprotein complex responsible for the synthesis of proteins in the cell. The small ribosomal subunit (SSU) binds messenger RNAs (mRNAs) and translates the encoded message by selecting cognate aminoacyl-transfer RNA (tRNA) molecules. The large subunit (LSU) contains the ribosomal catalytic site termed the peptidyl transferase center (PTC), which catalyzes the formation of peptide bonds, thereby polymerizing the amino acids delivered by tRNAs into a polypeptide chain. The nascent polypeptides leave the ribosome through a tunnel in the LSU and interact with protein factors that function in enzymatic processing, targeting, and the membrane insertion of nascent chains at the exit of the ribosomal tunnel. As part of the 5S RNP/5S ribonucleoprotein particle it is an essential component of the LSU, required for its formation and the maturation of rRNAs (PubMed : 12962325, PubMed : 19061985, PubMed : 23636399, PubMed : 24120868). It also couples ribosome biogenesis to p53/TP53 activation. As part of the 5S RNP it accumulates in the nucleoplasm and inhibits MDM2, when ribosome biogenesis is perturbed, mediating the stabilization and the activation of TP53 (PubMed : 24120868).
See full target information RPL5

Publications (18)

Recent publications for all applications. Explore the full list and refine your search

Research (Washington, D.C.) 8:0859 PubMed40917497

2025

Proteogenomic Analysis Identifies Clinically Relevant Subgroups of Collecting Duct Carcinoma.

Applications

Unspecified application

Species

Unspecified reactive species

Yuanyuan Qu,Xiaoru Pei,Jinwen Feng,Xin Yan,Linhui Zhang,Jun Wang,Xin Yao,Jiasheng Bian,Yu Gan,Hualei Gan,Xuewen Jiang,Ping Yang,Maoping Cai,Liqing Li,Xinqiang Wu,Weiwei Jing,Chao Zhang,Jianyuan Zhao,Hailiang Zhang,Guohai Shi,Xiang Zhou,Dingwei Ye,Chen Ding

Advanced science (Weinheim, Baden-Wurttemberg, Germany) 11:e2407370 PubMed39475053

2024

Targeting BRIX1 via Engineered Exosomes Induces Nucleolar Stress to Suppress Cancer Progression.

Applications

Unspecified application

Species

Unspecified reactive species

Yu Gan,Qian Hao,Tao Han,Jing Tong,Qingya Yan,Hongguang Zhong,Bo Gao,Yanan Li,Zhisheng Xuan,Pengfei Li,Litong Yao,Yingying Xu,Yi-Zhou Jiang,Zhi-Ming Shao,Jun Deng,Jiaxiang Chen,Xiang Zhou

Cell death and differentiation 30:1666-1678 PubMed37142656

2023

Actionable cancer vulnerability due to translational arrest, p53 aggregation and ribosome biogenesis stress evoked by the disulfiram metabolite CuET.

Applications

Unspecified application

Species

Unspecified reactive species

Dimitris C Kanellis,Asimina Zisi,Zdenek Skrott,Bennie Lemmens,Jaime A Espinoza,Martin Kosar,Andrea Björkman,Xuexin Li,Stefanos Arampatzis,Jirina Bartkova,Miguel Andújar-Sánchez,Oscar Fernandez-Capetillo,Martin Mistrik,Mikael S Lindström,Jiri Bartek

Redox biology 62:102705 PubMed37087976

2023

UTP11 deficiency suppresses cancer development via nucleolar stress and ferroptosis.

Applications

Unspecified application

Species

Unspecified reactive species

Yu Gan,Jun Deng,Qian Hao,Yingdan Huang,Tao Han,Jin-Guo Xu,Min Zhao,Litong Yao,Yingying Xu,Jianping Xiong,Hua Lu,Chunmeng Wang,Jiaxiang Chen,Xiang Zhou

Frontiers in oncology 12:821366 PubMed35719981

2022

Olaparib Induces RPL5/RPL11-Dependent p53 Activation Nucleolar Stress.

Applications

Unspecified application

Species

Unspecified reactive species

Tao Han,Jing Tong,Mengxin Wang,Yu Gan,Bo Gao,Jiaxiang Chen,Youxun Liu,Qian Hao,Xiang Zhou

Cancer cell international 22:150 PubMed35410346

2022

RPL15 promotes hepatocellular carcinoma progression via regulation of RPs-MDM2-p53 signaling pathway.

Applications

Unspecified application

Species

Unspecified reactive species

Rui Shi,Zirong Liu

Science advances 7:eabi5751 PubMed34890234

2021

The nuclear transcription factor, TAF7, is a cytoplasmic regulator of protein synthesis.

Applications

Unspecified application

Species

Unspecified reactive species

Dan Cheng,Kevin Semmens,Elizabeth McManus,Qingrong Chen,Daoud Meerzaman,Xiantao Wang,Markus Hafner,Brian A Lewis,Hidehisa Takahashi,Ballachanda N Devaiah,Anne Gegonne,Dinah S Singer

Science advances 7: PubMed34348895

2021

The exon-junction complex helicase eIF4A3 controls cell fate via coordinated regulation of ribosome biogenesis and translational output.

Applications

Unspecified application

Species

Unspecified reactive species

Dimitris C Kanellis,Jaime A Espinoza,Asimina Zisi,Elpidoforos Sakkas,Jirina Bartkova,Anna-Maria Katsori,Johan Boström,Lars Dyrskjøt,Helle Broholm,Mikael Altun,Simon J Elsässer,Mikael S Lindström,Jiri Bartek

Acta neuropathologica communications 9:110 PubMed34147135

2021

Altered ribosomal function and protein synthesis caused by tau.

Applications

Unspecified application

Species

Unspecified reactive species

Harrison Tudor Evans,Deonne Taylor,Andrew Kneynsberg,Liviu-Gabriel Bodea,Jürgen Götz

Cell death & disease 11:197 PubMed32198344

2020

Dual regulation of p53 by the ribosome maturation factor SBDS.

Applications

Unspecified application

Species

Unspecified reactive species

Qian Hao,Jieqiong Wang,Yajie Chen,Shanshan Wang,Mingming Cao,Hua Lu,Xiang Zhou
View all publications

Product promise

We are committed to supporting your work with high-quality reagents, and we're here for you every step of the way. In the unlikely event that one of our products does not perform as expected, you're protected by our Product Promise.
For full details, please see our Terms & Conditions

Please note: All products are 'FOR RESEARCH USE ONLY. NOT FOR USE IN DIAGNOSTIC OR THERAPEUTIC PROCEDURES'.

For licensing inquiries, please contact partnerships@abcam.com